- 1. 【📹 43秒】ホワイトニングと知覚過敏の関係|原因・予防・おすすめの低刺激ホワイトニング法
- 2. ✨ホワイトニングで知覚過敏が起こる理由✨
- 2.1. 🦷 ホワイトニングで歯がしみるメカニズム
- 2.1.1. 🔍 ホワイトニング剤の成分(過酸化水素・過酸化尿素)がエナメル質に与える影響
- 2.1.2. 🔬 歯の内部(象牙細管)を刺激する仕組み
- 2.1.3. ⏳ 一時的なものか、長期的な影響があるのか
- 3. 僅かな歯根露出があり凍みた症例
- 3.1. ◆1枚目:ホワイトニング前の状態(僅かな歯根露出あり)
- 3.1.1. ①歯の色調
- 3.1.2. ②歯根の露出(矢印部)
- 3.1.3. ③歯肉の状態
- 3.2. ◆2枚目:ホワイトニング後の状態
- 3.2.1. ①歯が明るくなった(ホワイトニング効果)
- 3.2.2. ②歯根露出部の「しみ」症状
- 3.2.3. ③左上2番(青矢印):コンポジットレジンの変色
- 3.2.4. ④ステイン(茶渋・タバコなど)が一部残存(赤矢印)
- 3.3. ◆総合まとめ
- 4. ❗ 知覚過敏になりやすい人の特徴
- 4.1. 🦷 エナメル質が薄い人
- 4.2. 😬 歯ぎしりや噛み締めがある人
- 4.3. 🦠 虫歯・歯周病の有無
- 4.4. 🦷 高濃度のジェルを使う
- 5. ⏳ ホームホワイトニングによる知覚過敏の症状と持続期間 ⏳
- 5.1. ❗ ホームホワイトニングの知覚過敏の典型的な症状
- 5.1.1. ❄ 冷たいもの、熱いもの、甘いものがしみる
- 5.2. ⏱ ホワイトニング後の知覚過敏の持続期間
- 5.2.1. 📆 一般的にいつから始まるのか?
- 5.2.2. 📆 一般的にどのくらい続くのか?
- 5.2.3. ⏳ すぐに収まる場合と長引く場合の違い
- 6. 🛡 ホームホワイトニングで知覚過敏を防ぐ方法 🛡
- 6.1. 🔹 ホワイトニング前の準備
- 6.1.1. 🦷 事前に知覚過敏用歯磨き粉を使う
- 6.1.2. 🛡 フッ素塗布による歯の強化
- 6.1.3. 🏥 事前の歯科検診でリスクを確認
- 6.2. 🦷 知覚過敏対策
- 6.2.1. 🔹 ステップ1
- 6.2.2. 🔹 ステップ2
- 6.2.3. 🔹 ステップ3
- 6.2.4. 🦷 頑固な知覚過敏がある場合!
- 6.2.4.1. 1日休む
- 6.2.4.2. 1日あたりの使用時間を短縮
- 6.2.5. 🚫 一時的に刺激物を避ける(酸性食品、熱い・冷たいもの)
- 6.3. 🏥 歯科での治療法
- 6.3.1. 💎 フッ素塗布やコーティング剤の塗布
- 6.3.2. 🔬 知覚過敏抑制処置(レーザー治療・象牙細管封鎖処置)
- 6.4. ⚡ホームホワイトニングの歯茎の痛み
- 6.4.1. 原因
- 6.4.2. 対処法
- 6.5. ⚖ 日本の薬事法
- 7. 🌟知覚過敏になりにくいホームホワイトニング方法とは?🌟
- 7.1. 💎 ティオンホワイトニング
- 7.1.1. 🌿 低刺激で人気のホワイトニング方法
- 7.1.2. 🏥 実際の施術の流れとメリット
- 7.2. 🔍 知覚過敏を最小限に抑えたホワイトニングの選び方
- 7.2.1. ⚖ 低濃度ホワイトニング剤の活用
- 7.2.2. 🏥 クリニック選びのポイント
- 8. 🚨オフィスホワイトニングの知覚過敏🚨
- 8.1. ⚡術中の知覚過敏の原因
- 8.2. ⚡術後の痛みの原因
- 8.3. 📆 オフィスホワイトニング後の知覚過敏はいつからいつまで?
