- 1. 【🎞️ 43秒】オフィスホワイトニングのすべて|即効で白くなる理由とおすすめの人
- 2. 🔹 1. オフィスホワイトニングとは?
- 2.1. 🟢 即効性 vs 持続性:ホームホワイトニングとの違い
- 2.2. 🦷 効果が出るメカニズム(過酸化水素・光照射の仕組み)
- 2.3. ❓ 誰におすすめ?適応・適応外のケース
- 3. 🔹 2. 施術の流れを徹底解説
- 3.1. 🟢初日の施術
- 3.2. 2週間後
- 3.3. 🚫 事前の治療が必要な例
- 3.4. ✅ 術前クリーニングが必要な場合
- 4. 🌟 3. すぐに実感できる白さの変化 🌟
- 4.1. ✅1回のオフィスホワイトニング施術直後のビフォーアフター
- 4.2. 1回のオフィスホワイトニングでの色の変化量は?
- 4.3. 約2週間で1シェード~2シェード後戻り
- 4.4. 白さを実感するためには平均2回~3回必要
- 4.5. 1回で10シェード以上の改善は非常な痛みを伴う
- 4.6. ✅2回のオフィスホワイトニング施術直後のビフォーアフター
- 4.7. 2回目を2週間後に行う理由
- 5. 🔹 4. 施術後のケアと注意点
- 5.1. 🚫 ホワイトニング後に避けるべき食べ物(24〜48時間)
- 5.1.1. ❌ 避けるべき飲み物
- 5.1.2. ❌ 避けるべき食べ物
- 5.2. 🪥 適切な歯のケア方法(ホワイトニング後の注意点)
- 5.2.1. 1️⃣ やさしく歯を磨く
- 5.2.2. 2️⃣ こまめにうがいをする
- 5.2.3. 3️⃣ ホワイトニング専用の歯磨き粉を使う
- 5.3. ⏰ 効果を長持ちさせるコツ
- 5.3.1. ✅ 1️⃣ 着色しにくい食事を心がける
- 5.3.2. ✅ 2️⃣ 定期的に歯のクリーニングを受ける
- 5.3.3. ✅ 3️⃣ ホームホワイトニングを併用する
- 5.3.4. ✅ 4️⃣ 禁煙する
- 6. 🔹 5. オフィスホワイトニングのメリット・デメリット
- 6.1. ✅ メリット(オフィスホワイトニングの魅力)
- 6.1.1. 1️⃣ 短時間で白くなる ⏳✨
- 6.1.2. 2️⃣ プロによる施術で安心・安全 🏥🦷
- 6.1.3. 3️⃣ 均一な仕上がり 🎨✨
- 6.2. ⚠️ デメリット(注意すべきポイント)
- 6.2.1. 1️⃣ オフィスホワイトニング後に見られる「すりガラス状」の変化
- 6.2.2. 2️⃣ 一時的な知覚過敏のリスク ⚡🦷
- 6.2.3. 3️⃣ 定期的なメンテナンスが必要 🔄
- 7. 🔹 6. 副作用とリスク
- 7.1. ⚠️ 知覚過敏の可能性
- 7.1.1. 🦷 知覚過敏が起こる理由
- 7.1.2. ✅ 知覚過敏を軽減する方法
- 7.2. 🦷 歯へのダメージはある?
- 7.2.1. ✅ 歯のダメージを最小限にするポイント
- 7.3. 🛡 安全性と注意すべきポイント
- 7.3.1. 1️⃣ 妊娠中・授乳中のホワイトニングは避ける
- 7.3.2. 2️⃣ 差し歯や被せ物には効果がない
- 7.3.3. 3️⃣ 虫歯や歯周病がある場合は事前に治療
- 7.3.4. 4️⃣ 安価すぎるホワイトニングには注意
- 8. 🔹 7. まとめ
- 8.1. ✅ ホワイトニングオフィスのポイント総まとめ
- 8.2. 💡 あなたに合ったホワイトニング方法の選び方
- 8.2.1. 🔹 オフィスホワイトニングが向いている人
- 8.2.2. 🔹 ホームホワイトニングが向いている人
- 8.2.3. 🔹 デュアルホワイトニング(オフィス+ホーム)が向いている人
- 8.3. 🏥 おすすめのクリニック情報(選び方のポイント)
- 8.3.1. 🔹 クリニック選びのチェックポイント
- 9. 江戸川区篠崎でオフィスホワイトニングをお探しの方へ
- 10. 【動画】ホームホワイトニングの効果的なやり方
- 11. 筆者・院長

