- 1. 【📹 49秒】市販 vs 歯科医院のホワイトニングマウスピース|どっちが白くなる?コスパ最強は?
- 2. ✅【徹底比較】ホワイトニングマウスピースとは?
- 2.1. 💡 ホワイトニングマウスピースの基本
- 2.1.1. 🦷 ホワイトニングマウスピースとは?
- 2.1.2. ⚖ 歯医者で作るタイプと市販品の違い
- 2.1.3. 🔬 使用する薬剤の種類と作用
- 2.2. 🔎 ホームホワイトニングの効果
- 2.2.1. 🦷 どのくらい白くなる?期間と回数
- 2.3. ホームホワイトニング2週間の成果
- 2.3.1. 🦷 2枚の画像の解説
- 2.3.2. ✨ 総合評価
- 2.3.3. ⏳ 効果の持続性はどれくらい?
- 2.3.4. ⚖ 他のホワイトニング方法との比較(オフィス・セルフホワイトニングとの違い)
- 2.4. 🏆 おすすめのホワイトニングマウスピースの選び方
- 2.4.1. 🛒 市販のホワイトニングマウスピースの種類
- 2.5. 🏥 歯科医院で作るカスタムマウスピースの特徴
- 2.5.1. 🔹 歯科医院のマウスピースのメリット
- 2.5.2. ⚠ デメリット
- 2.6. 💰 コストと効果のバランスで選ぶポイント
- 3. 😣ホワイトニングマウスピース各トラブル対策
- 3.1. 装着時の違和感
- 3.2. 型取り時の嘔吐反射
- 3.3. マウスピース装着で歯並びが悪くなる?
- 4. 🎯【失敗しない】ホワイトニングマウスピースの正しい使い方
- 4.1. 🔄 ホワイトニングマウスピースの使用手順
- 4.1.1. 🦷 ① マウスピースの準備(歯磨き・ジェルの塗布)
- 4.1.2. ⏳ ② 装着時間と推奨頻度(どのくらいの時間装着すべき?)
- 4.1.3. 🍽 ③ ホワイトニング後のケア(飲食の制限・フッ素ケア)
- 4.2. ⚠ ホワイトニング中に気をつけること
- 4.2.1. ❄️ しみる?痛みや違和感の対策
- 4.2.2. 🚫 こんな使い方はNG!失敗しないための注意点
- 4.3. 🎯 効果を最大化するためのコツ(食生活・生活習慣)
- 5. 💰【料金比較】ホワイトニングマウスピースの費用は?
- 5.1. 💳 保険適用の有無と費用を抑える方法
- 5.1.1. 🏥 保険適用の可能性は?
- 5.2. 🎯 コスパ最強!安く済ませる裏ワザ
- 5.2.1. ✅ ① クリニックのキャンペーンを利用する
- 5.2.2. ✅ ② 歯ぎしり用マウスピースを保険適用で作り、ホワイトニングジェルだけ購入
- 5.2.3. ✅ ③ 市販の熱成型マウスピース+ホワイトニングジェルを活用
- 6. 👨⚕️【専門家監修】歯科医が教えるホワイトニングマウスピースのQ&A
- 6.1. ❓ よくある疑問と回答(ホワイトニングマウスピース編)
- 6.2. Q1: 「一度白くなったらもう使わなくてもいい?」
- 6.3. Q2: 「市販のホワイトニングマウスピースは本当に効果がある?」
- 6.4. Q3: 「マウスピースの洗浄・保管方法は?」
- 6.4.1. 使用後の洗浄方法
- 7. 江戸川区篠崎でホームホワイトニングをご希望の方へ
- 8. 【動画】ホームホワイトニングの効果的なやり方
- 9. 筆者・院長

💡自宅で手軽に歯を白くしたい方へ――その鍵は「ホワイトニングマウスピース」かもしれません。
ホワイトニングにはいくつかの方法がありますが、中でも人気を集めているのが、自分のペースで続けられる「ホームホワイトニング」。その中心となるアイテムが、専用のマウスピースです。
本記事では、歯科医院で作るタイプと市販品の違い、使用する薬剤の種類と効果、費用の比較まで徹底解説!さらに、効果を最大限に引き出すための使い方や、よくあるトラブルの対処法も紹介します。
「確実に白くしたい」「なるべくコストを抑えたい」など、目的に合わせた選び方もまとめていますので、ぜひ最後までご覧ください!🦷✨
【📹 49秒】市販 vs 歯科医院のホワイトニングマウスピース|どっちが白くなる?コスパ最強は?
