- 1. 【🎞️36秒】歯のブリッジ費用を徹底解説!保険診療と自費診療の違いと選び方
- 2. 🧠 歯のブリッジとは?治療の基本知識
- 2.1. 🔎 ブリッジの構造と仕組み(支台歯・ポンティック)
- 2.2. 📉 歯を失う原因とブリッジの適応条件
- 2.3. ⚠️ 差し歯とブリッジの違い|よくある誤解
- 3. 💰 保険診療での歯ブリッジ費用
- 3.1. 🧾 保険ブリッジの費用目安一覧(前歯・奥歯・本数別)
- 3.2. 💡 点数計算と実際の自己負担額の違い
- 3.3. 🧩 使用される素材とその特徴
- 3.3.1. ◻️ 硬質レジン前装冠(前歯)
- 3.3.2. ◻️ 銀合金(金属冠、奥歯)
- 4. 🧪 保険診療のブリッジのメリットと限界
- 4.1. 🦷 保険のブリッジ症例の例:前歯6本連結のブリッジ
- 4.2. 🎨 審美面での課題(変色・金属露出)
- 4.3. 🧱 耐久性・破損リスクと寿命
- 4.4. 🤧 金属アレルギーの懸念点
- 4.5. 🦷 硬質レジン前装冠の基本情報と保険適用
- 4.5.1. 🔧 構造と素材の特徴
- 4.5.2. 💴 保険が適用される範囲と条件
- 4.5.3. 📋 保険適用の条件と注意点
- 4.5.4. ✅ メリット
- 4.5.5. ⚠ デメリット・限界
- 4.6. 🦷 保険のブリッジ症例の例:奥歯3本連結のブリッジ
- 5. 💎 自費診療ブリッジの選択肢と費用相場
- 5.1. 🧱 メタルボンドブリッジ
- 5.1.1. 強度とコストパフォーマンスのバランス
- 5.1.2. 適応範囲の広さと症例対応力
- 5.2. 💠 ジルコニアブリッジ/フルジルコニア
- 5.2.1. 高審美&金属フリーの利点
- 5.2.2. 高精度CAD/CAM製作による適合性の良さ
- 5.3. 💵 素材別の費用一覧(1歯あたりの目安)
- 6. 🧼 ブリッジのメンテナンスと寿命を延ばすコツ
- 6.1. 🪥 ポンティック下の清掃方法|歯間ブラシ活用術
- 6.2. 💦 フッ素やキシリトール、薬用洗口剤の併用
- 6.3. 📆 寿命は「手入れ+素材+支台歯の健康」で決まる
- 7. 🔁 他の選択肢と比較したブリッジの特徴
- 7.1. 🦷 ブリッジ:早く安価に噛む機能を回復できる
- 7.2. 🦷 インプラント:最も自然で長持ちするが高額
- 7.2.1. 左上2番欠損に対するインプラント治療の経過:欠損から最終補綴装着まで
- 7.3. 🦷 入れ歯:費用は安いが、見た目・安定性に課題
- 8. 🙋♀️ よくある質問(FAQ)
- 8.1. Q:保険のブリッジはいくらくらい?
- 8.2. Q:なぜ自費だと高額なの?
- 8.3. Q:ブリッジは何年もつ?
- 8.4. Q:奥歯のブリッジでも保険適用される?
- 9. 📍 江戸川区篠崎で歯ブリッジ治療をご検討の方へ
- 10. 【🎞️】奥歯を抜歯したまま放置すると?
- 11. 筆者・院長

