- 1. ホームホワイトニングで体感する白さの限界と安心の施術
- 1.1. 初日
- 1.2. 翌日
- 2. 術前クリーニングの問題点と対策:タバコのヤニや茶渋の除去
- 2.1. 術前クリーニング
- 2.2. 術前クリーニングの術前術後
- 3. 芸能人みたいに白くなる?ホームホワイトニングの限界と対策法
- 3.1. ◆ 🔸そもそも「白い歯の限界」ってなに?
- 3.1.1. ▶️ 白さの目安「シェードガイド」とは?
- 3.1.2. ▶️ 自然な白さの限界「S12」ってどういう色?
- 3.1.3. ▶️ 「白すぎ」は不自然?日本人に似合う色の基準
- 3.2. ◆ 🔸ホームホワイトニングで目指せる白さの範囲
- 3.2.1. ▶️ ホームホワイトニングの作用メカニズム
- 3.2.2. ▶️ どこまで白くなるかは「元の歯の色」がカギ
- 3.2.3. ▶️ 芸能人レベルの白さは可能?限界点を科学的に解説
- 3.2.4. ▶️ 市販品と歯科処方で白さの限界は違う?
- 3.3. ◆ 🔸ホームホワイトニングで白くならない理由とその対策
- 3.3.1. ▶️ 神経が死んでいる歯は白くならない?
- 3.3.2. ▶️ 着色の種類(外因性・内因性)によって効果が違う
- 3.3.2.1. 💊 原因:テトラサイクリンによる歯の内部変色
- 3.3.2.2. 💡 ホワイトニングの効果と限界
- 3.4. ◆ 🔸ホームホワイトニングの効果を最大化する方法とは?
- 3.4.1. ▶️ 使用時間・回数・期間のベストプラクティス
- 3.4.2. ▶️ 飲食制限や生活習慣で白さに差が出る理由
- 3.4.3. ▶️ 歯のケア習慣(歯磨き剤・フロス・洗口剤)で結果が変わる
- 3.5. ◆ 🔸白さを「キープ」するには?限界の白さを維持するコツ
- 3.5.1. ▶️ 再着色を防ぐ食生活とタイミング
- 3.5.2. ▶️ 定期的なメンテナンスの重要性
- 3.5.3. ▶️ タッチアップホワイトニングで長期維持
- 3.6. ◆ 🔸ホームとオフィスの違いと使い分け
- 3.6.1. ▶️ オフィスホワイトニングの白さとの比較
- 3.6.2. ▶️ コンビネーション(デュアルホワイトニング)は最強?
- 3.6.3. ▶️ 価格・時間・効果のバランスで選ぶべきは?
- 3.6.3.1. 💴 費用で選ぶなら → ホームホワイトニング
- 3.6.3.2. ⏰ 時間優先なら → オフィスホワイトニング
- 3.6.3.3. ✨ 効果・持続性を重視するなら → デュアルホワイトニング
- 4. ◆ 🔸まとめ:ホームホワイトニングで限界の白さを叶えるために
- 4.1.1. ▶️ 自分に合った方法を選ぼう
- 4.1.2. ▶️ 白さに過度な期待をせず、自然さとのバランスが大事
- 5. 江戸川区篠崎でホームホワイトニング!あなたの限界の白さを引き出します
- 6. 【動画】ホームホワイトニングの効果的なやり方
- 7. 筆者・院長

✨自然で美しい白さを、あなたのペースで。
「芸能人のような真っ白な歯」に憧れても、すべての人に同じ白さが似合うとは限りません。当院では10年以上にわたり、患者さま一人ひとりに合ったホームホワイトニングを提供してきました。現在使用している「ティオン ホーム プラチナ」は、低濃度ながらしっかりと白さを実感できる実力派。無理なく、安全に、そして自然な透明感ある白さを目指したい方におすすめです。
本記事では、ホームホワイトニングで得られる“限界の白さ”とその活かし方、さらに効果を高めるためのコツや注意点まで詳しく解説します。理想の白い歯への第一歩を、ぜひ私たちと一緒に踏み出しましょう。
ホームホワイトニングで体感する白さの限界と安心の施術
当院では10年以上前からホームホワイトニングに取り組んでおり、沢山の症例を経験しております。これまで海外からの個人輸入した薬剤も含め数多くの種類のホワイトニング剤を使用してきました。その中でも現在使用しているティオン ホーム プラチナは低濃度の過酸化尿素であるにも関わらず、高いホワイトニング効果を経験しています。ぜひ、当院のホームホワイトニングを体感して下さい。
初日
ステップ
カウンセリング
歯の黄ばみに関するアドバイスやお悩みについて伺います。

