- 1. 【📹 40秒】黒い歯茎の原因とは?ガムピーリングとセルフケアでピンク色に戻す方法
 - 2. 🦷 黒い歯茎とは?なぜ気になるのか
 - 2.1. 📸 健康的な歯茎との違いをチェック
 - 2.2. 🧠 見た目だけじゃない!「健康のサイン」としての歯茎の色
 - 3. 🔍 黒い歯茎を気にする人が増えている4つの背景
 - 3.1. 😷 マスク生活後の「見た目意識」の変化
 - 3.2. 🌐 SNS・芸能人の影響と“理想の口元”ブーム
 - 3.3. 🦷 ホワイトニング・矯正人気と「歯茎の色」への注目
 - 3.4. 📷 鏡を見る機会が増えたことによる自己意識の変化
 - 4. ⚠️ 黒い歯茎の5つの主な原因とリスク
 - 4.1. 🌑 ① メラニン色素沈着(生理的な黒ずみ)
 - 4.2. 🚬 ② 喫煙による黒ずみ(タール・ニコチンの影響)
 - 4.3. 🧪 ③ 金属の被せ物(メタルタトゥー)
 - 4.4. 🧫 ④ 歯周病による血行不良・壊死
 - 4.5. 👧 ⑤ 子どもの黒い歯茎(生理的or受動喫煙)
 - 5. 🛑 放置NG!黒い歯茎が及ぼす健康・審美リスク
 - 5.1. 👀 見た目の印象ダウンでコンプレックスに
 - 5.2. ⚠️ 病気の見逃しリスク(歯周病・根尖病巣など)
 - 6. 💡 黒い歯茎の5つの治療法
 - 6.1. 💊 ① ガムピーリング(薬剤による色素除去)
 - 6.1.1. フェノールアルコール法の症例
 - 6.2. 🔥 ② レーザー治療(ピンポイントでメラニン除去)
 - 6.3. 🦷 ③ メタル除去+セラミック治療(メタルタトゥー対策)
 - 6.4. 🧼 ④ 歯周病治療(スケーリング・抗菌療法)
 - 6.5. 🏠 ⑤ ホームケア+生活習慣の見直し
 - 7. 💡 黒い歯茎の治療例
 - 7.1. 術前:黒い歯茎の治療例
 - 7.1.1. 🦷 メタルボンド冠の歯頚部(金属露出)
 - 7.1.2. 🪥 歯茎退縮と歯根の変色
 - 7.1.3. ⚫ メタルコアによるメタルタトゥー(歯肉の黒ずみ)
 - 7.2. 術中:黒い歯茎の治療例
 - 7.2.1. 🦷 左上1番(中切歯):ファイバーコア
 - 7.2.2. ⚙️ 右上2番(側切歯):白金加金コア
 - 7.2.3. 🦷 右上3番(犬歯):生活歯
 - 7.2.4. 🎨 シェードガイドによるシェードテイキング
 - 7.3. 術後:黒い歯茎の治療例
 - 7.3.1. 🦷 ポーセレンマージンの特徴
 - 7.3.2. 🌸 審美的な改善点
 - 7.3.3. ⚙️ 機能的なポイント
 - 8. 💰フェノールアルコール法の費用
 - 8.1. 自費治療
 - 9. 🍎 歯茎の黒ずみを防ぐために|今日からできる習慣
 - 9.1. 🪥 やさしい歯磨きと歯茎マッサージ
 - 9.2. 🥦 歯茎の色を支える栄養素(ビタミンC・E・鉄分)
 - 9.3. ☀️ 紫外線対策&口元の保湿
 - 10. 💬 よくある質問(Q&A)
 - 10.1. ❓ 黒い歯茎は自然に治ることはある?
 - 10.2. ❓ 歯のホワイトニングで歯茎も白くなる?
 - 10.3. ❓ 子どもの黒い歯茎は大丈夫?
 - 10.4. ❓ どこまでが正常?歯科医院に相談すべきタイミングは?
 - 11. 📝 まとめ|黒い歯茎は“美しさと健康”のカギ
 - 12. 🏥江戸川区篠崎で黒い歯茎の治療なら、専門的なケアが受けられる当院へ!
 - 13. 【動画】初期虫歯COを削らずに自分で治す方法
 - 14. 筆者・院長
 

