- 1. 歯に黒い点があるのは虫歯?着色?歯石?原因ごとの正しい見分け方と治療法
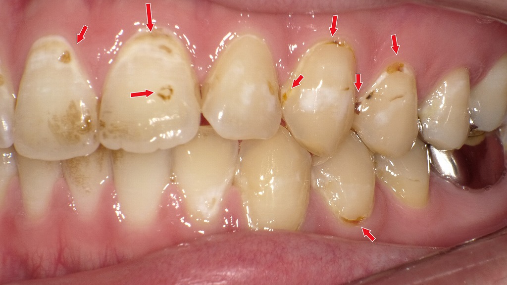
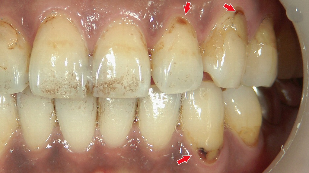
- 1.1. 着色汚れ(ステイン)
- 1.2. 初期虫歯(C0)
- 1.3. 初期虫歯(C1)
- 1.3.1. C1でも削らずに治せるケースがある
- 1.3.1.1. 再石灰化が期待できる条件
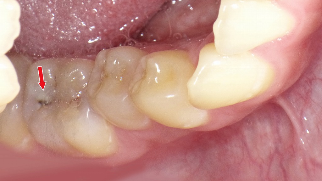
- 1.4. C2の場合:必要最小限の虫歯除去+CR充填
- 1.5. 歯石の黒色化
- 2. レーザー診断で「黒い点」の正体を正確に判別|虫歯か着色かを科学的に見極める最新の検査法
- 2.1. ダイアグノデントなどのレーザー診断
- 2.2. 視診・触診(探針での確認)
- 2.3. 歯と歯の間の黒い点は要注意|レントゲンで発見できる“隠れ虫歯”
- 3. 自分でできる黒点予防
- 3.1. 正しいブラッシング
- 3.2. フロス・歯間ブラシの活用
- 3.3. 着色を防ぐ食生活の工夫
- 3.4. フッ素で歯を強くする
- 3.5. 定期検診・メンテナンス
- 4. 📍江戸川区篠崎で歯に黒い点…これって虫歯?とお悩み方へ
- 5. 【動画】初期虫歯COを削らずに自分で治す方法
- 6. 筆者・院長

「歯に黒い点がある…これって虫歯?」
鏡でふと気づいた小さな黒い点は、多くの方が最初に不安を感じる瞬間です。実は、歯の黒い点には虫歯・着色汚れ・歯石の黒色化など複数の原因があり、見た目だけで判断することはとても難しいのが現実です。
しかし、原因によって治療方法も対処の緊急度もまったく異なります。
初期段階の虫歯なら“削らず治す”ことが可能なケースもあれば、単なる着色でクリーニングだけで改善する場合もあります。逆に、象牙質まで進行した虫歯(C2)や黒色歯石は、早期治療が必要なこともあります。
この記事では、
- 黒い点の原因ごとの特徴
- 削る必要のある虫歯と削らなくてよいものの違い
- 最新のレーザー診断による正しい見極め方
- 自分でできる予防方法
を、歯科医師の視点から分かりやすくまとめました。
「黒い点の正体を知りたい」「削られたくない」「自分で判断できる基準を知りたい」という方に、確実に役立つ内容となっています。ぜひ参考にしてください。🪥✨
歯に黒い点があるのは虫歯?着色?歯石?原因ごとの正しい見分け方と治療法
着色汚れ(ステイン)




初期虫歯(C0)
歯の溝や表面が黒く見える最も一般的な原因が初期虫歯です。エナメル質が溶け始めると、白濁や黒点として現れます。
特にC0(ごく初期の脱灰)の段階では、まだ穴が開いていないため削る治療は不要です。キシリトールガムやフッ素の活用、適切なブラッシングによって再石灰化を促すことで、虫歯の進行を止められる可能性が高く、予後観察で十分なケースが多いのが特徴です。
ただし、黒い点が目立って「見た目が気になる」という場合には、必要最小限に表面を整えたうえでコンポジットレジン充填(CR充填)で自然な色に修復する選択肢もあります。機能的な問題がない場合でも、審美的な改善を希望される方に適した治療です。