✅【徹底比較】ホワイトニングマウスピースとは?
💡 ホワイトニングマウスピースの基本

🦷 ホワイトニングマウスピースとは?
ホワイトニングマウスピースとは、歯を白くするために使用する専用のマウスピースのことです。主にホワイトニングジェルを併用し、マウスピースを一定時間装着することで、歯の黄ばみを分解し、白さを引き出します。**自宅で手軽にホワイトニングできる「ホームホワイトニング」**で用いられます。
⚖ 歯医者で作るタイプと市販品の違い
ホワイトニングマウスピースには、歯科医院で作るオーダーメイドタイプと市販の既製品の2種類があります。
| 項目 | 歯科医院のマウスピース | 市販のマウスピース |
|---|---|---|
| フィット感 | 歯型をとって作成するためフィット感が抜群 | 一般的なサイズで作られており、個人差がある |
| ホワイトニングジェル | 医療用の高濃度ジェルを使用可能 | 低濃度のジェル(または無し) |
| 効果 | 均一に薬剤が密着し、ムラなく白くなる | フィット感が弱く、効果にムラが出やすい |
| 価格 | 15,000〜50,000円 | 2,000〜10,000円 |
| 安全性 | 歯科医の指導のもと安全に使用できる | 自己判断での使用が必要 |
| おすすめの人 | 確実に白くしたい人・安全にホワイトニングしたい人 | 手軽に試したい人・低コストで始めたい人 |
結論:
✅ 歯科医院のマウスピースは、フィット感・安全性・効果の高さが魅力。
✅ 市販のマウスピースは、安価で手軽に始められるが、効果は個人差が大きい。
🔬 使用する薬剤の種類と作用
ホワイトニングで使用されるホワイトニングジェルには、主に2種類の成分があります。
- 過酸化水素(Hydrogen Peroxide)
- 特徴:歯のエナメル質の内部まで浸透し、着色成分を分解
- 濃度:オフィスホワイトニング(歯科医院)で使用される
- 効果:即効性があり、短期間で白くなる
- 注意点:高濃度のため歯科医の管理が必要
- 過酸化尿素(Carbamide Peroxide)
- 特徴:ゆっくりと過酸化水素に分解され、歯を白くする
- 濃度:ホームホワイトニングで使用(10〜35%)
- 効果:時間をかけて白くするため、色戻りしにくい
- 注意点:即効性はないが、じっくり白くなる
結論:
- 即効性を求めるなら「過酸化水素」(歯科医院のホワイトニング向け)
- 安全にじっくり白くしたいなら「過酸化尿素」(ホームホワイトニング向け)
🔎 ホームホワイトニングの効果
🦷 どのくらい白くなる?期間と回数
ホワイトニングマウスピースを使用した場合、個人差はありますが、約2〜4週間で歯の色が1〜2段階以上白くなることが一般的です。

| 使用頻度 | 目安の期間 | 期待できる白さ |
|---|---|---|
| 毎日使用(1日1〜2時間) | 2週間〜4週間 | 1〜2段階白くなる |
| 2〜3日に1回使用 | 4〜6週間 | 1段階程度の変化 |
| 週1回以下の使用 | 効果がほぼ感じられない | ほとんど変化なし |
結論:
✅ 毎日継続することで効果が実感しやすい!
✅ 2〜4週間で明らかに白さを感じる人が多い!