「歯は白いのに、なんだか歯茎の色が黒っぽい…」
鏡を見るたびに気になるその黒ずみ、もしかすると体からのサインかもしれません。
歯茎の黒ずみは、見た目の印象を左右するだけでなく、口腔内や全身の健康状態を反映する重要な指標です。ホワイトニングや矯正で歯を美しく整えても、歯茎が黒いままだと理想の口元は完成しません。
本記事では、黒い歯茎の主な原因・見分け方・放置によるリスクから、最新の治療法・日常でできる予防法まで、歯科医監修のもとで徹底解説します。
「黒い歯茎、どうにかしたい」
そう思った今こそ、自分に合ったケアを始めるタイミングです。
【📹 40秒】黒い歯茎の原因とは?ガムピーリングとセルフケアでピンク色に戻す方法
🦷 黒い歯茎とは?なぜ気になるのか
📸 健康的な歯茎との違いをチェック
健康な歯茎の色は、薄いピンク色でツヤがあり、弾力があるのが特徴です。歯と歯の間の歯茎は、きれいな三角形をしており、「スティップリング」と呼ばれる細かな点状の凹みが見られることもあります。
一方、黒ずんだ歯茎は、暗褐色や黒紫色に変色していて、見た目に不健康な印象を与えてしまいます。とくに笑ったときに目立つため、コンプレックスにつながることもあります。

🧠 見た目だけじゃない!「健康のサイン」としての歯茎の色
歯茎の色は、口元の美しさだけでなく、全身の健康状態を映す鏡でもあります。例えば、歯周病が進行すると歯茎が紫がかって黒くなったり、喫煙や金属による影響で黒ずむこともあります。

また、最近ではホワイトニングや矯正治療で「歯の白さ」に注目が集まる一方で、歯茎の色も“理想の口元”に欠かせない要素として意識されるようになりました。SNSやテレビで見るピンク色の美しい歯茎に憧れを抱く方が増えており、黒い歯茎が気になるという声が多くなっています。
🔍 黒い歯茎を気にする人が増えている4つの背景
😷 マスク生活後の「見た目意識」の変化
コロナ禍によるマスク生活が長く続いたことで、人と接する機会が減り、自分の口元を気にする時間も少なくなっていました。しかしマスクを外す生活に戻ると、一気に“口元の見た目”が注目されるようになりました。その中で「歯は白くても歯茎が黒い…」というギャップに気づく方が増えています。
🌐 SNS・芸能人の影響と“理想の口元”ブーム
インスタグラムやYouTubeなどのSNSで活躍するモデル・芸能人たちの美しい笑顔や歯茎の色が注目されるようになり、「ピンク色の歯茎=清潔感・若々しさ」というイメージが浸透しています。その結果、「自分の歯茎の色は大丈夫かな?」と意識する人が増加しています。
🦷 ホワイトニング・矯正人気と「歯茎の色」への注目
歯のホワイトニングや矯正治療が一般的になった今、「歯が白く整っているのに、歯茎の黒ずみが気になる」と感じる方も少なくありません。歯の美しさが際立つほど、歯茎の色が目立ちやすくなるため、治療後に歯茎の黒さに気づくケースも増えています。
📷 鏡を見る機会が増えたことによる自己意識の変化
オンライン会議やビデオ通話が日常化し、自分の顔や口元を画面で見る機会が増えたことも影響しています。“他人からどう見えるか”を意識する中で、歯茎の黒ずみに気づきやすくなったという背景があります。とくに笑ったときや話すときの歯茎の色が気になる方が増え、「改善したい」というニーズが高まっています。
⚠️ 黒い歯茎の5つの主な原因とリスク
🌑 ① メラニン色素沈着(生理的な黒ずみ)
メラニン色素は、紫外線や外部刺激から体を守るために作られる自然な防御成分です。肌と同様に、歯茎にもこのメラニンが存在します。遺伝的に色素が多い方や、口呼吸・紫外線・硬い歯ブラシによる刺激などがあると、歯茎にメラニンが沈着しやすくなります。
また、妊娠中のホルモン変化によっても色素沈着が促進され、歯茎が一時的に黒っぽく見えることがあります。このような黒ずみは生理的なものであり、健康に大きな悪影響を及ぼすものではありませんが、見た目が気になる場合は治療の対象になります。