- 8.4. 🩹 自宅で行う知覚過敏対策
- 8.5. ⚡オフィスホワイトニング後に歯茎が痛む
- 8.5.1. 歯茎の痛みの原因
- 9. ホワイトニング前に必要な治療とは?
- 9.1. 🦠 虫歯や楔状欠損
- 9.2. 😬切端の咬耗
- 10. ❓ 知覚過敏でもホームホワイトニングを続けられる❓
- 10.1. ✅ 軽度の知覚過敏なら可能
- 10.1.1. 🔄 ホワイトニングの頻度を調整する
- 10.1.2. 🌿 低刺激のホワイトニング剤を使用する
- 10.2. ❌ 知覚過敏がひどい場合の代替手段
- 10.2.1. 🏥 ホワイトニング以外で歯を白くする方法
- 10.2.1.1. ✨ 歯のクリーニング
- 10.2.1.2. 🦷 ラミネートベニア
- 11. ❓よくある質問(FAQ)❓
- 11.1. ❌ 知覚過敏用歯磨き粉はホワイトニングの効果を下げる?
- 11.2. ⏳ どのくらいの頻度でホワイトニングをすると知覚過敏になりにくい?
- 11.3. 🏥 ホワイトニングをしたいけど、知覚過敏が怖い場合の相談方法
- 12. 江戸川区篠崎でホワイトニングをお考えの方へ|知覚過敏が心配でも安心!
- 13. 【動画】ホームホワイトニングの効果的なやり方
- 14. 筆者・院長

💭**「ホワイトニングで歯がしみるのはなぜ?」**
白く美しい歯を手に入れたいと思っても、「知覚過敏が心配で踏み出せない…」という方は多いのではないでしょうか?
実は、ホワイトニングによる“しみる痛み”にはしっかりとしたメカニズムと予防策があります。
この記事では、ホワイトニングで知覚過敏が起こる理由や、症状を軽減する方法、おすすめの対処法まで詳しく解説します。
「安全に白くしたい!」という方は、ぜひ最後までご覧ください 🦷✨
【📹 43秒】ホワイトニングと知覚過敏の関係|原因・予防・おすすめの低刺激ホワイトニング法
✨ホワイトニングで知覚過敏が起こる理由✨
🦷 ホワイトニングで歯がしみるメカニズム


🔍 ホワイトニング剤の成分(過酸化水素・過酸化尿素)がエナメル質に与える影響
- 🧪 ホームホワイトニングではジェル内の過酸化尿素が分解され過酸化水素になる。
- 知覚過敏が起きやすいのはエナメル質に亀裂が入っている
- 咬耗や歯肉退縮で象牙質が露出している場合
- 高濃度の薬剤を使った場合
🔬 歯の内部(象牙細管)を刺激する仕組み
- ホワイトニング剤がエナメル質を通過し、象牙細管を刺激
- 過酸化水素がエナメル質⇒エナメル質象質境⇒象牙細管⇒歯髄へと浸透し知覚過敏を誘発、神経が過敏に反応
- 知覚過敏が「しみる」原因はここにある!
⏳ 一時的なものか、長期的な影響があるのか
- 一時的な知覚過敏:ホワイトニング後数日で治まるケース
- 長期的な影響:歯のダメージが進行すると慢性的な症状に
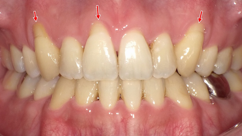
僅かな歯根露出があり凍みた症例


◆1枚目:ホワイトニング前の状態(僅かな歯根露出あり)
①歯の色調
- 全体的にやや黄ばみがあり、経年的な着色(ステイン)が認められます。
- 下顎前歯の表面に茶色い縦方向のステインが目立ちます。
②歯根の露出(矢印部)
- 矢印で示した大臼歯・小臼歯の根元に、わずかな歯肉退縮による歯根露出が確認できます。
- この段階では、「しみ」は軽度〜ほぼ無い程度と推測されます。
③歯肉の状態
- 全体として炎症はさほど強くないものの、部分的にやや歯肉が下がっており、長期的なブラッシング圧・加齢・咬合性外傷などの影響が考えられます。
◆2枚目:ホワイトニング後の状態
ホワイトニング後の変化が明確に確認できます。
①歯が明るくなった(ホワイトニング効果)
- エナメル質部分が明るい白色へ改善しており、ホワイトニング効果は良好です。
②歯根露出部の「しみ」症状
- ホワイトニング後、露出している象牙質部分は薬剤の刺激を受けやすく、
しみる症状(知覚過敏)が起きやすい状態になっています。 - これはホワイトニング薬剤による一時的な象牙細管の開口が原因で、よく見られる副作用です。
③左上2番(青矢印):コンポジットレジンの変色