「歯を失ったけど、どんな治療があるの?」「ブリッジって保険が効くの?」「結局いくらかかるの?」
そんな疑問をお持ちの方も多いのではないでしょうか。
歯のブリッジ治療は、比較的早く・安定して噛む機能を回復できる治療法として広く利用されています。しかし、費用は治療の内容や素材、保険の適用条件によって大きく異なるため、事前の情報収集がとても大切です。
本記事では、歯ブリッジの費用相場を保険診療と自費診療の両面から詳しく解説します。前歯・奥歯の違いや素材ごとの特徴、寿命やメンテナンスのコツまで、これから治療を受ける方が知っておくべきポイントを網羅しました。
費用と見た目のバランスでお悩みの方にとって、きっと役立つ内容です。ぜひ参考にしてください。
【🎞️36秒】歯のブリッジ費用を徹底解説!保険診療と自費診療の違いと選び方
🧠 歯のブリッジとは?治療の基本知識
歯のブリッジとは、失った歯の両隣の歯を支えにして、連結された人工の歯を装着する治療方法です。橋(ブリッジ)のように歯を渡す構造から、この名前がついています。
保険適用で対応可能なことも多く、インプラントよりも費用が抑えられることが利点です。一方で、健康な隣の歯を削る必要がある点や、清掃が難しい部位ができるなど、注意点もあります。
🔎 ブリッジの構造と仕組み(支台歯・ポンティック)

ブリッジは、以下の3つの要素で構成されます。
- 支台歯(しだいし):ブリッジを固定するために削る両隣の歯。
- ポンティック:歯がない部分に入る人工歯(橋の中央部分)。
- ブリッジ(連結冠):支台歯とポンティックをつなぐ被せ物全体。
例えば、1本の歯が抜けた場合、左右の2本の歯を削り、3本つながったブリッジを作って固定します。セメントでしっかり装着されるため、見た目や噛む力は自然な感覚に近いという特徴があります。
📉 歯を失う原因とブリッジの適応条件
歯を失う主な原因は以下の3つです。
- 重度の虫歯(C4)
- 進行した歯周病
- 事故や外傷
ブリッジ治療の適応には、両隣の歯が健康であることが条件です。支台歯がぐらついていたり、虫歯が進行している場合は、別の治療(インプラントや入れ歯)が検討されることもあります。
また、先天的な永久歯欠損(生まれつき歯が生えてこない)場合にも、ブリッジは選択肢となります。
⚠️ 差し歯とブリッジの違い|よくある誤解
患者さんの中には、「歯を1本失ったら差し歯にできる」と思われる方もいますが、差し歯(クラウン)は歯根が残っている歯にしか使えません。
一方でブリッジは、歯根も含めて完全に歯を失った状態で用いられる治療法です。つまり、差し歯とブリッジは適応範囲がまったく異なります。
💰 保険診療での歯ブリッジ費用
保険診療でのブリッジ治療は、3割負担の場合でも1〜5万円程度で済むことが多く、費用を抑えたい方には有力な選択肢です。ただし、使用できる素材や見た目、適用条件に制限があるため、事前に特徴をしっかり把握しておくことが大切です。
🧾 保険ブリッジの費用目安一覧(前歯・奥歯・本数別)
下記は、保険診療でのブリッジ費用の一例(3割負担)です。
| ブリッジ構成 | 部位 | おおよその費用 |
|---|---|---|
| 3本連結(1歯欠損) | 前歯 | 約27,900円 |
| 4本連結(2歯欠損) | 前歯 | 約34,200円 |
| 5本連結(2歯欠損) | 前歯 | 約43,500円 |
| 6本連結(2歯欠損) | 前歯 | 約54,900円 |
| 3本連結(1歯欠損) | 奥歯 | 約20,400円 |
| 4本連結(1歯欠損) | 奥歯 | 約26,100円 |
※これは目安です。通院回数や補助処置(レントゲン、根管治療、歯周病治療等)により変動します。
💡 点数計算と実際の自己負担額の違い
ブリッジ費用は、診療報酬点数(1点=10円)で算出されます。たとえば「9,300点」の場合、総額は93,000円となり、自己負担3割であれば27,900円の支払いになります。
しかし、ブリッジだけでなく「初診料・再診料」「型取り」「仮歯」「レントゲン」など複数の処置点数が合算されるため、実際の自己負担額は症例によって前後します。
🧩 使用される素材とその特徴
保険診療で使用できる素材は、部位によって異なります。
◻️ 硬質レジン前装冠(前歯)
- 構造:金属のフレームに、プラスチック素材(硬質レジン)を貼り付けた被せ物。
- 対象部位:上下の前歯および犬歯まで(3番まで)。
- メリット:表側は白く見えるため、保険で自然な見た目が実現可能。
- デメリット:経年で変色・着色・破折のリスクあり。
◻️ 銀合金(金属冠、奥歯)
- 構造:銀・パラジウム合金を使用したフルメタルクラウン。
- 対象部位:小臼歯~大臼歯(4番以降)の奥歯。
- メリット:強度が高く、咬合力の強い部位にも使用可能。
- デメリット:金属色が目立つ。金属アレルギーのリスクもあり。
保険のブリッジは費用が抑えられる一方、見た目・寿命・適応条件に限界があるため、自費診療との違いも理解したうえで選択することが重要です。
🧪 保険診療のブリッジのメリットと限界
保険診療によるブリッジ治療は、比較的低価格で機能的な回復が可能な優れた治療法です。多くの患者様にとって受けやすく、歯の欠損に対して迅速な対応ができる点が魅力です。
一方で、素材や構造に起因する制限やリスクもあります。ここでは、メリットとともに審美性・耐久性・保険適用の条件面での注意点を整理します。
🦷 保険のブリッジ症例の例:前歯6本連結のブリッジ
- 治療範囲:右上2番から左上4番までの6本を連結
- 欠損歯:右上1番と左上3番が欠損(青丸で表示)
- 構造:欠損部にポンティック(人工歯)、両隣の歯を支台歯としてブリッジを固定

