母乳
哺乳瓶のちくび完全ガイド|選び方・サイズ・交換時期まで徹底解説!
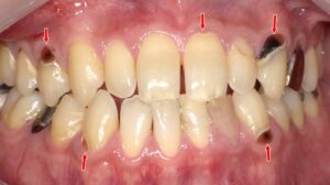
哺乳瓶のちくび(乳首)の正しい選び方や交換時期、赤ちゃんの月齢別サイズ・素材の違い・穴の形状による影響まで徹底解説。むせる・飲みにくい・嫌がる原因と対処法も。母乳との併用や歯並びへの影響が気になる方へ、咀嚼型ニプルの活用法やおすすめ人気乳首ランキングも江戸川区篠崎の当歯科が紹介。
ふかさわ歯科クリニック篠崎は江戸川区篠崎駅南口徒歩1分の歯医者です。
篠崎駅南口徒歩1分の歯科医院03-3676-1058東京都江戸川区篠崎町7丁目 27-23-ISIビル千葉銀行3F
哺乳瓶のちくび(乳首)の正しい選び方や交換時期、赤ちゃんの月齢別サイズ・素材の違い・穴の形状による影響まで徹底解説。むせる・飲みにくい・嫌がる原因と対処法も。母乳との併用や歯並びへの影響が気になる方へ、咀嚼型ニプルの活用法やおすすめ人気乳首ランキングも江戸川区篠崎の当歯科が紹介。
所在地:
〒133-0061 東京都江戸川区篠崎町7丁目 27-23-ISIビル千葉銀行3F
最寄駅:
都営新宿線篠崎駅から徒歩1分
土曜日・日曜日・祝日・休日診療しています。
| 診療時間 | 月 | 火 | 水 | 木 | 金 | 土 | 日 |
|---|---|---|---|---|---|---|---|
| 9:00 〜 13:00 | ● | ● | ● | ● | ● | ー | ー |
| 14:30 〜 19:30 | ● | ● | ● | ● | ● | ー | ー |
| 8:00 〜 13:00 | ● | ● | |||||
| 14:00 〜 18:00 | ● | ||||||
| 14:00 〜 17:30 | ● |
受付時間 9:00-12:00 / 14:30-18:30
(月~金・祝日)
受付時間 8:00-11:45 / 14:00-17:00
(土)
受付時間 8:00-11:45 / 14:00-16:30
(日)
歯科チーム医療
包括的な歯科医療の提供に努めており、日本口腔インプラント学会指導医、日本口腔インプラント学会認定歯科衛生士、日本アンチエイジング歯科学会認定医、江戸川区歯科医師会口腔がん検診認定医、歯科技工士などと連携し、チーム総合医療に取り組んでいます。