💭**「ホワイトニングって、ただ汚れを落とすだけ?」**
実はそれだけではありません。ホワイトニングは、歯の表面の着色を落とすだけでなく、歯の内部の色素にも働きかけて白さを引き出す治療法です。
この記事では、ホワイトニングの基本的な仕組みや一般の歯磨き粉との違いをわかりやすく解説します。
「本当に白くなるの?」「どんな成分が入っているの?」といった疑問をお持ちの方も、ぜひ参考にしてみてください🦷✨
【🎞️ 43秒】オフィスホワイトニングのすべて|即効で白くなる理由とおすすめの人
🔹 1. オフィスホワイトニングとは?
オフィスホワイトニングとは、歯科医院で専門的に行われるホワイトニング施術のことです。歯の表面に過酸化水素や過酸化尿素を含むホワイトニング剤を塗布し、LEDライトやレーザー光を照射することで漂白を促します。一般的に、1回の施術で歯の白さを実感できる即効性が特徴ですが、白さの持続にはメンテナンスが必要です。
🟢 即効性 vs 持続性:ホームホワイトニングとの違い
| 比較項目 | オフィスホワイトニング | ホームホワイトニング |
|---|---|---|
| 施術場所 | 歯科医院 | 自宅 |
| 使用する薬剤 | 高濃度の過酸化水素 | 低濃度の過酸化尿素 |
| 施術時間 | 1回約60〜90分 | 1日数時間を2週間程度 |
| 効果の即効性 | 1回で効果を実感 | 徐々に白くなる |
| 持続性 | 約3〜6ヶ月 | 約6ヶ月〜1年 |
| 費用 | 高め(数万円〜) | 比較的安価(数千円〜) |
| 知覚過敏のリスク | 高め | 低め |
✔ オフィスホワイトニングは「すぐに白くしたい人」向け!
✔ ホームホワイトニングは「白さを長持ちさせたい人」向け!
🦷 効果が出るメカニズム(過酸化水素・光照射の仕組み)
オフィスホワイトニングの仕組みは、過酸化水素を主成分とするホワイトニング剤が、歯の表面やエナメル質の着色物質を分解することで白さを引き出します。
🧪【過酸化水素の作用】
- 有機物を酸化分解し、歯の内部の着色を除去
- 歯のエナメル質を透過しやすい構造に変え、より白く見せる
💡【光照射の役割】
- 光を当てることで過酸化水素の分解を促進し、短時間で効果を高める
- 使用される光の種類:
- LEDライト(ブルーライト) → 効果が高く、安全性が高い
- レーザー光 → 短時間で強力な効果を発揮
❓ 誰におすすめ?適応・適応外のケース

✅ オフィスホワイトニングが適している人
✔ 結婚式や就活など、短期間で白い歯にしたい人
✔ 歯の黄ばみが気になる人(加齢・コーヒー・タバコの着色)
✔ ホームホワイトニングを継続するのが面倒な人
❌ 適応外または注意が必要な人
⚠ 妊娠中・授乳中の方 → 安全性が確立されていないため推奨されない
⚠ 重度の知覚過敏がある方 → 一時的に症状が悪化する可能性あり
⚠ 人工歯(差し歯・被せ物)がある方 → 天然歯のみが白くなるため、色の違いが目立つ
⚠ 虫歯や歯周病がある方 → 事前に治療が必要
🔹 2. 施術の流れを徹底解説
オフィスホワイトニングは歯科医院で行う専門的な施術で、短時間で歯を白くすることができます。ここでは、施術の流れをステップごとに詳しく解説します。
🟢初日の施術
ステップ
事前カウンセリング
施術前に、歯科医師や歯科衛生士がカウンセリングと口腔内のチェックを行います。
✅ カウンセリング内容
- 歯の状態や希望の白さを確認
- ホワイトニングの仕組み・効果・リスクの説明
- 虫歯・歯周病・詰め物の状態をチェック(必要なら先に治療)
- 治療費の説明

