- 1. 【🎞️ 33秒】唾液の働きとは?驚くべき役割とその仕組み
- 2. 🧪 唾液の基本知識と仕組み
- 2.1. 💧 唾液とは何か?主成分と1日の分泌量
- 2.2. 🧠 唾液が分泌されるメカニズム
- 2.2.1. ▶ 耳下腺・顎下腺・舌下腺の違いと働き
- 2.2.2. ▶ 自律神経との関係、ストレスや水分補給との関係
- 3. 🛡 唾液が持つ9つの重要な働き
- 3.1. 🧼 自浄作用と抗菌作用|お口の健康を守る第一防衛線
- 3.2. 🧂 緩衝作用|酸性環境から歯を守る
- 3.3. 🪨 再石灰化作用|虫歯予防の自然修復力
- 3.4. 🫧 粘膜保護と潤滑作用|ムチンの働きと嚥下のサポート
- 3.5. 😷 口臭予防作用|舌苔や細菌へのアプローチ
- 3.6. 🦷 入れ歯の安定化作用|装着の快適さを保つ
- 3.7. 🌱 成長因子の働き|NGFとEGFがもたらす全身への影響
- 3.8. 🍚 消化サポート|アミラーゼによる炭水化物分解
- 3.9. 🛡 免疫サポート|リゾチーム・ラクトフェリンの役割
- 4. 💡 唾液の働きが低下するとどうなる?
- 4.1. 🦠 虫歯・歯周病・口臭のリスク上昇
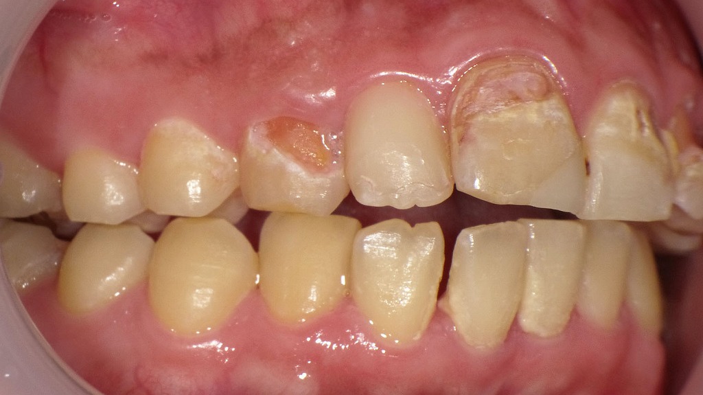
- 4.1.1. 📸 唾液の働きが低下すると進行しやすい虫歯
- 4.2. 🧂 味覚異常・嚥下障害・消化不良の発生
- 4.3. 🚨 全身への影響|感染症や認知機能の低下との関連
- 5. 💪 唾液の分泌を促す具体的な方法
- 5.1. 🥗 よく噛む・ゆっくり食べる習慣
- 5.2. 💧 水分補給とカフェイン・アルコール制限
- 5.3. ✋ 唾液腺マッサージと口腔体操の実践
- 5.4. 🍋 酸味のある食品の活用と注意点
- 6. 🧬 唾液の最新研究と医療応用
- 6.1. 🧫 唾液検査による病気の早期発見(がん・糖尿病など)
- 6.2. 😰 ストレスチェックへの活用(コルチゾール測定)
- 6.3. 🦠 腸内フローラと唾液の相互関係|乳酸菌とのつながり
- 7. 👶👵 年代別の唾液ケアポイント
- 7.1. 👧 子どもの唾液分泌を促す習慣づけ
- 7.1.1. ✅ ケアのポイント:
- 7.2. 👴 高齢者の口腔乾燥対策と加湿・義歯ケアの工夫
- 7.2.1. ✅ ケアのポイント:
- 8. 🙋♀️ よくある質問(FAQ)
- 8.1. ❓ 唾液を増やすにはどうすればいい?
- 8.2. ❓ 唾液が減る薬はある?対処法は?
- 8.3. ❓ ドライマウスとどう違う?
- 8.4. ❓ 唾液検査はどこで受けられる?
- 9. 📝 まとめ|唾液は「口腔と全身の健康」をつなぐ要
- 9.1. ✔ 唾液の健康を保つためにできること
- 10. 江戸川区篠崎で唾液の悩みをご相談されたい方へ
- 11. 【動画】なかなか取れない舌苔の完全除去方法
- 12. 筆者・院長

