歯科で抗生物質は必要?処方されるケース・種類・副作用を徹底解説
歯科治療で処方される抗生物質について解説。抜歯や根管治療、歯周病での使用ケース、代表的な種類、副作用、正しい服用方法をまとめました。市販薬との違いや保険適用についても詳しく説明します。
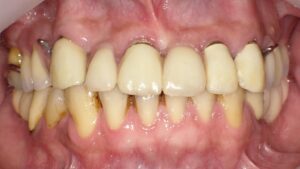
歯科用金属とは?種類・特徴・健康リスクまで徹底解説
歯科用金属の種類・特徴・メリットやリスクを徹底解説。保険診療で使われる銀歯から、金合金やジルコニアなどの選び方まで、歯科治療で後悔しないための知識を紹介します。
気圧の変化で歯が痛いのはなぜ?|原因と対策を歯科医が徹底解説
気圧の変化で歯が痛いのはなぜ?台風・飛行機・登山などで起きる歯痛の原因と仕組みを歯科医が解説。虫歯や副鼻腔炎との関係、セルフケア方法、歯科医院での治療や予防法まで詳しく紹介します。
酸蝕症とは?原因・症状・予防法まで徹底解説|虫歯との違いも紹介
酸蝕症は飲食物や胃酸によって歯が溶ける病気です。虫歯との違いや症状、原因、予防法を解説。江戸川区篠崎の当歯科クリニックでの治療内容も紹介します。
歯ブラシの交換時期はいつ?🦷歯科医がすすめる正しい目安と長持ちさせるコツ
歯ブラシの交換時期はいつが正解?歯科医推奨の「1か月ごと」の理由や、交換のサイン、衛生的に使うための管理法を解説。電動歯ブラシの替えブラシ交換目安も紹介。虫歯・歯周病予防に役立つ正しい習慣を身につけましょう。
自然な笑顔を取り戻す。ダイレクトボンディングとは?費用・メリット・デメリットを徹底解説
ダイレクトボンディングは、歯を削らず自然な仕上がりを実現する治療法です。本記事では、費用・保険適用・メリット・デメリットをわかりやすく解説。江戸川区篠崎で治療を検討中の方は、当歯科クリニックにご相談ください。
【未経験OK】歯科助手とは?仕事内容・資格・年収・将来性を徹底解説
歯科助手の仕事内容・資格・年収・やりがい・将来性を徹底解説!未経験から挑戦できる安定した医療職として人気の理由を紹介。これから歯科助手を目指す方必見の内容です。
口を開けると痛い・カクカク音がする?顎関節症の正しい対処法と治療法
顎関節症の症状(カクカク音・顎の痛み・開口障害)や原因(歯ぎしり・ストレス・噛み合わせ)、治療法(マウスピース・噛み合わせ調整・セルフケア)を歯科医が解説。江戸川区篠崎の当歯科クリニックで専門的な治療をご案内します。
歯科矯正の痛みはどのくらい続く?原因と和らげる方法を徹底解説
歯科矯正の痛みはなぜ起こる?どのくらい続く?この記事では、痛みの原因と和らげる方法、食事や生活の工夫を徹底解説。江戸川区篠崎で矯正治療を検討している方へ、痛みを最小限にする取り組みもご紹介します。
リステリンの効果と副作用|正しい使い方と選び方を歯科医が解説
リステリンの効果・副作用・種類別の特徴を歯科医が徹底解説。口臭や歯周病予防に役立つ正しい使い方を知り、自分に合ったタイプを選びましょう。江戸川区篠崎で口腔ケア相談も可能です。










