- 1. 🦷虫歯の穴に食べ物が詰まる理由
- 1.1. 🔎穴ができる仕組み
- 1.2. 🛠️詰め物・被せ物の隙間
- 1.3. 😬歯並びや噛み合わせの影響
- 1.3.1. 🦷 観察所見
- 1.3.1.1. 💡 臨床的考察
- 2. 食べ物が詰まる症例
- 2.1.1. 🦷 状況の概要
- 2.1.2. 🩺 臨床所見
- 2.1.3. 🧬 診断推定
- 2.1.4. 💡 治療方針(例)
- 2.1.5. 📋 注意点
- 3. 🍚食べ物が詰まったまま放置するとどうなる?
- 3.1. 🦷虫歯の進行
- 3.2. 😷歯周病や口臭の原因に
- 3.3. 💥歯の破折や神経の炎症
- 4. 🛠虫歯の穴に食べ物が詰まったときの対処法
- 4.1. 🚑応急処置
- 4.2. 🏥歯科医院での処置
- 5. ✅食べ物が詰まらないようにする予防法
- 5.1. 🪥日常のセルフケア
- 5.2. 👩⚕️定期的な歯科検診
- 6. 📌まとめ|食べ物が詰まるのは虫歯のサインかも?
- 7. 虫歯の穴に食べ物が詰まる原因と予防法|二次カリエスを防ぐには
- 8. 【動画】初期虫歯COを削らずに自分で治す方法
- 9. 筆者・院長

ご飯を食べていると、虫歯の穴に食べ物が詰まることはありませんか?
「ちょっと不便なだけ」と思って放置してしまう方も少なくありません。
しかし、食べ物が詰まりやすい状態は、虫歯の進行や詰め物・被せ物の劣化、歯並びの不具合などが原因で起こっている可能性があります。
そのままにしておくと、虫歯が悪化して神経に達する痛みや、歯周病・口臭のリスクへとつながることも。
本記事では、虫歯の穴に食べ物が詰まる原因と放置したときの危険性、そして自宅でできる応急処置や歯科医院での治療・予防法をわかりやすく解説します。
🦷虫歯の穴に食べ物が詰まる理由

🔎穴ができる仕組み
虫歯が進行すると歯に小さな穴があきます。
そのすき間に食べかすが入り込みやすくなり、取り除きにくいため、虫歯がさらに悪化しやすくなります。
🛠️詰め物・被せ物の隙間
治療後の詰め物や被せ物は、経年劣化や浮き上がりが起こることがあります。
その小さな隙間に食べ物が詰まると、**二次カリエス(再びできる虫歯)**の原因となります。
😬歯並びや噛み合わせの影響
歯並びが乱れていたり、噛み合わせが悪いと、歯と歯の間に食べ物が残りやすい状態になります。
これにより細菌が繁殖しやすくなり、虫歯が進行しやすい環境が整ってしまいます。
この写真は右上の小臼歯から大臼歯にかけての口腔内写真です。矢印の指している部分(上顎右側第2小臼歯=5番の近心面)に、以下のような特徴が見られます。

