- 1. 【🎞️】入れ歯をつけたまま寝るのは危険?メリット・デメリットを徹底解説!
- 2. ✅ 就寝中に入れ歯を外すべき?その理由とリスク
- 2.1. 🛏 入れ歯をつけたまま寝るとどうなる?
- 3. 🌙 入れ歯を外して寝るメリットとは?
- 3.1. 🌿 口腔の健康を守る
- 3.2. 🧼入れ歯の寿命を延ばす
- 4. 🔄入れ歯をつけたまま寝るべき例外とは?
- 4.1. 🩺歯科医師が指示するケース
- 4.2. 🧩総入れ歯・部分入れ歯の違いによる影響
- 5. 🧽どうしても外せない場合の注意点
- 5.1. 🧴清潔を保つルーティン
- 6. 🔁 毎日のケア方法と頻度
- 6.1. 🪥洗浄のタイミングと方法
- 6.1.1. 🧼入れ歯の洗浄手順
- 6.2. 💧正しい保管方法
- 7. 🦷 入れ歯トラブルを防ぐために定期検診を
- 7.1. 🏥歯科医院でチェックするポイント
- 8. ❓ よくある質問(FAQ)
- 8.1. 🤔 寝るとき入れ歯をつけたままだとどうなる?
- 8.2. 💬部分入れ歯でも外す必要はあるの?
- 8.3. 🦷入れ歯をつけたまま寝てはいけないのはなぜ?
- 8.4. 📅入れ歯はどれくらいで作り直すべき?
- 9. 📝 まとめ|夜は入れ歯を外すのが基本!でも状況に応じて判断を
- 10. 🦷入れ歯のお悩み、江戸川区篠崎で丁寧に対応します。
- 11. 【動画】目立たない部分入れ歯のスマイルデンチャー
- 12. 筆者・院長

✅ 「入れ歯は寝るときに外したほうがいいの?」
この疑問は、多くの入れ歯ユーザーやそのご家族が一度は抱えるものです。
実は、就寝中の入れ歯の扱い方によって、口腔内の健康だけでなく、全身の健康にも大きな影響を与えることがあります。誤嚥性肺炎や口内炎、口臭、さらには入れ歯の寿命まで左右されることも…。
本記事では、
✅ 入れ歯をつけたまま寝るリスク
✅ 外して寝るメリット
✅ 外せないケースでの注意点
✅ 正しい洗浄・保管方法や定期検診のポイント
などをわかりやすく解説します。
「寝るときの入れ歯の正しい扱い方」を知って、清潔で快適な毎日を送りましょう。
【🎞️】入れ歯をつけたまま寝るのは危険?メリット・デメリットを徹底解説!
✅ 就寝中に入れ歯を外すべき?その理由とリスク
🛏 入れ歯をつけたまま寝るとどうなる?
「入れ歯は寝るときに外すべきか?」という疑問をお持ちの方は多いですが、基本的には外して寝るのが推奨されています。理由は以下の通りです。

