- 1. 🦷 歯が変色する原因と治し方|白い歯を取り戻すためにできること
- 1.1. ☕ 外因性の変色(表面の汚れによるもの)
- 1.1.1. ステイン(着色汚れ)の症例
- 1.1.1.1. 🦷 上顎の状態
- 1.1.1.2. 🦷 下顎の状態
- 1.1.1.3. 🏥 改善のための処置例
- 1.2. 💊 内因性の変色(歯の内側からの変化)
- 1.2.1. 神経が死んだ歯(失活歯)の症例
- 1.2.1.1. 🦷 主な特徴
- 1.2.1.2. 💡 失活歯による変色の仕組み
- 1.2.1.3. 🔍 歯肉の変化にも注目
- 1.2.1.4. 🏥 改善方法
- 1.2.2. テトラサイクリン歯の症例
- 1.2.2.1. 🦷 観察所見
- 1.2.2.2. 💊 原因
- 1.2.2.3. ⚕️ テトラサイクリン歯の特徴
- 1.2.2.4. 🏥 治療法
- 1.3. 金属イオンによる変色
- 1.3.1. 🦷 観察ポイント
- 1.3.1.1. ■ 右上3番(犬歯)
- 1.3.2. 🔍 他の歯の状態
- 1.3.3. 💡 解説まとめ
- 1.4. 🔍 加齢による自然な変色
- 1.5. 🧴 歯磨き粉で白くなる?効果と限界
- 2. 🏥 歯科でできる治療法
- 2.1. ① クリーニング(PMTC・エアフロー)
- 2.1.1. 下顎前歯部舌側のステイン付着症例
- 2.1.1.1. 🦷 状況の概要
- 2.1.1.2. 🔍 原因の考察
- 2.1.1.3. 💡 臨床的意義
- 2.1.1.4. 🧼 改善方法
- 2.1.2. ステインのエアフロー処置後
- 2.1.2.1. 🦷 状況の概要
- 2.1.2.2. 💨 エアフローによる効果
- 2.1.2.3. 🔍 臨床的評価
- 2.2. ② ホワイトニング(オフィス・ホーム)
- 2.2.1. 🦷 1枚目の画像(ホワイトニング前)
- 2.2.2. ✨ 二枚目の画像(ホワイトニング後)
- 2.2.3. 💡 解説まとめ
- 2.3. ③ ウォーキングブリーチ(神経を抜いた歯の漂白)
- 2.4. ④ セラミック治療
- 3. 🚨 放置してはいけない変色のサイン
- 4. 🌿 歯の変色を防ぐ生活習慣
- 5. 😊 まとめ|変色の原因を知って、正しい治療を
- 6. 江戸川区篠崎で「歯の黄ばみ・黒ずみが気になる」という方へ🦷
- 7. 【動画】ホワイトスポットをアイコンで治す
- 8. 【動画】初期虫歯COを削らずに自分で治す方法
- 9. 筆者・院長

鏡を見たとき、「あれ?なんだか歯が黄ばんで見える」と感じたことはありませんか?
歯の変色は、コーヒーや紅茶などの飲食物による着色だけでなく、加齢や歯の内部の変化、詰め物の劣化など、さまざまな原因で起こります。
見た目の印象にも関わるため、「きれいな白い歯を取り戻したい」と感じる方も多いでしょう。
この記事では、歯が変色する主な原因から、自分でできるケア、歯科医院での治療法まで、分かりやすく解説します。
🦷 歯が変色する原因と治し方|白い歯を取り戻すためにできること

☕ 外因性の変色(表面の汚れによるもの)
最も多いのが、**飲食物や喫煙による「外因性の変色」**です。
コーヒー、紅茶、赤ワイン、カレーなどの色素の濃い食べ物・飲み物には「ステイン」と呼ばれる着色物質が含まれており、歯の表面に付着して黄ばみの原因になります。
また、タバコに含まれるヤニ(タール)は、特に歯の裏や歯と歯の間にこびりつきやすく、茶色や黒っぽい汚れとして目立ちます🚬
🦷 対策
・毎日のブラッシングでステイン除去効果のある歯磨き粉を使用
・定期的に歯科医院でPMTC(専門的クリーニング)を受ける
・喫煙習慣の見直し
ステイン(着色汚れ)の症例
この画像は、歯の変色や沈着の典型的な症例を示しています。