🚬 ② 喫煙による黒ずみ(タール・ニコチンの影響)
タバコに含まれるニコチンやタールなどの有害物質は、歯茎の粘膜に刺激を与え、体が守ろうとしてメラニンを過剰に生成する原因となります。
初期はくすんだ色味から始まり、長期間の喫煙によって黒紫色へと変化。さらに毛細血管の血流が悪化し、歯周病のリスクも高まります。禁煙すれば色素の新たな沈着は防げますが、沈着済みの黒ずみは自然に戻らないことが多く、治療が必要になる場合もあります。


🧪 ③ 金属の被せ物(メタルタトゥー)
銀歯や保険の差し歯など、金属製の被せ物やメタルコアを長年使用していると、金属イオンが歯茎に染み出して黒ずむことがあります。これを「メタルタトゥー」と呼びます。
この黒ずみは、特定の歯の周辺だけに局所的に現れるのが特徴で、金属アレルギーを引き起こすリスクもあるため、見た目だけでなく健康面でも注意が必要です。治療には金属の除去とセラミックへの交換、またはレーザー治療などが有効です。
下記の口腔内写真は、上顎右側の2番にメタルタトゥーが認められる症例です。これは、メタルコア(金属製の土台)から溶け出した金属イオンが沈着したことによるものと考えられます。

🧫 ④ 歯周病による血行不良・壊死
歯周病が進行すると、歯茎の血流が悪化し、酸素や栄養が届きにくくなることで黒ずみが生じます。炎症が強い場合には歯茎が紫〜黒に変色し、腫れ・出血・口臭などを伴うことも。
この場合、見た目の黒ずみは**“歯を失う一歩手前”のサイン**ともいえるため、早めの治療が必須です。スケーリングやルートプレーニングなどの歯周病治療で改善が期待できます。
下記の症例は、歯周病による炎症反応の結果、歯肉が赤褐色を呈したものです。

👧 ⑤ 子どもの黒い歯茎(生理的or受動喫煙)
子どもでも、遺伝や体質によってメラニン色素が自然に沈着し、歯茎が黒く見えることがあります。とくに乳幼児では、上の前歯の歯茎に帯状の黒ずみが現れるケースがよくあります。
また、受動喫煙も子どもの歯茎の色に影響を与えることが知られています。家庭内での喫煙は控え、健康的な環境を整えることが大切です。ほとんどの場合、成長とともに自然に改善するため、過度な心配は不要ですが、急激な変化があれば歯科での確認をおすすめします。

🛑 放置NG!黒い歯茎が及ぼす健康・審美リスク
👀 見た目の印象ダウンでコンプレックスに
歯が白くても、歯茎が黒ずんでいるだけで**「不健康そう」「老けて見える」**といった印象を与えてしまいます。笑ったときや話しているときに歯茎が見える場面では、どうしても視線が気になる…という声も少なくありません。
「黒い歯茎を見られるのが恥ずかしい」と感じるようになると、口元を隠す癖や人との会話を避ける傾向が出ることもあり、コンプレックスから自信を失ってしまうケースもあります。
放置せずに治療やケアを始めることで、見た目の悩みが解消され、自信をもって笑えるようになる人も多いのです。
⚠️ 病気の見逃しリスク(歯周病・根尖病巣など)
黒い歯茎のすべてが美容上の問題というわけではなく、見た目の黒ずみの裏に“病気のサイン”が隠れていることもあります。
特に注意が必要なのは以下のようなケースです:
- 歯周病による血行不良や壊死
 - 根管治療後の歯根の変色(根尖病巣)
 - 金属の詰め物による慢性的な刺激や炎症
 
