前歯を失った40代男性の方へ|仕事に支障なく治すインプラント治療法

-
40代の歳の男性です。前歯2本が完全にありません。両側の3本目と4本目もかろうじて土台がある程度です。 これまで前歯2本は差し歯だったのですが、長い間使っているうちに土台も割れてしまい完全になくなってしまいました。
もうインプラントをするしかないと覚悟していますが、治療費が高いと聞いています。1本いくらくらいでできるものなのでしょうか?
費用はさておき、もしインプラントをするとして、骨にくっつくまでの数ヶ月、前歯なしの生活になるのでしょうか?仕事上、あまりにもみっともなくてそれだけは避けたいのです。部分入れ歯を使いながらできるものなのでしょうか?
ほったらかしにしていた自分が悪いのですが、なんとか今回は徹底的に直したいと思っています。 良い方法があるのならば、自宅も近いのでそちらでお願いしたいと思っていますのでご回答をお願いいたします。
-
🦷 インプラントの費用について
- 💰 インプラント1本あたりの費用は約30万円前後です(税別)。
- 🧾 CT診断や模型などの初期検査費用は別途かかります。
- 🎁 複数本同時に行う場合は、割引制度が適用されることもあります。
→ 詳細は当院の【費用ページ】をご確認いただけます。
⏳ 治療期間中の見た目について
- ⛔ インプラントが骨と結合するまで、上顎の場合は約4〜6ヶ月かかります。
- 😷 その間、「前歯なし」の状態で過ごすのは現実的ではありません。
- 🦷✨ 仮の前歯(仮義歯)や部分入れ歯を使用して見た目を保つことが可能です。
→ お仕事上のご心配にも配慮した対応を行います。
🦴 骨量が足りない場合の対処法
- 🔍 前歯が長期間ない状態では、骨の厚みが足りなくなっている可能性があります。
- 🧪 その場合は、**骨を補う治療(ボーングラフト)**が必要になります。
→ 詳しくは当院の【ボーングラフト解説ページ】をご覧ください。
🛠 インプラントが難しい場合の代替案
- 👨⚕️ インプラントが適さない場合、ブリッジや入れ歯といった選択肢もあります。
- 🤝 最適な方法は、お口の状態を診てからご提案いたします。
🏥 まずは診察から始めましょう
- 📍 江戸川区篠崎近くにお住まいとのこと、ぜひ一度ご来院ください。
- 📝 初診相談では、CTや口腔内の状態を丁寧に確認し、治療計画をご説明します。
💬 ご相談ありがとうございました。
「今回はきちんと治したい」というお気持ち、とても大切です。当院では機能性・審美性・将来性を考えたご提案をいたしますので、お気軽にご連絡ください。ブリッジ除去から仮歯装着まで — 審美性を保ちながら治療を進行
前歯のブリッジを除去
この画像は、右上3番から左上5番にかけて装着されていたブリッジを除去した状態を示しています。

前歯のブリッジを除去 🦷 現在の状態
- 支台歯:右上3番・右上1番・左上5番が残存しています。いずれも金属支台(メタルコア)が確認できます。
- 欠損部位:右上2番から左上4番までの広範囲が欠損し、矢印で示された歯槽頂部には明らかな陥凹と骨吸収がみられます。
- 粘膜の状態:ブリッジ下に長期間覆われていたため、歯槽頂部の粘膜はやや菲薄で、圧痕や陥凹を伴っています。
⚙️ 治療背景と問題点
- 右上3番〜左上5番の長大なブリッジは、支台歯が少なく力の負担が集中していました。
- 特に右上3番と左上5番の遠位支台への咬合力過重により、歯根破折や歯周支持組織の喪失のリスクが上がった可能性があります。
- 清掃不良や咬合不均衡も加わり、長期使用に伴ってブリッジ除去が必要となりました。
💡 今後の治療計画
- インプラント埋入予定部位:
- 右上2番
- 左上1番・2番・3番・4番
計5本のインプラントを予定しています。
- これにより、従来のように少数歯へ負担を集中させることなく、咬合力の分散と長期安定性の確保を目指します。
- また、骨吸収部位では骨造成(GBR)を併用することで、審美的・機能的な回復が期待されます。
インプラント埋入と骨造成(GBR)
この画像は、左上1番〜4番部位にインプラント埋入と同時に骨造成(GBR)を行った術中写真です。