- レジン(プラスチック材料)はホワイトニングで白くならないため、
周囲だけ明るくなり、逆にレジンの色が浮いて見えやすくなる典型例です。 - 特に青矢印の部位は、旧レジン特有の黄ばみ・くすみがはっきり残っています。
④ステイン(茶渋・タバコなど)が一部残存(赤矢印)
- 下顎前歯の歯頸部に依然として茶色い線状ステインが残っています。
- 表面にこびりついたステインはホワイトニングでは除去できないため、
エアフロー(粉と水を吹きつける機械)によるクリーニングが必要です。
◆総合まとめ
| 項目 | 1枚目(前) | 2枚目(後) |
|---|---|---|
| 歯の白さ | 黄ばみあり | 全体に明るく白く改善 |
| 歯根露出 | 軽度 | 同じく露出、しみやすくなる |
| 知覚過敏 | ほぼなし | ホワイトニング後に「しみ」が出現 |
| レジン | 目立ちにくい | 変色が際立つ(右上2番) |
| ステイン | 多く残る | 一部除去されず、エアフローで除去可能 |
❗ 知覚過敏になりやすい人の特徴
🦷 エナメル質が薄い人
- 加齢・食生活・ブラッシング圧が影響
- 日本人のエナメル質の厚みは欧米人に比べ薄く、知覚過敏が起きやすい構造
- エナメル質が薄いと象牙細管が露出しやすい
😬 歯ぎしりや噛み締めがある人
- 強い咬合圧でエナメル質がすり減る
- 知覚過敏リスクが大幅アップ!
- ナイトガードの使用で予防可能 💤
🦠 虫歯・歯周病の有無
- 虫歯があるとホワイトニング剤が神経に近づきやすい
- 歯周病による歯肉退縮 → 象牙質が露出して知覚過敏に!
- 事前に歯科検診を受けるのがベスト ✅
🦷 高濃度のジェルを使う
- 楽天やアマゾンなどの通販サイトで、「横流し」されたと思われる歯科医院専用のホームホワイトニングジェルが販売されている。その中には、欧米人向けに開発された極めて濃度の高いジェルも含まれている
- 過酸化尿素の濃度が高いほど効果が高いと思い込み、安易に購入・使用すると、高い確率で歯の痛みが発生
- さらに、高濃度のジェルを1日8時間以上使用すると、より強い痛みが生じることがある。
- また、歯茎に炎症が起こり、痛みが伴うこともあるため、使用には十分な注意が必要
⏳ ホームホワイトニングによる知覚過敏の症状と持続期間 ⏳
❗ ホームホワイトニングの知覚過敏の典型的な症状

❄ 冷たいもの、熱いもの、甘いものがしみる
- アイスクリームや冷たい飲み物を飲むとズキッと痛む ❄
- 歯が浮いたような感覚が持続する❄
- 温かい食べ物や甘いものでも刺激を感じることがある 🍵🍰
- 空気がしみることも! 風を当てるとピリッとした痛みが走る 🌬
⏱ ホワイトニング後の知覚過敏の持続期間
📆 一般的にいつから始まるのか?
- ホームホワイトニングを開始して数日後に知覚過敏が生じるのが一般的
📆 一般的にどのくらい続くのか?
- 一度痛みが出ると、その痛みはおおよそ1日程度続く
- 痛みが治まった後に再びホームホワイトニングを再開すると、再び痛みが生じることがある
- ただし、ホワイトニングの回数が多いと長引く可能性も
⏳ すぐに収まる場合と長引く場合の違い
- すぐに収まるケース
- 軽度の知覚過敏で、歯の回復力が高い
- 適切なアフターケア(フッ素塗布、知覚過敏用歯磨き粉の使用)をしている
- 長引くケース
- エナメル質が薄く、象牙細管が広く開いている
- ホワイトニングの濃度が高すぎた or 頻繁に行いすぎた
- 歯ぎしりや強い噛み締めが影響している
✨ ホワイトニング後の知覚過敏は一時的なものがほとんどですが、適切なケアをすることで早く回復できます! 💡
🛡 ホームホワイトニングで知覚過敏を防ぐ方法 🛡
🔹 ホワイトニング前の準備
🦷 事前に知覚過敏用歯磨き粉を使う

- カリウムイオン配合の歯磨き粉(シュミテクト・システマセンシティブなど)で神経を保護
- ホワイトニングの1~2週間前から使用すると効果的
🛡 フッ素塗布による歯の強化
- フッ素がエナメル質を強化し、知覚過敏を軽減
- 歯科医院での高濃度フッ素塗布がおすすめ
🏥 事前の歯科検診でリスクを確認
- 虫歯や歯周病があると知覚過敏のリスクが高まる!