初期虫歯(C1)
初期虫歯(C1)は、虫歯がエナメル質の内部まで進行し始めた段階を指します。まだ穴は大きく開いておらず、痛みやしみる症状が出ないため、自覚しにくいのが特徴です。見た目としては、黒い点や小さな溝の変色として確認されることが多く、歯科医師による診断が重要になります。
C1でも削らずに治せるケースがある
C1は「削る虫歯」と認識されることが一般的ですが、予防処置が十分にできている場合は、削らず再石灰化で改善できるケースもあります。
再石灰化が期待できる条件
- プラークコントロールが良好
- 高濃度フッ素塗布やフッ素配合歯磨きの継続
- キシリトールの活用
- 偏った食習慣が改善している
- 定期的な歯科検診で経過が追えている
これらが整っていると、エナメル質が再び硬くなる「再石灰化」が促され、虫歯の進行を止められる可能性が高まります。






C2の場合:必要最小限の虫歯除去+CR充填
C2は虫歯がエナメル質を越えて象牙質まで進行した段階で、痛みやしみる症状が出始めることがあります。象牙質は軟らかく、C1より進行が早いため、自然な再石灰化での改善は困難です。
そのため、C2では虫歯に侵された部分のみをできる限り小さく削り、その後コンポジットレジン(CR)で修復する治療が基本となります。
この方法は、
- 健康な歯質を最大限残せる
- その日のうちに治療が完了する
- 歯の色に近く審美性に優れる
といったメリットがあり、前歯・奥歯どちらにも適応しやすい治療法です。
早期にC2を治療することで、C3(神経に達する虫歯)への進行を防ぎ、最小限の介入で歯の寿命を守ることにつながります。






歯石の黒色化
歯の根元や歯と歯の間に付着した歯石が、唾液中の成分や細菌の代謝物、タバコのヤニなどと反応して黒く変色した状態を「縁下歯石(黒色歯石)」と呼びます。
黒色歯石は、通常の白っぽい歯石よりも硬くて強固に付着するため、日常のブラッシングでは取り除くことができません。
このタイプの歯石が見られる場合、
- 歯周病が進行しているサインであることが多い
- 歯肉の炎症や出血を引き起こしやすい
- 歯周ポケットの内部にまで及ぶことがある
といった特徴があります。
除去するには、歯科医院で行うスケーリングやルートプレーニングが必要です。黒色歯石を放置すると細菌の温床となり、歯周病が悪化する恐れがあるため、早めのケアが重要です。


レーザー診断で「黒い点」の正体を正確に判別|虫歯か着色かを科学的に見極める最新の検査法
ダイアグノデントなどのレーザー診断
歯の黒い点が「虫歯なのか着色なのか」を正確に判別するために有効なのが、ダイアグノデントを用いたう蝕診断です。
ダイアグノデントは歯にレーザー光を当て、その反射の状態から**虫歯の進行度を数値化(0〜99)**して評価できる機器で、肉眼では見分けにくい初期虫歯の発見に優れています。

レーザー診断を活用することで、
- 着色汚れと初期虫歯(C0/C1)の確実な鑑別が可能
- 削るべきか経過観察かを科学的に判断できる
- 患者さんにも進行度が数値で伝わるため説明が分かりやすい
といったメリットがあります。
特に、溝の黒い点や白濁のような微妙な変化は肉眼では誤診しやすいため、レーザー診断は**「削らなくてよい歯を不必要に削らない」ためにも重要な検査**といえます。
視診・触診(探針での確認)
歯の黒い点や白濁を見つけた場合、まず行う基本的な診査が**視診と触診(探針での確認)**です。
視診では、歯の色・溝の深さ・光の反射・黒い点の形態などを観察し、虫歯か着色かを判断します。触診では、**探針で溝や黒い部分を軽く触れ、軟化の有無や“引っかかり”**を確認することで、エナメル質が破壊されているかどうかを評価します。
視診・触診で分かること
- 着色汚れか初期虫歯(C0/C1)かの大まかな判別
- エナメル質に穴が開いているか(C2以上)
- 黒い点の位置による虫歯リスクの推定(溝・歯頸部・隣接面など)
近年は不用意な探針によるエナメル質へのダメージが懸念されるため、軽い触診と視診を組み合わせる“非破壊的診査”が基本です。必要に応じてレントゲンやレーザー診断を追加し、削るべき歯と経過観察で良い歯を正確に見分けます。
歯と歯の間の黒い点は要注意|レントゲンで発見できる“隠れ虫歯”

