- 1. 【📹 39秒】セルフホワイトニング vs 医療ホワイトニング|どちらを選ぶべき?
- 2. 🦷セルフホワイトニングとは?基本のしくみと目的
- 2.1. 💡セルフホワイトニングの定義と医療ホワイトニングとの違い
- 2.2. ⚙酸化チタンやポリリン酸による光触媒反応の仕組み
- 2.3. 🏥歯科医院でのホワイトニングとの根本的な違い(内部 vs 表面)
- 3. 📈セルフホワイトニングが人気の理由
- 3.1. 🕒短時間で施術できる気軽さ(サロン/自宅用)
- 3.2. 💰費用を抑えられる(1回2,000円〜)
- 3.3. 😌刺激が少なく痛みもない
- 3.4. 📱SNSや口コミで広がる「簡単に白くなる」イメージ
- 4. ⚖️セルフと医療ホワイトニングの比較
- 4.1. 🧪使用成分の違い(酸化チタン vs 過酸化水素)
- 4.2. 🦷効果の違い(表面の汚れ除去 vs 歯の漂白)
- 4.3. 💸費用と施術者の違い
- 4.4. 📊効果持続の違いとメンテナンス頻度
- 5. 🛠 セルフホワイトニングの種類と特徴
- 5.1. 💡LED照射タイプ(短期効果型)
- 5.2. ✍️ペンタイプ(外出先・部分用)
- 5.3. 📄シートタイプ(ながらケア向け)
- 5.4. 🧴ジェル・歯磨き粉タイプ(日常ケア向け)
- 6. 🧪セルフホワイトニングの主成分と効果
- 6.1. 🧬酸化チタン:光触媒の力で汚れを分解
- 6.2. 🧴ポリリン酸:再着色を防ぐコーティング作用
- 6.3. 🔬ヒドロキシアパタイトやフッ素との相乗効果
- 6.4. ⚠過酸化水素との違いと安全性
- 7. 🧠効果が出やすい人・出にくい人の特徴
- 7.1. ✅ ステイン汚れの人は効果あり
- 7.2. ❌加齢・遺伝・薬剤による変色には不向き
- 7.3. 🔁継続使用と生活習慣がカギ
- 8. 🔍やり方・手順ガイド|自宅でのセルフホワイトニング
- 8.1. 🪥使用前の準備(フッ素なしの歯磨き推奨)
- 8.2. ✨製品タイプ別の使い方
- 8.2.1. 💡 LEDライト照射タイプ
- 8.2.2. ✍️ ペンタイプ
- 8.2.3. 📄 シートタイプ
- 8.2.4. 🧴 ジェル・歯磨き粉タイプ
- 8.3. 💦使用後の口腔ケアと水分補給
- 8.4. 🍴使用後の食事制限と避けるべき飲食物
- 9. 🧯セルフホワイトニングの注意点と失敗パターン
- 9.1. 🔁毎日の使用は逆効果?
- 9.2. ⚠ 研磨剤との併用はNG
- 9.3. 🔦LEDライト照射の適切な時間
- 9.4. 🧪ジェルの成分が歯茎に触れないように注意
- 10. 🧩 効果を最大化するコツと併用アイテム
- 10.1. 🪥ホワイトニング歯磨き粉/マウスウォッシュの併用
- 10.2. 🧴ストロー使用や口すすぎで着色を予防
- 10.3. 🧬フッ素・ビタミンDで歯質強化
- 11. ⚖️セルフホワイトニングに向いている人・向かない人
- 11.1. 😊 コスパ重視・痛みに弱い・自然な白さを求める人向き
- 11.2. 🦷 短期間で劇的に白くしたい人には不向き
- 12. ⚖️よくある質問(Q&A)
- 12.1. ❓ セルフホワイトニングは本当に白くなる?
- 12.2. ❓ どのくらいの頻度で使えばいい?
- 12.3. ❓ 妊娠中や授乳中でも使える?
- 12.4. ❓ 歯にしみたり副作用はある?
- 12.5. ❓ 医療ホワイトニングとの使い分けは?
- 13. 📌まとめ|セルフホワイトニングは「継続×正しい知識」が成功のカギ!
- 13.1. ✔ 表面汚れには有効だが、内部の黄ばみには不向き
- 13.2. ✔ 「手軽・安い・痛くない」ならセルフ、「即効・高効果」なら歯科医院
- 13.3. ✔ 組み合わせて使えば、コストを抑えながら白さをキープできる!
