- 1. 🤰妊娠中に歯周病が増える理由と注意点
- 1.1. 1. ホルモン変化で歯茎が炎症を起こしやすくなる
- 1.2. 2. つわりや食習慣の変化で口腔内が不衛生に
- 1.3. 3. 妊娠性歯肉炎が発症しやすい
- 2. 🚨歯周病が早産・低体重児を引き起こすメカニズム
- 2.1. 1. 炎症性物質が子宮の収縮を誘発する
- 2.2. 2. 複数の研究でリスクが明らかに
- 2.3. 3. 喫煙・飲酒がリスクをさらに高める
- 3. 👶低体重・早産児のリスクと母親への影響
- 3.1. 1. 臓器未発達による合併症リスク
- 3.2. 2. 経済的・精神的負担が大きい
- 4. 🪥妊娠中に可能な歯周病対策
- 4.1. 1. 安定期(妊娠5〜8ヶ月)は歯科処置に最適なタイミング
- 4.2. 2. 妊婦にも使える安全な薬と処置
- 4.3. 3. 自宅でできる日常の口腔ケアも重要
- 5. 🏥歯周病予防に役立つ知識と支援制度
- 5.1. 1. 自治体の無料妊婦歯科健診を積極的に活用しよう
- 5.2. 2. 家族の口腔ケアも感染対策の一部
- 5.3. 3. 出産後は再発防止のため再チェックを
- 6. 📊歯科医がすすめる妊娠中の予防戦略と研究知見
- 6.1. 1. 妊娠前からの口腔ケア教育がカギ
- 6.2. 2. 研究で証明されている歯周病との関連性
- 6.3. 3. 歯科と産科の多職種連携が重要
- 7. 📍江戸川区篠崎周辺で妊婦歯科検診を受けるには?
- 7.1. 📝当院での妊婦歯科検診の流れと費用
- 7.2. 🤝妊婦さんへの安心サポート体制
- 8. 妊娠中の歯ぐきの腫れや出血、放置していませんか?
- 9. 【動画】妊娠性歯肉炎
- 10. 筆者・院長

「妊娠中に歯ぐきが腫れて出血するけれど、大丈夫かな…?」
そんな不安を抱える妊婦さんは少なくありません。実は、歯周病は見過ごせない“妊娠リスク”のひとつです。近年の研究では、妊娠中に歯周病が悪化すると早産や低体重児出産のリスクが高まることが明らかになってきました。
この記事では、歯周病がなぜ早産につながるのか、妊娠中でもできる予防策や江戸川区篠崎周辺で受けられる妊婦歯科健診について、歯科医監修のもとでわかりやすく解説します。赤ちゃんの健康を守る第一歩として、ぜひ最後までご覧ください。
🤰妊娠中に歯周病が増える理由と注意点

妊娠中は女性ホルモン(エストロゲン・プロゲステロン)の増加により、歯周病菌が繁殖しやすく、歯ぐきの炎症が起こりやすくなります。
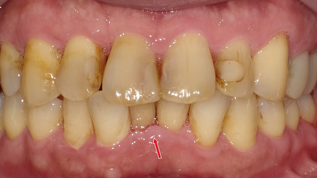
画像では、前歯部にプラークと歯石が付着し、矢印部で歯肉炎が確認できます。放置すると歯周病の進行、早産リスクの増加にもつながるため、妊娠中こそプロのクリーニングと丁寧なセルフケアが重要です。
1. ホルモン変化で歯茎が炎症を起こしやすくなる
妊娠中はエストロゲンやプロゲステロンなどの女性ホルモンが急激に増加し、歯茎の血管が拡張しやすくなります。その結果、わずかな刺激でも腫れや出血が起こりやすくなり、歯周病の引き金となります。
2. つわりや食習慣の変化で口腔内が不衛生に
つわりで歯磨きがつらくなったり、間食の回数が増えたりすることで、口腔内にプラークが溜まりやすくなります。これが歯周病菌の繁殖環境をつくり、リスクを高めます。
3. 妊娠性歯肉炎が発症しやすい
妊娠中は「妊娠性歯肉炎」と呼ばれる軽度の歯肉炎が発症しやすくなります。これは女性ホルモンをエサにする特定の歯周病菌が原因で、妊婦の約半数が経験するとされています。軽度とはいえ放置すれば進行し、早産リスクにもつながるため、早めのケアが重要です。
🚨歯周病が早産・低体重児を引き起こすメカニズム
1. 炎症性物質が子宮の収縮を誘発する
歯周病による炎症が進行すると、歯茎からサイトカインやプロスタグランジンなどの物質が血流に乗って全身へ巡ります。これらが子宮に到達すると、子宮の収縮を促す作用があり、早産の引き金になると考えられています。