前歯保険適用ブリッジ正面観
6連のブリッジで5本が硬質レジン前装冠で作られ、1本は金属で作られています。
硬質レジンは経年劣化が著しく変色や着色、破折が認められます。

前歯保険適用ブリッジ咬合面観
咬合面からみりとブリッジの内側はすべて金属になっているのが分かります。左上4番だけは金属冠で作られています。
🎨 審美面での課題(変色・金属露出)
保険で使用される前歯用の素材「硬質レジン前装冠」は、表面が白く見えるものの、経年で変色や着色が生じやすいという欠点があります。
特に以下のようなケースで目立ちやすくなります:
- コーヒーや赤ワイン、カレーなど色素の濃い飲食物の摂取
- 表面の摩耗による艶の喪失
- 歯茎が下がることで金属フレームが見える
これにより、審美性を重視する方には不向きと感じられることがあります。
🧱 耐久性・破損リスクと寿命

硬質レジン前装冠破損
左上1番2番の硬質レジン前装冠が破損して金属が露出しています。

硬質レジン前装部破損
右上3番4番5番の3連ブリッジです。3番の硬質レジン前装部が完全に剝がれています。
保険ブリッジの平均的な寿命は5〜10年程度とされます。ただしこれはあくまで目安であり、次のような要因で左右されます:
- ポンティック下の清掃状態
- 支台歯の虫歯・歯周病の進行
- 咬合圧(噛む力)の強さ
- ナイトガードの有無(歯ぎしり防止)
レジン素材は割れやすく、金属部分が露出することもあるため、強度と長期使用を求める場合は、自費診療のセラミック素材が候補になります。
🤧 金属アレルギーの懸念点
奥歯に使用される**銀合金(12%パラジウム合金)**は、保険適用で広く使われていますが、金属アレルギーを引き起こす可能性がある素材です。
- 皮膚のかゆみやかぶれ
- 舌や口内の違和感・炎症
- 遠隔部位(手足など)へのアレルギー反応
こうした症状が出た場合、**金属を使用しないジルコニアブリッジ(自費)**が選択肢になります。
🦷 硬質レジン前装冠の基本情報と保険適用
🔧 構造と素材の特徴
- 二層構造:内側に金属、外側に硬質レジン(プラスチック)を貼り付けた構造
- 見た目:表側は白く自然に見えるが、裏側は金属で強度を確保
💴 保険が適用される範囲と条件
- 対象部位:上・下の前歯(中切歯、側切歯、犬歯)までが保険適用対象
- **奥歯(小臼歯・大臼歯)**は金属冠(銀色)での製作となり、審美性は劣る
📋 保険適用の条件と注意点
- 保険でブリッジが適用されるには以下の条件を満たす必要があります:
- 欠損している歯の本数と位置
- 両隣の歯(支台歯)が健康で、削って支えにできる状態かどうか
- ブリッジ全体の連結本数(通常3〜6本)
- 特に以下のようなケースでは保険適用外となる可能性があります:
- 2歯以上の欠損を6本以上のブリッジで補う場合
- 支台歯の状態が悪く、固定が困難な場合
- 👉 事前に精密な診断が必要です。診断結果によっては自費治療を選択することになります。
✅ メリット
- 保険診療でも白い歯に見える(前歯)
- 金属フレームである程度の強度と耐久性がある
- 比較的安価で治療が受けられる
⚠ デメリット・限界
- 硬質レジンは変色・摩耗・破損しやすい
- 裏側の金属が透けて見えることがある
- 保険の範囲や素材に見た目の限界や制限がある
このように、硬質レジン前装冠は「保険で白い歯にできる」点が魅力ですが、審美性や耐久性、適用条件の制限も理解した上で選択することが重要です。