- 14. 江戸川区篠崎でホワイトニングをお考えの方へ|歯の内部から白くするなら医療ホワイトニング!
- 15. 【動画】ホームホワイトニングの効果的なやり方
- 16. 筆者・院長

「セルフホワイトニングって本当に白くなるの?安全なの?」
そんな疑問をお持ちの方へ。
近年、エステサロンや自宅で気軽にできるホワイトニングが注目されていますが、医療ホワイトニングとの違いや効果には誤解も多いのが現実です。
この記事では、セルフホワイトニングの仕組み・効果・向き不向き・注意点をわかりやすく解説。
自分に合った方法で、無理なく白く美しい歯を手に入れましょう!
【📹 39秒】セルフホワイトニング vs 医療ホワイトニング|どちらを選ぶべき?
🦷セルフホワイトニングとは?基本のしくみと目的
💡セルフホワイトニングの定義と医療ホワイトニングとの違い
セルフホワイトニングとは、自宅やホワイトニングサロンで自分自身で行う歯のホワイトニングケアのことです。歯の表面についたステイン(着色汚れ)を落とすことで、自然な白さに近づけるのが目的です。

一方、歯科医院で行う「医療ホワイトニング」は、歯の内部にある色素を過酸化水素や過酸化尿素などの薬剤で分解・漂白する治療法。**「歯そのものの色を白くする」**という点が大きな違いです。
⚙酸化チタンやポリリン酸による光触媒反応の仕組み

セルフホワイトニングでは、酸化チタンやポリリン酸といった成分を使います。特に酸化チタンは光触媒として機能し、LEDライトを当てることで活性化します。
この反応によって、コーヒーやタバコによるステインを浮かせて分解し、歯の表面から汚れを除去します。また、ポリリン酸にはコーティング作用があり、汚れの再付着を防ぐ効果も期待できます。
✅ 漂白剤を使用しないため、痛みや刺激が少ないのが大きなメリットです。
🏥歯科医院でのホワイトニングとの根本的な違い(内部 vs 表面)

セルフホワイトニングは表面の汚れを落とすことが目的であり、内部の黄ばみまでは白くできません。たとえば、加齢や遺伝、薬剤(テトラサイクリンなど)による色素沈着には効果が出にくいです。
一方で、歯科医院のホワイトニングは、エナメル質の奥にある象牙質まで薬剤が浸透し、歯の内部の色素を分解・漂白します。これにより、見た目の白さが数段階アップするのが特徴です。
📈セルフホワイトニングが人気の理由
近年、セルフホワイトニングが幅広い年代に人気を集めています。その理由は、**「手軽・安い・痛くない」**という3拍子が揃っていることにあります。ここでは、セルフホワイトニングが選ばれる4つの大きな理由をご紹介します。
🕒短時間で施術できる気軽さ(サロン/自宅用)
セルフホワイトニングは、たった30分前後で完了するため、忙しい方でもスキマ時間にケアが可能です。
- サロンでの施術:予約不要の店舗も多く、仕事帰りや買い物ついでに通える
- 自宅ケア:好きな時間にリラックスしながら使える
通院の手間がなく、**「今日から始められる美容習慣」**として取り入れやすい点が、人気の理由です。
💰費用を抑えられる(1回2,000円〜)
歯科医院でのホワイトニングは、1回あたり20,000〜50,000円前後かかることが一般的ですが、セルフホワイトニングは1回2,000円〜5,000円程度とリーズナブル。
- サロンでも回数券や定額制でお得になるケースも多数
- 自宅用キットは5,000〜10,000円で数回分使える
「とにかく安くホワイトニングしたい!」というニーズに応えられるのが大きな魅力です。
😌刺激が少なく痛みもない
セルフホワイトニングに使われる成分は、過酸化水素などの漂白成分を含まないため、知覚過敏などのリスクが低く、痛みもほとんどありません。
- 酸化チタンやポリリン酸などのやさしい成分を使用
- 歯や歯茎へのダメージが少なく、敏感な方でも使いやすい
「ホワイトニング=しみる・痛い」と敬遠していた方にも安心して取り入れられます。
