- 1. 【📹29秒】 歯周病の手遅れ症状とは?早期発見で歯と健康を守る
- 2. 📘 歯周病とは?見逃されやすい“沈黙の病気”
- 2.1. 🪥 歯周病の基礎知識|なぜ気づきにくいのか
- 2.2. 🧬 歯周病が「手遅れ」とされる理由とは?
- 3. 🚩 歯周病の進行度と“手遅れ”の定義
- 3.1. 🔍 初期〜中期:まだ回復できる段階
- 3.2. ⚠️ 重度・末期の歯周病とは?
- 3.2.1. 🔴 重度の歯周病(末期症状)
- 3.2.2. 🦷 所見の概要
- 3.2.3. ⚠️ 臨床的な注意点
- 3.3. ⏱ どこからが“手遅れ”と判断されるのか
- 4. 🩸 歯周病が手遅れになると現れる症状7選
- 4.1. 🔥 歯茎の腫れ・赤み・裂開
- 4.2. 💦 自然出血・膿の排出
- 4.3. 🦴 歯のぐらつき・上下の動揺
- 4.4. 😮💨 強い口臭や咬合痛
- 4.5. 🦷 歯が抜ける寸前の状態
- 4.6. 📸 レントゲンで見られる骨吸収の進行
- 4.7. 🌍 全身疾患との関連(糖尿病・心疾患・早産など)
- 5. 👀 歯周病“手遅れ症状”の見た目チェック
- 5.1. 🖼 歯茎が大きく腫れている
- 5.2. 🧫 黒い・白い歯石が大量に沈着している
- 5.3. 💉 歯周ポケット10mm以上ある(プロービング所見)
- 6. 🛡 歯周病が手遅れになる前にできる予防法
- 6.1. ⏰ 早期発見の重要性と定期検診
- 6.2. 🪥 正しい歯磨き法(バス法・つまようじ法)
- 6.3. 🧼 PMTC・エアフローなどのプロケア
- 7. 🏥 手遅れと言われた歯周病でも可能な治療法
- 7.1. 💊 歯周外科・再生療法(リグロスなど)
- 7.2. 🦷 抜歯を回避できる条件とは?(歯槽骨3mm以上など)
- 7.3. 🧰 抜歯後の対応(入れ歯・ブリッジ・インプラント)
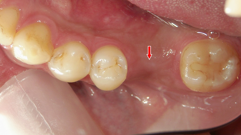
- 7.3.1. 抜歯後の対応として行うインプラント治療の流れ ― 下顎6番欠損症例 ―
- 8. 🧬 若くして歯周病が手遅れになるケースとは?
- 8.1. 👩⚕️ 30代・40代の見落としがちな重症化例
- 8.2. 👦 10〜20代でも要注意!侵襲性歯周炎とは
- 8.3. 🧪 好中球異常やRed Complexなどの関与
- 9. 📌 ライフスタイルと歯周病予防の関係
- 9.1. 🥦 栄養とサプリメントの活用
- 9.2. 🚭 禁煙の重要性と成功のための工夫
- 10. ❓ よくある質問(FAQ)
- 10.1. Q:歯周病が手遅れだと本当に治らない?
- 10.2. Q:痛みがないのに治療すべき理由とは?
- 10.3. Q:進行を止めるにはどの治療がベスト?
- 11. 📍 江戸川区篠崎で重度歯周病の治療をお考えの方へ
- 12. 【動画】歯周病の手遅れの症状
- 13. 筆者・院長

歯周病は、初期には自覚症状がほとんどなく、気づいたときには重症化していることが多い“沈黙の病気”です。
「歯茎が腫れているけど放っておいて大丈夫?」「歯がグラグラしているけど、もう手遅れ?」
そんな不安を抱えていませんか?
実は、“手遅れ”と感じる状態でも、歯を残せる可能性があるケースは少なくありません。
本記事では、歯周病が進行したときに現れる典型的な症状や見た目の変化、
そして手遅れになる前にできる予防法・最新の再生治療法まで詳しく解説します。
「もう抜歯しかない」とあきらめる前に、ぜひこの記事を参考に、ご自身のお口の状態を正しく見極める第一歩を踏み出しましょう。
【📹29秒】 歯周病の手遅れ症状とは?早期発見で歯と健康を守る
📘 歯周病とは?見逃されやすい“沈黙の病気”
歯周病(ししゅうびょう)は、歯を支える歯茎や歯槽骨が炎症を起こし、徐々に破壊されていく病気です。虫歯と違い、痛みをほとんど伴わないため“沈黙の病気”とも呼ばれています。
歯と歯茎の間に溜まったプラーク(歯垢)に含まれる歯周病菌が原因で、初期には歯茎の赤みや出血といった軽微な症状が見られますが、放置すると歯を支える骨が溶け、最終的には歯が抜け落ちてしまうこともあります。