🦷 観察所見
- 5番近心面に虫歯(う蝕)の穴
矢印部分に黒褐色の窪みがあり、隣接面う蝕(コンタクトカリエス)が確認できます。初期ではなく、象牙質まで進行している可能性が高い状態です。 - 食べ物が詰まりやすい隙間
4番(第1小臼歯)との接触点が緩く、食片圧入が起きやすい状況。患者は「食べ物が詰まる」「歯ぐきが痛い」などの症状を訴えています。 - コンタクト(歯と歯の接触点)のずれ
本来であれば、4番と5番の間にしっかりと接触点が形成されている必要がありますが、歯並びの乱れからわずかにずれています。これが食片圧入や虫歯の原因になっています。 - 辺縁隆線(咬合面の高さ)のずれ
4番と5番の辺縁隆線の高さに段差があり、歯列全体の咬合バランスにも影響を与える可能性があります。
💡 臨床的考察
このようなケースでは、
- う蝕の除去
- 接触点の適正化(コンタクト形成)
- 咬合面の隆線の高さを整える修復
が必要になります。
また、再発防止のためには、隣接面清掃(デンタルフロスや歯間ブラシ)の習慣化が重要です。
👉 食べ物がよく詰まるのは「ただの不便」ではなく、虫歯や治療後の異常のサインかもしれません。早めに歯科医院でチェックを受けることが大切です。
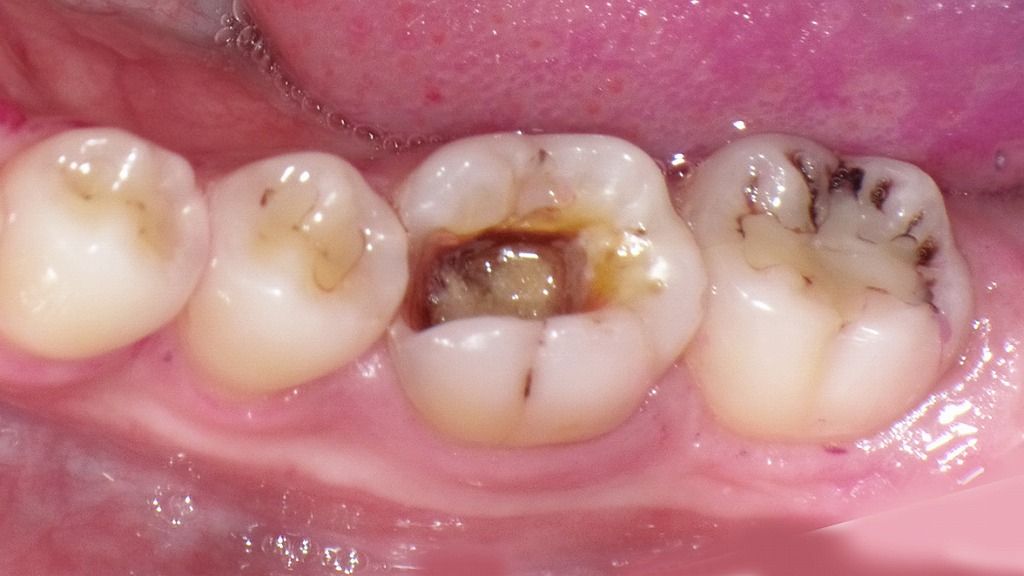
食べ物が詰まる症例
この写真は下顎左側の臼歯部(6番を中心)を示しています。以下に詳細を解説します。