ステップ
📝 術前診査について
- 術前診査の費用はホワイトニング料金に含まれています。
- ただし、診査の結果、歯科的な問題が見つかった場合には、**さらに詳しい検査(レントゲン等)**を行うことがあります。
- 詳細検査が必要な際は、患者様の同意を得た上で実施いたします。
- 妊婦の方を除き、レントゲン撮影を行う可能性があるため、念のため保険証の持参をおすすめしています。
⚠️ 歯科的問題と判断されるケース
以下のような場合には、当日すぐにホワイトニングが受けられない可能性があります:
- 虫歯がある
- 歯ぎしりが強い
- 重度の歯周病がある
- 無カタラーゼ症である
- 妊娠中である
- 多量の歯石が付着している
💰 歯科治療を希望される場合の費用
診断の結果、歯科疾患が見つかり、治療を希望される場合には、
→ ホワイトニング費用に加えて、
→ **初診料および治療費(保険適用)**が別途発生いたします。

ステップ
レントゲン撮影
虫歯や歯周病などの歯科疾患のある場合は、レントゲンを撮ります。ホワイトニング前に治療が必要か診断します。

ステップ
簡単なクリーニング
簡単な術前クリーニングを行います。しっかりやり過ぎると知覚過敏が出やすいのでプラークの除去を目的とします。簡単なクリーニングは治療費に含まれます。

ステップ
口腔内写真撮影
術前の歯の色を撮影します。術後も比較のために口腔内写真撮影をします。

ステップ
ガムダム塗布
薬剤の刺激から歯茎を保護するガムダムを塗布します。

ステップ
ホワイトニング薬剤の塗布
歯の表面にホワイトニング剤(過酸化水素)を塗布します。
✅ 薬剤の特徴
高濃度の過酸化水素(35%前後)を使用
歯のエナメル質の着色を分解し、白さを引き出す

ステップ
光照射
12分×8分×8分の3回光照射を行います。各回ごとに薬剤をふき取り新しい薬剤を歯面に塗布し、光照射します。3回の光照射が完了したら薬剤を綺麗に清掃してフッ素コーティングして終了です。
⚠️ 注意点
- 光照射中は目を保護するゴーグルを装着
- 知覚過敏を感じた場合は、すぐに施術者に伝える

2週間後
ステップ
2回目の施術
一般的にオフィスホワイトニングは2回~3回行うと高い効果が期待できます。2週間後、一連の流れで同じ施術をします。

🚫 事前の治療が必要な例

小さい虫歯や楔状欠損
小さな虫歯や楔状欠損がある場合にはグラスアイオノマー(フジⅨ)で暫間充填(仮詰め)します。 グラスアイオノマーの封鎖性は20日間ほど期待できます。
ホワイトニング 終了後2週間以上経過した後でコンポジットレジン充填を行います。 施術直後に充填処置を行わないのは、ホワイトニング終了直後はコンポジットレジンの接着性が極めて低下しているためです。
施術により白くなるシェードを事前に予測し、前もってコンポジットレジンを充填してもかまわないかもしれませんが、 その場合歯の色のタイプの診断が重要です。

切端の咬耗
切端部がすり減っていると施術中に知覚過敏が起こる事があります。 切端部の強いすり減りに対しては、ホワイトニングによって白くなると予測されるシェードでコンポジットレジン充填をしても審美的な支障はないと考えます。
すり減りの度合いが少なく、風をかけても凍みない場合には、歯肉を保護するガムダム(レジン製)で切端部を覆ってホワイトニングしてもよいと思われます。
✅ 術前クリーニングが必要な場合

術前
大量なステインが付着しています。

術後
エアフローによるクリーニング後です。

エアフローでクリーニング
オフィスホワイトニング前の歯面クリーニングは注意が必要です。
強くやり過ぎると施術中の痛みの原因になるからです。
タバコのヤニや茶渋が頑固にこびりついている場合には、エアフローでクリーニングを行います。ホワイトニングの施術はクリーニングの日から2週間後となります。
🌟 3. すぐに実感できる白さの変化 🌟
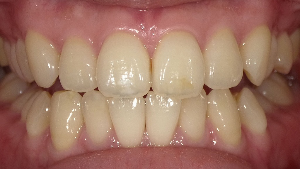
✅1回のオフィスホワイトニング施術直後のビフォーアフター
当院のビヨンドホワイトニング(オフィスホワイトニング)で1回施術した症例です。どのくらい白くなるか効果を確認してください。シェードは、明度順にB1< A1< B2< D2< A2< C1< C2< D3< A3< D4< B3< A3.5< B4< C3< A4< C4の16段階になります。B1が一番明るく、C4が一番暗い色です。