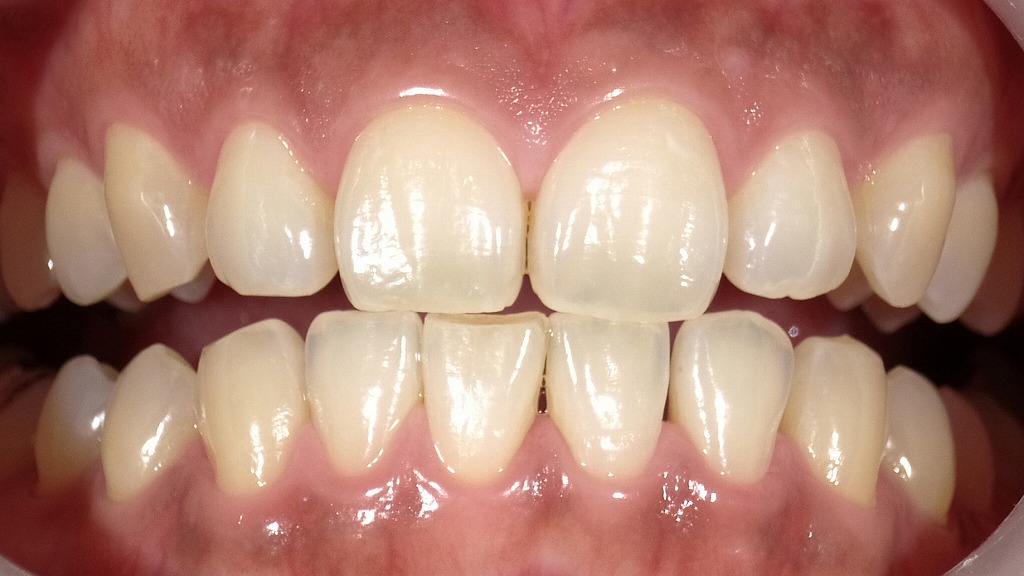
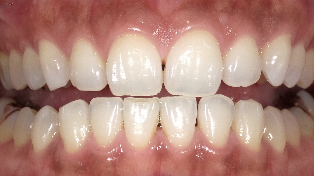
ホームホワイトニング2週間の成果


🦷 2枚の画像の解説
1枚目:ホワイトニング前
・全体的にやや黄ばみがあり、特に下顎前歯(下の前歯)は、エナメル質の透明感が強く、内部の象牙質の色が透けて見えている状態です。
・色調は自然な範囲ですが、日常的な着色(食事・飲み物)による色ムラがわずかにあります。
2枚目:2週間のホームホワイトニング後
・全体的に明度(白さ)が大幅にアップし、歯のトーンが均一に向上しています。
・特に上の前歯(中切歯)は、ホワイトニング効果がはっきり現れ、透明感を保ちながら明るい印象に変化しています。
・エナメル質の表面に見られた細かな色ムラが軽減し、全体に“白く清潔感のある歯”になっています。
・黄ばみが強く出ていた下顎前歯も、比較すると明確に白くなっており、自然な範囲でのトーンアップが確認できます。
✨ 総合評価
わずか 2週間のホームホワイトニングで、
- 明度アップ
- 色ムラの改善
- 清潔感の向上
がしっかり得られています。
歯質が均一に明るくなっており、自然な白さを保ちながらトーンアップできているため、きわめて良好な経過と言えます。
⏳ 効果の持続性はどれくらい?
ホームホワイトニングの効果は、正しいケアを行えば6ヶ月〜1年ほど持続します。ただし、食生活や歯のケア習慣によって効果の持続期間は異なります。
💡 ホワイトニング効果を長持ちさせるコツ
✅ 色素の強い食べ物・飲み物を控える(コーヒー・紅茶・赤ワイン・カレーなど)
✅ 喫煙を控える(タバコのヤニが歯に付着しやすい)
✅ ホワイトニング用歯磨き粉を併用する(着色汚れを防ぐ)
✅ 定期的にマウスピースホワイトニングを継続する(月に1〜2回メンテナンス)
⚖ 他のホワイトニング方法との比較(オフィス・セルフホワイトニングとの違い)
ホワイトニングには主に以下の3つの方法があります。それぞれの特徴を比較してみましょう。
| 項目 | マウスピースホワイトニング(ホーム) | オフィスホワイトニング(歯科) | セルフホワイトニング(サロン・市販品) |
|---|---|---|---|
| 方法 | 自宅で専用のマウスピース+ジェルを使用 | 歯科医院で高濃度の薬剤+LED照射 | 市販のペン・シート・サロンでの施術 |
| 効果の速さ | ゆっくり(2〜4週間) | すぐに白くなる(1回で効果がでるが再着色しやすい) | 効果が薄い or 一時的 |
| 白さの持続 | 約6ヶ月〜1年 | 6ヶ月〜1年 | 数週間〜1ヶ月 |
| 費用相場 | 20,000〜50,000円 | 30,000〜80,000円 | 2,000〜10,000円 |
| 歯への負担 | 比較的少ない | 知覚過敏が起こることがある | 低濃度のためほぼなし |
| おすすめの人 | 自然な白さを長持ちさせたい人 | 短期間で白くしたい人 | 手軽に試したい人 |
結論:
✅ 短期間で白くしたいなら「オフィスホワイトニング」(1回で効果、目的の白さにするには2回以上必要)
✅ コスパよく継続するなら「ホームホワイトニング」(長期的に白さをキープ)
✅ 安く試したいなら「セルフホワイトニング」(ただし効果は限定的)
🏆 おすすめのホワイトニングマウスピースの選び方
ホワイトニングマウスピースには、市販品と歯科医院で作るカスタムマウスピースの2種類があります。それぞれの特徴を理解し、自分に合ったものを選びましょう。
🛒 市販のホワイトニングマウスピースの種類
市販品は手軽に購入でき、コストが安いのが魅力です。主に以下の3タイプがあります。

| タイプ | 特徴 | メリット | デメリット | 価格帯 |
|---|---|---|---|---|
| 熱成型タイプ | お湯で温めて歯にフィットさせる | 比較的フィット感が良い | ぴったり合わない場合がある | 1,500〜5,000円 |
| 既製品タイプ | 汎用サイズのマウスピース | すぐに使用可能 | フィット感が悪く、薬剤が漏れやすい | 1,000〜3,000円 |
| ジェル一体型タイプ | ジェルがあらかじめ塗布されている | 使い捨てで手軽 | 自分で薬剤の調整ができない | 3,000〜8,000円 |
💡 市販品はこんな人におすすめ!