こうした病的な原因による黒ずみを見逃すと、歯茎の後退・歯のぐらつき・最悪の場合は抜歯につながることもあります。
「黒いだけだから大丈夫」と思わず、色の変化には早めに気づいて対処することが、歯と歯茎を守る第一歩です。
💡 黒い歯茎の5つの治療法

💊 ① ガムピーリング(薬剤による色素除去)
メラニン色素が沈着した歯茎の表面を薬剤で取り除き、下からピンク色の健康な組織を再生させる治療法です。
よく使われるのが「フェノール・アルコール法」で、表面麻酔後にフェノール液を塗布し、無水アルコールで中和して終了します。
✅ 効果:軽度~中度の黒ずみに高い改善効果
✅ 回数:1~3回程度で済むことが多い
⚠️ 注意:妊娠中・授乳中の方や薬剤アレルギーがある方は適応外です
フェノールアルコール法の症例

術前
メラニン色素沈着で黒ずみのある歯茎です。

術後
フェノールアルコール法は、ほとんどの症例で1~2回で終了出来ます。
写真のケースは1回の処置でほぼ満足するレベルのピンク色になっています。
🔥 ② レーザー治療(ピンポイントでメラニン除去)
黒ずみの原因であるメラニン色素をレーザーの熱で選択的に除去します。周囲の健康な組織を傷つけにくいため、出血や腫れもほとんどありません。
✅ 特徴:痛みが少なく、短時間で処置可能(約30分)
✅ 回数:1回で済むこともありますが、濃い黒ずみは2~3回必要な場合も
⚠️ 注意:治療直後はヒリヒリ感や一時的な白変が出ることがあります
🦷 ③ メタル除去+セラミック治療(メタルタトゥー対策)
金属の差し歯やメタルコアが原因で黒くなった歯茎には、金属を取り除き、生体親和性の高いセラミックへ交換する治療が有効です。
✅ メリット:アレルギーリスクを避け、自然な見た目に
✅ デメリット:保険適用外の場合が多く、やや高額
✅ 補足:色素沈着が深い場合は、レーザーとの併用でより効果的
審美的に大きな欠点となります。
最近では、金属を使わないファイバーコア(グラスファイバー強化樹脂)を使用することで、このような黒ずみを防ぐことができます。
🧼 ④ 歯周病治療(スケーリング・抗菌療法)
歯周病が原因で歯茎が黒ずんでいる場合は、炎症を抑え、血流を回復させることが最優先です。歯石やプラークを除去し、場合によっては抗生物質を使用します。
✅ 代表的な処置:スケーリング、ルートプレーニング、PMTC
✅ 期待できる効果:炎症の改善とともに、歯茎の色も徐々に回復
⚠️ 放置すると歯のぐらつき・喪失に進行するため、早期対応が重要です
🏠 ⑤ ホームケア+生活習慣の見直し
歯茎の黒ずみの予防や軽度の改善には、毎日のセルフケアと生活習慣の改善が不可欠です。
✅ できること:
- 禁煙(新たなメラニン沈着を防止)
 - 鼻呼吸への切り替え(口呼吸による刺激を軽減)
 - 柔らかめの歯ブラシで丁寧にブラッシング
 - ビタミンや鉄分を意識した食生活
 
⚠️ 市販の歯磨き粉ではメラニン色素は取れないため、正しい知識でケアすることが大切です。
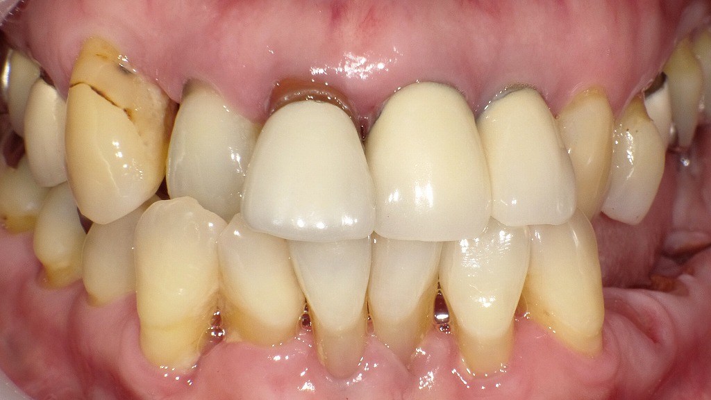
💡 黒い歯茎の治療例
術前:黒い歯茎の治療例

