- 1. 🦷歯の詰め物の種類を徹底比較|保険・自費・コンポジットレジンの違いと選び方
- 1.1. 💡詰め物とは?どんなときに必要?
- 1.2. 🦷歯の詰め物の種類一覧(5種類)
- 1.2.1. ① コンポジットレジン(CR)
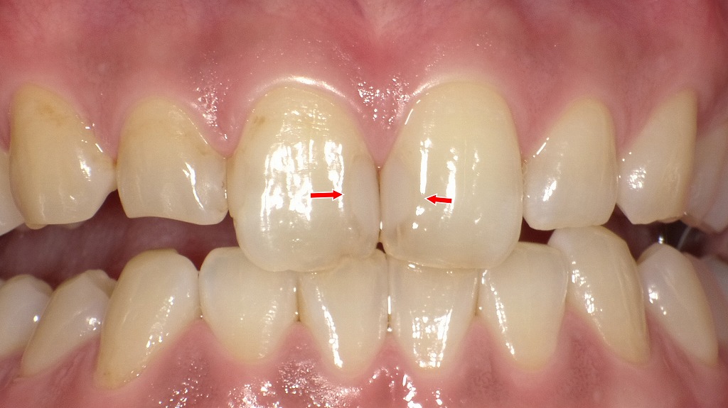
- 1.2.1.1. コンポジットレジン充填直後
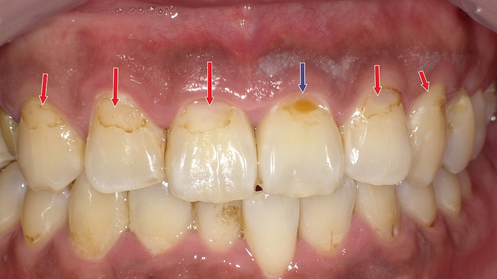
- 1.2.1.2. 経年劣化したコンポジットレジン修復:変色・褐線・脱離の発生例
- 1.2.2. ② 銀歯(金銀パラジウム合金)
- 1.2.3. ③ ゴールドインレー(自費)
- 1.2.4. ④ CAD/CAMインレー
- 1.2.5. ⑤ セラミックインレー(自費)
- 1.2.6. ➅ ジルコニアインレー(自費)
- 1.3. 📊素材別比較表
- 1.4. 💴保険と自費の違いとは?
- 1.5. 👩⚕️こんな人におすすめ!素材選びのポイント
- 1.6. 🕒詰め物の寿命と交換サイン
- 1.7. 🪥詰め物を長持ちさせるケア方法
- 2. 🌈まとめ|目的に合わせて最適な詰め物を選ぼう
- 3. 🩺江戸川区篠崎で虫歯を治したあとの詰め物、見た目や費用で迷う方へ
- 4. 【動画】ステイン着色汚れをクリーニングするエアフロー
- 5. 筆者・院長

虫歯を治療したあと、「どんな詰め物を入れるのがいいの?」と悩んでいませんか?🦷
歯の詰め物には、保険でできるコンポジットレジンや銀歯から、自費のセラミック・ジルコニアまでさまざまな種類があります。
見た目の自然さ、費用、耐久性がそれぞれ異なるため、目的に合った素材選びが大切です。
この記事では、歯科医が詰め物の種類・特徴・メリット・デメリットをわかりやすく比較解説します✨
🦷歯の詰め物の種類を徹底比較|保険・自費・コンポジットレジンの違いと選び方
💡詰め物とは?どんなときに必要?
詰め物(インレー)は、虫歯で削った部分を補うための修復物です。
削る範囲が小さい場合に使用し、歯の形や噛み合わせを元に戻します。
一方、削る範囲が大きい場合は「被せ物(クラウン)」を使用します。
詰め物が必要になる主なケース👇
- 虫歯を削ったあと
- 歯が欠けたとき
- 古い詰め物(銀歯など)が取れた・劣化したとき
🦷歯の詰め物の種類一覧(5種類)

① コンポジットレジン(CR)
コンポジットレジンは、歯と同じ白いプラスチック素材で、保険適用の詰め物です。
治療が1回で終わることも多く、見た目が自然✨。
ただし、着色やすり減りやすさがデメリットです。
🩵 小さな虫歯の治療に最適!
コンポジットレジン充填直後

前歯の小さな虫歯による欠けをコンポジットレジンで精密に修復。色調・透明感・形態を細かく調整することで、充填部の境界が見分けにくいほど自然に仕上がっています。
経年劣化したコンポジットレジン修復:変色・褐線・脱離の発生例

赤矢印は、コンポジットレジン修復の“辺縁部”に生じた褐線(マージンステイン)を示しています。経年劣化によりレジンの微小な隙間に色素が入り込み、変色として現れています。
青矢印は、一部のレジンが脱離した部位を示しており、再治療が必要な状態です。レジン修復は時間の経過とともに摩耗や着色が起こるため、定期的なチェックが重要です。
② 銀歯(金銀パラジウム合金)
銀歯は、保険適用で昔から使われている金属の詰め物。
強度があり、奥歯の噛む力にも耐えられます💪。
一方で、見た目が目立つ・金属アレルギーの心配がある点がデメリットです。