- 歯の状態をチェックし、必要なら事前に治療を行う
🦷 知覚過敏対策
🔹 ステップ1
🔹 ステップ2
🔹 ステップ3
🦷 頑固な知覚過敏がある場合!
1日休む
- 知覚過敏が起こった翌日は、丸1日ホームホワイトニングをお休みする。
- つまり、ホワイトニングによる痛みは約1日続くため、痛みが生じた場合は翌日24時間休止することが推奨される。
- 痛みが治まったら再開。
- 知覚過敏抑制用歯磨き粉(シュミテクト)での歯磨きなど、適切なケアを行うことも忘れずに。
1日あたりの使用時間を短縮
- 例:使用時間を半分にする。
- 使用時間を短くする場合は、その分、使用日数を延ばす。
🚫 一時的に刺激物を避ける(酸性食品、熱い・冷たいもの)
- ホワイトニング直後は歯の表面が一時的に柔らかくなるため、刺激物を避けるのがベスト
- 避けるべき食品例:
- 酸性の飲食物(柑橘類、炭酸飲料、酢)
- 極端に熱い or 冷たい飲み物・食べ物
🏥 歯科での治療法
💎 フッ素塗布やコーティング剤の塗布
- フッ素塗布:エナメル質を強化し、刺激をブロック 🛡
- コーティング剤(レジン・シーラント):象牙細管を封鎖し、痛みを軽減
🔬 知覚過敏抑制処置(レーザー治療・象牙細管封鎖処置)
- レーザー治療:神経の過敏性を低下させ、痛みを和らげる ✨
- 象牙細管封鎖処置(グルタルアルデヒド・カルシウム剤):
- 象牙細管の開口部を封鎖し、刺激を遮断 🦷
✨ 症状が軽い場合はセルフケア、重い場合は歯科での専門的な治療が必要!早めの対処で快適なホワイトニングを継続しましょう! 💡
⚡ホームホワイトニングの歯茎の痛み
原因
ホワイトニングジェルの流出
ホームホワイトニングジェルをマウスピースに所定量より多く入れすぎて溢れ出した場合、歯茎に痛み出たり、白くただれ変色することがあります。
当院のホームホワイトニングジェルは10%を使っているので、多少マウスピースからジェルがこぼれ出したとしても、歯茎に殆ど影響は起こりません。
高濃度のホワイトニングジェルの場合
通販で高濃度のホームホワイトニングジェルを購入して使った場合には、歯茎の痛みやただれが起こることも考えられます。
対処法
- 一旦、マウスピースを外し、うがいをして口内を清潔にした後、ジェルを少量入れて再度装着。
- または、歯茎の状態を確認し、必要であれば歯茎が回復するまでホームホワイトニングを一時中断することも選択肢の一つ。
- 高濃度のホームホワイトニングジェルから10%のホワイトニングジェルに切り替えることで、症状が改善する場合もある。
⚖ 日本の薬事法
現在、個人輸入を含めると、ホームホワイトニングジェルの濃度は10%~45%とさまざまです。日本の薬事法では、10%のジェルのみが認可されています。
しかし、この10%のジェルを使用しても、日本人特有の歯の構造の影響で、約1割の患者さんに知覚過敏や歯が浮くような不快症状が生じることがあります。これは、市販されているほとんどのホワイトニングジェルが欧米人向けに開発された商品であるためです。
🌟知覚過敏になりにくいホームホワイトニング方法とは?🌟
💎 ティオンホワイトニング
🌿 低刺激で人気のホワイトニング方法
- 日本で開発された**「ティオン ホーム ホワイトニング」**は低刺激で人気
- 過酸化尿素を使用し、緩やかに歯を白くするため知覚過敏が起こりにくい
🏥 実際の施術の流れとメリット
- 歯科医院で専用のマウスピースを作成
- 自宅で低濃度ホワイトニング剤を使用し、2週間程度で徐々に白くなる
- 刺激が少なく、持続的なホワイトニング効果が得られる
- 歯の内部までしっかり白くなり、色戻りしにくい
🔍 知覚過敏を最小限に抑えたホワイトニングの選び方
⚖ 低濃度ホワイトニング剤の活用
- 高濃度のホワイトニング剤は即効性があるが、刺激が強い⚡
- **低濃度のホワイトニング剤(過酸化尿素10%)**を使用すると、徐々に白くなり、知覚過敏リスクが軽減
🏥 クリニック選びのポイント
✔ 知覚過敏対策をしているクリニックを選ぶ