🦷 メタルボンド冠の歯頚部(金属露出)
前歯の上部(歯と歯ぐきの境目)に黒っぽく見えるラインは、**メタルボンドクラウン(金属焼付ポーセレン冠)**の内側金属が露出している部分です。
メタルボンドは内部に金属フレームがあり、その上にセラミックを焼き付けて作られています。
しかし、**歯ぐきが下がる(歯肉退縮)**と、本来歯ぐきで隠れていた金属が見えてしまい、審美的に目立つ黒線となります。
🪥 歯茎退縮と歯根の変色
右上1番の歯ぐきが下がり、歯根(象牙質)が露出しています。
露出した象牙質は、エナメル質よりも柔らかく、黄褐色や茶色に変色しやすい特徴があります。
これは加齢や強すぎるブラッシング、歯周病による歯肉退縮などが原因で起こります。
⚫ メタルコアによるメタルタトゥー(歯肉の黒ずみ)
上の前歯の歯ぐきに見られる黒っぽい変色は、メタルコア(金属の支台築造)に由来する「メタルタトゥー(metal tattoo)」です。
これは、金属成分が微量に歯肉組織に溶け出したり、金属粉が歯肉に沈着することで発生します。
健康上の問題は少ないですが、審美的に大きな欠点となります。
最近では、金属を使わないファイバーコア(グラスファイバー強化樹脂)を使用することで、このような黒ずみを防ぐことができます。
術中:黒い歯茎の治療例

🦷 左上1番(中切歯):ファイバーコア
左上1番は根管治療後にファイバーコア(グラスファイバー支台)が築造されています。
金属を使用しないため、光の透過性が高く、審美的に自然な色調が得られるのが特徴です。また、金属イオンの溶出による歯肉の黒ずみ(メタルタトゥー)を防止できます。
今後、この上にオールセラミック冠を装着することで、自然な透明感のある仕上がりが期待できます。
⚙️ 右上2番(側切歯):白金加金コア
右上2番には白金加金(金合金系)コアが築造されています。
白金加金は耐久性・適合性に優れ、長期的に安定した支台材料です。
ただし、金属色が透けやすいため、セラミッククラウンを被せる際には遮蔽性の高いセラミック材料の選択が望まれます。
🦷 右上3番(犬歯):生活歯
右上3番は生活歯(神経が残っている歯)であり、天然歯の色調や透明感が保たれています。
この歯は削合後、周囲の補綴歯と色調調和を取る基準として重要です。
🎨 シェードガイドによるシェードテイキング
写真右側では、**シェードガイド(色見本)**を用いて歯の色調確認(シェードテイキング)が行われています。
既存歯や隣在歯の色味に合わせてクラウンの色を選ぶことで、より自然で違和感のない仕上がりにすることが可能です。
この工程は、特に前歯のような審美領域では非常に重要です。
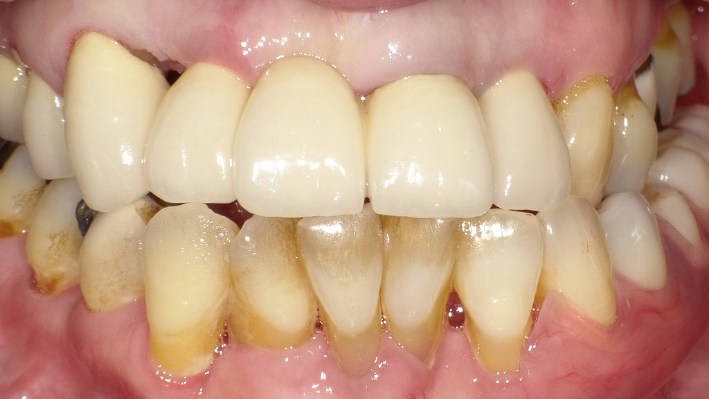
術後:黒い歯茎の治療例