🦷 状況の概要
中央の**下顎第1大臼歯(6番)**に注目すると、インレー(詰め物)が脱離しており、歯の内部に黒褐色の虫歯(カリエス)が確認されます。象牙質が露出しており、中心部には変色した軟化象牙質が残存しています。
🩺 臨床所見
- 歯種:下顎左側第1大臼歯(6番)
- 状態:金属インレー脱離後、う蝕再発(C2程度)
- 症状:
- 自発痛なし(常時の痛みはない)
- 冷たいものにしみる(冷刺激痛:可逆性歯髄炎の可能性)
- 食片圧入あり(隣接面の開放)
🧬 診断推定
- 診断名:C2(象牙質う蝕)
- う蝕範囲:咬合面中心部〜近心辺縁隆線部
- 歯髄反応:生活歯、冷水痛あり(軽度)
- 歯周組織:歯肉は軽度の発赤を認めるが、明らかな腫脹や排膿はなし
💡 治療方針(例)
- う蝕除去・感染象牙質の清掃
- 歯髄の状態確認
→ 生活反応があれば保存的修復 - 再修復
- コンポジットレジン充填(CR修復)または
- インレー再製作(金属またはセラミック) - 隣接面閉鎖による食片圧入の改善
- 再発予防指導(プラークコントロール・フロス使用)
📋 注意点
このまま放置すると、う蝕がさらに進行しC3(歯髄炎)→根管治療が必要になる可能性があります。
現在の段階(C2)での早期処置が、歯の保存と治療の簡便化につながります。
🍚食べ物が詰まったまま放置するとどうなる?
🦷虫歯の進行
食べ物が詰まった部分には**歯垢(プラーク)**がたまりやすくなります。
その結果、虫歯がさらに進行し、象牙質や神経にまで達するリスクが高まります。
😷歯周病や口臭の原因に
詰まった食べかすは細菌の温床となり、歯ぐきの炎症を引き起こします。
そのまま放置すると歯周病の進行や強い口臭の原因になることもあります。
💥歯の破折や神経の炎症
硬い食べ物が繰り返し詰まることで、歯に過度な負担がかかります。
その結果、歯がひび割れたり、神経が炎症を起こして激しい痛みを伴うこともあります。
👉 「ちょっと食べ物が詰まるだけだから大丈夫」と思わず、早めの歯科受診が大切です。
🛠虫歯の穴に食べ物が詰まったときの対処法
🚑応急処置
食べ物が詰まったときは、まず自宅でできる範囲のケアを行いましょう。
- 🧵 デンタルフロスや歯間ブラシでやさしく取り除く
- ❌ 爪楊枝や針金など、尖ったもので無理にほじらない(歯や歯ぐきを傷つける恐れあり)
🏥歯科医院での処置
自分で取りきれない場合や、詰まりが頻繁に起こる場合は歯科医院へ。
- 🔄 詰め物・被せ物の再治療(隙間や劣化がある場合)
- 🦷 **根管治療(神経の治療)**が必要になるケースも
👉「詰まりやすい=虫歯や治療後の異常のサイン」の可能性があるため、放置せず早めに相談することが大切です。
✅食べ物が詰まらないようにする予防法
🪥日常のセルフケア
毎日のちょっとした習慣が、虫歯や食べ物の詰まりを防ぎます。
- 🧵 フロスや歯間ブラシを使って、歯と歯の間をきれいに保つ
- ✨ フッ素配合歯磨き粉を使用し、歯を強くして虫歯を予防する
👩⚕️定期的な歯科検診
セルフケアだけでは限界があるため、プロのチェックも欠かせません。
- 🔍 虫歯の早期発見・早期治療で重症化を防ぐ
- 🛠 詰め物や被せ物の状態を確認して、二次カリエスを予防する
👉「食べ物がよく詰まるな…」と感じたら、それはお口からのSOSサインかもしれません。セルフケア+歯科医院でのチェックで、トラブルを未然に防ぎましょう✨
📌まとめ|食べ物が詰まるのは虫歯のサインかも?
- 🍚 虫歯の穴に食べ物が詰まるのは危険信号
- 😷 放置すると虫歯の悪化、歯周病や口臭のリスクが高まる
- 🪥 フロスや歯間ブラシなどのセルフケアで予防を
- 👩⚕️ 定期検診や治療で歯を守ることが大切
👉「ちょっと気になる」段階で受診することが、歯を長く健康に保つ秘訣です✨
江戸川区篠崎で虫歯や食べ物の詰まりが気になる方は、どうぞお気軽に当院までご相談ください。
虫歯の穴に食べ物が詰まる原因と予防法|二次カリエスを防ぐには

「食べ物がよく詰まるのは仕方ない」と思っていませんか?
実はそれ、虫歯や詰め物の劣化のサインかもしれません。放置してしまうと、虫歯の悪化や歯周病・口臭の原因につながることもあります。
当院では、食べ物が詰まりやすい原因を丁寧に診査し、虫歯治療・詰め物や被せ物の調整・予防ケアまで一人ひとりに合わせた治療をご提案しています。
「ちょっと気になる」程度でも大丈夫です。小さな違和感のうちに受診することが、歯を長持ちさせる一番の近道です。
江戸川区篠崎駅南口徒歩1分の当院なら、通いやすく安心の環境でお口の健康をサポートいたします。お気軽にご相談ください。
【動画】初期虫歯COを削らずに自分で治す方法
筆者・院長

深沢 一
Hajime FUKASAWA
- 登山
- ヨガ
メッセージ
日々進化する歯科医療に対応するため、毎月必ず各種セミナーへの受講を心がけております。
私達は、日々刻々と進歩する医学を、より良い形で患者様に御提供したいと考え、「各種 歯科学会」に所属すると共に、定期的に「院内勉強会」を行う等、常に現状に甘んずる事のないよう精進致しております。 又、医療で一番大切な事は、”心のある診療”と考え、スタッフと共に「患者様の立場に立った診療」を、心がけております。