📱SNSや口コミで広がる「簡単に白くなる」イメージ
InstagramやTikTokなどのSNSでは、インフルエンサーや芸能人による使用レビューが多く投稿されており、「自分もやってみたい」と興味を持つ方が急増中です。
- 「たった1回でトーンアップ」などの投稿が拡散
- 写真映えするLEDライト照射シーンも話題に
こうした**“バズり”効果**も、セルフホワイトニング人気の火付け役となっています。
⚖️セルフと医療ホワイトニングの比較
ホワイトニングには、大きく分けて「セルフホワイトニング」と「医療ホワイトニング(歯科医院での施術)」の2種類があります。それぞれにメリット・デメリットがあり、**目的や重視するポイントによって最適な方法は異なります。**ここでは4つの観点から両者を徹底比較します。
🧪使用成分の違い(酸化チタン vs 過酸化水素)
- セルフホワイトニングでは、酸化チタン・ポリリン酸・重曹などが主に使われます。これらは漂白作用はなく、歯の表面の汚れ(ステイン)を浮かせて除去する働きがあります。
- 医療ホワイトニングでは、過酸化水素や過酸化尿素といった漂白成分を使用し、歯の内部の色素まで分解して白くする効果があります。
📝つまり、「表面の汚れを落とすセルフ」「歯の本来の色を変える医療」という成分レベルでの大きな違いがあります。
🦷効果の違い(表面の汚れ除去 vs 歯の漂白)
- セルフホワイトニングは歯の表面に蓄積した着色汚れに対して有効です。コーヒー・紅茶・タバコなどによるステインには効果的ですが、加齢や遺伝による黄ばみには効果が限定的です。
- 医療ホワイトニングは歯の内部まで薬剤が浸透し、象牙質の色そのものを明るくします。歯のトーンを数段階アップさせることが可能です。
🔎「自然な白さを目指すならセルフ」「理想の白さを目指すなら医療」が基本の考え方です。
💸費用と施術者の違い
| 比較項目 | セルフホワイトニング | 医療ホワイトニング |
|---|---|---|
| 費用相場 | 2,000〜5,000円/回 | 20,000〜50,000円/回 |
| 施術者 | 自分自身 | 歯科医師・歯科衛生士 |
| 通院 | 不要(サロン・自宅) | 必要(歯科医院へ) |
| 保険適用 | 審美目的のため不可 | 審美目的のため不可 |
💡セルフの方が始めやすい価格帯ですが、歯科の専門知識やフォローが受けられる点では医療が安心です。
📊効果持続の違いとメンテナンス頻度
- セルフホワイトニングの効果持続期間は約2〜4週間。そのため、週1〜2回程度の継続的なケアが推奨されます。
- 医療ホワイトニングは、オフィスホワイトニングであれば3〜6ヶ月間持続することも可能です。ただし、色戻りを防ぐためのホームホワイトニングとの併用や、定期的なメンテナンスが推奨されます。
📌「効果の持続期間を重視するか」「手軽さを重視するか」で、選ぶべき方法が変わります。
🛠 セルフホワイトニングの種類と特徴
セルフホワイトニングにはさまざまなタイプがあり、使用シーンやライフスタイルに応じて選べるのが魅力です。ここでは代表的な4つのタイプを解説します。
💡LED照射タイプ(短期効果型)
LEDライトを照射することで、酸化チタンやポリリン酸などの光触媒成分を活性化し、歯の表面の汚れを分解します。
🟢 特徴:
- 専用ジェルを塗ってからライトを当てる本格仕様
- 1回でトーンアップを感じやすい
- ホワイトニングサロンでもこの方式が主流
✅ メリット:
- 比較的短時間で効果を実感できる
- 過酸化水素不使用で低刺激
- 自宅でも“本格ケア”が可能
⚠ 注意点:
- LED機器の購入が必要(5,000〜20,000円)
- 毎回の準備やライト照射に10〜20分かかる
💡短期的な効果を求める方や、イベント前の集中ケアにおすすめです。
✍️ペンタイプ(外出先・部分用)
ペン型の容器に入ったホワイトニングジェルを、気になる部分に直接塗布するタイプです。
🟢 特徴:
- コンパクトで持ち運びに便利
- 歯1本ずつ、ピンポイントで塗れる
✅ メリット:
- 外出先や出張中でも手軽に使える
- 使用後の洗い流しが不要なタイプも多い
- 価格も手頃(1,000〜3,000円程度)
⚠ 注意点:
- 即効性は乏しく、継続が必要
- 塗りムラがあると効果に差が出る
💡忙しい人や、特定の歯だけ気になる方にぴったりです。
📄シートタイプ(ながらケア向け)
ホワイトニング成分を含んだシートを歯に貼るだけでケアできる便利なタイプ。
🟢 特徴:
- テレビを見ながら、家事をしながらケア可能
- 口を閉じたまま使用できる
✅ メリット:
- ジェルが垂れる心配がなく、清潔に使える
- 1回の使用時間は15〜30分程度
⚠ 注意点:
- 歯並びが悪いとフィットしにくい
- シートが歯茎に触れると違和感を感じる場合あり
💡**「ながら美容」をしたい方に向いています。**
🧴ジェル・歯磨き粉タイプ(日常ケア向け)
普段の歯磨きに取り入れるだけの最も手軽なホワイトニング方法。
🟢 特徴:
- ホワイトニング成分配合の歯磨き粉やジェルを使ってブラッシング
- フッ素・ヒドロキシアパタイトなどを含むものも多い
✅ メリット:
- 習慣にしやすく、続けやすい
- 歯の表面の汚れ予防や再着色防止に効果的
- 刺激が少なく毎日使える
⚠ 注意点:
- 即効性はほぼなく、あくまで補助的な役割
- 長期使用で効果を実感するタイプ
💡セルフホワイトニングを「継続する習慣」にしたい方に最適です。
📌 まとめ:タイプ別おすすめ早見表
| タイプ | 特徴 | 向いている人 |
|---|---|---|
| 💡 LED照射タイプ | 短期で効果を実感しやすい | 本格的に白くしたい人 |
| ✍️ ペンタイプ | ピンポイントで使いやすい | 外出先で手軽に使いたい人 |
| 📄 シートタイプ | ながらケアが可能 | 忙しい中でも続けたい人 |
| 🧴 ジェル・歯磨き粉 | 日常ケアとして取り入れやすい | 習慣として続けたい人/予防重視 |
🧪セルフホワイトニングの主成分と効果
セルフホワイトニングに使用される成分は、歯や歯茎にやさしく、日常使いに適した処方になっているのが特徴です。ここでは代表的な有効成分と、その働き・安全性について解説します。
🧬酸化チタン:光触媒の力で汚れを分解
酸化チタン(TiO₂)は、光触媒反応を引き起こす成分としてセルフホワイトニングの中心的な役割を果たします。
🦷 作用の仕組み:
- 歯に塗布した酸化チタンにLEDライトを照射
- 光の力で活性酸素が発生し、歯の表面の汚れを分解・浮かせる
- ステイン(茶渋・タバコのヤニ)などをやさしく除去
✅ ポイント:
- 研磨剤を使わずに汚れを落とせるため、歯を傷つけにくい
- 漂白ではなく、自然な白さに戻すことを目指す成分
🧴ポリリン酸:再着色を防ぐコーティング作用
ポリリン酸ナトリウムは、ステイン除去と同時に、歯の表面をコーティングする作用がある多機能成分です。
🔄 働き:
- 汚れを包み込んで浮かせる作用
- 歯の表面に保護膜を形成して、再着色を防ぐ
✅ メリット:
- 歯のツヤが出やすく、見た目が美しく整う
- 使用を続けることで、着色しにくい歯に導く
- フッ素との併用で虫歯予防にも効果的
🔬ヒドロキシアパタイトやフッ素との相乗効果
セルフホワイトニング製品の中には、ホワイトニング+歯の修復成分が同時に配合されたものもあります。
🧪 主な補助成分:
- ヒドロキシアパタイト:エナメル質を構成する天然成分で、微細な傷を埋めて歯面をなめらかにする
- フッ素:再石灰化を促進し、歯を強くする/虫歯予防に有効
💡 相乗効果:
- ホワイトニング後の歯のざらつきや乾燥を防ぐ
- 歯質の保護と美白を同時に実現する
⚠過酸化水素との違いと安全性
歯科医院のホワイトニングに使われる過酸化水素や過酸化尿素は、歯の内部の色素を強力に漂白する薬剤です。一方、セルフホワイトニングではこれらを使用できない決まりがあります。