この症例は、ファイバーコアや白金加金コアで支台を整えた後、ポーセレンマージン型メタルボンドブリッジを装着した最終補綴の状態です。
金属露出がなく、歯ぐきとの境界が自然に仕上がっており、長期的な審美維持が期待できる症例といえます。
🦷 ポーセレンマージンの特徴
本症例のブリッジは、**歯頚部(歯と歯ぐきの境目)までセラミックで覆う“ポーセレンマージンタイプ”**のメタルボンドブリッジです。
通常のメタルボンドでは、歯頚部近くに金属の縁(メタルマージン)が露出し、歯ぐきが下がると黒いラインが見えることがあります。
しかしポーセレンマージンでは、マージン部も陶材で仕上げてあるため、金属ラインが見えず自然な仕上がりになります。
🌸 審美的な改善点
- 金属の影響を受けにくく、歯ぐきとの境界が自然で美しい。
 - 透明感のある前歯部の色調を再現しやすい。
 - 笑った際にも歯頚部に黒ずみが出ない。
 
特に前歯部の審美回復には適しており、自然な光沢と明るさが再現されています。
⚙️ 機能的なポイント
- メタルフレームの強度により、ブリッジとしての耐久性が高い。
 - 咬合(噛み合わせ)もしっかり安定しており、機能性と審美性を両立した設計です。
 
💰フェノールアルコール法の費用
自費治療
保険適用外です。
| 治療内容 | 値段(税別) | |
|---|---|---|
| メラニン色素除去 | 上顎or下顎(3回迄) ※ フェノールアルコール法では、多くても3回行えば、 ほぼ綺麗なピンク色になっていきます。  | 初回  ¥9,800 2回目以降 ¥6,800  | 
🍎 歯茎の黒ずみを防ぐために|今日からできる習慣
🪥 やさしい歯磨きと歯茎マッサージ
歯茎を黒ずませないためには、歯茎への過度な刺激を避けることが第一歩です。硬すぎる歯ブラシや強い力でのブラッシングは、歯茎を傷つけて炎症を起こし、メラニン沈着を招く原因になります。
✅ 歯茎ケアのポイント
- 柔らかめの歯ブラシを選ぶ
 - 歯と歯茎の境目をなでるようにやさしく磨く
 - 歯磨き後に、指の腹で歯茎を優しくマッサージすると血行が促進され、ピンク色の健康な歯茎を維持しやすくなります。
 
🥦 歯茎の色を支える栄養素(ビタミンC・E・鉄分)
歯茎の健康には、血流や細胞の修復に関わる栄養素の摂取も重要です。
🟢 ビタミンC(ピーマン、キウイ、柑橘類など)
→ コラーゲンの生成を助け、歯茎のハリと血色をサポート
🟠 ビタミンE(アーモンド、アボカド、かぼちゃなど)
→ 抗酸化作用で歯茎の老化を予防
🔴 鉄分(レバー、赤身の肉、ほうれん草など)
→ 血行促進・貧血予防により歯茎が青白くなるのを防ぐ
毎日の食事でバランスよく取り入れることで、内側から健康的なピンク色の歯茎を育てることができます。
☀️ 紫外線対策&口元の保湿
意外と見落とされがちなのが、歯茎の紫外線対策です。特に唇をめくったときに見える前歯の歯茎は、紫外線の刺激を直接受けることがあり、メラニン生成の原因になります。
また、口呼吸が癖になっていると、歯茎が乾燥してバリア機能が低下し、外的刺激に弱くなります。

🌤 対策のポイント
- リップクリーム+UVカット効果で唇と歯茎周辺を保護
 - 口呼吸→鼻呼吸への改善で乾燥と刺激を軽減
 - 就寝時の加湿器の使用や、口を閉じて寝るためのテープも効果的です
 