🦷 歯茎への圧迫と炎症のリスク
入れ歯をつけたまま寝ると、長時間歯茎が圧迫され、血流が悪くなります。その結果、歯茎が炎症を起こしたり、痛みや腫れが出る可能性があります。特に合っていない入れ歯では、このリスクがさらに高まります。
🦠 細菌・カンジダの繁殖で口臭や義歯性口内炎に
夜間は唾液の分泌が減り、口腔内の自浄作用も低下します。その状態で入れ歯を装着したままだと、細菌やカビ(カンジダ菌)が繁殖しやすくなり、口臭や「義歯性口内炎」などのトラブルを引き起こす原因になります。
😮💨 睡眠の質の低下・誤飲リスク
入れ歯による違和感があると、ぐっすり眠れなかったり、途中で目が覚めたりすることもあります。さらに、特に部分入れ歯は小さく外れやすいため、就寝中に誤って飲み込んでしまうリスクにも注意が必要です。
🧓 高齢者の誤嚥性肺炎リスクが2.2倍
高齢者の場合、入れ歯をつけたまま寝ることで誤嚥性肺炎のリスクが高まるとされています。ある研究では、入れ歯を装着したまま寝ていた高齢者の3年後の死亡率は、外して寝ていた人の約2.2倍にのぼるという報告もあり、見過ごせないリスクです。
💡結論:原則は「外して寝る」がベスト!
入れ歯を清潔に保ち、歯茎の健康や全身のリスクを避けるためにも、寝るときは必ず外す習慣を身につけましょう。
🌙 入れ歯を外して寝るメリットとは?
夜間に入れ歯を外すことで、口腔内と入れ歯の両方を健康に保つことができます。ここでは、入れ歯を外して寝ることによる具体的なメリットをご紹介します。
🌿 口腔の健康を守る
入れ歯を装着し続けていると、歯茎に圧力がかかり続けてしまいます。しかし、夜間に外すことで歯茎が休まり、血流も回復します。これは、歯ぐきの炎症や痛みを防ぐためにも非常に重要です。
さらに、入れ歯を外すことで、唾液が自由に循環しやすくなり、自浄作用が高まります。唾液は、口の中の汚れを洗い流し、虫歯や歯周病、口臭のリスクを減らす自然な洗浄液のようなものです。つまり、外すことで口腔内がリフレッシュされ、より清潔で健康的な状態を保ちやすくなります。
🧼入れ歯の寿命を延ばす
入れ歯をつけたまま寝ると、汚れや細菌がついた状態が長時間続いてしまい、素材の劣化や変色の原因になります。一方で、外してしっかりと洗浄・保管することで、細菌の付着や臭いの発生を防げるため、衛生的な状態が保たれます。
また、毎晩のケアによって、入れ歯の寿命も自然と延びやすくなります。清潔に使い続けることで、見た目の美しさや装着感も維持しやすくなるのです。
🔄入れ歯をつけたまま寝るべき例外とは?
基本的には「入れ歯は寝るときに外す」が推奨されますが、すべての方に当てはまるわけではありません。歯科医師の判断により、就寝中も入れ歯を装着した方が良い場合があります。以下はその代表的な例です。