「唾液」は、日々の生活であまり意識されることのない存在かもしれません。
しかし実は、虫歯や口臭を防ぐだけでなく、消化を助け、免疫や脳の働きにまで影響を与える――そんな驚くべき役割を担っています。
本記事では、唾液が持つ9つの働きや、分泌が減ることで起こるリスク、そして唾液を増やすためにできる実践的な方法まで、わかりやすく解説します。
「口腔と全身の健康をつなぐカギ」、それが唾液なのです。
【🎞️ 33秒】唾液の働きとは?驚くべき役割とその仕組み
🧪 唾液の基本知識と仕組み
💧 唾液とは何か?主成分と1日の分泌量
唾液は、私たちの口の中に常に分泌されている透明な液体で、その約99%は水分です。残りの1%には、アミラーゼなどの酵素、カルシウムやリンなどの電解質、抗菌成分(リゾチーム・ラクトフェリンなど)、ムチンと呼ばれる粘性物質などが含まれています。
健康な成人では、1日におよそ1〜1.5リットルもの唾液が分泌されており、これはペットボトル1本分にも相当します。食事中だけでなく、安静時や会話の際にも分泌されており、口腔内だけでなく全身の健康を支える多くの役割を担っています。
🧠 唾液が分泌されるメカニズム
▶ 耳下腺・顎下腺・舌下腺の違いと働き
唾液は主に次の3つの大きな唾液腺から分泌されます。
- 耳下腺(じかせん)
耳の下にあり、サラサラとした唾液を多く分泌します。特にアミラーゼという消化酵素を含み、食べ物のデンプンを糖に分解する働きを担っています。 - 顎下腺(がっかせん)
顎の下にあり、サラサラとネバネバの中間の唾液を出します。口腔内の保湿や自浄作用、消化をサポートする重要な役割があります。 - 舌下腺(ぜっかせん)
舌の下に位置し、ネバネバとした粘性の強い唾液を分泌します。飲み込みやすさを助け、粘膜の保護にも貢献します。
これらの唾液腺は、常に働いているわけではなく、「副交感神経」によってコントロールされています。
▶ 自律神経との関係、ストレスや水分補給との関係
唾液分泌は自律神経、特に副交感神経が優位になることで活発になります。たとえば、おいしい食べ物の匂いや視覚的な刺激、咀嚼(よく噛むこと)によって唾液は自然と増えます。
一方で、ストレスや緊張状態では交感神経が優位となり、唾液の分泌量が減る傾向があります。その結果、口の中が乾いたり、話しにくくなったりすることがあります。
また、水分補給も非常に重要です。体内の水分が不足すると唾液の主成分である水の供給が減り、唾液量が低下します。こまめな水分補給と、リラックスできる時間をつくることが、健康な唾液分泌を保つカギとなります。
🛡 唾液が持つ9つの重要な働き

🧼 自浄作用と抗菌作用|お口の健康を守る第一防衛線

唾液は、食べカスや細菌を洗い流す「自浄作用」に加え、リゾチーム・ラクトフェリン・IgAなどの抗菌物質によって、虫歯菌や歯周病菌の増殖を防ぐ「抗菌作用」も担っています。これにより、常に清潔な口腔環境を保ち、虫歯や口内炎などのリスクを軽減してくれます。
🧂 緩衝作用|酸性環境から歯を守る

食後、口の中は酸性に傾きますが、唾液にはpHを中和する「緩衝作用」があります。これにより、酸で歯の表面からカルシウムやリンが溶け出す「脱灰」を防ぎ、虫歯の進行を抑える働きをしています。唾液の緩衝能は個人差があり、サリバテストなどで評価可能です。
🪨 再石灰化作用|虫歯予防の自然修復力

唾液には、歯の表面に再びカルシウムやリンを供給する「再石灰化作用」があります。脱灰された歯のエナメル質を自然に修復し、初期虫歯の進行を止める効果も期待されます。フッ素やMIペーストと併用すると、さらに再石灰化を促進できます。
🫧 粘膜保護と潤滑作用|ムチンの働きと嚥下のサポート

熱い食べ物
唾液は温熱刺激、科学的な刺激、機械的な刺激を緩和する作用があります。

味蕾
唾液にまじった食べ物に含まれた味の成分が、味を感じる味蕾細胞(舌に存在)へ届きやすくなります。

会話
唾液の存在で舌や頬の筋肉が滑らかに動くことが出来るので、会話がスムーズに行えます。
唾液中に含まれるムチンは、食物を包み込み、咽頭や食道の粘膜を保護する働きがあります。これにより、飲み込みやすくなるだけでなく、熱や刺激物から粘膜を守ります。また、舌や頬の滑らかな動きを助けることで、会話や咀嚼をスムーズにします。
😷 口臭予防作用|舌苔や細菌へのアプローチ