🪥 歯周病の基礎知識|なぜ気づきにくいのか
歯周病は、初期段階では「腫れ」「出血」「口臭」などごく軽い症状しか現れません。しかも痛みがないため、本人が異常に気づかないまま進行してしまうケースがほとんどです。
また、加齢や体質のせいと勘違いしてしまうことも多く、歯科医院で診断される頃にはすでに中〜重度に達していることも珍しくありません。特に、定期検診を受けていない人は、発見が遅れがちです。
🧬 歯周病が「手遅れ」とされる理由とは?
歯周病が「手遅れ」と判断されるのは、歯を支える骨が大きく吸収されてしまった状態です。この段階では歯がグラグラし、噛むと痛みが出たり、歯茎から膿が出るといった深刻な症状が現れます。
最大の問題は、症状が出るころには骨や歯茎の損傷が不可逆であることです。歯を残す治療が難しく、抜歯やインプラントなどの処置が必要になる場合もあります。
そのため、**「症状が出たときには手遅れだった」**というケースが多く、歯周病は早期発見と予防が何より重要なのです。
🚩 歯周病の進行度と“手遅れ”の定義
歯周病は、進行に応じて「初期・中期・重度・末期」と段階が分かれており、それぞれで症状や治療の難易度が異なります。多くの場合、“手遅れ”とされるのは重度以降です。しかし、早い段階で気づけば十分に回復可能です。本章では、各段階の特徴と“手遅れ”と判断される基準について詳しく解説します。
🔍 初期〜中期:まだ回復できる段階
🟢 初期の歯周病(歯肉炎)
- 歯茎が赤くなる
- 歯磨き時に出血する
- 口臭がやや気になる
この段階では、適切なブラッシングと歯科医院でのクリーニング(スケーリング)で完全に元の状態に回復する可能性が高いです。
🟡 中期の歯周病(軽〜中等度の歯周炎)
- 歯茎が下がり、歯が長く見える
- 歯と歯の間にすき間ができる
- 歯周ポケットが深くなる(4〜6mm程度)
- 歯がややグラつく
この段階では、歯を支える骨が部分的に溶け始めており、進行を止めるためには専門的な治療(ルートプレーニングや歯周外科)が必要になりますが、歯を残すことは十分可能です。
⚠️ 重度・末期の歯周病とは?
🔴 重度の歯周病(末期症状)



- 歯周ポケットが7mm以上
- 歯が上下にも動揺する
- 歯茎から膿や強い口臭
- レントゲンで歯槽骨が根の先端付近まで吸収されている
この段階になると、自然治癒は望めず、歯の保存も難しい場合が多くなります。歯を支える構造がほとんど失われているため、噛むと痛みが生じ、日常生活にも支障が出てきます。
このデンタルX線画像では、赤い矢印で示された領域に上顎第一大臼歯(上顎6番)周囲の歯槽骨がほぼ完全に吸収している様子が確認できます。以下に詳しく説明します。