✔ ティオンなど低刺激の施術が可能かチェック
✔ ホワイトニング前に歯の健康状態をチェックしてくれるか
✨ 「白い歯にしたいけど、知覚過敏が怖い…」という方は、ティオンを活用し、自分に合ったホワイトニング方法を選びましょう! 💡
🚨オフィスホワイトニングの知覚過敏🚨
⚡術中の知覚過敏の原因
光照射器光源からの熱影響
近年、光照射器の光源の強度が高まっています。ホワイトニング効果が高まる半面、歯や歯茎に熱感またはしびれ感といった違和感を訴える場合があります。
対策
長時間の連続照射はやめ、間欠的に照射すれば、問題は回避出来ます。
⚡術後の痛みの原因
高濃度過酸化水素
日本において厚生労働省から認可されているオフィスホワイトニング用薬剤は・松風社のハイライト ・GC社のTion ・モリタ社のピレーネの三つのみです。
しかし、各歯科医院では、海外から個人輸入する形で高濃度の薬剤の輸入が可能です。
前述したように日本人と欧米人のエナメル質の厚みは異なります。そのため、高濃度の薬剤を日本人に使った場合、かなりの頻度でホワイトニング後の痛みが発生しています。
対策
低濃度の薬剤を使用する。
📆 オフィスホワイトニング後の知覚過敏はいつからいつまで?
オフィスホワイトニング後、自宅に帰って激痛や凍みるといった症状が起こることがありますが、痛みの持続時間は約24時間です。その後痛みの再発はありません。
🩹 自宅で行う知覚過敏対策
知覚過敏などの不快症状の対策は、ホームホワイトニング時に起こる知覚過敏対処法に準じます。また、オフィスホワイトニング後にロキソニンなどの痛み止めを服用しても効果的です。
⚡オフィスホワイトニング後に歯茎が痛む
歯茎の痛みの原因
ガムダム不全
イラストの様にホワオフィスホワイトニング中の歯茎保護・ガムダムイトニング前にレジン系の保護剤で歯茎全体を覆うガムダムを行います。
歯茎保護が不十分であると溶け出したホワイトニング剤が歯茎が白くなり、痛みとともに炎症が起こることがあります。
歯茎の痛みは少し水が凍みる程度からピリピリとした痛みまで様々です。痛みの程度は漏れ出した時間や使用した過酸化水素の濃度などに影響を受けます。
対策
歯茎の白色化が軽度の場合は、経過観察します。重度の場合には、口内炎の薬やビタミン E 軟膏の塗布が有効です。
ホワイトニング前に必要な治療とは?
虫歯や楔状欠損、切端の咬耗があると知覚過敏が起きやすいので術前に治療が必要です。

🦠 虫歯や楔状欠損
小さな虫歯や楔状欠損がある場合、ホワイトニング(オフィス・ホームともに)を行う前に、グラスアイオノマー(フジⅨ)で暫間充填(仮詰め)を行います。グラスアイオノマーの封鎖性は約20日間持続すると考えられます。
ホワイトニング終了後、2週間以上経過してからコンポジットレジン充填を行います。施術直後に充填処置を行わないのは、ホワイトニング直後はコンポジットレジンの接着性が極めて低下しているためです。
施術により白くなるシェードを事前に予測し、あらかじめコンポジットレジンを充填することも可能かもしれませんが、その場合、歯の色のタイプの診断が重要となります。
😬切端の咬耗
切端部がすり減っている場合、ホームホワイトニングやオフィスホワイトニングのいずれにおいても、知覚過敏が生じることがあります。
切端部のすり減りが顕著な場合、ホワイトニングによって白くなると予測されるシェードでコンポジットレジン充填を行っても、審美的に問題はないと考えられます。
すり減りの程度が軽く、風を当ててもしみない場合は、歯肉を保護するガムダム(レジン製)で切端部を覆いながらホワイトニングを行うことも可能です。
✨ 適切な準備・施術・ケアを行えば、ホワイトニング後の知覚過敏を最小限に抑えられます! 💡
❓ 知覚過敏でもホームホワイトニングを続けられる❓
✅ 軽度の知覚過敏なら可能
🔄 ホワイトニングの頻度を調整する
- 毎日実施せず、1日おきや週2~3回に減らすことで負担を軽減
- 歯の回復を待ちながら少しずつ白くするのがポイント!