💬 よくある質問(Q&A)
❓ 黒い歯茎は自然に治ることはある?
原因によっては自然に改善することもあります。
たとえば、喫煙による黒ずみは禁煙によって徐々に薄くなる可能性がありますし、妊娠中のホルモンバランスによる黒ずみも、出産後に自然に目立たなくなることがあります。
ただし、長年にわたるメラニン沈着や、金属が原因の黒ずみ(メタルタトゥー)、歯周病による変色は自然回復が難しく、専門的な治療が必要です。
❓ 歯のホワイトニングで歯茎も白くなる?
いいえ、歯のホワイトニングは歯の表面に作用する治療であり、歯茎の黒ずみには効果がありません。
むしろ、漂白剤の刺激で歯茎が一時的に白くなったり、軽い炎症を起こすケースもあるため、歯茎の色を改善したい場合は別の処置(ピーリングやレーザー治療)が必要です。
❓ 子どもの黒い歯茎は大丈夫?
ほとんどの場合は心配ありません。
子どもの歯茎に見られる黒ずみは、生理的なメラニン色素の沈着であることが多く、成長とともに目立たなくなる傾向があります。
ただし、受動喫煙や口呼吸の影響もあるため、生活環境の見直しが重要です。急に黒ずみが濃くなったり、歯茎が腫れる・出血するような場合は、念のため歯科で診てもらいましょう。
❓ どこまでが正常?歯科医院に相談すべきタイミングは?
以下のような場合は、歯科での診察をおすすめします。
- 黒ずみが急に濃くなったり広がった
 - 歯茎に腫れや痛み・出血がある
 - 黒ずみが金属の詰め物や差し歯の近くに限局している
 - 見た目のコンプレックスを感じている
 
「これは治療が必要なのか?」「原因は何か?」を見極めるには、**プロの診断が欠かせません。**気になることがあれば、遠慮せず歯科医院に相談しましょう。
📝 まとめ|黒い歯茎は“美しさと健康”のカギ
歯茎の黒ずみは、見た目の印象だけでなく、健康状態のサインでもあります。メラニン色素の沈着や喫煙、金属、歯周病など、原因はさまざま。大切なのは、自分の黒ずみがどのタイプなのかを正しく見極めることです。
最近では、レーザーやピーリングなどの歯茎専用の治療法も進化しており、黒ずみの改善が可能になっています。また、日々の歯磨きや食生活の見直しといったホームケアも予防には効果的です。
「歯が白くても、歯茎が黒いと自信が持てない…」
そんなお悩みを抱えているなら、まずは一度、歯科医院で相談してみましょう。歯と歯茎が調和した口元こそが、本当の美しさと健康の証です。今からでも遅くありません。あなたに合ったケアを始めて、理想の笑顔を手に入れましょう。
🏥江戸川区篠崎で黒い歯茎の治療なら、専門的なケアが受けられる当院へ!

「黒い歯茎が気になる…」「ピンク色の健康的な歯茎に戻したい!」そんなお悩みはありませんか?
当院では、メラニン色素の沈着・喫煙・歯周病・金属の影響など、黒い歯茎の原因に合わせた最適な治療 を提供しています。
✔ ピーリングで歯茎の黒ずみを除去
✔ 歯周病治療で健康的な歯茎に改善
✔ 金属による黒ずみはセラミック治療で対応
江戸川区篠崎で歯茎の黒ずみに悩んでいる方は、ぜひ一度ご相談ください!
専門的な診断と最適な治療法で、あなたの歯茎を美しく健康に導きます。
📍 篠崎駅から徒歩1分!まずはお気軽にご予約を ✅
【動画】初期虫歯COを削らずに自分で治す方法
筆者・院長

深沢 一
Hajime FUKASAWA
- 登山
 - ヨガ
 
メッセージ
日々進化する歯科医療に対応するため、毎月必ず各種セミナーへの受講を心がけております。
私達は、日々刻々と進歩する医学を、より良い形で患者様に御提供したいと考え、「各種 歯科学会」に所属すると共に、定期的に「院内勉強会」を行う等、常に現状に甘んずる事のないよう精進致しております。 又、医療で一番大切な事は、”心のある診療”と考え、スタッフと共に「患者様の立場に立った診療」を、心がけております。