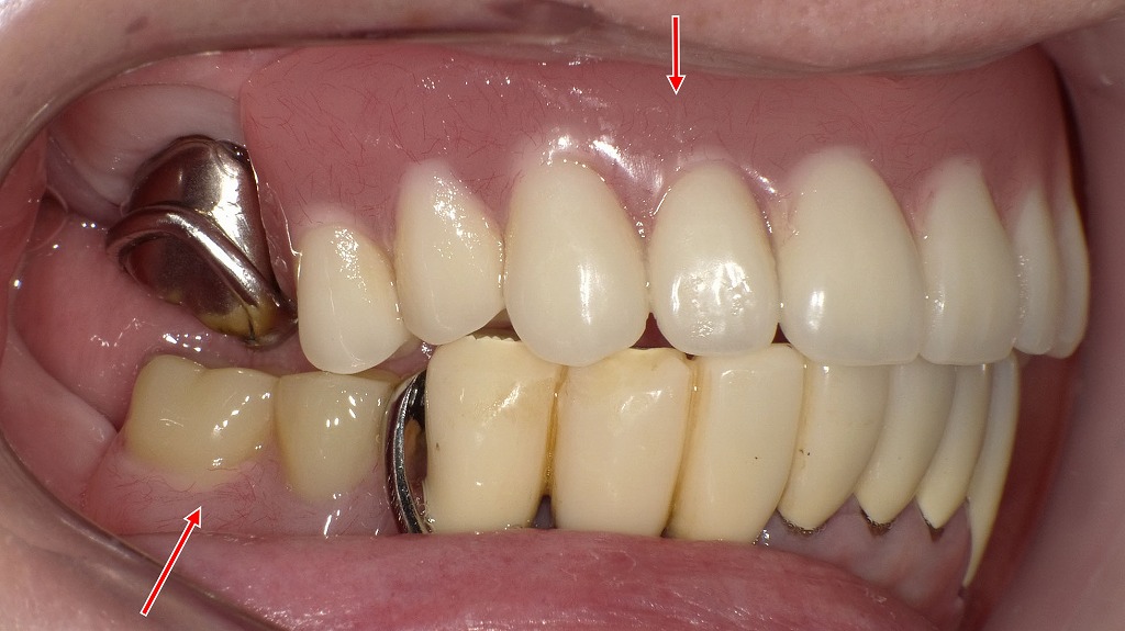
上下顎に保険適用のクラスプ義歯(部分入れ歯)を装着している症例です。
一般的には、就寝時は入れ歯を外して歯ぐきや残存歯を休ませることが推奨されますが、噛み合わせの安定が必要な場合や、残っている歯を保護する目的がある場合には、入れ歯をつけたまま寝ることが例外的に勧められることがあります。
例えば、入れ歯を外すことで噛み合わせが大きく変化し、顎や歯に過度な負担がかかるケースや、歯の移動・倒れ込みを防ぐ必要がある場合です。
ただし、この判断は自己判断ではなく、口腔内の状態や義歯の適合を確認したうえで歯科医師が行うことが重要です。入れ歯の装着方法や就寝時の扱いについて不安がある場合は、必ず歯科医院で相談しましょう。
🩺歯科医師が指示するケース
① 睡眠時無呼吸症候群(SAS)でOAを併用している場合
睡眠中に呼吸が何度も止まってしまう「睡眠時無呼吸症候群」の治療として、OA(口腔内装置)を使用している方は、安定した装着のために入れ歯を外せないことがあります。特に下顎を前方に固定するタイプのOAでは、入れ歯がないと装着できないケースもあるため、医師の指導に従って対応する必要があります。
② 部分入れ歯と歯ぎしりの関係
夜間の歯ぎしり(ブラキシズム)を軽減する目的で、部分入れ歯をつけたまま就寝することが勧められることもあります。歯ぎしりによって噛み合わせのバランスが崩れると、特定の歯に過度な負担がかかり、歯の破損や顎関節の痛みの原因になるためです。
🧩総入れ歯・部分入れ歯の違いによる影響
総入れ歯の初期段階では、顎や歯茎の形状を安定させるために夜間も装着が必要なことがあります。とくに新しく作ったばかりの入れ歯では、歯茎にフィットさせる調整期間として、装着時間を延ばす指導がされる場合があります。
一方、部分入れ歯は隣の歯への固定や咬合バランスを維持するため、寝ている間も必要とされる場合があるなど、タイプによって方針が異なります。
💡 ポイント:例外があるからこそ、歯科医の指示に従うのが大切!
「寝るときの入れ歯装着」は、患者ごとの症状や生活環境に合わせて判断するべき事項です。自己判断せず、歯科医師に相談して最適な方法を選びましょう。
🧽どうしても外せない場合の注意点
医師の指示や個別の事情で、「寝るときに入れ歯を外せない」という方もいらっしゃいます。その場合でも、入れ歯を清潔に保つことが何よりも重要です。不衛生な状態での就寝は、口腔内の炎症・口臭・誤嚥性肺炎などのリスクを高めるため、以下のケアを徹底しましょう。
🧴清潔を保つルーティン
① 就寝前の口腔ケアを丁寧に行う
入れ歯をつけたまま寝る場合でも、必ず歯磨きと舌のクリーニングを行い、口腔内を清潔にしてから装着するようにしましょう。食べかすやプラークが残ったままだと、細菌が繁殖しやすくなります。
② 入れ歯自体も徹底清掃が必要
寝る前には、入れ歯専用のブラシと洗浄剤を使って、しっかりと洗浄しましょう。
とくに以下のポイントを守ることが大切です:
- 義歯のヌルつき(バイオフィルム)を除去
- プラーク(歯垢)や食べカスを完全に取り除く
- 金属部分や裏面の細部まで丁寧に洗う
洗浄剤を使った浸け置き洗いを併用すれば、除菌効果が高まり、口臭や口内炎の予防にもつながります。
💡 寝るときもつけるなら“完璧な清掃”が必須!
入れ歯は「ただ使う」だけでなく、「清潔に使い続ける」ことが大切です。どうしても外せない方は、寝る前のルーティンを習慣化し、入れ歯とお口を守りましょう。
🔁 毎日のケア方法と頻度
「入れ歯は寝るとき外すべき?」という疑問とあわせて重要なのが、入れ歯のお手入れの習慣化です。どんなに精密な入れ歯でも、毎日のケアを怠ると口腔内のトラブルの原因になります。以下のポイントを意識して、清潔で快適な入れ歯生活を送りましょう。