2. 複数の研究でリスクが明らかに
アメリカや台湾などの研究では、重度の歯周病にかかった妊婦は、そうでない妊婦と比べて早産・低体重児出産のリスクが約2〜7倍に上昇すると報告されています。日本産科婦人科学会やCDCも注意喚起を行っており、歯周病の影響は世界的に注目されています。
3. 喫煙・飲酒がリスクをさらに高める
妊娠中の喫煙やアルコール摂取は、歯周病を悪化させるだけでなく、胎児の成長や酸素供給を妨げる要因になります。これらの生活習慣と歯周病が重なることで、早産リスクがさらに高まるため、妊娠前からの見直しが推奨されます。
👶低体重・早産児のリスクと母親への影響
1. 臓器未発達による合併症リスク
2,500g未満で生まれる低体重児や、妊娠37週未満で生まれる早産児は、肺・消化器・免疫機能などが未熟な状態です。
そのため、呼吸障害・低体温・感染症・栄養摂取困難などのリスクがあり、多くの場合は新生児集中治療室(NICU)での管理が必要になります。

2. 経済的・精神的負担が大きい
NICUでの入院や長期フォローが必要となると、医療費だけでなく、通院・交通費・育児支援の手間など、家族全体の負担が増します。
また、赤ちゃんの状態への不安や育児のプレッシャーから、母親が産後うつを発症するリスクも高まります。出産後も継続的な心身のケアが重要です。
🪥妊娠中に可能な歯周病対策
1. 安定期(妊娠5〜8ヶ月)は歯科処置に最適なタイミング
妊娠16〜28週頃の安定期は、母体が比較的安定しており、歯科治療を受けやすい時期です。
この期間には、歯石除去・歯周ポケット洗浄・軽度の虫歯治療などが安全に実施できます。
つわりが落ち着いてから受診するのが理想です。
2. 妊婦にも使える安全な薬と処置
治療に使用されるリドカイン系の局所麻酔薬や、ペニシリン系・セフェム系の抗生物質は、胎児への影響が少ないとされています。
必要に応じて医師の判断のもと使用されるため、自己判断せず歯科医に相談することが大切です。
3. 自宅でできる日常の口腔ケアも重要
妊娠中は毎日のセルフケアも欠かせません。
- 小さめのヘッドの歯ブラシで負担を減らす
- フロスや歯間ブラシで歯の隙間を清掃
- 低刺激でフッ素配合の歯磨き粉を使用
- 就寝前の「すすぎ1回」でフッ素の効果を高める
無理なく続けられる方法で、歯周病をしっかり予防しましょう。
🏥歯周病予防に役立つ知識と支援制度
1. 自治体の無料妊婦歯科健診を積極的に活用しよう
多くの自治体では、妊婦さんを対象に無料または補助付きの歯科検診を実施しています。
たとえば江戸川区では、母子手帳と一緒に「妊婦歯科健診受診票」が配布され、提携歯科医院での健診が無料で受けられます。
妊娠中の歯周病や虫歯の早期発見・予防に役立つ制度なので、必ず確認して活用しましょう。
2. 家族の口腔ケアも感染対策の一部
歯周病菌は唾液を介してキスや食器の共有などで感染する可能性があります。
妊婦さんを守るためには、パートナーや同居家族も一緒に歯科検診を受け、口腔環境を整えることが大切です。
家庭全体での口腔ケアが、母子の健康を支える大きな一歩になります。
3. 出産後は再発防止のため再チェックを
産後は育児や睡眠不足で生活が不規則になり、歯磨きの時間が取りにくくなることで歯周病が再発・悪化しやすくなります。
できれば出産後1〜3ヶ月以内に歯科検診を再度受けておくと、長期的な口腔トラブルの予防につながります。
📊歯科医がすすめる妊娠中の予防戦略と研究知見
1. 妊娠前からの口腔ケア教育がカギ
妊娠してからではなく、妊娠を計画する段階からの口腔ケア指導が、早産や低体重児出産のリスク低下に直結します。
歯周病が進行する前に治療を済ませておくことで、妊娠中のトラブルを未然に防ぐことができます。カップルで受けるプレ妊活歯科健診も効果的です。
2. 研究で証明されている歯周病との関連性
世界中の研究で、歯周病と早産の因果関係が報告されています。
- ロペス(2005年):歯周治療により早産リスク75%、低体重児出産38%減少
- オッフェンバッカー(1996年):重度歯周病で早産リスクが6.8倍に上昇
- 台湾の大規模研究(2022年):重症度が高いほど早産率も増加
これらのエビデンスは、妊娠中の口腔ケアの必要性を明確に裏付けています。