赤矢印が示すように、歯と歯の間(コンタクト部)の初期虫歯は、肉眼ではほとんど確認できません。レントゲンを撮影することで、エナメル質内部の透過像として虫歯を早期に発見できます。見た目に穴がなくても進行している場合があるため、定期的なレントゲン検査は非常に有効です。
自分でできる黒点予防
歯の黒い点は、初期虫歯・着色汚れ・歯石の黒色化など、原因によって性質が異なります。しかし、多くは日々のセルフケアと生活習慣の見直しで予防可能です。ここでは、今日からできる黒点予防のポイントをまとめます。
正しいブラッシング
黒い点の多くは、歯の溝や歯頸部にプラーク(歯垢)が残ることで発生します。
次のポイントを意識すると、汚れが残りにくくなります。
- 歯ブラシは「小刻みに動かして」溝に毛先を入れる
- 歯と歯ぐきの境目は 45° の角度で優しく磨く
- 力を入れすぎず、1本ずつ丁寧に磨く
- 電動歯ブラシを使う場合は「当てるだけ」でOK
正しく磨けば、初期虫歯の進行抑制や着色の付着予防に大きく役立ちます。
フロス・歯間ブラシの活用
黒い点が歯と歯の間にできる理由の多くは、フロスを使わないことでプラークが溜まりやすくなるためです。
フロスは毎日、歯間ブラシは隙間の広い部位に合わせて活用しましょう。
- 隣接面の初期虫歯(C0/C1)の進行予防
- 着色や歯石の沈着を防ぐ
- 歯周病リスクの軽減
ブラシだけでは除去できない汚れを取り除くことが、黒点予防の要となります。
着色を防ぐ食生活の工夫
着色汚れ(ステイン)は、食事の影響を大きく受けます。
以下の工夫で、黒い点として見える着色を予防できます。
- コーヒー・紅茶・ワインを飲んだ後は水で口をすすぐ
- カレー・チョコレートなど濃い色素の食後は早めにブラッシング
- タバコのヤニは着色の大きな原因、禁煙が最も効果的
- 「だらだら食べ」を避け、口内が酸性に傾く時間を短くする
これだけで、ステインの付着量は大きく変わります。
フッ素で歯を強くする
フッ素は、黒い点の原因となる初期虫歯の進行を止めるうえで非常に有効です。
フッ素の主な効果
- 再石灰化を促進し、溶けかけたエナメル質を修復
- 歯質強化により虫歯菌の酸に溶けにくい歯をつくる
- 虫歯菌の活動を抑制する
フッ素配合歯磨き粉の使用、高濃度フッ素塗布、ホームジェルの使用など、複数の方法を組み合わせると効果が高まります。
定期検診・メンテナンス
黒い点の見極めには、プロのチェックが欠かせません。
定期検診でできること
- 初期虫歯の早期発見
- 着色汚れや歯石の除去
- ダイアグノデントによる精密診断
- ブラッシングのクセの改善指導
- 必要に応じたシーラントやフッ素塗布
黒い点の段階で発見できれば、削らずに治せる可能性が高くなり、歯の寿命を守ることにつながります。
📍江戸川区篠崎で歯に黒い点…これって虫歯?とお悩み方へ

江戸川区篠崎の当歯科クリニックでは、歯の黒い点が「虫歯なのか着色なのか」を正確に見極め、削らなくてよい歯を不必要に削らない診療を徹底しています。
ダイアグノデントによるレーザー診断や丁寧な視診・触診で、初期虫歯・着色汚れ・黒色歯石を正確に判別し、最小限の治療で歯を守ります。
「黒い点が気になる」「虫歯かどうか不安」「できれば削りたくない」という方は、ぜひ一度ご相談ください。
地域に根ざした当院が、患者さま一人ひとりに合わせた最適な治療と予防ケアをご提案いたします。😊🪥。
【動画】初期虫歯COを削らずに自分で治す方法
筆者・院長

深沢 一
Hajime FUKASAWA
- 登山
- ヨガ
メッセージ
日々進化する歯科医療に対応するため、毎月必ず各種セミナーへの受講を心がけております。
私達は、日々刻々と進歩する医学を、より良い形で患者様に御提供したいと考え、「各種 歯科学会」に所属すると共に、定期的に「院内勉強会」を行う等、常に現状に甘んずる事のないよう精進致しております。 又、医療で一番大切な事は、”心のある診療”と考え、スタッフと共に「患者様の立場に立った診療」を、心がけております。