📛 過酸化水素の特徴:
- 高濃度だと知覚過敏や歯茎への刺激が起きやすい
- 医師・歯科衛生士の管理下でのみ使用が可能
🛡 セルフホワイトニングの安全性:
- 市販製品は医薬部外品または化粧品扱い
- 刺激の少ない成分構成で、毎日使っても安心
💡 安心ポイント:
- 漂白成分は使わない=低リスク
- 妊娠中や知覚過敏の人にも選ばれやすい
🧠効果が出やすい人・出にくい人の特徴
セルフホワイトニングは万能ではなく、人によって効果の出方が大きく異なります。ここでは「どんな人に効果が出やすいのか」「逆に不向きなケースは何か」についてわかりやすくご紹介します。
✅ ステイン汚れの人は効果あり
セルフホワイトニングは、**歯の表面に付着したステイン(着色汚れ)**に対して効果を発揮します。
🟢 効果が出やすい人の特徴:
- 毎日コーヒーや紅茶、赤ワインを飲む
- カレーなどの色素の強い食べ物をよく食べる
- タバコを吸っている(ヤニ汚れがある)
- 外部からの着色が主な原因で歯が黄ばんでいる
☝️ こうした「外因性の汚れ」が主な人には、セルフホワイトニングで1回の使用でもトーンアップが実感できるケースが多くあります。
❌加齢・遺伝・薬剤による変色には不向き
以下のような内因性の変色には、セルフホワイトニングは効果が出にくいとされています。
🔴 効果が出にくい人の特徴:
- 加齢によって象牙質が黄色くなっている
- 歯の色がもともと濃く、遺伝的に黄ばみやすい
- 子どもの頃にテトラサイクリン系抗生物質を使用(テトラサイクリン歯)
- フッ素の摂取量が多く、歯に白い斑点や縞模様がある(フッ素症)
これらの場合、歯の内部に原因があるため、表面の汚れを除去するセルフホワイトニングでは限界があります。理想の白さを目指すなら、歯科医院でのホワイトニングやセラミック治療を検討するのが現実的です。
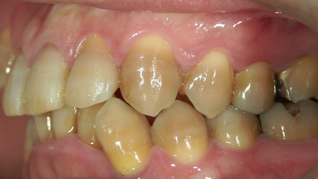
この画像は、テトラサイクリン歯(抗生物質による歯の変色)が見られる口腔内の例です。

歯の色がグレー〜褐色に帯び、縞状の色むらが確認できます。これは、母親が妊娠中または子どもの歯の形成期にテトラサイクリン系抗生物質を服用したことが原因で、歯の象牙質に薬剤が沈着したためです。
セルフホワイトニング(市販のホワイトニング剤など)では改善が困難なケースです。
理由としては、変色が歯の内部(象牙質)にまで及んでいるため、表面の漂白では十分に白くならないからです。
このような場合、歯科医院でのホワイトニングでも効果が限定的であり、ラミネートベニアやセラミッククラウンなどの審美修復治療が推奨されることがあります。
🔁継続使用と生活習慣がカギ
セルフホワイトニングは、1回で劇的に白くする方法ではありません。
📝 効果を最大化するための習慣:
- 最初の2週間は週2〜3回を継続使用
- 着色しやすい飲食物(コーヒー・紅茶・カレーなど)は控えめに
- ホワイトニング歯磨き粉やマウスウォッシュを併用
- 食後すぐに水で口をゆすぐ習慣をつける
特に「もとの歯がやや黄ばんでいる」程度の方は、正しい頻度とケアで2〜3トーンの変化が期待できます。
🔍やり方・手順ガイド|自宅でのセルフホワイトニング
自宅でできるセルフホワイトニングは、正しい手順と準備を守ることで効果が大きく変わります。ここでは、失敗しないための基本的なやり方とポイントを詳しく解説します。
🪥使用前の準備(フッ素なしの歯磨き推奨)
ホワイトニング剤の効果をしっかり引き出すために、まずは歯の表面の汚れをきちんと落とすことが重要です。
✅ 事前準備のポイント:
- フッ素入り歯磨き粉は避ける(コーティングにより薬剤が浸透しにくくなるため)
- フッ素なしの歯磨き粉でブラッシング
- フロスや歯間ブラシを使って歯の間も清掃
- 口が乾いていると効果が出にくいので、軽くうがいして湿らせておく
このひと手間で、ホワイトニング効果がワンランクアップします!