術前(症例1)
術前はA3.5シェードです。

術後(症例1)
術後はA3シェードに白くなっています。3シェードの変化です。まだ十分な白さとは言えないでしょう。

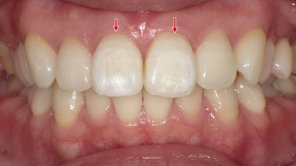
術前(症例2)
術前はA3シェードです。上顎の歯にはホワイトスポットが目立ちます。

術後(症例2)
術後はA2シェードまで白くなっています。4シェードの変化です。ホワイトスポットは全体が白くなったことで、目立たなくなっています。

術前(症例3)
術前はA3シェードです。

術後(症例3)
術後はA2シェードまで白くなっています。4シェードの変化です。もう少し白さが欲しいところです。

術前(症例4)
術前はA2シェードです。

術後(症例4)
術後はA1シェードまで白くなっています。3シェードの変化です。ほぼ満足できる水準ですが、あと1回やればさらに少し白くなりそうですね。

術前(症例5)
術前はA4シェードです。

術後(症例5)
術後はA3シェードまで白くなっています。6シェードの変化です。白さを実感できるまでには、あと2回やる必要がありそうですね。

術前(症例6)
術前はA3シェードです。

術後(症例6)
術後はA2シェードに白くなっています。4シェードの変化です。ただし、2週間ほどで1~2シェード程色戻りがあります。

術前(症例7)
術前はA2シェードです。元々かなり白いタイプですね。

術後(症例7)
術後はA1シェードまで白くなっています。3シェードの変化です。ただし、2週間ほどで1~2シェード程色戻りがあります。

術前(症例 8)
術前はA1シェードです。元々かなり白いタイプですね。

術後(症例 8)
術後はホワイトニング専用のシェードガイド(B1よりさらに白い)W1くらいの白さになっています。
1回のオフィスホワイトニングでの色の変化量は?
5シェード~7シェードの変化
写真は、シェード10の色がシェード5まで白くなったことを示しています。
1回では目標とする白さまで到達出来ないことがわかります。1回のオフィスホワイトニングで色の変化量は概ね5シェード~7シェードです。
ただし、約2週間で1シェード~2シェード後戻りします。つまり、オフィスホワイトニングで目標の左のシェード1の白さにするにはシェード10の色なら2回、シェード15の色なら3回程度実施する必要があることが分かります。
約2週間で1シェード~2シェード後戻り
シェードは、明度順にB1< A1< B2< D2< A2< C1< C2< D3< A3< D4< B3< A3.5< B4< C3< A4< C4の16段階になります。

実質3シェード~5シェードの変化
1回のオフィスホワイトニングでは平均5シェード~7シェード歯を白くすることが出来ますが、2週間経つと1シェード~2シェード後戻りを起こすため、実質、3シェード~5シェードの変化ということになります。
白さを実感するためには平均2回~3回必要
オフィスホワイトニングのシェード変化は個人差があるため、確定的なことは言えませんが、最も変化しずらい例を挙げるとすると、A4シェードがA1シェードになるためには4回必要になる場合があります。
平均的には白さを実感出来る回数は2回~3回です。
1回で10シェード以上の改善は非常な痛みを伴う
日本人は欧米人に比べエナメル質の厚みが薄いので、1度のオフィスホワイトニングで10シェード以上の変化を望むのは非常な痛みを伴うため無理があります。
✅2回のオフィスホワイトニング施術直後のビフォーアフター
当院のビヨンドホワイトニングによるオフィスホワイトニング2回実施での白さの変化です。どのくらい白くなるか効果を確認してください。約2週間の間隔を置いて2回目を行います。