見た目の美しさや耐久性を求める方には、自費診療によるブリッジが有力な選択肢となります。保険診療と比べて費用は高くなりますが、素材や仕上がりの自由度が高く、長期的な満足感につながることが多いです。
🦷 保険のブリッジ症例の例:奥歯3本連結のブリッジ
奥歯のブリッジはすべて金属冠(12%パラジウム合金)が使われます。下記症例は上顎5番6番7番の3連ブリッジです。青丸の6番が欠損しています。

奥歯保険適用ブリッジ側面観
右上5番から7番の3連続ブリッジです。

奥歯保険適用ブリッジレントゲン写真
同症例の奥歯保険適用ブリッジレントゲン写真です。
💎 自費診療ブリッジの選択肢と費用相場
🧱 メタルボンドブリッジ

強度とコストパフォーマンスのバランス
メタルボンドブリッジは、内側に金属フレーム、外側にセラミックを焼き付けた構造で、機能性と見た目のバランスが良い素材です。保険のレジン冠よりも格段に割れにくく、かつ歯に近い自然な白さを実現できます。
適応範囲の広さと症例対応力
強度が高いため、奥歯や咬合力の強い部位にも適応可能です。また、多数歯の欠損やロングスパンブリッジなど、保険では対応が難しい症例にも対応できるのが特徴です。
💠 ジルコニアブリッジ/フルジルコニア

高審美&金属フリーの利点
ジルコニアブリッジは、白く美しい見た目と金属アレルギーの心配がない点が最大の特徴です。前歯など審美性が重視される部位にも最適で、自然な透明感や光沢を再現できます。
- ジルコニアセラミック:ジルコニアフレームの上にセラミックを焼き付けた高級タイプ。見た目重視。
- フルジルコニア:すべてジルコニア素材で構成され、強度は最強。やや光沢が強く、見た目は劣るが奥歯向き。
高精度CAD/CAM製作による適合性の良さ
いずれもCAD/CAM技術でデジタル設計・加工され、適合性が非常に高く、歯茎との境目に段差が出にくいというメリットもあります。
💵 素材別の費用一覧(1歯あたりの目安)
| 素材 | 価格(税込) | 特徴 |
|---|---|---|
| メタルボンド | 約115,500円 | 金属+セラミック、強度と美しさの両立 |
| ジルコニアセラミック | 約110,000円 | 審美性が最も高い、自然な色合い |
| フルジルコニア | 約92,400円 | 強度重視、奥歯向き、ややテカリあり |
※ 上記金額は1歯あたりの税込価格の目安です。ブリッジは複数歯に渡るため、総額は本数に比例して加算されます。
自費診療のブリッジは初期費用こそ高いものの、再治療の頻度が少なく、長期的にはコストパフォーマンスが高い選択肢です。見た目・機能・耐久性すべてを重視したい方におすすめです。
次は「🧼 ブリッジのメンテナンスと寿命を延ばすコツ」の執筆も可能です。ご希望があればお申し付けください。
🧼 ブリッジのメンテナンスと寿命を延ばすコツ
歯のブリッジは一度装着すれば終わりではなく、適切なメンテナンスによって寿命を延ばすことが可能です。支台歯が虫歯や歯周病になるとブリッジ全体の再治療が必要になるため、日々のケアが何より重要です。
🪥 ポンティック下の清掃方法|歯間ブラシ活用術
ブリッジの中央部にある人工歯(ポンティック)は、歯茎に接しているため汚れが溜まりやすい部位です。特にポンティックの下部には、**通常の歯ブラシでは届きにくいプラーク(歯垢)**が蓄積します。