✨製品タイプ別の使い方
セルフホワイトニング製品にはいくつかのタイプがあり、それぞれ使い方が異なります。以下に代表的なタイプ別の手順を紹介します。
💡 LEDライト照射タイプ
- 歯を磨いた後、専用ジェルを歯の表面に均等に塗布
- 口にLEDライトを当て、10~20分ほど照射
- ジェルを水でしっかりすすぐ or 拭き取る
✍️ ペンタイプ
- 歯磨き後、歯の表面にピンポイントで塗布
- 5分ほど乾かし、軽くうがいして終了
📄 シートタイプ
- 歯に合わせてホワイトニングシートを貼る
- 15〜30分放置
- シートを外して水で軽くうがい
🧴 ジェル・歯磨き粉タイプ
- 歯ブラシにホワイトニングジェルをつけてブラッシング
- しっかり口をゆすいで完了
⚠ 使用時間・回数は製品の説明書に必ず従いましょう。
💦使用後の口腔ケアと水分補給
ホワイトニング後の歯は一時的に乾燥しやすく、着色しやすい状態になります。
🛡 使用後にすべきこと:
- 口をしっかりすすぎ、薬剤を残さないようにする
- 歯磨きをする場合はフッ素配合の歯磨き粉で仕上げケア
- 乾燥を防ぐため、水分をしっかり摂る
👅 舌や歯茎に違和感がある場合は、使用を中止し、様子を見てください。
🍴使用後の食事制限と避けるべき飲食物
セルフホワイトニング直後は、歯の表面が一時的にコーティングされていない状態です。そのため、着色しやすい飲食物は避けるのがベスト。

⏰ 食事制限の目安:施術後30〜60分以内
❌ 避けるべき飲食物:
- コーヒー・紅茶・赤ワイン・ウーロン茶
- カレー・ケチャップ・ミートソース
- チョコレート・コーラ・スポーツドリンク
- タバコ(ヤニが定着しやすい)
✅ 食べても安心なもの:
- 白米・パン(焼いていないもの)
- 豆腐・うどん・鶏肉・白身魚
- 水・牛乳・白湯
💡 使用直後に水で口をゆすぐだけでも、着色予防に効果的です。
🧯セルフホワイトニングの注意点と失敗パターン
セルフホワイトニングは自宅で手軽に行える反面、使い方を間違えると効果が出ないだけでなく、歯や歯茎を傷めるリスクもあります。ここでは、よくある失敗例とその対策を紹介します。
🔁毎日の使用は逆効果?
「毎日やれば早く白くなる」と思っていませんか?それは間違いです。
🧠 理由:
- 多くのセルフホワイトニング製品は週2〜3回の使用が適正
- 毎日使用すると、歯の表面が過度に乾燥・摩耗して逆効果になることも
✅ 正しい頻度:
- 初期:週2〜3回を1〜2週間継続
- 白さの維持:週1回程度が理想
📌「早く白くしたい」という気持ちも大切ですが、継続的・適切な頻度がもっと重要です。
⚠ 研磨剤との併用はNG
「ホワイトニング効果を高めよう」として、研磨剤入りの歯磨き粉を併用するのはNGです。
❌ 起こりうるトラブル:
- 歯の表面のエナメル質を傷つける
- 着色しやすくなる(表面がザラザラになる)
- 知覚過敏の原因になる
🟢 対策:
- 使用前後の歯磨きは低研磨または無研磨の歯磨き粉を選ぶ
- 歯の滑らかさを維持し、ホワイトニング効果も長持ちさせる
🔦LEDライト照射の適切な時間
LEDライトは長く当てれば当てるほど良い、というわけではありません。
⏱ 適切な照射時間:
- 一般的には10〜20分程度
- 長時間の照射は効果の上乗せにはつながらず、乾燥や違和感の原因になることも
💡 製品の取扱説明書の指示を守ることが最も大切です。
🧪ジェルの成分が歯茎に触れないように注意
ホワイトニングジェルは歯の表面に塗ることが前提であり、歯茎への接触は避けるべきです。
⚠ 歯茎に触れると…
- 一時的な赤み・ヒリつき・違和感を感じることがある
- 敏感な方は炎症を起こすケースも
🟢 安全に使うために:
- ミラーを見ながら丁寧に塗布
- 多くつけすぎない(余分なジェルが流れて歯茎に付着する)
👨⚕️ 違和感が続く場合は、一度使用を中止して歯科医院に相談を。
🧩 効果を最大化するコツと併用アイテム
セルフホワイトニングの効果は、使用方法だけでなく、日常のケアや習慣によっても大きく左右されます。ここでは、白さをより長く・効果的に保つためのコツとおすすめアイテムをご紹介します。
🪥ホワイトニング歯磨き粉/マウスウォッシュの併用
セルフホワイトニングの前後に専用の歯磨き粉やマウスウォッシュを併用することで、ステイン除去や再着色防止に役立ちます。

🟢 ホワイトニング歯磨き粉の特徴:
- ポリリン酸ナトリウムやメタリン酸ナトリウム配合で汚れの再付着を防止
- 低研磨タイプでエナメル質を傷つけにくい
- 一部製品にはヒドロキシアパタイトや炭酸カルシウムも配合
🟢 マウスウォッシュのメリット:
- 歯の隅々までホワイトニング成分を行き渡らせる
- フッ素配合タイプで虫歯予防と白さ維持を両立
💡 ホワイトニング直後〜就寝前の使用がおすすめです。
🧴ストロー使用や口すすぎで着色を予防
ホワイトニング後の歯は一時的に汚れが付きやすい状態。日常の食習慣で再着色を防ぐために、以下の工夫が効果的です。
🧃 着色を防ぐテクニック:
- コーヒーや紅茶はストローで飲む(歯への直接接触を回避)
- 色の濃い飲食物をとった後は、すぐに水で口をゆすぐ
- 外出先でも小型マウスウォッシュや水筒の水で軽くケアを
💡 このひと手間が、白さの“持ち”に大きく差を生みます。
🧬フッ素・ビタミンDで歯質強化
白さを保つには「汚れをつけない」だけでなく、「歯そのものを強く保つ」ことも重要です。
🦷 歯の健康を守る栄養と習慣:
- フッ素:再石灰化を促し、歯の耐酸性を高める
- ビタミンD:カルシウムの吸収を助け、歯や骨の形成をサポート
- カルシウム:歯の主成分。牛乳・チーズ・小魚などから摂取
💡 フッ素配合の歯磨き粉や洗口液を日常的に使い、栄養面も意識した食生活を心がけましょう。
⚖️セルフホワイトニングに向いている人・向かない人
ホワイトニングには向き・不向きがあり、自分の目的や体質に合わせた選択が重要です。ここでは、セルフホワイトニングがおすすめな人・あまり向かない人の特徴をわかりやすくまとめます。
😊 コスパ重視・痛みに弱い・自然な白さを求める人向き
セルフホワイトニングは、以下のような方に特に向いています。
🟢 向いている人の特徴:
- できるだけ費用を抑えたい人
→ 1回あたり2,000円〜とリーズナブル。継続も負担少なめ。 - ホワイトニングでしみた経験がある人
→ 過酸化水素を使わないため、知覚過敏のリスクが低い。 - 自然な白さで十分という人
→ ステイン除去によるトーンアップで、清潔感がアップ。 - エステ感覚でオーラルケアをしたい人
→ サロンや自宅で、気軽に“美容習慣”として取り入れやすい。
💡「初めてのホワイトニング体験」として、セルフは最もハードルが低い選択肢です。
🦷 短期間で劇的に白くしたい人には不向き
反対に、以下のようなニーズにはセルフホワイトニングは物足りなさを感じることもあります。
🔴 向かない人の特徴:
- 結婚式・写真撮影など、短期間で明確な白さが必要な人
→ セルフは徐々にトーンアップするため即効性は低め。 - 歯そのものの色を何段階も白くしたい人
→ 内部の色素までは変えられない。 - 加齢や遺伝による黄ばみ・テトラサイクリン歯の方
→ セルフでは改善が難しく、医療ホワイトニングやセラミック治療が必要。 - 1回で効果が出ないと続けられない人
→ セルフは継続がカギ。即効性重視の方には不向き。
📌 見た目を大きく変えたい場合は、歯科医院でのオフィスホワイトニングやホームホワイトニングの方が適しています。
⚖️よくある質問(Q&A)
❓ セルフホワイトニングは本当に白くなる?
✅ 白くなりますが、「表面の汚れを落とす」ことによるトーンアップが中心です。
- コーヒー・紅茶・ワイン・タバコなどのステイン(着色汚れ)には効果的
- 歯そのものの色(象牙質の黄ばみ)を漂白する効果はなし
- 数回の使用で自然な白さに近づける人が多い
💡「元の白さを取り戻す」目的に向いています。
❓ どのくらいの頻度で使えばいい?
🗓 使用頻度の目安は以下のとおりです。
- 初期ケア:週2~3回を2週間程度
- メンテナンス:週1回が理想
- 即効性を求める人は初期は3日連続で使用するケースもあり
⚠ 毎日使用すると歯に負担がかかる場合があるため、適度な頻度で継続するのがポイントです。
❓ 妊娠中や授乳中でも使える?
🔶 基本的には使用を控えるのが安全です。
- セルフホワイトニング製品は過酸化水素を含まないため比較的安全性は高いとされます
- ただし、妊娠中・授乳中は歯茎が敏感になりやすく炎症リスクが高まるため注意が必要
- 使用を希望する場合は、「妊娠中使用OK」と明記された製品を選ぶか、歯科医に相談を
📌 安全第一。可能であれば産後からのスタートが安心です。
❓ 歯にしみたり副作用はある?