口臭の主な原因である舌苔(ぜったい)や嫌気性菌も、唾液の流れや抗菌成分によって抑制されます。特に睡眠中や口呼吸時など唾液分泌が減ると、口臭が発生しやすくなります。口腔の乾燥を防ぐことが、口臭予防の第一歩です。
🦷 入れ歯の安定化作用|装着の快適さを保つ

入れ歯と歯ぐきの間に唾液があることで「吸着力」が高まり、入れ歯がしっかりとフィットします。さらに、摩擦による痛みを防ぎ、装着中の不快感も軽減されます。唾液が少ないと入れ歯の安定性が悪化し、炎症を起こすリスクが上がります。
🌱 成長因子の働き|NGFとEGFがもたらす全身への影響

唾液には、神経成長因子(NGF)や上皮成長因子(EGF)などの「成長因子」が含まれており、粘膜の修復や神経細胞の再生を促します。特にNGFは脳を刺激し、認知機能の向上や記憶力のサポートにもつながるとされ、認知症予防の観点からも注目されています。
🍚 消化サポート|アミラーゼによる炭水化物分解
唾液に含まれる酵素「アミラーゼ」は、炭水化物をブドウ糖などに分解する働きがあります。咀嚼とともにアミラーゼが食物に混ざることで、胃腸に負担をかけず、消化の効率を高めてくれます。これは、消化の“スタート地点”が口の中にあることを意味します。
🛡 免疫サポート|リゾチーム・ラクトフェリンの役割
唾液中の免疫物質は、口腔内のウイルスや細菌の侵入を防ぐだけでなく、全身の免疫機能にも関与します。リゾチームは細菌の細胞壁を壊し、ラクトフェリンは鉄を奪って細菌の増殖を抑制します。これにより、風邪やインフルエンザなどの感染症の予防にもつながります。
💡 唾液の働きが低下するとどうなる?
唾液は、私たちの口腔や全身の健康を支える多機能な体液です。その働きが低下すると、見た目の変化以上に、さまざまな健康リスクが現れます。ここでは、唾液分泌の減少によって起こりやすくなるトラブルを3つの観点からご紹介します。
🦠 虫歯・歯周病・口臭のリスク上昇
唾液が少なくなると、まず影響を受けるのが「口の中の清潔さ」です。唾液には、自浄作用や抗菌作用、再石灰化作用など、虫歯や歯周病を防ぐ機能が備わっています。
唾液が減少すると…
- 食べかすや細菌が口に残りやすくなる
- 酸性の状態が長引き、歯の表面が溶けやすくなる(脱灰)
- 細菌が増殖し、歯茎の炎症(歯肉炎・歯周病)が進行しやすくなる
- 舌苔が増えて口臭が悪化する
これらが複合的に進むと、治療が長期化するケースもあるため、早めの対応が大切です。
📸 唾液の働きが低下すると進行しやすい虫歯