✅ 低コストでホワイトニングを試してみたい人
✅ 手軽に始めたい人(特にジェル一体型タイプ)
✅ 歯の形にそこまでこだわらない人
🏥 歯科医院で作るカスタムマウスピースの特徴
歯科医院で作るマウスピースは、歯型を取って作成するためフィット感が抜群で、ホワイトニング効果も高いです。
🔹 歯科医院のマウスピースのメリット
✔ 歯の形にぴったりフィットし、薬剤が均一に作用する
✔ 高濃度のホワイトニングジェルを使用できる(医療用)
✔ 長期間使用できるため、コストパフォーマンスが高い
✔ 歯科医の指導のもと、安全にホワイトニングできる
⚠ デメリット
✖ 初回の費用が高め(20,000〜50,000円)
✖ 作成に1週間ほどかかる場合がある
✖ 定期的な歯科通院が必要なこともある
💡 歯科医院のマウスピースはこんな人におすすめ!
✅ しっかりとした効果を求める人
✅ ムラなく均一に白くしたい人
✅ 長期間使用したい人
💰 コストと効果のバランスで選ぶポイント
どのタイプを選ぶべきか、コストと効果のバランスを考えて比較してみましょう。
| 項目 | 市販のマウスピース(既製品) | 市販のマウスピース(熱成型) | 歯科医院のカスタムマウスピース |
|---|---|---|---|
| 価格 | 1,000〜3,000円 | 1,500〜5,000円 | 20,000〜50,000円 |
| フィット感 | △(汎用サイズ) | ◯(自分で成型) | ◎(オーダーメイド) |
| ホワイトニング効果 | △(ムラになりやすい) | ◯(ある程度フィット) | ◎(最も高い効果) |
| 薬剤の濃度 | 低濃度(市販品) | 低〜中濃度(市販品) | 高濃度(医療用ジェル) |
| 持続性 | 数週間 | 数ヶ月 | 半年以上 |
| おすすめの人 | お試し感覚で使いたい人 | 低コストで試したい人 | 本気で白くしたい人 |
📌 迷ったらコレ!
🔹 とにかく安く試したい → 市販の既製品タイプ(1,000〜3,000円)
🔹 ある程度のフィット感がほしい → 市販の熱成型タイプ(1,500〜5,000円)
🔹 確実に効果を出したい → 歯科医院のカスタムマウスピース(20,000〜50,000円)
😣ホワイトニングマウスピース各トラブル対策
装着時の違和感
対策
対策:マウスピースの形を修正
マウスピースの形には歯茎を広範囲に覆うように直線的にカットするストレートタイプと歯頚線(歯と歯茎の境界)の湾曲に合わせて1~2mm 歯茎を覆うようにカットするスキャロップタイプがあります。
前者はホワイトニングジェルがはみ出しにくく、強度に優れるメリットがあります。一方、装着時の違和感が奥歯周辺で強く出る傾向があります。
違和感が取れない場合は、マウスピースの外形を短くカットしますから遠慮なく申し出て下さい。
型取り時の嘔吐反射
対策
対策:表面麻酔
歯の治療の時に型取りで嘔吐反射に苦しめられた経験のある方は多いと思います。
嘔吐反射を起こさないように型取りする方法として、口腔粘膜に表面麻酔を付け、印象用トレーに盛った印象材の量を最小限にとどめることでかなりの所まで防げます。
こういった処置を行っても嘔吐反射で歯型が取れない場合にはオフィスホワイトニングをお薦めします。
マウスピース装着で歯並びが悪くなる?