そのため、歯間ブラシの併用が必須です。
- ポンティックの裏側に歯間ブラシを通す
- 1日1〜2回、丁寧に前後に動かして清掃する
- 清掃後は水で洗い流し、必要に応じて抗菌洗口剤で仕上げ
歯間ブラシのサイズは、歯科医院で隙間に合ったものを選んでもらうのが理想です。
💦 フッ素やキシリトール、薬用洗口剤の併用
ブリッジ周囲の支台歯は、虫歯や歯周病のリスクが高くなる部位です。以下の補助ケア製品を取り入れることで、日々のセルフケアの質が向上します。
- フッ素入り歯磨き粉:再石灰化を促進し、虫歯予防に有効
- キシリトールガム:唾液分泌を促進し、酸の中和作用を高める
- 薬用洗口剤(例:ポイックウォーターなど):細菌の除去・歯肉炎の予防に効果的
これらを組み合わせることで、支台歯の健康を長く維持しやすくなります。
📆 寿命は「手入れ+素材+支台歯の健康」で決まる
一般的に、保険ブリッジの寿命は5〜10年、自費診療のセラミック系ブリッジでは10〜20年と言われます。ただし、これはあくまで平均値であり、以下の3つの要因によって大きく変動します。
- 手入れの質:歯間ブラシを含めた毎日の清掃習慣
- 使用素材:経年変化の少ないジルコニア・セラミック素材は長持ちしやすい
- 支台歯の状態:支えとなる歯が健康であることが前提
加えて、定期検診でのチェックとプロフェッショナルケアもブリッジ寿命の延命には欠かせません。
正しいメンテナンスを続けることで、ブリッジの寿命は大きく延ばせます。「作ったら終わり」ではなく、一生ものの歯の一部として付き合う意識が重要です。
🔁 他の選択肢と比較したブリッジの特徴
歯を失った場合の治療法には、ブリッジ・インプラント・入れ歯の3つが主に選択肢となります。それぞれに特徴があり、見た目・費用・耐久性・メンテナンスのしやすさなどが異なります。
患者さんの希望や口腔内の状態に応じて、最適な治療法は異なります。以下に3つの治療法を比較した一覧表を示します。
| 項目 | ブリッジ | インプラント | 入れ歯 |
|---|---|---|---|
| 見た目 | ◯(前歯なら自然) | ◎(最も自然) | △(審美性はやや劣る) |
| 耐久性 | △(5〜10年) | ◎(10〜20年以上) | △(数年で調整や作り直しが必要) |
| 保険適用 | ◯(条件あり) | ×(全額自己負担) | ◯(保険適用あり) |
| 隣の歯への影響 | 削る必要あり | 削らない(歯を守れる) | 少ないがバネによる負担あり |
| メンテナンス | 歯間清掃が必須 | 定期的な通院クリーニング | 毎日の取り外し・洗浄が必要 |
🦷 ブリッジ:早く安価に噛む機能を回復できる
ブリッジの最大のメリットは、治療期間が短く保険診療も可能で費用が抑えられることです。3本連結で約2〜5万円(3割負担)で治療できるケースもあります。
ただし、両隣の健康な歯を大きく削る必要があり、長期的に見た場合のリスク(虫歯・歯周病)は否定できません。また、清掃性も落ちるため、歯間ブラシの使用が必須です。
🦷 インプラント:最も自然で長持ちするが高額
インプラントは人工の歯根を顎骨に埋め込む治療法で、見た目・機能ともに天然歯に最も近いとされています。隣の歯を削らないため、残っている歯を守る選択肢としても優れています。
ただし、費用は1本あたり30万〜50万円が相場で、全額自己負担。また、骨の量や全身の健康状態によっては治療が難しいこともあります。
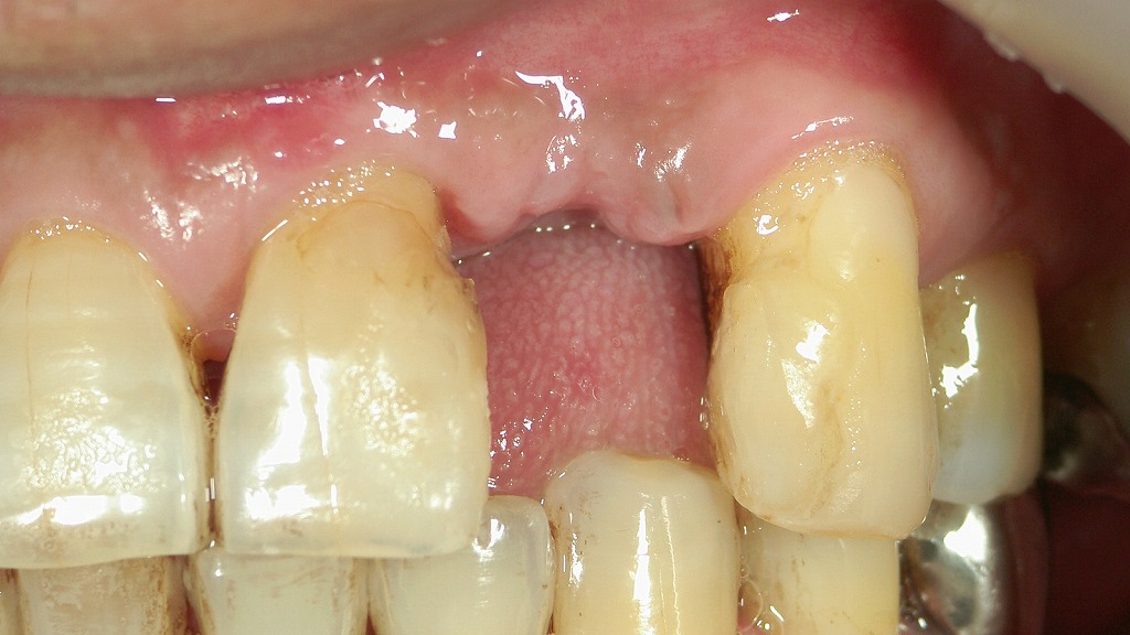
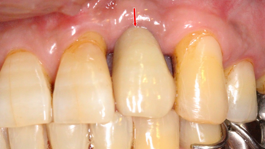
左上2番欠損に対するインプラント治療の経過:欠損から最終補綴装着まで



