- 1. 🪢歯の動揺を解消!暫間固定の目的と流れ
- 1.1. 🛠️暫間固定・T-Fixとは
- 1.2. ⛓️暫間固定の対象となる疾患
- 1.2.1. 1. 重度歯周病
- 1.2.2. 2. 歯周外科手術前後
- 1.2.2.1. 歯周外科手術による歯周組織の改善プロセス
- 1.2.3. 3. 歯の脱臼や亜脱臼
- 1.2.4. 4. 外傷(歯への衝撃や打撲)
- 1.2.5. 5. その他の動揺歯
- 1.3. 🧰暫間固定の具体的な治療の流れ
- 1.3.1. 事前検査と診断
- 1.3.2. 使用される材料と器具(接着性レジンなど)
- 1.3.3. 手順
- 1.3.4. 前歯を暫間固定した症例
- 1.3.4.1. 🔍 状態の概要
- 1.3.4.2. 🦷 歯周状態
- 1.3.4.3. ⚠️ 審美的・機能的問題
- 1.3.4.4. 💡 今後の対応の方向性
- 2. 💰歯茎の切開、暫間固定の費用
- 2.1. 保険診療
- 3. ❓よくある質問(FAQ)
- 4. 🧷江戸川区篠崎で歯がグラグラしてお困りの方へ
- 5. 【動画】歯周病の手遅れの症状
- 6. 筆者・院長

🦷**「歯がグラグラする…」そんなとき、すぐに抜歯しなければならないとは限りません。**
歯の揺れや不安定さが気になる場合、歯を残すための処置として「暫間固定(ざんかんこてい)」という方法があります。これは、グラついた歯を周囲の歯とつなげて一時的に固定し、安定させる治療法です。
進行した歯周病や外傷、治療中の仮の支えとしても活用され、歯の保存を目指すための大切なステップになります。この記事では、暫間固定の目的や流れ、メリット・注意点などをわかりやすく解説します。
🪢歯の動揺を解消!暫間固定の目的と流れ
🛠️暫間固定・T-Fixとは
暫間固定( T-Fix)とは、動揺している歯を一時的に安定させる治療法です。複数の歯にワイヤーを渡して接着性のあるスーパーボンドで固定することで、歯や歯周組織の回復を促します。この治療法は、歯の保存を目的とし、抜歯を回避できる場合に用いられることが多いです。また、暫定的な措置として行われるため、状態が安定したら暫間固定を外します。後の本格的な治療を見据えた手段でもあります。

⛓️暫間固定の対象となる疾患
暫間固定は、歯の動揺や支持力の低下が見られる以下の疾患や状態で適用されることが多いです。以下に具体的な対象疾患をまとめます。
1. 重度歯周病
- 概要: 歯を支える歯周組織が著しく破壊され、歯の動揺が生じる状態。
- 適用理由: 歯の安定を図り、患者が日常生活での咀嚼機能を維持できるようサポートします。また、歯周病治療後の効果を持続させる役割を果たします。
歯周病が重症化
レントゲン写真は、第1第大臼歯と第二大臼歯との間の歯槽骨に垂直性骨吸収が見られます。
P急発により歯茎の腫れと咬合痛があるため、暫間固定(T-Fix)をします。
動揺が強く痛くて噛めない時には効果的です。暫間固定をすると炎症が早く治まり、腫れがひく期間も短くなります。
2. 歯周外科手術前後
- 概要: 歯周外科手術(フラップ手術など)により歯肉や骨の状態を改善する前後、歯が一時的に不安定になる場合。
- 適用理由: 歯周外科手術(GTR法、リグロス法)等の後、治癒期間中に歯を固定することで、歯周囲組織の再生を助け、治療効果を最大化します。
歯周外科手術による歯周組織の改善プロセス