🦷 上顎の状態
上の前歯には保険の硬質レジン前装冠が装着されています。
硬質レジンは金属の上にプラスチック樹脂を盛り付けて作られており、経年的に吸水・変色しやすい素材です。
この症例でも、表面に**茶褐色のステイン(着色汚れ)**が沈着しており、特に歯と歯の間・歯頸部に色の付着が見られます。
また、レジン表面の艶が失われているため、光沢がなくややマットな質感になっています。
🦷 下顎の状態
下の歯は、**歯肉が退縮(歯ぐきが下がる)**しており、歯根面(セメント質)が露出しています。
この部分はエナメル質より柔らかいため、色素が沈着しやすく、茶色~黒っぽいステインが目立ちます。
主な原因としては、
- タバコのヤニ
- コーヒーや紅茶などの色素
- プラークの付着・磨き残し
が考えられます。
🏥 改善のための処置例
- プロフェッショナルクリーニング(PMTC・エアフロー)
歯根や補綴物表面のステインを除去し、清潔な状態に戻します。 - 前装冠の再製作またはセラミック冠への変更
変色や劣化が進行している場合は、審美的・衛生的観点から再製作を検討します。 - 歯肉退縮部のケア
露出した歯根には知覚過敏防止処置やコーティング剤の塗布が有効です。 - ブラッシング指導と生活習慣の見直し
着色予防のため、喫煙・濃色飲料の摂取頻度を減らすことも大切です。
💊 内因性の変色(歯の内側からの変化)
次に、歯の内部から起こる変色です。
これは表面を磨いても改善しにくく、歯の構造そのものが原因となっています。
主な原因には以下のようなものがあります👇
- 神経が死んだ歯(失活歯):外傷や虫歯で歯髄が壊死すると、歯が灰色〜黒っぽく変色します。
- 加齢による変化:年齢とともに象牙質が厚くなり、歯が黄みがかって見えることがあります。
- テトラサイクリン歯:子どもの頃に特定の抗生物質(テトラサイクリン系)を服用した影響で、歯全体が灰色や縞模様に変色することがあります。
🦷 対策
・神経が死んだ歯には「ウォーキングブリーチ」で内部漂白
・加齢変色にはホワイトニングで明るさをアップ
・テトラサイクリン歯はセラミック修復で自然な色に調整
神経が死んだ歯(失活歯)の症例
この画像は、左上顎側切歯(左上2番)が変色している症例です。

🦷 主な特徴
矢印で示された歯(左上2番)は、灰色〜やや黒みを帯びた色調を呈しています。
これは歯の内部(歯髄)が死んでしまった、いわゆる**失活歯(しっかつし)**の典型的な変色です。
💡 失活歯による変色の仕組み
歯の神経(歯髄)が虫歯や外傷によって壊死すると、内部の血液成分やたんぱく質が分解されます。
その色素が象牙質に沈着することで、歯が徐々に灰色・茶色・黒っぽく変わっていきます。
特に、前歯のように光を透過しやすい部位では、内部の変色が外見に強く現れます。
🔍 歯肉の変化にも注目
変色した歯の根の部分では、歯肉(矢印の周囲)がやや暗紫色を帯びて見えています。
これは、根管内の古い金属ピンや充填材による**金属イオンの影響(メタルタトゥー)**の可能性も考えられます。
🏥 改善方法
このような失活歯の変色は、通常のホワイトニングでは効果が限定的です。
歯科医院では、以下の方法で改善が可能です👇
- ウォーキングブリーチ(内部漂白)
歯の中に漂白剤を入れ、数回に分けて色を明るくします。
神経のない歯に特化したホワイトニング法です。 - 補綴修復(ラミネートベニア・セラミッククラウン)
変色が強い場合、薄いセラミックで表面を覆うことで自然な白さを再現します。 - 根管治療の再評価
古い根管充填材や金属ピンが原因の場合は、除去して再治療を行うこともあります。
テトラサイクリン歯の症例
この画像は、テトラサイクリン歯(テトラサイクリン変色歯)の典型的な症例を示しています。