左上2番欠損に対し、従来のブリッジ治療のように両隣在歯を大きく削る必要がないことから、インプラント治療を選択しました。適切なポジションでインプラントを埋入し、ジルコニアセラミックの上部構造を装着することで、周囲歯を守りながら自然な審美性と咬合機能を回復しています。ブリッジと比べ、隣在歯への負担軽減・清掃性・長期的安定性などで有利となる治療方法であることが、治療結果からも確認できます。
🦷 入れ歯:費用は安いが、見た目・安定性に課題
部分入れ歯は、保険適用が可能で数千円〜1万円程度で作製できるため、最も手軽な治療法といえます。金属のバネをかけて固定するため、支台歯への負担が比較的少ない点も魅力です。
ただし、装着時の違和感や見た目の問題、食べ物が挟まりやすい点などがデメリットとなることも。定期的な調整や作り直しが必要になるケースも多く見られます。
それぞれの治療法には「向き・不向き」があります。費用・見た目・耐久性・健康への影響を比較し、ご自身のライフスタイルに合った選択をすることが重要です。
🙋♀️ よくある質問(FAQ)
Q:保険のブリッジはいくらくらい?
A:保険適用のブリッジは、自己負担3割の場合で約2〜5万円が一般的です。例えば、前歯の3本連結(1歯欠損)では約27,900円、4本連結(2歯欠損)では約34,200円程度が目安です。
ただし、症例によってレントゲン・根管治療・仮歯などの追加費用が発生する場合もあるため、初診時に詳細な見積もりを確認することをおすすめします。
Q:なぜ自費だと高額なの?
A:自費ブリッジは、素材・技術・保証内容が保険と比べて大きく異なるため費用が高くなります。
- 使用素材:セラミックやジルコニアなど、審美性・耐久性の高い材料
- 技術面:CAD/CAMによる精密設計、色合わせの自由度
- 保証制度:破損時の無償修理や数年間の保障が付くことも
費用の目安は1歯あたり9万〜12万円前後、3歯ブリッジで総額30万円前後となるケースが多いです。
Q:ブリッジは何年もつ?
A:一般的な寿命は、保険ブリッジで5〜10年、自費ブリッジで10〜20年程度とされています。ただしこれは平均値であり、以下の要因で寿命は大きく左右されます。
- 毎日のブラッシングや歯間清掃の徹底
- 定期検診でのチェック
- 支台歯の健康状態(虫歯・歯周病)
特にポンティック下の清掃が不十分だと、支台歯のトラブルにより再治療が必要になる可能性があります。
Q:奥歯のブリッジでも保険適用される?
A:はい、奥歯でも保険適用のブリッジは可能です。ただし素材は「銀合金(金属冠)」のみで、見た目は銀色になります。
また、保険適用には次の条件があります:
- 両隣の支台歯が健康で、固定に耐えられること
- 欠損の本数と連結本数が保険算定基準を満たしていること
症例によっては保険外になる場合もあるため、事前に歯科医院で確認するのが安心です。
📍 江戸川区篠崎で歯ブリッジ治療をご検討の方へ