重度歯周病により歯槽骨の吸収と歯の動揺が認められた症例です。歯周基本治療のみでは改善が困難と判断し、歯周外科手術を行いました。
術中は歯肉を剥離し、歯根面に付着した歯石や感染組織を直視下で徹底的に除去しています。
術後は炎症が消退し歯周組織は安定していますが、治癒過程として歯肉退縮が生じています。歯の動揺を抑える目的で暫間固定を行い、接着にはスーパーボンドを使用しています。今後はメインテナンスを継続し、歯周組織の長期的な安定を図っていきます。
3. 歯の脱臼や亜脱臼
- 概要: 外傷により歯が完全に抜けた状態(脱臼)や、部分的に抜けかけた状態(亜脱臼)。
- 適用理由: 歯を正しい位置に戻した後に固定することで、歯根膜や歯周囲組織の自然治癒を促します。
4. 外傷(歯への衝撃や打撲)
- 概要: 転倒や事故などによる外傷で歯がぐらついている状態。
- 適用理由: 歯が動揺している場合、周囲の健康な歯と一時的に固定することで、歯の安定性を回復します。
5. その他の動揺歯
- 概要: 加齢や咬合力の異常、歯根吸収などにより歯が動揺している状態。
- 適用理由: 動揺を抑えることで、歯や周囲組織へのさらなる負担を軽減します。

🧰暫間固定の具体的な治療の流れ
暫間固定は、患者の歯や歯周組織の状態を改善するための重要な治療法です。以下では、治療の具体的な流れを段階的に解説します。

健康な歯は指で押しても動揺しない
歯周病になっていない健康な歯は、強い咬合力が加わってもびくともしません。

重度歯周病では指で押すと強い動揺がある
重度歯周病の歯周組織です。歯槽骨がほとんど破壊されてグラグラになってしまった状態です。このままでは自然に抜けるのを待つか、P急発が起こる前に抜歯が必要です。
事前検査と診断
暫間固定を行う前には、正確な診断と治療計画が不可欠です。
- 口腔内の検査: 動揺している歯の程度、歯周組織の健康状態、隣接する歯の状態を確認します。
- X線検査: 歯根や骨の状態、歯周病の進行具合、外傷の影響を詳細に調べます。
- 診断: 動揺の原因(歯周病、外傷、脱臼など)を特定し、暫間固定が適用可能か判断します。
- 治療計画: 他の治療法(歯周病治療や矯正治療など)との併用が必要かを含めて、患者ごとに最適な計画を立てます。
使用される材料と器具(接着性レジンなど)
暫間固定には、高度な接着技術を活用した専用の材料や器具が用いられます。
- 接着性レジン: 動揺している歯と隣接する歯を固定するための主な材料でスーパーボンドを使用します。強度が高く、歯の表面にしっかりと接着します。
- ワイヤー: より高い固定力が必要な場合、レジンと併用して用います。
手順
ワイヤーを歯並びに沿わせて曲げます。エナメル質表面をエッチング処理し、ワイヤーを仮止めして各歯にスーパーボンドで止めていきます。
動揺が小さい場合には、ワイヤーは使わず、歯と歯の間をスーパーボンドで接着させる方法をとります。
上下の歯を噛み合わせた状態でスーパーボンドを硬化させます。
ブラッシングしても綺麗に磨けなくなるので、いつも以上に念入りに歯磨きをしてください。接着強度が弱いため、外れてしまうことがあります。
急性症状が治まり、歯周病の初期治療(歯石除去)を完了し、病状が安定すれば暫間固定を除去します。
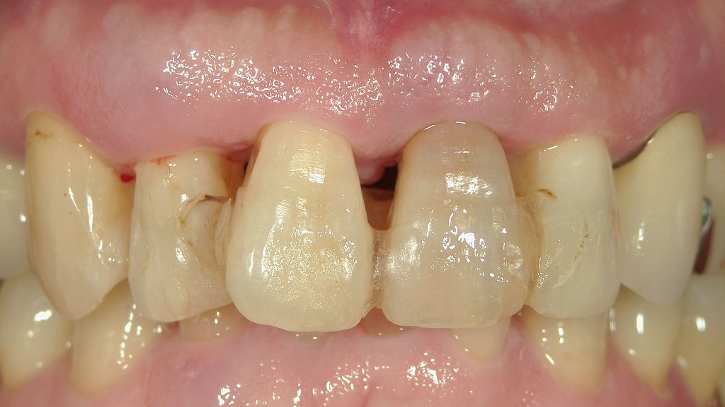
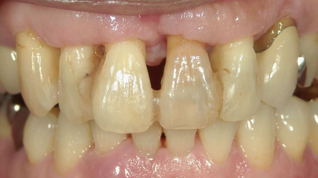
前歯を暫間固定した症例
この画像は、上顎前歯部(右上2番から左上3番付近)に「スーパーポンド(接着性レジン)」を用いて暫間固定が行われている状態です。