🦷 観察所見
歯全体に灰褐色〜黄褐色の帯状の変色が見られます。
特に犬歯や小臼歯において、歯の縦方向に色の濃淡が層状(バンド状)に分かれています。
また、光の反射が鈍く、透明感がやや失われているのも特徴です。
変色の主因は歯質そのものの内部変化によるものです。
💊 原因
テトラサイクリン系抗生物質を歯の形成期(妊娠後期〜8歳頃)に服用すると、
薬剤中のカルシウム結合性によって歯や骨に沈着します。
その結果、象牙質に薬剤の色素が取り込まれ、歯が内側から変色します。
変色の色調は服薬時期や量によって異なり、
- 淡黄色 → 灰色 → 濃い褐色
と進行する傾向があります。
⚕️ テトラサイクリン歯の特徴
- 歯全体、または部分的に帯状の変色がある
- 歯の内部からの変色のため、表面清掃では改善しない
- 紫外線を受けると蛍光を発することがある
- 変色は永久的で、時間経過でやや濃くなることもある
🏥 治療法
テトラサイクリンによる変色は内部要因のため、通常のホワイトニングでは限界があります。
しかし、近年は改善できる方法も増えています👇
- デュアルホワイトニング(オフィス+ホーム)
濃い変色の場合でも、繰り返し漂白を行うことでトーンアップが期待できます。 - ラミネートベニア
歯の表面を薄く削り、セラミックを貼り付けて自然な白さを再現。
軽〜中等度の変色に有効です。 - オールセラミッククラウン
変色が強い場合や複数歯に及ぶ場合、被せ物による審美修復を行います。
金属イオンによる変色
この画像は右上の犬歯(3番)に関する症例を示しています。赤い矢印で示された歯に注目してください。以下に詳細を解説します。

🦷 観察ポイント
■ 右上3番(犬歯)
- 補綴物:保険適用の「硬質レジン前装冠」が装着されています。
→ 金属の上に白いレジンを乗せた構造で、審美性はやや劣りますが保険で対応可能な被せ物です。 - 支台構造:内部には「保険の銀合金によるメタルコア(金属の土台)」が入っています。
→ 根管治療後、歯の芯を補強するための金属の土台です。 - 変色(黒変):歯肉の上部(根の部分)が黒く変色しています。
→ これはメタルコアから溶け出した金属イオン(特に銀や銅など)が象牙質や歯肉に沈着したことによる金属イオンの溶出による黒変です。
🔍 他の歯の状態
- 周囲の歯には金属冠や**う蝕(虫歯の再発)**が見られます。
- 全体的に補綴治療歴が多く、咬耗や変色も確認されます。
- 清掃不良による歯垢や歯石の沈着も観察されます。
💡 解説まとめ
この症例は、長期間使用された保険の硬質レジン前装冠に典型的な審美的劣化例です。
内部のメタルコア由来の金属イオンが溶け出して歯根部を黒く染めることで、歯肉付近の色調不良が目立ちます。
現在では、こうした問題を防ぐためにファイバーコア(非金属の白い土台)やオールセラミック冠が推奨されています。
🔍 加齢による自然な変色
年齢を重ねると、誰でも少しずつ歯が黄ばんできます。
これは、エナメル質がすり減って象牙質の色が透けるためです。
歯がもろくなるわけではありませんが、見た目のトーンが落ちてくるのが特徴です。
🦷 対策
・オフィスホワイトニングで即効性のある明るさを実感
・ホームホワイトニングで自然なトーンアップを持続
・3〜6か月ごとのメンテナンスで色戻りを防止
🧴 歯磨き粉で白くなる?効果と限界
市販のホワイトニング歯磨き粉には、ステイン除去成分や研磨剤が含まれています。
しかし、あくまで「表面の汚れを落とす」ことが目的で、歯の内部の色までは変えられません。
「なんとなく白くなった気がするけど、すぐ戻る…」という場合は、専門的なホワイトニングが必要です⚡
🏥 歯科でできる治療法
① クリーニング(PMTC・エアフロー)
歯の表面についたステインやヤニを、超音波やジェットクリーナーで除去します。
痛みもなく、1回で見た目がスッキリ✨
下顎前歯部舌側のステイン付着症例
この画像は下顎前歯部舌側のステイン付着を示しています。