マウスピースを付けることで歯並びが悪くなるのではと心配される方がいますが、全くその心配はありません。
もしかするとマウスピースを付けることで数ミクロンの歯の移動が起こるかもしれませんが、マウスピースを外せば歯は元の位置に戻ります。
🎯【失敗しない】ホワイトニングマウスピースの正しい使い方
🔄 ホワイトニングマウスピースの使用手順
ホワイトニングマウスピースを効果的に使用するためには、正しい手順を守ることが重要です。ここでは、準備からアフターケアまでの流れを詳しく解説します。

🦷 ① マウスピースの準備(歯磨き・ジェルの塗布)
ホワイトニング効果を最大化するためには、使用前の準備が大切です。
✅ ① 歯磨きをする
- 食べかすや歯垢があると、薬剤が均等に作用しないため、しっかり歯磨きをする。
- 研磨剤入りの歯磨き粉は避け、フッ素なしのものを使用すると◎。
✅ ② マウスピースを洗浄する
- 前回使用時のジェル残りや雑菌を落とすために流水で洗浄。
- ぬるま湯(熱湯はNG!)で軽くすすぐ。
✅ ③ ホワイトニングジェルを塗布する
- 1歯あたり米粒大(約0.5ml)を目安に、マウスピースの内側に塗布。
- 塗りすぎると、ジェルが歯茎に付着し刺激を与えるので注意。
- 前歯の表側を中心に塗る(奥歯は目立たないので必要に応じて)。
⏳ ② 装着時間と推奨頻度(どのくらいの時間装着すべき?)
マウスピースホワイトニングは、適切な時間・頻度で使用することで効果が最大化されます。
| ジェルの濃度 | 装着時間の目安 | 推奨頻度 |
|---|---|---|
| 低濃度(10%以下) | 1回 2〜4時間 | 毎日使用OK |
| 中濃度(10〜20%) | 1回 1〜2時間 | 週4〜5回 |
| 高濃度(20%以上) | 1回 30分〜1時間 | 週3回程度 |
💡 ポイント
- 装着時間を守ることで、知覚過敏や歯茎の炎症を防ぐ
- 毎日続けることで効果が安定しやすい(ただし高濃度ジェルは頻度を調整)
- 夜寝る前の使用がベスト(睡眠中に色素沈着しにくい)
🍽 ③ ホワイトニング後のケア(飲食の制限・フッ素ケア)
ホワイトニング直後は、歯の表面が一時的にデリケートになっています。

✅ 使用後の基本ケア
- マウスピースを流水でしっかり洗浄し、ケースに保管
- 歯を軽く水ですすぐ(研磨剤なしの歯磨き粉で軽くブラッシングもOK)
- フッ素入りの歯磨き粉を使うと再石灰化を促進し、知覚過敏を防げる
✅ ホワイトニング直後に避けるべき飲食(最低2時間、可能なら24時間)
| 避けるもの | 理由 |
|---|---|
| コーヒー・紅茶・赤ワイン | 色素沈着しやすい |
| カレー・ケチャップ・ソース | 強い着色成分を含む |
| 炭酸飲料・柑橘系ジュース | 酸性が強く、歯を弱くする |
| タバコ | ヤニで黄ばみやすい |
✅ おすすめの飲食
| OKなもの | 理由 |
|---|---|
| 水・牛乳 | 色素がなく歯に優しい |
| 白米・パン(バターなし) | 着色しにくい炭水化物 |
| 鶏肉・白身魚 | 色素が少なくたんぱく質が豊富 |
⚠ ホワイトニング中に気をつけること
❄️ しみる?痛みや違和感の対策
ホワイトニング中や後に「しみる」「痛い」と感じる場合があります。
🔹 原因
- 薬剤の刺激による知覚過敏
- マウスピースが歯茎に当たりすぎている
- 装着時間が長すぎる
🔹 対策
✅ 使用頻度・時間を調整する(1日おき or 短時間に変更)
✅ 知覚過敏用歯磨き粉(シュミテクトなど)を併用
✅ フッ素ジェルを塗布して歯を強化
✅ 一時的にホワイトニングを中断し、症状が落ち着いたら再開
🚫 こんな使い方はNG!失敗しないための注意点
⚠ 失敗例①:ジェルの塗布量が多すぎる
➡ 歯茎に薬剤が触れて炎症を起こす原因に! → 1歯あたり米粒大が適量
⚠ 失敗例②:装着時間を守らない
➡ 長時間の使用は知覚過敏の原因に! → 推奨時間を守る
⚠ 失敗例③:使用後に色素の強い飲食をする
➡ ホワイトニング直後は色が付きやすい! → 24時間は注意
⚠ 失敗例④:マウスピースを洗わずに保管する
➡ 細菌の繁殖で口臭の原因に! → 使用後はしっかり洗浄
🎯 効果を最大化するためのコツ(食生活・生活習慣)
✅ ホワイトニング中は「ホワイトフード」を意識する
(例:白米、豆腐、鶏肉、白身魚、ヨーグルト)
✅ フッ素やミネラルを含む食品を積極的に摂取する
(例:チーズ、ナッツ類、牛乳)
✅ 1回のホワイトニングで終わりにしない!