🔍 状態の概要
- 赤い矢印で示された歯(右上2番〜左上3番)は、歯の動揺が強いため、接着剤で連結固定されています。
- 使用されている「スーパーポンド」は、緊急的・暫間的に歯を固定する際に使われるレジン系接着材です。
🦷 歯周状態
- 全体的に**重度の歯周病(歯周炎)**が進行しています。
- 歯肉の退縮(歯ぐきが下がる)
- 歯の動揺(ぐらつき)
- プラーク・歯石の付着
- 歯間部の歯肉炎症
- 特に下顎前歯部には歯石沈着が明瞭に見られ、歯周病の進行を示唆しています。
⚠️ 審美的・機能的問題
- 上顎前歯部の変色・形態不良・レジン固定の黄変により、審美的な問題があります。
- 暫間固定によって一時的に動揺は抑えられますが、根本的な治療(歯周治療・咬合改善・補綴再製作)が必要です。
- 一部の歯には亀裂や欠損も見られ、咬合力や感染によるリスクが高まっています。
💡 今後の対応の方向性
- プラークコントロール・スケーリング・ルートプレーニングによる歯周初期治療
- 動揺歯の状態を再評価し、**最終固定・補綴治療(ブリッジやクラウン再製)**を検討
- 審美面・咀嚼機能の回復を目的に補綴設計の見直しが望まれます。
💰歯茎の切開、暫間固定の費用
保険診療
保険適用です。
| 内容 | 保険点数 | |
|---|---|---|
| P急発の歯肉切開 | 歯肉膿瘍等の切開 | 180点 |
| 暫間固定-簡単なもの | エナメルボンドシステムによるもの | 200点 |
| 暫間固定-困難なもの | エナメルボンドシステムによるもの | 500点 |
| 暫間固定除去 | 1装置につき | 30点 |
さらに、初診料、再診料、処方箋料、レントゲン撮影料などがかかります。薬は投薬内容により費用が異なりますが、薬局に支払う必要があります。
以後、歯周病の治療を行う場合には、歯周病の治療費、検査料、指導料などがかかります。
❓よくある質問(FAQ)
暫間固定に関するよくある質問を以下にまとめました。治療を受ける前の不安や疑問を解消するために参考にしてください。
痛みはあるのか?
暫間固定治療中や治療後の痛みに関しては、以下のような特徴があります:
痛みが生じた場合: 治療後に痛みが生じた場合は、歯や周囲組織に問題がある可能性があるため、早めに歯科医師に相談してください。
治療中の痛み: 暫間固定は歯を削る治療ではないため、通常は痛みを伴いません。必要に応じて局所麻酔を使用することもあります。
治療後の違和感: 治療直後に一時的な違和感を覚えることがありますが、数日で慣れる場合がほとんどです。
治療期間の目安は?
暫間固定の治療期間は、患者の症状や治療計画によって異なりますが、一般的には以下のような目安があります:
長期的な計画: 暫間固定は一時的な治療法であるため、必要に応じて追加治療(歯周病治療や補綴治療など)が行われることがあります。
固定の期間: 動揺が治まるまで、通常2週間から数ヶ月間程度の固定が必要です。
治療後の経過観察: 暫間固定を外した後も、歯周組織の安定を確認するため、定期的な診察が推奨されます。
🧷江戸川区篠崎で歯がグラグラしてお困りの方へ

歯がグラグラしてお困りではありませんか?暫間固定は、動揺している歯をしっかりと安定させ、痛みや不快感を軽減するための治療法です。当院では、接着性レジンや最新の固定技術を用いて、安全かつ迅速に歯をサポートします。
外傷や歯周病でお悩みの方も、歯を抜かずに保存できる可能性があります。一時的な固定で治癒を促し、その後の治療計画を安心して進めることができます。
“歯を守りたい”その想いに応えます。ぜひ一度ご相談ください。
【動画】歯周病の手遅れの症状
筆者・院長

深沢 一
Hajime FUKASAWA
- 登山
- ヨガ
メッセージ
日々進化する歯科医療に対応するため、毎月必ず各種セミナーへの受講を心がけております。
私達は、日々刻々と進歩する医学を、より良い形で患者様に御提供したいと考え、「各種 歯科学会」に所属すると共に、定期的に「院内勉強会」を行う等、常に現状に甘んずる事のないよう精進致しております。 又、医療で一番大切な事は、”心のある診療”と考え、スタッフと共に「患者様の立場に立った診療」を、心がけております。