🪥洗浄のタイミングと方法
入れ歯の洗浄は、食後ごとに行うのが理想です。
難しい場合でも、最低でも1日1回、寝る前には必ず洗浄しましょう。
洗浄時のポイントは以下の通りです:
- 入れ歯専用ブラシを使って、表面や裏面の細かな部分まで丁寧にブラッシング
- 歯磨き粉は使わず、入れ歯専用の洗浄剤を使用(研磨剤が傷の原因になるため)
- 洗浄剤は以下の条件で選ぶのがベスト:
- 🧴 素材に優しい成分
- 🦠 高い除菌力
- 🔩 金属対応(メタルセーフ)
また、着色汚れやニオイ対策として「漂白効果のある洗浄剤」を週に2回ほど使用することで、見た目の清潔感も保ちやすくなります。
🧼入れ歯の洗浄手順
step
義歯専用ブラシ
入れ歯の素材である合成樹脂は汚れがつきやすい素材なので、強くこすったり、歯磨き剤でこすったりしないでください。
正しい清掃法を身に着け、いつもきれいに磨いてください。
義歯専用ブラシがない時は、通常の歯ブラシで大きめのものを使うとやりやすいです。
エラック義歯ブラシがお薦めです。
amazonで購入
楽天で購入

step
フィジオクリーンキラリ入れ歯洗浄剤
ガラスまたはプラスティック容器に約150ml(コップ1杯)のお湯(40℃以下)を入れ、洗浄剤1包を加えてスプーンなどでよくかき混ぜてください。
※ 別売りの入れ歯保温洗浄容器を使用するとより効果的です。すぐに義歯を入れ、一晩浸け置き洗いしてください。急ぎの場合でも最低30分以上は洗浄液に浸けてください。
amazonで購入
楽天で購入

フィジオクリーンキラリ入れ歯洗浄剤
step
流水下でよくすずき洗い
フィジオクリーンキラリ入れ歯洗浄剤はアルカリ性のため、すすぎは充分に行ってください。
【ご注意】
浸け置き洗いは、成分のTio2が白く付着します。Tio2は人体には無害ですが、義歯および容器は流水でよく洗い流してください。

💧正しい保管方法
夜間に入れ歯を外して寝る場合は、乾燥させないことが重要です。入れ歯は乾燥により変形しやすいため、以下の保管方法を徹底しましょう。
- 洗浄液または水に浸けて保管(常に湿潤環境をキープ)
- 密閉型の入れ歯保管ケースを使用し、細菌やホコリから守る
- ケースも週に1〜2回洗浄剤で清掃して、カビや菌の繁殖を防ぐ
このように適切なケアを習慣化することで、入れ歯の清潔と長寿命、そして口腔内の健康が同時に保たれます。
🦷 入れ歯トラブルを防ぐために定期検診を
「入れ歯は寝るときに外す」ことと同じくらい大切なのが、定期的に歯科医院でチェックを受けることです。入れ歯は一度作ったら終わりではなく、お口の状態に合わせた“調整とメンテナンス”が必要不可欠です。