🦷 一般的には刺激が少なく副作用はほとんどないとされています。
- 使用される成分は漂白剤ではなく、刺激の少ない光触媒・ポリリン酸など
- 知覚過敏を引き起こすリスクも低め
- ただし、以下のケースでは注意が必要:
- 歯茎にジェルが付着してヒリつく
- エナメル質が薄く、しみやすい体質の方
💡 心配な方は目立たない部分でパッチテスト的に試すのも◎。
❓ 医療ホワイトニングとの使い分けは?
🧭 目的や求める白さによって、適切に使い分けることが大切です。
| 項目 | セルフホワイトニング | 医療ホワイトニング(歯科) |
|---|---|---|
| 成分 | 酸化チタン・ポリリン酸 | 過酸化水素・過酸化尿素 |
| 効果 | 表面の着色を除去 | 歯の内部の色を漂白 |
| 即効性 | 低め(数回で実感) | 高い(1回で変化) |
| 刺激性 | 低い(痛みほぼなし) | 知覚過敏の可能性あり |
| 価格帯 | 2,000〜5,000円/回 | 20,000〜50,000円/回 |
🔍 自然な白さ+低刺激を求めるならセルフ、明確な白さ・速さを求めるなら医療がおすすめです。
📌まとめ|セルフホワイトニングは「継続×正しい知識」が成功のカギ!
セルフホワイトニングは、誰でも手軽に始められる歯の美容習慣ですが、正しい理解と継続的なケアがなければ、思うような効果は得られません。ここで、ポイントを改めて整理しておきましょう。
✔ 表面汚れには有効だが、内部の黄ばみには不向き
セルフホワイトニングは、
- タバコ・コーヒー・紅茶などのステイン除去に優れていますが、
- 加齢・遺伝・薬剤による**歯の内部の黄ばみ(象牙質)**には効果が限定的です。
👉 本来の白さを取り戻す用途にはピッタリ、劇的な漂白効果を求めるなら医療ホワイトニングを検討しましょう。
✔ 「手軽・安い・痛くない」ならセルフ、「即効・高効果」なら歯科医院
| 比較軸 | セルフホワイトニング | 医療ホワイトニング |
|---|---|---|
| 費用 | 安い(2,000円〜) | 高め(2〜5万円) |
| 効果 | 自然なトーンアップ | 明確な白さの変化 |
| 刺激 | 少ない/ほぼ無痛 | 知覚過敏の可能性あり |
| 即効性 | 徐々に | 1回でも実感できる |
| 通いやすさ | 自宅・サロンで手軽 | 歯科医院で専門施術 |
🌿 セルフは「続けやすさ」、医療は「確実な効果」に特化しています。
✔ 組み合わせて使えば、コストを抑えながら白さをキープできる!
🎯 賢い選び方の例:
- 最初に歯科医院でホワイトニング → 維持にセルフを活用
- 定期的にセルフでケア → 必要に応じて医療でリセット
💡 このように使い分ければ、コストも抑えながら“ずっと白い歯”をキープできます。
江戸川区篠崎でホワイトニングをお考えの方へ|歯の内部から白くするなら医療ホワイトニング!

「セルフホワイトニングでは歯の内部から白くできない」ことをご存じですか?
セルフホワイトニングは、歯の表面の着色汚れを落とすことで自然な白さを目指す方法ですが、歯の内部の黄ばみまでは改善できません。
一方、当院の「医療ホワイトニング」は、歯の内部にまで浸透し、漂白することで本来の白さを取り戻せます。
✅ 短期間でしっかり白くしたい方
✅ 加齢や遺伝による歯の黄ばみが気になる方
✅ イベント前に白い歯を手に入れたい方
江戸川区篠崎の当院で、あなたの理想の白い歯を実現しませんか?まずはお気軽にご相談ください!
📍篠崎駅徒歩1分|ご予約受付中
【動画】ホームホワイトニングの効果的なやり方
筆者・院長

深沢 一
Hajime FUKASAWA
- 登山
- ヨガ
メッセージ
日々進化する歯科医療に対応するため、毎月必ず各種セミナーへの受講を心がけております。
私達は、日々刻々と進歩する医学を、より良い形で患者様に御提供したいと考え、「各種 歯科学会」に所属すると共に、定期的に「院内勉強会」を行う等、常に現状に甘んずる事のないよう精進致しております。 又、医療で一番大切な事は、”心のある診療”と考え、スタッフと共に「患者様の立場に立った診療」を、心がけております。