- ホワイトニング後も定期的にメンテナンスを続ける(月1〜2回)
✅ 寝る前のホワイトニングがおすすめ
- 夜のホワイトニングは、その後の飲食を避けやすいため、効果が最大化!
💰【料金比較】ホワイトニングマウスピースの費用は?
💳 保険適用の有無と費用を抑える方法
ホワイトニングマウスピースは、自宅で手軽に歯を白くできる方法ですが、費用が高いと感じる人も多いはず。そこで、保険適用の可能性や費用を抑えるコツを詳しく解説します!
🏥 保険適用の可能性は?
結論から言うと、ホワイトニングマウスピースは健康保険適用外です。
なぜなら、ホワイトニングは「審美目的」の治療であり、健康保険が適用される「治療目的」の処置ではないためです。
🚨 ただし、例外あり! 🚨
次のようなケースでは、保険適用となる可能性があります。
✅ 顎関節症や歯ぎしりの治療でマウスピースを作る場合
➡ 歯ぎしり防止用のナイトガード(スプリント療法)は保険適用可能(3,000〜5,000円程度)
💡 ホワイトニング目的では保険適用されないが、歯ぎしり用マウスピースを作って併用する方法もアリ!
🎯 コスパ最強!安く済ませる裏ワザ
ホワイトニングマウスピースをなるべく安く手に入れる方法を紹介します!ただし、自己責任です。
✅ ① クリニックのキャンペーンを利用する
- 歯科医院によっては「初回限定割引」や「モニター価格」を設定しているところもあり、通常価格より安く受けられる!
💡 チェックポイント
📝 **「ホワイトニング キャンペーン」**で検索!
📍 SNS(Instagram・Twitter)でモニター募集を探す
✅ ② 歯ぎしり用マウスピースを保険適用で作り、ホワイトニングジェルだけ購入
- 保険適用で**「歯ぎしり用マウスピース(ナイトガード)」**を作成(約3,000〜5,000円)
- 別途、市販のホワイトニングジェル(5,000円程度)を購入して使用すれば、歯科医院で作るより安く済む!
💡 デメリット
- 歯ぎしり用マウスピースはホワイトニング専用ではないため、歯を全て覆っていない、フィット感が劣る可能性あり。
- 歯ぎしり用マウスピースは上顎に適用するもので、下顎は作成不可。
✅ ③ 市販の熱成型マウスピース+ホワイトニングジェルを活用
- **熱成型タイプのマウスピース(約2,000〜5,000円)**を購入し、自分の歯型に合わせて調整。
- **歯科医院で使用されるホワイトニングジェルだけを購入(1本2,000〜5,000円)**し、自宅で使用する。
👨⚕️【専門家監修】歯科医が教えるホワイトニングマウスピースのQ&A
❓ よくある疑問と回答(ホワイトニングマウスピース編)
ホワイトニングマウスピースを使う際に、多くの人が疑問に思うことをまとめました!
正しい知識を持って、効果的にホワイトニングしましょう🦷✨
Q1: 「一度白くなったらもう使わなくてもいい?」
🟢 回答:
いいえ、定期的なメンテナンスが必要です!