🦷 状況の概要
画像では、下顎前歯から小臼歯部にかけて、**舌側(裏側)表面に褐色〜黒褐色の着色(ステイン)**が広範囲に確認されます。
特に前歯の舌側面は、歯頸部(歯と歯ぐきの境目)を中心に濃く沈着しています。
🔍 原因の考察
舌側のステインは以下の要因が考えられます。
- 茶渋・コーヒー・紅茶・喫煙などによる外因性着色
→ タールやタンニンが歯面に付着して変色します。 - プラークや歯石の表面に色素沈着
→ 歯垢や歯石が rough surface(粗造面)となり、色素が付着しやすくなります。 - 唾液腺の位置(下顎舌側前歯部は舌下腺・顎下腺開口部に近い)
→ ミネラル沈着が起こりやすく、歯石と共に着色が進みやすい部位です。
💡 臨床的意義
- 審美的不快感:口を開けた際に黒ずみが目立つ
- 歯石・プラークの付着サイン:清掃不良部位であり、歯肉炎のリスクが高い
- 専門的クリーニングの必要性:ブラッシングでは除去困難
🧼 改善方法
- エアフロー(パウダークリーニング):歯面を傷つけずにステインを効果的に除去可能
- PMTC(プロフェッショナルクリーニング):歯石除去後の研磨で再付着を予防
- 日常ケアの見直し:着色の原因となる嗜好品の摂取制限・丁寧なブラッシング
ステインのエアフロー処置後
この画像は、前回の症例(下顎舌側に顕著なステインが付着していた症例)に対して、エアフロー処置後の状態を示しています。

🦷 状況の概要
下顎前歯部舌側面の褐色〜黒褐色の着色がほぼ完全に除去されています。
歯面は清潔で、エナメル質本来の白色〜淡黄色の自然な色調が確認できます。
歯肉も炎症所見がなく、健康的なピンク色を呈しています。
💨 エアフローによる効果
- 歯面の着色除去効果
微細なパウダー粒子(エリスリトールなど)をエアと水で吹き付けることで、歯面に固着したステインやバイオフィルムを短時間で除去。
機械的研磨に比べて歯面を傷つけにくいのが特徴です。 - 舌側面の清掃性改善
ブラシの届きにくい舌側面や歯頸部の汚れがしっかり除去され、ツルツルとした表面に仕上がっています。
これにより再付着しにくくなり、ステインの再発予防にもつながります。
🔍 臨床的評価
- 審美性:大幅に改善(術前の黒ずみが完全に消失)
- 歯肉状態:出血や腫脹なし、健康的
- プラーク付着:ほぼ認められず
- 処置後刺激:なし(エアフローは低侵襲)
② ホワイトニング(オフィス・ホーム)

薬剤を使って歯の内部にある色素を分解し、白くする方法。
・オフィスホワイトニング:即効性あり。短時間で効果を実感。
・ホームホワイトニング:マウスピースを使って、じっくり自然な白さに。
・デュアルホワイトニング:両方を併用し、より長持ち。
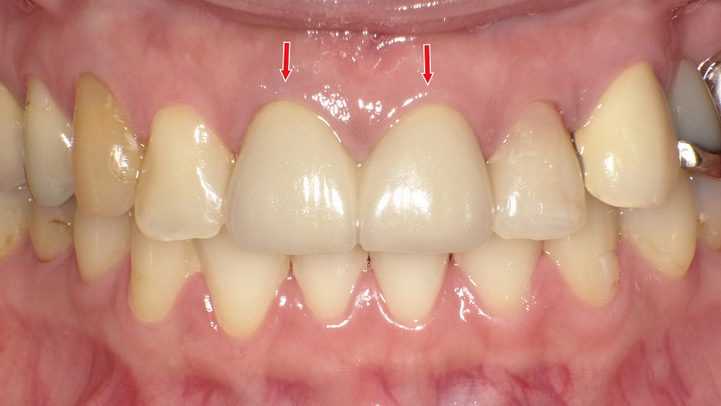
この2枚の写真は、歯のホームホワイトニング前後の比較を示しています。