🦷 所見の概要
- 問題の歯:上顎第1大臼歯(6番)
- 歯根の周囲に広範な**X線透過像(黒い領域)**が認められます。
これは骨が失われている(吸収されている)ことを意味します。 - 周囲骨のパターンが消失しており、歯槽骨頂部から根尖部まで連続的に骨吸収が進行しています。
⚠️ 臨床的な注意点
- この骨吸収では、保存治療は困難であることが多いです。
抜歯を検討する段階に達している可能性があります。 - 周囲炎症が強い場合、上顎洞への波及も起こりうるため、CTによる精査が有効です。
- 隣接歯への影響(骨支持の減少や感染拡大)にも注意が必要です。
⏱ どこからが“手遅れ”と判断されるのか
「手遅れ」とされる明確なラインはありませんが、以下の条件がそろうと“抜歯が必要”と判断されるケースが増えます:
- 歯周ポケットが10mm以上
- 歯槽骨の吸収が歯根の先端近くまで進行
- 歯が上下に動揺し、咬合痛がある
- レントゲン上で垂直的骨吸収が顕著
- 歯周組織再生療法の適応外(水平的骨吸収・プラークコントロール不良)
ただし、「手遅れ=必ず抜歯」ではなく、再生療法や歯根分割術(ヘミセクション)などを駆使して残せる場合もあります。早期の相談と正確な診断がカギとなります。
🩸 歯周病が手遅れになると現れる症状7選
歯周病が進行して“手遅れ”と呼ばれる状態になると、日常生活に深刻な影響を与える症状が現れます。以下に、特に代表的な7つの症状を紹介します。
🔥 歯茎の腫れ・赤み・裂開

手遅れの歯周病では、歯茎が赤く腫れあがり、不整形に膨らんだ状態になります。特に黒や白の歯石が沈着した周辺では、炎症が強く、裂けるように歯肉が裂開することもあります。見た目だけでなく、ブラッシング時の痛みや違和感も深刻です。
💦 自然出血・膿の排出


歯周ポケットから自然に血や膿が出るようになったら、かなり進行している証拠です。食事や会話中でもにじむように出血したり、膿の独特な臭いが口腔内に充満します。炎症が組織の奥深くまで広がっているサインです。
🦴 歯のぐらつき・上下の動揺
歯周病が末期に近づくと、歯を支える骨がほとんど吸収され、歯が上下左右にグラグラ動くようになります。日常的に違和感があり、噛むと痛みを感じるケースも多くなります。「上下に動く歯」は抜歯が近い状態といえます。

😮💨 強い口臭や咬合痛
進行した歯周病では、膿と細菌の増殖による強烈な口臭が発生します。また、炎症によって歯根膜に圧がかかり、軽く噛んだだけで激痛が走る咬合痛が起こることも。硬いものはもちろん、柔らかい食べ物ですら噛めなくなります。
🦷 歯が抜ける寸前の状態
末期症状では、歯が自然に抜ける寸前の状態になります。歯根を支える骨がほぼ消失しており、舌や指で軽く触れただけで動く状態です。多くの場合、抜歯を回避するのは困難になります。
📸 レントゲンで見られる骨吸収の進行
レントゲン画像で歯槽骨が根尖近くまで吸収されている場合は、治療が非常に難しくなります。とくに「垂直性骨吸収」が進んでいると、歯周組織再生療法の適応外となることも。プロービングで10mmを超えるポケットも末期の指標です。


🌍 全身疾患との関連(糖尿病・心疾患・早産など)
歯周病菌は血管内に入り込み、糖尿病・心筋梗塞・脳梗塞などの全身疾患を悪化させる要因にもなります。妊娠中の方では、早産や低体重児出産のリスクも指摘されています。歯周病は“口だけの問題”ではなく、全身の健康に影響する病気です。

👀 歯周病“手遅れ症状”の見た目チェック
歯周病は見た目でもある程度の進行度が分かります。とくに重度や末期の症状は、肉眼でも明らかな変化が現れ、セルフチェックの手がかりにもなります。ここでは“手遅れ”とされる状態に見られる特徴的な3つのサインを紹介します。
🖼 歯茎が大きく腫れている
重度の歯周病では、歯茎全体が丸く盛り上がったように腫れあがることがあります。腫れの色は暗赤色〜紫色になり、触るとブヨブヨして痛みや出血を伴う場合も。


- 黒い歯石の周辺:不整形な腫れ+裂け目(裂開)がある
- 白い歯石の周辺:歯茎が丸く、大きく膨らんでいる
- 下前歯・上奥歯:歯石の沈着と合わせて腫れやすい部位
このような腫れは、炎症が歯茎の奥深くまで達しているサインであり、末期の歯周病の典型的な外観です。
🧫 黒い・白い歯石が大量に沈着している
歯周病が長期間放置されると、歯と歯茎の境目に黒色や白色の硬い歯石が大量に付着します。特に下前歯や上奥歯に多く見られ、視診で明らかに確認できます。