唾液には、口の中を洗い流す「自浄作用」や、酸を中和する「緩衝作用」、歯を修復する「再石灰化作用」があります。
唾液分泌が低下すると、これらの防御機能が弱まり、前歯や歯の表面に広範囲の虫歯が生じやすくなります。
口の乾燥を感じる方や、薬の影響・加齢・ストレスなどがある場合は、虫歯リスクが高まるため、早めの歯科受診と予防管理が重要です。
🧂 味覚異常・嚥下障害・消化不良の発生
唾液の減少は、単に「口が乾く」だけでなく、「食べる楽しみ」にも大きな影響を与えます。
- 味覚異常
唾液が十分に食べ物を溶かせないと、味の成分が味蕾に届きにくくなり、味を感じづらくなります。「食べ物が美味しくない」と感じるのはそのためです。 - 嚥下障害
唾液には、食塊をまとめて飲み込みやすくする役割があります。唾液が不足すると食べ物が喉にひっかかりやすくなり、誤嚥(ごえん)や咳き込みを引き起こすことがあります。 - 消化不良
唾液に含まれるアミラーゼによる消化サポートが不十分になり、胃腸への負担が増してしまいます。結果として、食後の胃もたれや便秘・下痢などの消化トラブルにつながることもあります。
🚨 全身への影響|感染症や認知機能の低下との関連
唾液は単に口の中だけでなく、「体の免疫力」にも関わっています。唾液に含まれるリゾチーム・ラクトフェリン・免疫グロブリンなどの抗菌物質は、細菌やウイルスの侵入を防ぐ“生体のバリア”です。
唾液が少ないと…
- 口腔内感染症(口内炎・カンジダ症)が起こりやすくなる
- 細菌が気管から肺に入り、誤嚥性肺炎のリスクが高まる
- 腸内環境が乱れ、免疫低下や慢性疲労、アレルギー症状を引き起こすことがある
- 特に高齢者では、認知機能低下との関係も指摘されています
また、ストレスや加齢、薬の副作用で唾液が減ると「ドライマウス(口腔乾燥症)」の症状が現れ、生活の質(QOL)を大きく下げることにもつながります。
💪 唾液の分泌を促す具体的な方法
唾液の量が少なくなると、虫歯や口臭、嚥下障害など様々な問題を引き起こします。ここでは、誰でもすぐに始められる「唾液を増やすための実践的な方法」を4つのアプローチで解説します。
🥗 よく噛む・ゆっくり食べる習慣
咀嚼は、唾液分泌をもっとも自然に促す行動です。特に「一口30回」を目安に噛むことで、以下のような効果があります。
- 唾液腺への物理的な刺激が増える
- アミラーゼなどの酵素がしっかり分泌され、消化がスムーズになる
- 顎の筋肉を使うことで、唾液腺や神経も活性化する
やわらかい食事が多い方は、意識的に噛みごたえのある野菜や根菜類を取り入れるとよいでしょう。テレビやスマホを見ながらではなく、「味わう時間」を大切にすることも分泌アップのポイントです。
💧 水分補給とカフェイン・アルコール制限
唾液の主成分は水分です。そのため、脱水は唾液不足の大敵です。以下を心がけましょう:
- こまめな水分摂取(1日1.5〜2Lを目安に)
- 朝起きた直後や食前後にも一口ずつ水をとる
- コーヒー、緑茶、アルコールなど利尿作用のある飲み物は控えめにし、ノンカフェイン飲料を活用
口が渇いてからではなく、定期的に水分を取る「予防型」の飲み方がおすすめです。
✋ 唾液腺マッサージと口腔体操の実践
唾液腺は皮膚のすぐ下にあるため、軽くマッサージすることで直接刺激できます。特におすすめの3つの唾液腺マッサージ:

- 耳下腺:耳たぶの下あたりを円を描くように指で10回ほど軽く押す
- 顎下腺:顎の真下の柔らかい部分を、親指で下から上に押し上げるようにマッサージ
- 舌下腺:あごの先端から少し下、舌の裏を指で軽くなでるように刺激
また、「あ・い・う・べー体操」などの口腔体操も有効です。これにより顔まわりの筋肉が活性化し、唾液腺の働きも高まります。
🍋 酸味のある食品の活用と注意点