ステップ
歯科医師による口腔内診査
口腔内が施術に適した状態であるか診査をおこないます。

ステップ
レントゲン撮影
虫歯や歯周病などの歯科疾患のある場合は、レントゲンを撮ります。

ステップ
簡単なクリーニング
簡単な術前クリーニングを行います。しっかりやり過ぎると知覚過敏が出やすいのでプラークの除去を目的とします。簡単なクリーニングは治療費に含まれます。

ステップ
マウスピース作成のための歯型取り
マウスピース作成のための歯型取り。翌日にはマウスピースの作成が完了します。遠方の方は郵送するサービスもあります。

翌日
ステップ
治療用キットのお渡し
マウスピース、マウスピース保管ケース、2週間分のホワイトニング用薬剤をお渡しいたします。

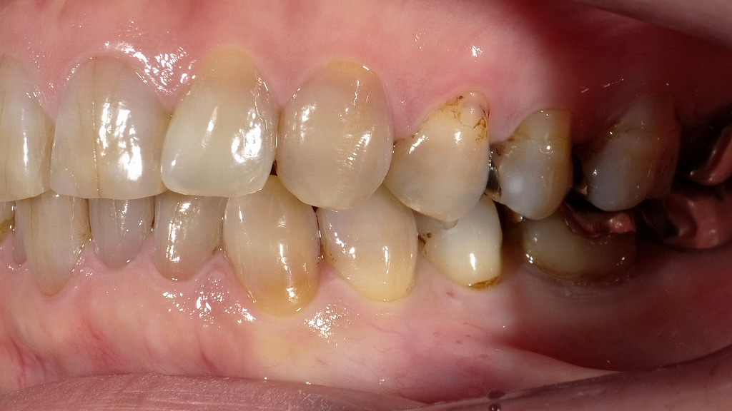
術前クリーニングの問題点と対策:タバコのヤニや茶渋の除去
術前クリーニング
問題点
術前クリーニングの問題点
ホワイトニング前のクリーニングを徹底的に行うとホワイトニング時に凍みる(知覚過敏)という現象が発生しやすいのが問題です。通常は簡単なクリーニングに留めます。
ただし、タバコのヤニや茶渋などが頑固にこびりついている場合には、しっかりとしたクリーニングを行います。この場合は自費診療となります。
術前クリーニングの術前術後

エアフロー
エアフローパウダー(グリシン)で歯面のクリーニングをします。

タバコのヤニが頑固に沈着
ガンコにこびり付いた茶渋やタバコのヤニなどによる着色(ステイン)をキレイに取り去ります。

術後
頑固にこびりついた着色は除去されました。もちろん、歯の黄ばみは治っていません。
芸能人みたいに白くなる?ホームホワイトニングの限界と対策法
◆ 🔸そもそも「白い歯の限界」ってなに?