🏥歯科医院でチェックするポイント
① 入れ歯の適合性チェックと調整
口腔内の形は、年齢や体調、骨の吸収などにより少しずつ変化します。これに対して入れ歯が合わなくなってくると、痛み・ズレ・外れやすさの原因になります。
定期的な検診で、ズレの有無や噛み合わせのバランスを確認し、必要な調整を受けることで、トラブルを未然に防げます。
② 入れ歯の劣化チェックと修理・再製の判断
入れ歯の素材は日々の使用や洗浄によって、徐々に劣化・変色・破損していきます。
表面の傷やひび割れ、小さな変形も、放っておくと口内炎や義歯性口内炎、口臭の原因になることがあります。歯科医院では、入れ歯の状態を細かく確認し、必要に応じて修理や新しい入れ歯の提案をしてくれます。
③ 歯茎や顎の健康状態のチェック
入れ歯の下にある歯茎や顎の骨の状態も、長期的な使用においてとても大切です。
とくに高齢者の方は、顎の骨が痩せて入れ歯が合わなくなる、歯茎が炎症を起こすなどの変化が出やすいため、定期的な検査で早期に対応することが重要です。
❓ よくある質問(FAQ)
「入れ歯 寝るとき」に関する疑問は多くの患者さんから寄せられます。ここでは、特によくある質問とその回答をまとめました。
🤔 寝るとき入れ歯をつけたままだとどうなる?
入れ歯をつけたまま寝ると、歯茎が休めず炎症を起こしたり、細菌やカビが繁殖しやすくなります。
また、口臭や義歯性口内炎、誤嚥性肺炎のリスクも高まるため、基本的には就寝時は外すことが推奨されています。
💬部分入れ歯でも外す必要はあるの?
はい、部分入れ歯でも基本的には外して寝るのが望ましいです。ただし、歯ぎしり防止や咬合バランス維持など医師の判断で夜間の装着が必要なケースもあります。
いずれにしても、自己判断ではなく歯科医師の指示を仰ぐことが重要です。
🦷入れ歯をつけたまま寝てはいけないのはなぜ?
主な理由は以下の通りです:
- 歯茎への圧迫・炎症
- 細菌やカンジダの繁殖による口腔トラブル
- 誤嚥・誤飲のリスク
- 睡眠の質の低下
特に高齢者では、誤嚥性肺炎のリスクが約2.2倍に高まるとのデータもあり、健康上の大きなリスクとなります。
📅入れ歯はどれくらいで作り直すべき?
入れ歯の寿命は一般的に3~5年程度といわれています。
ただし、使用状況や口腔内の変化によっては、それより早く合わなくなる場合もあります。
以下のような症状がある場合は、歯科医院での再評価をおすすめします:
- ズレたり外れやすい
- 痛みや違和感が出てきた
- 食べ物が噛みにくい
- 見た目が変わった
📝 まとめ|夜は入れ歯を外すのが基本!でも状況に応じて判断を
「入れ歯は寝るとき外すべきか?」という疑問に対する答えは、基本的には“外すのが正解”です。
就寝中に入れ歯を外すことで、
✅ 歯茎の休息
✅ 口腔内の自浄作用の回復
✅ 細菌の繁殖防止
✅ 誤嚥性肺炎などの全身リスク軽減
といった多くの健康メリットが得られます。
ただし、
🔹 睡眠時無呼吸症候群
🔹 歯ぎしり・咬合バランス維持
🔹 入れ歯の初期調整中
などの特定の医療的理由がある場合は、就寝中の装着が推奨されることもあります。
💡 重要なのは、自己判断せず歯科医師の指導を受けること。
そして、装着の有無にかかわらず、
🪥 正しい洗浄
💧 適切な保管
📅 定期的な歯科検診
を習慣にすることで、入れ歯を長く快適に使い続けることができます✨
🔚 夜の入れ歯ケアは、「寝るときの健康習慣」の一部です。
大切な歯とお口の健康を守るために、今夜からできることを始めましょう!
🦷入れ歯のお悩み、江戸川区篠崎で丁寧に対応します。

「入れ歯が合わない」「痛くて食事がつらい」「見た目が気になる」など、
入れ歯に関するお悩みは人それぞれ。当院では、患者さま一人ひとりのお口の状態やライフスタイルに合わせたオーダーメイドの入れ歯治療を行っています。
江戸川区篠崎で地域に根ざした歯科医療を提供しており、
✅ 初めての入れ歯をご検討の方
✅ 今の入れ歯が合わなくてお困りの方
✅ 精密な保険・自費入れ歯をご希望の方
まで、幅広くご対応可能です。
痛みの少ない調整、自然な見た目、しっかり噛める設計を大切にしています。
必要に応じて、嚥下や誤嚥対策にも配慮した設計もご提案いたします。!
【動画】目立たない部分入れ歯のスマイルデンチャー
筆者・院長

深沢 一
Hajime FUKASAWA
- 登山
- ヨガ
メッセージ
日々進化する歯科医療に対応するため、毎月必ず各種セミナーへの受講を心がけております。
私達は、日々刻々と進歩する医学を、より良い形で患者様に御提供したいと考え、「各種 歯科学会」に所属すると共に、定期的に「院内勉強会」を行う等、常に現状に甘んずる事のないよう精進致しております。 又、医療で一番大切な事は、”心のある診療”と考え、スタッフと共に「患者様の立場に立った診療」を、心がけております。