ホワイトニング後も、生活習慣によって着色が進むため、定期的なケアが必須です。
💡 白さを維持するためのメンテナンス頻度の目安
| ホワイトニング後の状態 | メンテナンス頻度 |
|---|---|
| すぐに色戻りしやすい(コーヒー・タバコ習慣あり) | 週1〜2回 |
| 普通の生活をしている | 月2回程度 |
| 色戻りしにくい(食生活に気をつけている) | 2〜3ヶ月に1回 |
✅ 着色が気になったら、週1回のホワイトニングでリセット!
✅ コーヒー・紅茶をよく飲む人は、色戻りしやすいためこまめなケアが大切!
Q2: 「市販のホワイトニングマウスピースは本当に効果がある?」
🟢 回答:
市販品でも効果はあるが、歯科医院のものより効果は控えめ!
| 種類 | ホワイトニング効果 | 特徴 |
|---|---|---|
| 市販のマウスピース(既製品) | △(効果は弱め) | すぐに始められるがフィット感が悪い |
| 市販の熱成型マウスピース | ◯(ある程度の効果) | 自分の歯型に合わせられる |
| 歯科医院のカスタムマウスピース | ◎(最も高い効果) | 高濃度ジェルが使用可能で、ムラなく白くできる |
✅ 「試してみたい!」という人には、市販の熱成型タイプがおすすめ!
✅ 本気で白くしたいなら、歯科医院のカスタムマウスピースがベスト!
Q3: 「マウスピースの洗浄・保管方法は?」
🟢 回答:
マウスピースは毎回しっかり洗浄し、清潔に保つことが重要!
使用後の洗浄方法
ステップ
水洗い
マウスピースは熱で変形しますから。お湯で洗わないようにしてください。
使用後のマウスピースは歯磨き粉を付けずに水洗いし、乾くまで風通しの良い場所で保管してください。

ステップ
マウスピース用洗浄剤
水洗いだけではぬめりが残ってしまうという方にはマウスピース用洗浄剤がおすすめです。
研磨剤不配合のため、マウスピースを傷つけずに洗浄できます。
ニオイの原因菌、カビの一種を5分で99.9%※除去します。
【Amazonで購入】
マウスピース用洗浄剤
【楽天で購入】
マウスピース用洗浄剤

ステップ
5分以上浸す
150ml程度のぬるま湯(約40℃)に、マウスピース用洗浄剤を1錠入れます。
5分以上洗浄液に浸し、洗浄液に浸した後は水でよくすすぎます。

✅ NGな洗い方
🚨 熱湯で洗う → マウスピースが変形する!
🚨 アルコール消毒 → 素材を傷める可能性あり!
✅ 保管時のポイント
- ケースに入れて保管する(ホコリや雑菌の付着を防ぐ)
- 湿気がこもらないように風通しの良い場所に置く
- 定期的に新しいマウスピースに交換する(1〜2年が目安)
💡 マウスピースを清潔に保つことで、効果も長持ち&口臭予防にも!
江戸川区篠崎でホームホワイトニングをご希望の方へ

「自宅で手軽に白い歯を手に入れたい!」 そんな方におすすめなのが、ホームホワイトニングです。当院では、あなたの歯にぴったりフィットするカスタムマウスピースを作成し、歯科専用の高濃度ホワイトニングジェルとセットで提供しています。
💡 江戸川区篠崎の当院が選ばれる理由
✅ 歯科医が監修するため、安全かつ効果的!
✅ 自宅で好きな時間にホワイトニング可能!
✅ ムラなく白くなるオーダーメイド設計!
「市販のホワイトニングでは効果が感じられなかった…」という方も、歯科医院のホワイトニングマウスピースで確実な白さを実感できます。
📍 江戸川区篠崎駅徒歩1分! カウンセリング受付中!
📝 まずはお気軽にお問い合わせください!
【動画】ホームホワイトニングの効果的なやり方
筆者・院長

深沢 一
Hajime FUKASAWA
- 登山
- ヨガ
メッセージ
日々進化する歯科医療に対応するため、毎月必ず各種セミナーへの受講を心がけております。
私達は、日々刻々と進歩する医学を、より良い形で患者様に御提供したいと考え、「各種 歯科学会」に所属すると共に、定期的に「院内勉強会」を行う等、常に現状に甘んずる事のないよう精進致しております。 又、医療で一番大切な事は、”心のある診療”と考え、スタッフと共に「患者様の立場に立った診療」を、心がけております。