▶️ 白さの目安「シェードガイド」とは?
ホワイトニングで目指せる「限界の白さ」を判断する際に使われるのが、**「シェードガイド(Shade Guide)」**と呼ばれる色見本です。これは歯の色を段階的に分類したもので、歯科医院では施術前後の変化を確認するために使われます。
一般的にはA1〜D4までの範囲があり、ホワイトニングではA1やB1あたりが“かなり白い”とされるレベル。ただし、もとの歯の色やエナメル質の状態によって到達できる白さには個人差があります。
▶️ 自然な白さの限界「S12」ってどういう色?
最近では、より自然な白さを目指すために「ビタシェード」よりも細かく分類された**「スマイルラインシェード(S1〜S32など)」**を使うことがあります。その中でも「S12」という色は、多くの日本人にとって自然で清潔感のある白さとされており、芸能人やモデルもこのあたりのトーンを目指すことが多いです。
▶️ 「白すぎ」は不自然?日本人に似合う色の基準
欧米人に比べて日本人は肌のトーンが黄色寄りであるため、極端に白すぎる歯はかえって浮いてしまうことも。実際、「真っ白」な歯が不自然に見えてしまい、相手に違和感を与える可能性もあります。
そのため、日本人にとっては**「清潔感があり、自然に見える範囲」=S12〜S16程度**がベストな白さとされます。限界まで白くすることよりも、自分に似合う自然な白さを目指すことが、長く好印象をキープするコツです。
◆ 🔸ホームホワイトニングで目指せる白さの範囲
▶️ ホームホワイトニングの作用メカニズム
ホームホワイトニングでは、過酸化尿素(または過酸化水素)を主成分とする薬剤をマウスピースに塗布し、数時間〜一晩かけて歯に作用させます。この成分が歯の表面だけでなく内部(エナメル質)に浸透し、黄ばみや色素沈着を分解していきます。
即効性は低いものの、じっくり時間をかけて白くすることで、色戻りしにくく、透明感のある自然な白さを実現できるのが特徴です。
▶️ どこまで白くなるかは「元の歯の色」がカギ
ホームホワイトニングで「どこまで白くなるか」は、もともとの歯の色(基準色)によって大きく変わります。
たとえば、A3やA3.5といった黄色みの強い歯は、S12レベルの白さまで近づけることが可能ですが、A4以上の濃い色調や、加齢・神経の失活による変色がある場合、限界の白さには達しにくいことがあります。
また、ホワイトスポット(白斑)やフッ素斑などの色ムラがある場合も、均一に白くなりにくいため、事前の診断が重要です。
▶️ 芸能人レベルの白さは可能?限界点を科学的に解説
テレビで見る芸能人のような**「真っ白」な歯は、実はホワイトニングだけでは不可能な場合もあります。というのも、芸能人の多くはラミネートベニアやセラミッククラウンなどの補綴物**で理想の白さを演出しているからです。
ホームホワイトニングの薬剤濃度には安全性の観点から限界があり、自然な白さ(S12前後)が現実的なゴールです。**それ以上の白さ(S10以下)**を目指す場合は、歯科医の管理下でのオフィスホワイトニングや補綴治療が必要になります。
▶️ 市販品と歯科処方で白さの限界は違う?
市販されているホワイトニング製品(歯磨き粉やライト付きジェルなど)やサロンで行われるセルフホワイトニングは、日本では薬機法の制限により、漂白効果を持つ成分がほとんど含まれていません。そのため、「歯を白くする」というよりは、**着色汚れを落とす“クリーニング効果”**にとどまります。
一方、歯科で処方されるホームホワイトニング薬剤は、**過酸化尿素10~16%**のものが多く、エナメル質の内側までしっかり浸透して、より確実に歯を白くすることができます。
💡 つまり、市販品では“限界の白さ”には届かず、歯科専用のホームホワイトニングこそが本来の効果を実感できる手段です。
◆ 🔸ホームホワイトニングで白くならない理由とその対策
▶️ 神経が死んでいる歯は白くならない?

ホームホワイトニングは、歯の内部(エナメル質)に作用して色素を分解することで効果を発揮します。しかし、**神経が死んでいる歯(失活歯)**は内部の構造や色が変化しており、通常のホワイトニングでは効果が出にくいことが多いです。
こうした歯には、「ウォーキングブリーチ」という歯の内側から薬剤を入れて漂白する特殊な方法が有効です。市販のホームホワイトニングでは対応できないため、必ず歯科医に相談しましょう。
▶️ 着色の種類(外因性・内因性)によって効果が違う
歯の着色には、以下のような2種類があります:
- 外因性着色:コーヒー・紅茶・タバコなどによる汚れ(歯の表面)
- 内因性着色:加齢・遺伝・薬剤(テトラサイクリン)などによる歯の内側の変色
ホームホワイトニングは内因性の黄ばみにも一定の効果を発揮しますが、テトラサイクリン変色や重度の加齢変化には限界があります。一方、外因性の汚れは比較的落ちやすく、数回の使用で白さを実感しやすいです。