酸っぱい味は、味覚神経を通じて反射的に唾液を分泌させます。代表的な食品:
- レモン・グレープフルーツ・梅干し
- お酢を使った料理(酢の物、ピクルス)
- 黒酢ドリンクやクエン酸飲料
ただし注意点もあります:
- 酸性の食品は歯のエナメル質を一時的に柔らかくするため、頻繁に摂ると虫歯のリスクが高まる
- 食後すぐの歯みがきは避け、うがい→30分後にブラッシングが◎
酸味の力を上手に活かしつつ、歯や胃に負担をかけない工夫が大切です。
🧬 唾液の最新研究と医療応用
唾液は「ただの水分」ではなく、今や医療や健康管理の分野でも注目を集める“情報の宝庫”となっています。近年では、非侵襲的(痛みが少ない)な検査手段として、唾液を使ったさまざまな研究が進んでおり、病気の早期発見やストレス管理、さらには腸内環境との関連性にも注目が集まっています。
🧫 唾液検査による病気の早期発見(がん・糖尿病など)
近年、唾液中に含まれる「バイオマーカー(病気の兆候となる物質)」を利用した新たな診断法が注目されています。
- がん(特に口腔がん・乳がん・膵臓がん)
- 糖尿病(血糖コントロール指標の代替物質)
- ウイルス感染症(新型コロナやインフルエンザなど)
血液検査と違い、採取が簡単・痛みがない・感染リスクが低いといった利点があり、子どもや高齢者、医療機関に通いづらい人へのスクリーニングツールとして期待されています。
また、予防歯科では、唾液のpHや緩衝能、細菌の数などを測定する「サリバテスト」が、虫歯や歯周病のリスク評価にも利用されています。
😰 ストレスチェックへの活用(コルチゾール測定)
唾液には「コルチゾール」というストレスホルモンが含まれており、その濃度を測ることで**心理的ストレスの“見える化”**が可能です。
- 緊張や不安を感じるとコルチゾール値が上昇
- 唾液を採取するだけで、客観的なストレス評価が可能
- 学校・職場・介護施設などでのメンタルケアに活用
特に、定期的にコルチゾール濃度を測定することで、自分のストレス傾向や生活習慣の影響を可視化できるようになり、メンタルヘルスの管理がしやすくなります。
🦠 腸内フローラと唾液の相互関係|乳酸菌とのつながり
「腸と口」は遠い存在のように見えて、実は密接につながっています。唾液中にも乳酸菌などの善玉菌が存在しており、次のような相互関係が明らかになりつつあります。
- 唾液が腸内フローラのバランスに必要な酵素・栄養を供給
- 口腔内の善玉菌(乳酸菌・ビフィズス菌など)が、歯周病菌や虫歯菌の増殖を抑制
- 腸内の炎症が口腔内の環境悪化(口臭・歯肉炎)に影響を及ぼすことも
近年では、乳酸菌配合の口腔ケア製品やタブレットも登場し、口腔内のプロバイオティクスとしての応用が期待されています。
👶👵 年代別の唾液ケアポイント
唾液の分泌量や質は、年齢によって大きく異なります。特に「子ども」と「高齢者」は唾液ケアが重要な世代です。それぞれに適した対策を取ることで、虫歯や誤嚥、口臭などのトラブルを未然に防ぐことができます。
👧 子どもの唾液分泌を促す習慣づけ
子どものうちは、唾液腺がまだ未熟で、唾液の分泌量が不安定なことがあります。特に、やわらかい食事や早食いが多いと、唾液の分泌が不足しがちになります。
✅ ケアのポイント:
- よく噛む習慣をつける
硬めの野菜やご飯、おやつにするめなど、噛む回数が自然に増える食材を意識的に取り入れましょう。 - 姿勢と食事時間の見直し
テレビを見ながらではなく、食事に集中できる環境を整えることで、唾液腺が刺激されやすくなります。 - 飲み物の選び方に注意
砂糖入り飲料ではなく、水や麦茶など無糖の飲料を選ぶことで、虫歯リスクを抑えつつ口内を潤すことができます。 - おやつは時間を決めて
だらだら食べを避けることで、唾液の回復リズムを守れます。
子どもの唾液分泌は、将来の虫歯予防や味覚の発達にも大きく関わるため、早い段階からの意識づけが大切です。
👴 高齢者の口腔乾燥対策と加湿・義歯ケアの工夫
加齢により、唾液腺の働きが低下することは自然な変化です。さらに、服薬の副作用や病気、ストレス、脱水なども加わり、**ドライマウス(口腔乾燥症)**のリスクが高まります。
✅ ケアのポイント:
- 室内の加湿
特に冬場やエアコン使用時は空気が乾燥しやすく、口腔内の乾燥も進行します。加湿器の使用や濡れタオルの設置などで湿度管理を行いましょう。 - 義歯の調整と清掃
入れ歯が合っていないと、唾液の流れが妨げられたり、粘膜が傷ついたりします。定期的な歯科受診での調整・点検が不可欠です。 - 唾液腺マッサージの習慣化
耳下腺・顎下腺・舌下腺を軽くマッサージすることで、唾液の分泌を促進できます。毎日の口腔体操と組み合わせると効果的です。 - 薬の副作用に注意
降圧剤・抗うつ薬・抗ヒスタミン薬などは唾液分泌を抑えることがあります。気になる症状があれば、主治医に相談を。
高齢者にとって唾液は「誤嚥性肺炎の予防」「味覚の保持」「会話のしやすさ」など、生活の質に直結する存在です。定期的なチェックとケアが健康寿命の延伸につながります。
🙋♀️ よくある質問(FAQ)
❓ 唾液を増やすにはどうすればいい?
唾液を増やすには、以下の方法がおすすめです。
- よく噛むこと:咀嚼は最も自然な唾液刺激になります。1口30回を目安に。
- 水分補給:唾液の99%は水。こまめに水を飲むことで分泌が促されます。
- 唾液腺マッサージ:耳下腺・顎下腺・舌下腺を軽く刺激するだけでも効果的。
- 酸味のある食品を活用:レモンや梅干しなどは反射的に唾液を増やします(摂りすぎには注意)。
これらを日常的に取り入れることで、唾液分泌の改善が期待できます。
❓ 唾液が減る薬はある?対処法は?
はい、以下のような薬には唾液分泌を抑える副作用があります。
- 抗ヒスタミン薬(アレルギー治療薬)
- 降圧薬(高血圧治療)
- 抗うつ薬・睡眠薬・抗不安薬
- 抗コリン薬(頻尿治療など)
これらを服用していて口の渇きを感じる場合は、医師に相談のうえで薬の見直しや水分摂取の工夫を行いましょう。また、人工唾液スプレーや保湿ジェルの併用も有効です。
❓ ドライマウスとどう違う?
「唾液の減少」と「ドライマウス(口腔乾燥症)」は密接に関係していますが、**ドライマウスは“自覚症状を伴う病的な乾燥状態”**を指します。
- 🔹唾液がやや少ないだけ:軽度の乾燥。生活習慣の改善で回復可能。
- 🔹ドライマウス:食事や会話に支障が出る。病的状態として治療が必要。
ドライマウスの主な原因は、加齢・ストレス・薬の副作用・自己免疫疾患(例:シェーグレン症候群)などです。症状が続く場合は、歯科や耳鼻咽喉科での診察をおすすめします。
❓ 唾液検査はどこで受けられる?
唾液検査(サリバテスト)は、一部の歯科医院や医療機関で受けられます。検査内容には以下があります:
- 唾液の分泌量測定
- 緩衝能(pHの回復力)のチェック
- 虫歯菌や歯周病菌の数の確認
保険適用外で行われることが多く、費用は3,000〜5,000円程度が目安です。予防歯科の一環として、リスク評価やセルフケア指導に活用されます。
📝 まとめ|唾液は「口腔と全身の健康」をつなぐ要
唾液は、単なる「口の中の潤い」ではありません。
食べる・話す・飲み込むといった基本的な機能を支えるだけでなく、虫歯や歯周病の予防、消化のサポート、口臭の抑制、さらには免疫や認知機能にも関与するなど、全身の健康を支える重要な体液です。
しかし、その存在はあまりにも自然で、ふだん意識されることが少ないのが現実です。
だからこそ今こそ、「唾液の働き」に目を向け、日常生活の中でその分泌をサポートする習慣を意識的に取り入れることが大切です。
✔ 唾液の健康を保つためにできること
- よく噛み、ゆっくり味わって食事をとる
- 水分をこまめに補給する
- ストレスをためず、リラックスできる時間を確保する
- 唾液腺マッサージや口腔体操を習慣にする
- 口腔ケアと定期的な歯科受診で口の中を整える
健康な唾液環境を保つことは、“健康寿命の延伸”と“生活の質(QOL)”を高める土台になります。
今後も年齢やライフスタイルに応じた唾液ケアを意識し、日々の健康づくりに役立てていきましょう。
江戸川区篠崎で唾液の悩みをご相談されたい方へ