🦷 1枚目の画像(ホワイトニング前)
ホワイトニング前の状態では、全体的に歯の色がやや黄みがかっており、前歯中央(矢印部分)のコンポジットレジン修復部が周囲の天然歯に自然に馴染んでいます。
この段階では、レジンの色と歯の色に大きな差がなく、補綴部位は目立ちません。
✨ 二枚目の画像(ホワイトニング後)
ホームホワイトニング後の写真では、天然歯全体が明るく白くなっています。
その結果、コンポジットレジンの部分(矢印部)がやや暗く見え、色の差が際立っているのがわかります。
これは、ホワイトニングによって天然歯は白くなる一方、レジンは色が変わらないために生じる現象です。
💡 解説まとめ
- ホームホワイトニングは、天然歯のエナメル質内部に作用して白さを引き出します。
- しかし、レジンやセラミックなど人工材料は漂白効果を受けないため、治療跡が相対的に目立つことがあります。
- この場合は、ホワイトニング後にレジンの再充填を行うことで、自然な色調に再調整が可能です。
③ ウォーキングブリーチ(神経を抜いた歯の漂白)
歯の中に薬剤を入れて漂白します。
神経がない歯でも、自然な白さを取り戻すことが可能です。
④ セラミック治療
ホワイトニングで落とせない変色には、セラミッククラウンやラミネートベニアで対応。
自然な透明感があり、長期間美しさをキープできます💎



🚨 放置してはいけない変色のサイン
以下のような症状がある場合は、早めに歯科を受診しましょう👇
- 急に1本だけ色が変わった
- 黒ずみが広がってきた
- 痛みや違和感を伴う
- 詰め物・被せ物の境目が変色している
これらは虫歯や神経の異常、金属の腐食などが原因の可能性があります⚠️
🌿 歯の変色を防ぐ生活習慣
🪥 毎日のケアで白さをキープするために:
- 食後30分以内のブラッシング
- フロス・歯間ブラシの習慣化
- 着色の強い飲み物を摂った後は水でうがい
- 3〜6か月ごとの定期クリーニング
また、タバコをやめることが最大の予防効果につながります🚭
😊 まとめ|変色の原因を知って、正しい治療を
歯の変色には「外からの汚れ」と「中からの変化」があり、
原因に合わせた治療を行うことで、自然で健康的な白さを取り戻すことができます。
見た目だけでなく、自信を持って笑える口元を保つために、
気になる変色はそのままにせず、ぜひ歯科医院にご相談ください🦷✨
江戸川区篠崎で「歯の黄ばみ・黒ずみが気になる」という方へ🦷

白く健康的な歯は、笑顔の印象を大きく変えます。
変色の原因は人それぞれですが、適切な治療で自然な白さを取り戻すことができます。
「歯の黄ばみが気になる」「前歯の色が違う気がする」など、どんな小さなことでもご相談ください。
当歯科クリニックでは、原因に合わせた最適な治療をご提案します。
【動画】ホワイトスポットをアイコンで治す
【動画】初期虫歯COを削らずに自分で治す方法
筆者・院長

深沢 一
Hajime FUKASAWA
- 登山
- ヨガ
メッセージ
日々進化する歯科医療に対応するため、毎月必ず各種セミナーへの受講を心がけております。
私達は、日々刻々と進歩する医学を、より良い形で患者様に御提供したいと考え、「各種 歯科学会」に所属すると共に、定期的に「院内勉強会」を行う等、常に現状に甘んずる事のないよう精進致しております。 又、医療で一番大切な事は、”心のある診療”と考え、スタッフと共に「患者様の立場に立った診療」を、心がけております。