💊 原因:テトラサイクリンによる歯の内部変色
歯の形成期にテトラサイクリン系抗生物質を摂取すると、歯のカルシウムと結合し、歯の内部に沈着します。
これが光によって変色し、灰色・茶色の帯状模様として残ります。
外からの汚れではなく内部からの変色のため、普通のクリーニングでは改善しません。
💡 ホワイトニングの効果と限界
- 効果あり:
軽度〜中等度の変色では、数回のホワイトニングで明度が上がり、色調がやや改善します。
特に**ホームホワイトニング(低濃度・長時間)**が有効です。 - 限界:
濃い灰色や帯状の変色は、ホワイトニングで完全には消えません。
一時的に明るくなっても、再着色しやすい傾向があります。
💡 効果の感じ方には「着色の原因」が大きく関わるため、自己判断せず歯科での診断を受けることが大切です。
◆ 🔸ホームホワイトニングの効果を最大化する方法とは?
▶️ 使用時間・回数・期間のベストプラクティス
ホームホワイトニングの効果をしっかり実感するためには、正しい使用方法の継続が不可欠です。目安としては以下の通り:
- 1日1回、1~2時間の装着(製品によって異なる)
- 2〜4週間以上の継続使用が推奨
- 寝ている間に装着するタイプは、最も安定した効果が出やすい
📌 短期間にまとめて使っても“限界の白さ”には届きにくく、じっくり継続することで自然な透明感ある白さに近づきます。
また、ホワイトニング期間中は自己判断で使用回数を増やさないよう注意が必要です。知覚過敏や歯茎への刺激を引き起こすことがあります。
▶️ 飲食制限や生活習慣で白さに差が出る理由
ホワイトニング中は歯の表面が一時的に脱灰し、着色物質を吸収しやすくなる状態になっています。そのため、以下のような飲食物は極力控えるのがベストです:
- コーヒー、紅茶、赤ワイン、カレーなど色素の濃い食品
- タバコ(ヤニによる再着色が早まります)
- 酸性の飲料(スポーツドリンク、炭酸飲料など)
⛔ 施術後24〜48時間は特に再着色しやすいため、“ホワイトニング後の食事制限”が白さの持続に大きく影響します。
また、歯ぎしり・口呼吸・乾燥などの生活習慣も、薬剤の効果を妨げる要因になることがあります。
▶️ 歯のケア習慣(歯磨き剤・フロス・洗口剤)で結果が変わる
ホームホワイトニングの効果を最大化するには、日常的なオーラルケアも見直すことが重要です。具体的には:
- ホワイトニング対応の低研磨歯磨き粉を使用(研磨剤入りは避ける)
- 毎日のフロスや歯間ブラシでプラークを除去
- フッ素入り洗口剤で歯質強化+虫歯予防
🪥 歯の表面が清潔な状態であればあるほど、薬剤がムラなく浸透し、より均一に・より効率的に白くなります。
また、知覚過敏が出た場合には、**知覚過敏ケア用歯磨剤(硝酸カリウム入りなど)**を併用するのも効果的です。
◆ 🔸白さを「キープ」するには?限界の白さを維持するコツ
▶️ 再着色を防ぐ食生活とタイミング
ホワイトニング後は、歯の表面が一時的にエナメル質の保護膜(ペリクル)が剥がれた状態になっており、**着色しやすい“無防備な時間帯”**が生じます。この間に色の濃い飲食物を摂ると、すぐに再着色が始まってしまいます。
🕒 特に施術後24〜48時間は“白さのゴールデンタイム”と意識しましょう。
控えたいもの:
- コーヒー・紅茶・赤ワイン・カレー・チョコレートなど
- 醤油やソースなどの色素の濃い調味料
- 喫煙(ヤニが最も再着色の原因になりやすい)
積極的に取り入れたい:
- 水、牛乳、白湯など無色の飲料
- 鶏肉や豆腐、白米などの「ホワイトフード」
⏰ タイミングのコントロールと“色素を避ける意識”が、白さ維持の第一歩です。
▶️ 定期的なメンテナンスの重要性
どんなに効果的なホームホワイトニングでも、時間とともに着色は少しずつ戻ってきます。そのため、“定期的なメンテナンス”が白さをキープするためのカギになります。
おすすめのメンテナンス方法:
- 3〜6か月に1回の歯科クリーニング(PMTC)
- 年に1〜2回のホームホワイトニングの再実施
- 歯科医院でのホワイトニング経過チェック
📆 歯科医院でのチェックは、自分では気づけない微細な色戻りや着色をプロが判断できるため、非常に有効です。
▶️ タッチアップホワイトニングで長期維持
「タッチアップホワイトニング」とは、一度白くした歯の色をリセットせずに“少しだけ上書き”するメンテナンス方法です。色戻りが気になってきたタイミングで、数日〜1週間程度ホームホワイトニングを行うだけで、白さが再びよみがえります。
この方法は以下のような方に特におすすめです:
- すでに希望の白さに到達している方
- 食生活で着色リスクが高い方(コーヒーやワインが好きなど)