江戸川区篠崎で地域に根ざした診療を行う当院では、「唾液の働き」に注目した予防ケアに力を入れています。
唾液は、虫歯や歯周病の予防だけでなく、口臭の抑制や免疫力の維持、誤嚥性肺炎の予防にも深く関わる重要な体液です。
特に高齢の方やドライマウスが気になる方にとって、唾液ケアは健康寿命をのばすカギとなります。
当院では、唾液検査(サリバテスト)やお口の乾燥対策、生活習慣のアドバイスを通じて、一人ひとりに合わせたサポートを行っています。
「最近、口が乾きやすい」「虫歯が繰り返す」と感じたら、お気軽にご相談ください。
江戸川区篠崎で唾液の働きに着目した予防ケアをお考えの方は、ぜひ当院までご来院ください。
【動画】なかなか取れない舌苔の完全除去方法
筆者・院長

深沢 一
Hajime FUKASAWA
- 登山
- ヨガ
メッセージ
日々進化する歯科医療に対応するため、毎月必ず各種セミナーへの受講を心がけております。
私達は、日々刻々と進歩する医学を、より良い形で患者様に御提供したいと考え、「各種 歯科学会」に所属すると共に、定期的に「院内勉強会」を行う等、常に現状に甘んずる事のないよう精進致しております。 又、医療で一番大切な事は、”心のある診療”と考え、スタッフと共に「患者様の立場に立った診療」を、心がけております。