歯を失ってしまったとき、「見た目が気になる」「しっかり噛めなくなった」など、さまざまなお悩みがあるかと思います。当院では、そうした不安に丁寧に寄り添いながら、保険診療・自費診療の両面から最適なブリッジ治療をご提案しています。
保険適用内でしっかり噛める機能を回復したい方はもちろん、見た目や長期的な耐久性を重視したい方には、ジルコニアやメタルボンドなどの自費ブリッジにも対応可能です。
治療内容・費用・素材選びに関しては、事前にわかりやすくご説明し、納得いただいたうえで進めてまいります。
江戸川区篠崎エリアでブリッジ治療をご検討中の方は、まずはお気軽にご相談ください。カウンセリングだけでも大歓迎です。
【🎞️】奥歯を抜歯したまま放置すると?
筆者・院長

深沢 一
Hajime FUKASAWA
- 登山
- ヨガ
メッセージ
日々進化する歯科医療に対応するため、毎月必ず各種セミナーへの受講を心がけております。
私達は、日々刻々と進歩する医学を、より良い形で患者様に御提供したいと考え、「各種 歯科学会」に所属すると共に、定期的に「院内勉強会」を行う等、常に現状に甘んずる事のないよう精進致しております。 又、医療で一番大切な事は、”心のある診療”と考え、スタッフと共に「患者様の立場に立った診療」を、心がけております。