インプラント埋入と骨造成(GBR) 🦷 手術部位と処置内容
- 埋入部位:左上1番・2番・3番・4番の4本。
インプラント体のヘッド部が確認でき、隣接間距離や歯列弧線に沿って整然と配置されています。 - 骨造成(GBR):インプラント周囲および唇舌側骨欠損部に、**人工骨(骨補填材)**が充填されています。白色顆粒状の部分が人工骨材です。
- CGF(Concentrated Growth Factor):患者自身の血液から作成したフィブリン膜が併用され、人工骨を安定させつつ治癒促進を目的としています。
💡 手術の目的
左上前歯部は骨吸収が進行しており、唇舌側骨が薄く欠損していたため、審美性と長期安定性を確保するための骨造成が必要でした。
インプラント埋入と同時に人工骨+CGFによる同時GBR法を行うことで、- インプラントの初期固定を維持
- 骨量不足部の再生
- 軟組織の早期治癒促進
が期待されます。
🔍 術後の流れ
- この後、メンブレン(吸収性膜)で覆い、粘膜を縫合閉鎖して治癒を待ちます。
- 約4〜6か月の治癒期間を経て、骨成熟後に**アバットメント装着・補綴(ブリッジまたは連結冠)**へと移行します。
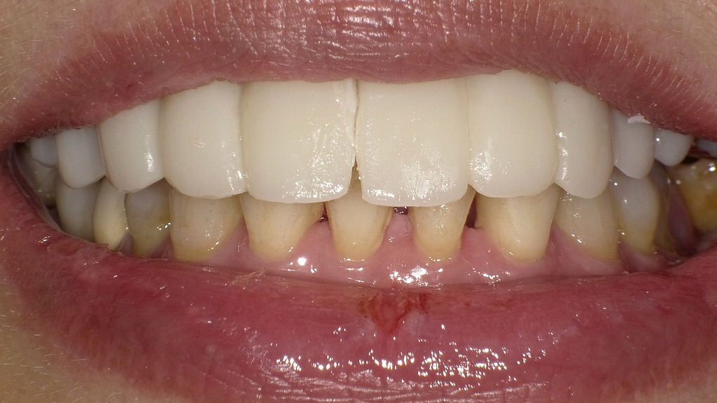
仮歯(プロビジョナルブリッジ)を装着
この画像は、右上3番・右上1番・左上5番を支台歯として作製した仮歯(プロビジョナルブリッジ)を装着した状態を示しています。

仮歯(プロビジョナルブリッジ)を装着 🦷 現在の状態
- 支台歯:右上3番、右上1番、左上5番。
- 仮歯の範囲:右上3番から左上5番まで連続した長大ブリッジ型の仮歯が装着されています。
- 形態:前歯部の審美性と発音を考慮した自然なラインで製作されており、咬合高径・唇側形態も良好です。
💡 仮歯の目的
- 審美性の回復:術後の外観を一時的に整え、日常生活での違和感を軽減。
- 咬合・発音の確認:咬合関係や発音バランスを調整し、最終補綴物の参考に。
- 歯肉形成誘導:特に前歯部では仮歯の形態により、歯肉ラインの自然なカーブを整える効果がある。
🔍 今後の予定
- 骨造成とインプラント埋入部(右上2番、左上1〜4番)の治癒経過を観察しながら、最終補綴設計へ進行。
- インプラントのオッセオインテグレーション完了後、仮歯のデザイン・咬合を参考に最終ブリッジまたは連結冠を製作予定。
🏥 江戸川区篠崎で前歯のインプラント治療をご検討の方へ

前歯を失ってしまったことで、「見た目が気になる」「仕事に支障が出る」とお悩みの方も多いかと思います。
江戸川区篠崎の当院では、機能性と審美性を両立したインプラント治療をご提供しています。
🦷 仮歯で自然な見た目を保ちながら治療可能なので、人前に立つお仕事の方でも安心です。
💰 費用面もご不安かと思いますが、明確な料金説明と分割払いのご相談も可能です。
📈 骨量が足りない場合も、骨再生治療(ボーングラフト)などでしっかり対応します。
「今度こそ、きちんと治したい」とお考えの方。まずはお気軽にご相談ください。
江戸川区篠崎駅から徒歩圏内、地域密着で丁寧な診療を行っております。
【動画】奥歯を抜歯したまま放置すると?
筆者・院長

深沢 一
Hajime FUKASAWA
- 登山
- ヨガ
メッセージ
日々進化する歯科医療に対応するため、毎月必ず各種セミナーへの受講を心がけております。
私達は、日々刻々と進歩する医学を、より良い形で患者様に御提供したいと考え、「各種 歯科学会」に所属すると共に、定期的に「院内勉強会」を行う等、常に現状に甘んずる事のないよう精進致しております。 又、医療で一番大切な事は、”心のある診療”と考え、スタッフと共に「患者様の立場に立った診療」を、心がけております。