③ ゴールドインレー(自費)
奥歯に装着されたゴールドインレー(ゴールド修復)の症例です。
金合金は歯との適合性が非常に高く、変形しにくいため、長期間にわたり二次虫歯のリスクを抑えられるという特長があります。
また、噛み合わせに調和しやすく、歯への負担が少ないことから、機能性と耐久性を重視した修復治療として現在も高く評価されています。

④ CAD/CAMインレー
CAD/CAMインレーは、セラミックと樹脂を混ぜた白いハイブリッド素材。
条件を満たせば保険で治療でき、銀歯よりも自然な見た目です🌿。
ただし、強度はセラミックよりやや劣ります。

⑤ セラミックインレー(自費)
セラミックインレーは、天然の歯のような透明感があり、審美性と耐久性を両立。
金属を使わないため、金属アレルギーの心配もなし✨。
10年以上長持ちすることもあり、見た目を重視する方におすすめです。
➅ ジルコニアインレー(自費)
ジルコニアインレーは非常に硬く、割れにくい素材💪。
奥歯にも安心して使え、色も白く自然です。
費用は高めですが、耐久性・安定性ともに最上級の素材です。
📊素材別比較表
| 素材 | 見た目 | 耐久性 | 保険適用 | 費用目安 | 寿命の目安 |
|---|---|---|---|---|---|
| コンポジットレジン | ◎ 自然 | △ 劣化あり | 〇 | 約1,000〜3,000円 | 3〜5年 |
| 銀歯 | ✖ 目立つ | ◎ 強い | 〇 | 約2,000〜3,000円 | 5〜10年 |
| CAD/CAM | △ やや白い | △ 普通 | 〇 | 約5,000円前後 | 5〜8年 |
| セラミック | ◎ 美しい | ◎ 強い | ✖ | 約5〜7万円 | 10年以上 |
| ジルコニア | ◎ 白く丈夫 | ◎ 非常に強い | ✖ | 約6〜8万円 | 10〜15年 |
💴保険と自費の違いとは?
- 保険適用素材:コンポジットレジン・銀歯・CAD/CAM
- 自費素材:セラミック・ジルコニア
🩶保険の詰め物は「最低限の機能回復」が目的。
🩵自費の詰め物は「見た目・強度・適合性」まで重視した長期的治療です。
費用の違いだけでなく、見た目の自然さや再治療リスクの少なさも重要なポイントです。
👩⚕️こんな人におすすめ!素材選びのポイント
| 希望・お悩み | おすすめ素材 |
|---|---|
| 安く早く治したい | コンポジットレジン・銀歯 |
| 見た目をきれいにしたい | セラミック・ジルコニア |
| 噛む力が強い | ジルコニア・ゴールド |
| 金属アレルギーがある | コンポジットレジン・セラミック系 |
| 長くもたせたい | セラミック・ジルコニア |
💬小さな虫歯ならコンポジットレジン、大きな虫歯や奥歯には強度のある素材を選ぶと安心です。
🕒詰め物の寿命と交換サイン
次のような症状が出たら交換のタイミングです⚠️
- 詰め物が欠けた・取れた
- 歯と詰め物の間に黒ずみ
- 噛んだときにしみる・痛い
放置すると再び虫歯になるリスクが高まります。
定期検診で早めにチェックしましょう🏥
🪥詰め物を長持ちさせるケア方法
- 丁寧な歯磨き+デンタルフロス🦷
- 甘い物・粘着質の食べ物を控える🍬
- 歯ぎしり防止のマウスピース😬
- 3〜6か月ごとの定期検診🩵
🌈まとめ|目的に合わせて最適な詰め物を選ぼう
詰め物は素材によって見た目・費用・耐久性が大きく変わります。
コンポジットレジンは「安く早く治せる」利点があり、
セラミックやジルコニアは「見た目と長持ち」を両立できます✨
江戸川区篠崎の当歯科クリニックでは、
保険から自費まで幅広い詰め物素材に対応し、
患者さまのご希望・生活スタイルに合わせた最適な治療をご提案しています。
お気軽にご相談ください😊
🩺江戸川区篠崎で虫歯を治したあとの詰め物、見た目や費用で迷う方へ

「銀歯を目立たせたくない」「白く自然な仕上がりにしたい」
そんな方には、コンポジットレジン・セラミック・ジルコニアなど、
自然な見た目と高い耐久性を兼ね備えた白い詰め物治療がおすすめです✨
江戸川区篠崎の当歯科クリニックでは、
歯の状態や噛み合わせを丁寧に診断し、
見た目・機能性・費用のバランスを考えた最適な治療プランをご提案しています。
まずはお気軽にご相談ください🦷
【動画】ステイン着色汚れをクリーニングするエアフロー
筆者・院長

深沢 一
Hajime FUKASAWA
- 登山
- ヨガ
メッセージ
日々進化する歯科医療に対応するため、毎月必ず各種セミナーへの受講を心がけております。
私達は、日々刻々と進歩する医学を、より良い形で患者様に御提供したいと考え、「各種 歯科学会」に所属すると共に、定期的に「院内勉強会」を行う等、常に現状に甘んずる事のないよう精進致しております。 又、医療で一番大切な事は、”心のある診療”と考え、スタッフと共に「患者様の立場に立った診療」を、心がけております。