- 黒い歯石(縁下歯石):歯周ポケットの奥にでき、重度の炎症の原因に
- 白い歯石(縁上歯石):歯の表面に付着し、目立つことが多い
歯石はバイオフィルムと呼ばれる細菌の塊と共に存在し、自己流の歯磨きでは除去できません。これらが**“手遅れ”の見た目の決定打**になることも多いため、視覚的サインとして非常に重要です。
💉 歯周ポケット10mm以上ある(プロービング所見)
歯周病の進行度を測定する検査である「プロービング」で、歯周ポケットが10mm以上ある場合は、すでに末期の状態とされます。

- 歯周プローブを挿入すると、歯根の先端近くまで達する
- 出血しやすく、膿が出ることも
- レントゲンで確認すると歯槽骨の吸収が顕著
10mm以上の深さは、日常の歯磨きでは届かない領域で、細菌が温存されたままになります。この状態では再生治療(リグロスなど)すら適応外となるケースもあります。
🛡 歯周病が手遅れになる前にできる予防法
歯周病は「沈黙の病気」とも言われるように、気づかぬうちに進行します。しかし、正しい知識とケアを実践すれば予防は可能です。ここでは、手遅れになる前に実践すべき3つの予防法をご紹介します。
⏰ 早期発見の重要性と定期検診
歯周病の進行を防ぐ最も効果的な方法は、早期発見と早期対応です。

- 初期の歯肉炎のうちに治療を行えば完治が可能
- 中等度の歯周炎も、早期対応で抜歯を回避できる
- 自覚症状がなくても進行しているケースが多い
そのためには、3〜6ヶ月ごとの定期検診が不可欠です。歯科医院では、歯周ポケットの測定・出血チェック・レントゲン撮影などにより、肉眼では見えない進行も発見できます。
🪥 正しい歯磨き法(バス法・つまようじ法)
自己流のブラッシングでは歯周病の予防には不十分です。とくに歯周ポケットにプラークがたまりやすい人は、専門的な歯磨き法を実践することが効果的です。

- バス法:歯ブラシの毛先を歯と歯茎の境目に45度の角度で当て、小刻みに動かして磨く
- つまようじ法:歯ブラシの毛先を歯間部に差し込むようにして動かし、歯茎の内側を刺激する方法
これらの方法を継続することで、歯周ポケット内の細菌の除去効果が高まり、炎症の予防に直結します。
🧼 PMTC・エアフローなどのプロケア
自宅でのケアに限界があるため、**歯科医院でのプロフェッショナルケア(プロケア)**を併用することが予防には欠かせません。

- PMTC(プロによる機械的歯面清掃):歯科衛生士が専用器具で歯垢・バイオフィルムを徹底除去
- エアフロー:超微細なパウダーと水流で、着色やプラークを歯の隅々まで除去
とくに、自力で磨ききれない歯周ポケットや歯間部、奥歯の裏側などに効果的で、重症化のリスクを減らすことができます。2〜3ヶ月に1回のプロケアが理想的です。
🏥 手遅れと言われた歯周病でも可能な治療法
「手遅れ」と言われても、すべての歯が抜歯対象になるわけではありません。近年では再生療法や保存療法の進歩により、条件次第で歯を残すことが可能なケースも増えてきました。ここでは、重度歯周病でも行える代表的な治療法をご紹介します。
💊 歯周外科・再生療法(リグロスなど)
進行した歯周病には、通常のスケーリングだけでは不十分なため、歯周外科的アプローチが必要になります。

- フラップ手術:歯茎を開いて深部の歯石や感染組織を徹底除去
- 歯周組織再生療法(リグロス):骨や歯根膜の再生を促す薬剤を注入
特に垂直的な骨吸収が確認できる部位では、保険適用の「リグロス」による再生治療が効果を発揮します。再生の可能性があるうちに治療することが、抜歯回避への鍵となります。
🦷 抜歯を回避できる条件とは?(歯槽骨3mm以上など)
手遅れとされる歯でも、以下の条件を満たす場合は保存が可能です:


- 歯槽骨が3mm以上残存している
- 歯周ポケット内の歯石を完全に除去できる
- プラークコントロールが確実にできている
- 歯根の形状が複雑すぎない(大臼歯は注意)
たとえば、歯根の長い犬歯や小臼歯は保存しやすい傾向があります。保存の可否はレントゲンやプロービングの結果を総合的に評価して判断します。
🧰 抜歯後の対応(入れ歯・ブリッジ・インプラント)
どうしても抜歯が避けられない場合でも、その後の機能回復と審美性の維持が非常に重要です。以下の3つの補綴方法があります:
- 入れ歯:保険適用で費用を抑えられるが、装着感にやや違和感あり
- ブリッジ:両隣の歯を削って支える固定式。見た目が自然
- インプラント:人工歯根を骨に埋め込む方法。自分の歯のように噛めるが、自費治療
どの方法が最適かは、残っている歯の状態・ご年齢・ご希望のライフスタイルによって異なります。専門医と相談しながら、長期的な視点で選択することが大切です。
抜歯後の対応として行うインプラント治療の流れ ― 下顎6番欠損症例 ―



下顎6番を抜歯後、欠損部を放置せずインプラント治療を行った症例です。抜歯後の口腔内所見から、欠損相当部位へのインプラント埋入、さらに上部構造装着後のX線所見までを示しています。インプラントは隣在歯を削ることなく欠損部のみを補えるため、噛み合わせの維持や周囲歯への負担軽減につながります。機能性と長期的な安定性を重視した、抜歯後の有効な補綴治療の一例です。
🧬 若くして歯周病が手遅れになるケースとは?
歯周病は中高年の病気と思われがちですが、実は30代以下でも“手遅れ”の重症化が起こることがあります。とくに気づかれにくい進行パターンや、特殊な疾患が関与するケースでは若年でも深刻な状態に陥ることがあります。
👩⚕️ 30代・40代の見落としがちな重症化例
30代・40代では、生活が忙しく歯科受診を後回しにする人が多く、知らぬ間に歯周病が進行していることがあります。

- 「痛みがないから大丈夫」と思い込み、出血や腫れを放置
- 歯並びの悪さや噛み合わせの問題があり、清掃不良が起きやすい
- 妊娠や更年期のホルモン変化で歯茎の炎症が強く出ることも
結果として、レントゲンで歯槽骨の吸収が6~8mm以上進行している重度症例が30代でも珍しくありません。
👦 10〜20代でも要注意!侵襲性歯周炎とは
10代~20代の若年層でも発症する「侵襲性歯周炎(若年性歯周炎)」は、極めて急速に進行する特殊なタイプの歯周病です。

- 歯石やプラークが少なくても、短期間で歯槽骨が破壊
- 前歯や第一大臼歯に集中的に進行
- 13歳前後から症状が始まることもあり、早期発見が鍵
見た目には比較的きれいな歯でも、強い口臭や歯の動揺が初期サインとして現れることがあり、通常の歯周病とは異なるアプローチが必要です。
🧪 好中球異常やRed Complexなどの関与
若くして重症化する歯周病の背景には、遺伝的要因や免疫機能の異常が隠れている場合もあります。
- 好中球(白血球)の走化能異常により、感染防御が機能せず進行しやすい
- Red Complex(P.g.菌、T.d.菌、T.f.菌)やA.a菌などの強い毒性をもつ歯周病菌が関与
- これらの菌はPCR検査やリアルタイム診断法で検出可能
歯周病は感染症であると同時に、宿主(患者側)の免疫反応にも左右される病気です。若くして症状が強い場合は、遺伝や菌の検査を含む精密診断が重要です。
📌 ライフスタイルと歯周病予防の関係
歯周病の進行や再発には、歯磨きや通院だけでなく、日常生活の習慣=ライフスタイルが大きく関係しています。栄養バランスや喫煙習慣は、歯茎の健康や免疫力に直結するため、見直すことが予防に直結します。

🥦 栄養とサプリメントの活用
歯茎の健康を保つには、ビタミンやミネラルの摂取が不可欠です。とくに以下の栄養素は、歯周病予防・回復に重要な役割を果たします。
- ビタミンC:コラーゲンの生成を助け、歯茎の修復を促進
- ビタミンD:歯槽骨の健康を維持
- カルシウム:歯と骨の強化に不可欠
- ポリフェノール:抗炎症作用で歯茎の炎症を抑える