- セラミックや矯正後の美しさを維持したい方
💡 最初のホワイトニングほど時間も費用もかからず、効果を持続できるのがタッチアップの魅力。“白さの定期便”のような感覚で取り入れると、ストレスなくキープできます。
◆ 🔸ホームとオフィスの違いと使い分け
▶️ オフィスホワイトニングの白さとの比較
ホームホワイトニングとオフィスホワイトニングの最大の違いは、「使用する薬剤の濃度」と「白さのスピード感」にあります。
| 項目 | ホームホワイトニング | オフィスホワイトニング |
|---|---|---|
| 使用場所 | 自宅 | 歯科医院 |
| 薬剤濃度 | 低濃度(安全性重視) | 高濃度(即効性重視) |
| 効果が出るまで | 約1〜2週間 | 1回でも効果を実感しやすい |
| 白さの持続 | 長持ちしやすい | 色戻りがやや早めの傾向 |
| 自然な透明感 | 出やすい | ややマットな白さになりやすい |
📌 “じっくり自然に白くしたい”ならホーム、“短期間で一気に白くしたい”ならオフィスが適しています。
▶️ コンビネーション(デュアルホワイトニング)は最強?
実は、多くの歯科医が推奨しているのが、**オフィス+ホームを組み合わせる「デュアルホワイトニング」**です。
この方法のメリットは以下の通り:
✅ オフィスで即効性のある白さを得て
✅ ホームでじっくりと浸透させて定着させる
これにより、“スピード”と“持続性”の両立が可能になり、最も確実に“限界の白さ”に近づける方法とされています。
💡 芸能人のような自然で明るい白さを維持している方の多くは、この方法を継続的に取り入れています。
▶️ 価格・時間・効果のバランスで選ぶべきは?
最後に、「どれを選べばいいかわからない…」という方へ、選び方の目安をご紹介します:
💴 費用で選ぶなら → ホームホワイトニング
- 比較的安価(2〜4万円前後)
- 自宅でできるため通院不要
⏰ 時間優先なら → オフィスホワイトニング
- 即効性があり、1回でも白さを実感
- 結婚式やイベント前におすすめ
✨ 効果・持続性を重視するなら → デュアルホワイトニング
- トータルの費用はかかるが、白さ・自然さ・長持ちすべてに優れる
- 本気で「限界の白さ」を目指したい方に最適
📌 自分の目的とライフスタイルに合わせて選ぶことが、後悔しないホワイトニング成功の秘訣です。
◆ 🔸まとめ:ホームホワイトニングで限界の白さを叶えるために
▶️ 自分に合った方法を選ぼう
ホームホワイトニングは、自宅で手軽に始められるうえに、じっくりと内側から歯を白くできる優れた方法です。ただし、その効果や限界は、もとの歯の色や生活習慣、歯の状態によって異なります。
「白くならない」と感じる場合も、実は自分の歯質に合った方法に変えるだけで大きく結果が変わることも少なくありません。
💡 大切なのは“万人に効く方法”ではなく、“あなたに合ったホワイトニング”を選ぶこと。
一人で悩まず、歯科医院でのカウンセリングを通じて、自分にとって最適な選択肢を見つけていきましょう。
▶️ 白さに過度な期待をせず、自然さとのバランスが大事
「もっと白くしたい」「芸能人みたいな真っ白な歯になりたい」という気持ちは自然ですが、日本人の肌や顔立ちには“自然な白さ”が一番似合うとも言われています。
あまりにも不自然な白さは、かえって違和感や老け見えの原因になることも。
📌 目指すべきは、“清潔感があり、自然に見えるあなたらしい白さ”。
その中で、ホームホワイトニングを正しく継続することで限界点に近づけていくのが、無理のない理想的なアプローチです。
江戸川区篠崎でホームホワイトニング!あなたの限界の白さを引き出します

江戸川区篠崎でホームホワイトニングをお考えなら、当院にご相談ください。
自然な透明感のある白さを目指しながらも、「限界の白さ」に近づけるための的確なアドバイスとケアをご提供します。
芸能人のような真っ白な歯も夢ではありません。あなたに合った“ちょうどいい白さ”、一緒に見つけてみませんか?
【動画】ホームホワイトニングの効果的なやり方
筆者・院長

深沢 一
Hajime FUKASAWA
- 登山
- ヨガ
メッセージ
日々進化する歯科医療に対応するため、毎月必ず各種セミナーへの受講を心がけております。
私達は、日々刻々と進歩する医学を、より良い形で患者様に御提供したいと考え、「各種 歯科学会」に所属すると共に、定期的に「院内勉強会」を行う等、常に現状に甘んずる事のないよう精進致しております。 又、医療で一番大切な事は、”心のある診療”と考え、スタッフと共に「患者様の立場に立った診療」を、心がけております。