🌿 低刺激のホワイトニング剤を使用する
- 低濃度の過酸化尿素を使ったホワイトニング(10%)を選ぶ
- ティオンホワイトニングなど、知覚過敏に優しい方法を検討
- 知覚過敏用歯磨き粉と併用して症状を軽減する
❌ 知覚過敏がひどい場合の代替手段
🏥 ホワイトニング以外で歯を白くする方法
✨ 歯のクリーニング
- 歯の表面の汚れや黄ばみを除去することで、自然な白さを取り戻す
- ホワイトニングほどの即効性はないが、歯に優しい方法
🦷 ラミネートベニア
- 歯の表面に薄いセラミックを貼り付けて白くする治療
- 知覚過敏がひどい場合でも、歯を削らずに白くできる方法として人気
✨ 知覚過敏の程度に合わせたホワイトニング方法を選ぶことで、負担を減らしながら理想の白い歯を目指しましょう! 💡
❓よくある質問(FAQ)❓
❌ 知覚過敏用歯磨き粉はホワイトニングの効果を下げる?
🔍 影響はあるが、使い方次第!
- 研磨剤が入っていない知覚過敏用歯磨き粉ならホワイトニングと併用可能
- ホワイトニング効果を長持ちさせるために、フッ素入りの歯磨き粉を使用するのもおすすめ
- ホワイトニング直後は、刺激の少ない歯磨き粉を選びましょう!
⏳ どのくらいの頻度でホワイトニングをすると知覚過敏になりにくい?
📆 頻度の目安
- オフィスホワイトニング → 1~3ヶ月に1回が目安
- ホームホワイトニング → 毎日使用せず、1日おき or 週2~3回に調整
- 知覚過敏がある場合は、低濃度のホワイトニング剤を使用し、間隔を空けるのがベスト!
🏥 ホワイトニングをしたいけど、知覚過敏が怖い場合の相談方法
🦷 歯科医院でカウンセリングを受けるのが安心!
- 知覚過敏のリスクが少ない方法(ティオンホワイトニング)を選ぶ
- 事前にフッ素塗布をして歯を強化してから施術を受ける
- 低刺激のホワイトニング剤を使用し、歯科医師と相談しながら施術のペースを調整
江戸川区篠崎でホワイトニングをお考えの方へ|知覚過敏が心配でも安心!

江戸川区篠崎で**「白く輝く歯」**を手に入れたい方へ。当院では、低刺激で知覚過敏になりにくいホワイトニングを提供しています。
「ホワイトニング後に歯がしみるのが心配…」そんな方もご安心ください!当院では、ティオンホワイトニングなど、知覚過敏を抑えながら歯を白くする施術を導入しています。事前のカウンセリングで、患者様の歯の状態に合わせた最適な方法をご提案。
ホワイトニング初心者の方も、知覚過敏が気になる方も、江戸川区篠崎の当院で安心してホワイトニングを体験しませんか? ご予約・ご相談はお気軽に!
【動画】ホームホワイトニングの効果的なやり方
筆者・院長

深沢 一
Hajime FUKASAWA
- 登山
- ヨガ
メッセージ
日々進化する歯科医療に対応するため、毎月必ず各種セミナーへの受講を心がけております。
私達は、日々刻々と進歩する医学を、より良い形で患者様に御提供したいと考え、「各種 歯科学会」に所属すると共に、定期的に「院内勉強会」を行う等、常に現状に甘んずる事のないよう精進致しております。 又、医療で一番大切な事は、”心のある診療”と考え、スタッフと共に「患者様の立場に立った診療」を、心がけております。