「▶ Amazonで見る」
「▶ 楽天で見る」
忙しい方や食生活に偏りがある方は、サプリメントの活用も有効な補助手段となります。ただし、過剰摂取には注意し、歯科医師や栄養士の指導のもとでの利用が安心です。
🚭 禁煙の重要性と成功のための工夫
喫煙は、歯周病の最大級のリスクファクターといわれています。タバコに含まれる有害物質は、以下のような悪影響を及ぼします:
- 歯茎の血流が低下し、炎症が治りにくくなる
- 免疫力が低下して細菌に対抗できなくなる
- 歯周病治療の効果が著しく下がる
また、喫煙者は非喫煙者に比べて歯を失うリスクが2〜3倍に高まるという報告もあります。
禁煙のためには:
- 歯科医院での禁煙指導や動機付け支援
- ニコチンパッチなどの補助療法
- 禁煙外来の利用
などを活用することで成功率が大きく高まります。口腔の健康は、全身の健康と密接に関係しているからこそ、今こそ禁煙をスタートするチャンスです。
❓ よくある質問(FAQ)
歯周病に関しては、特に“手遅れ”という言葉が与える印象から、患者さんの間で多くの疑問や誤解が広がっています。ここでは、よく寄せられる3つの質問にお答えします。
Q:歯周病が手遅れだと本当に治らない?
「手遅れ」と聞くと、完全に治療不能と思われがちですが、進行を止めたり、症状を改善したりすることは十分可能です。確かに、歯槽骨が大きく失われた場合は、元の状態に戻すのは難しいですが、以下のような処置で対応できます:
- 歯周外科手術や再生療法(リグロスなど)
- 保存可能な歯の選別と集中治療
- 抜歯後の補綴(入れ歯・ブリッジ・インプラント)で機能回復
つまり、「手遅れ=抜歯確定・放置するしかない」ではありません。状態に応じた適切な治療で、QOL(生活の質)を守ることが可能です。
Q:痛みがないのに治療すべき理由とは?
歯周病の怖さは、症状が進行するまで「痛みがほとんどない」ことにあります。つまり、「痛くないから大丈夫」と思っている間にも、静かに歯槽骨が破壊されている可能性があるのです。
- 歯周病は痛みではなく「出血」「腫れ」「ぐらつき」などが先に出る
- 痛みを感じた時点では重度に進行していることが多い
- 定期検診によるプロービングやレントゲンでの早期発見がカギ
「痛みがない=治療不要」ではなく、「痛くない今こそ治療すべき」タイミングです。
Q:進行を止めるにはどの治療がベスト?
進行した歯周病を止めるには、原因に応じた多角的な治療が必要です。特に重度のケースでは、以下の治療が有効です:
- スケーリング・ルートプレーニング(深い汚れの除去)
- フラップ手術(歯周ポケットを開いて歯石除去)
- 歯周組織再生療法(リグロスなど)
- 生活習慣の改善(禁煙・栄養・セルフケア)
また、歯周病は“治す”というより“止めて維持する”病気です。治療後も、メンテナンスと定期管理を継続することが再発予防に不可欠です。
📍 江戸川区篠崎で重度歯周病の治療をお考えの方へ

「歯がグラグラする」「歯茎から膿が出る」「もう抜歯しかないと言われた」——そんなお悩みをお持ちの方へ。
江戸川区篠崎の当院では、リグロスを用いた歯周組織再生療法をはじめ、可能な限り歯を残す保存的な治療を重視しています。歯周病が重度に進行していても、状態に応じた適切なアプローチで回復を目指すことが可能です。
- ✅ 抜歯と診断された歯でも再評価・保存の可能性あり
- ✅ 垂直性骨吸収があれば保険適用で再生療法が可能
- ✅ 専門的な歯周外科・メンテナンス体制も充実
「もしかして手遅れかも…」と諦める前に、ぜひ一度ご相談ください。カウンセリングだけでも歓迎しております。患者さまの大切な歯を、1本でも多く守るために、全力でサポートいたします。
【動画】歯周病の手遅れの症状
筆者・院長

深沢 一
Hajime FUKASAWA
- 登山
- ヨガ
メッセージ
日々進化する歯科医療に対応するため、毎月必ず各種セミナーへの受講を心がけております。
私達は、日々刻々と進歩する医学を、より良い形で患者様に御提供したいと考え、「各種 歯科学会」に所属すると共に、定期的に「院内勉強会」を行う等、常に現状に甘んずる事のないよう精進致しております。 又、医療で一番大切な事は、”心のある診療”と考え、スタッフと共に「患者様の立場に立った診療」を、心がけております。