このレントゲンでは、赤い矢印の部分に高度な歯槽骨吸収が確認できます。
本来は歯の約半分近くまで骨があるべきですが、矢印の部位では歯根の大部分が骨から外れており、歯の支えが著しく減っている重度歯周病の状態です。
3. 歯科と産科の多職種連携が重要
妊婦さん一人ひとりの状況に応じた支援を行うには、歯科医師・助産師・保健師が連携した包括的サポートが不可欠です。
妊婦健診の中に歯科の視点を組み込み、必要な情報提供とケアを行う体制を整えることで、母子ともに安心して出産を迎えられる環境が整います。
📍江戸川区篠崎周辺で妊婦歯科検診を受けるには?
📝当院での妊婦歯科検診の流れと費用
当院では、妊婦歯科健診を以下の流れで実施しています:
- 問診:妊娠週数や体調、口腔内の気になる症状についてお伺いします。
- 口腔内診査:歯周病や虫歯の有無、歯茎の状態などをチェックします。
- 結果説明とアドバイス:検査結果をもとに、妊娠中の口腔ケア方法や注意点をご説明します。
費用は無料で、持ち物として母子健康手帳と妊婦歯科健診受診票をご持参ください。なお、健診の結果、治療が必要と判断された場合は、保険診療となり別途費用が発生します。
🤝妊婦さんへの安心サポート体制
当院では、妊婦さんが安心して健診を受けられるよう、以下のサポート体制を整えています:
- 女性歯科医師・スタッフによる対応:妊婦さんの不安や疑問に丁寧にお応えします。
- 体調に配慮した診療:つわりや体調不良時には、無理のない範囲で診療を進めます。
- 感染症対策の徹底:院内の衛生管理を徹底し、安心してご来院いただける環境を提供します。
妊娠中はホルモンバランスの変化により、歯周病や虫歯のリスクが高まります。お母さんと赤ちゃんの健康を守るためにも、妊婦歯科健診を積極的にご活用ください。
妊娠中の歯ぐきの腫れや出血、放置していませんか?

実は、歯周病が進行すると「早産」や「低体重児出産」のリスクが高まることが、近年の研究で明らかになっています。
当院(江戸川区篠崎)では、妊婦さんのための歯周病予防と妊婦歯科健診を実施しております。妊娠中の体調に配慮し、安心・丁寧な診察を心がけていますので、初めての方でもご安心ください。
江戸川区の妊婦歯科検診受診票をお持ちの方は、費用無料で受診が可能です。
赤ちゃんとご自身の健康を守るために、ぜひお気軽にご相談ください。
【動画】妊娠性歯肉炎
筆者・院長

深沢 一
Hajime FUKASAWA
- 登山
- ヨガ
メッセージ
日々進化する歯科医療に対応するため、毎月必ず各種セミナーへの受講を心がけております。
私達は、日々刻々と進歩する医学を、より良い形で患者様に御提供したいと考え、「各種 歯科学会」に所属すると共に、定期的に「院内勉強会」を行う等、常に現状に甘んずる事のないよう精進致しております。 又、医療で一番大切な事は、”心のある診療”と考え、スタッフと共に「患者様の立場に立った診療」を、心がけております。