術前(症例1)
術前はA3シェードです。

2回実施後(症例1)
2回実施後はA1シェードに白くなっています。約7シェードの変化です。十分満足出来る白さと言えるでしょう。

術前(症例2)
術前はA1シェードです。元々歯が白い症例です。

2回実施後(症例2)
2回実施後はホワイトニング専用シェードガイド(B1よりさらに白い)W2シェードまで白くなっています。

術前(症例3)
術前はA3シェードです。

2回実施後(症例3)
術後はA1シェードまで白くなっています。約7シェードの変化です。歯が白くなったことで人工歯(右上2番)が目立ってきました。

術前(症例4)
術前はA3シェードです。

2回実施後(症例4)
術後はA1シェードまで白くなっています。ほぼ満足できる水準ですが、あと1回やればさらに白さが安定しそうですね。

術前(症例5)
術前はA3.5シェードです。

2回実施後(症例5)
術後はA2シェードまで白くなっています。約7シェードの変化です。白さを実感できるまでには、あと1回やる必要がありそうですね。
2回目を2週間後に行う理由
2週間後は、色の後戻りが完全に終了した時点であること、施術間隔が短いと施術中や施術後に強い痛みを起こすことがあるためです。
次のセクションでは、施術後のケアと注意点について詳しく解説します! 😊
🔹 4. 施術後のケアと注意点
オフィスホワイトニング後の歯は、一時的に色が付きやすい状態になっています。施術後のケアをしっかり行うことで、白さを長持ちさせることができます。ここでは、避けるべき食べ物、適切な歯のケア方法、効果を長持ちさせるコツを詳しく解説します!
🚫 ホワイトニング後に避けるべき食べ物(24〜48時間)
ホワイトニング直後の歯は、エナメル質が一時的に柔らかくなり、着色しやすい状態になっています。そのため、以下の色の濃い食べ物・飲み物はNGです。
❌ 避けるべき飲み物
| 🚫 飲み物 | 理由 |
|---|---|
| ☕ コーヒー | タンニンが多く、着色しやすい |
| 🍵 緑茶・紅茶・ウーロン茶 | ポリフェノールによる着色 |
| 🍷 赤ワイン | 酸が強く、着色成分が多い |
| 🥤 コーラ・ジュース | 酸性が強く、歯の表面を傷つける |
❌ 避けるべき食べ物
| 🚫 食べ物 | 理由 |
|---|---|
| 🍛 カレー | スパイスの色素が沈着しやすい |
| 🍅 トマトソース | 酸性が強く、色素が残りやすい |
| 🍫 チョコレート | 油分と色素が歯に付着しやすい |
| 🍊 柑橘類 | 酸が強く、歯の表面を傷める |
💡 👉「ホワイトニング後の48時間は “白い食べ物” を意識すると◎!」
🪥 適切な歯のケア方法(ホワイトニング後の注意点)
1️⃣ やさしく歯を磨く
- ホワイトニング直後の歯はデリケートなため、研磨剤の少ない歯磨き粉を使用
- 知覚過敏用の歯磨き粉(シュミテクトなど) がおすすめ
2️⃣ こまめにうがいをする
- 外出時に色のついた飲食を避けられない場合は、すぐに水で口をゆすぐ
- フッ素入りの洗口液を使用すると、歯の強化にも◎
3️⃣ ホワイトニング専用の歯磨き粉を使う
- ホワイトニング後の白さをキープする成分(ポリリン酸・ハイドロキシアパタイト)が配合された歯磨き粉を選ぶ
💡 👉「歯の表面を傷つけない優しいケア」が大切!
⏰ 効果を長持ちさせるコツ
✅ 1️⃣ 着色しにくい食事を心がける
- ホワイトニング後48時間は「ホワイトフード」を意識!
- おすすめの食べ物・飲み物
- 🥛 水・牛乳・白ワイン
- 🍚 白米・食パン・鶏肉・豆腐・ヨーグルト
- 🥗 キャベツ・大根・じゃがいも
✅ 2️⃣ 定期的に歯のクリーニングを受ける
- 3〜6ヶ月に1回の歯科クリーニングで着色を防ぐ
- 歯の表面のステインを取り除くことで、白さをキープしやすくなる
✅ 3️⃣ ホームホワイトニングを併用する
- ホームホワイトニングを併用すると、色戻りを防げる
- オフィスホワイトニング後に週1回程度のホームホワイトニングをすると効果UP!
✅ 4️⃣ 禁煙する
- タバコの**ヤニ(タール)**が歯にこびりつくと、ホワイトニングの効果が台無しに!
💡 👉「食生活+適切なケア+メンテナンス」で白さを長持ち!
🔹 5. オフィスホワイトニングのメリット・デメリット
オフィスホワイトニングは、歯科医院で専門的なホワイトニングを受けられるため、多くのメリットがあります。しかし、一方で費用や知覚過敏などのデメリットも存在します。ここでは、それぞれを詳しく解説します。
✅ メリット(オフィスホワイトニングの魅力)
1️⃣ 短時間で白くなる ⏳✨
- 1回の施術(約60〜90分)で効果を実感!
- 過酸化水素の高濃度薬剤+光照射の相乗効果で即効性◎
- 重要なイベント(結婚式・就活・面接)の直前でも対応可能
💡 👉 「すぐに歯を白くしたい!」という方に最適!
2️⃣ プロによる施術で安心・安全 🏥🦷
- 歯科医師・歯科衛生士が施術を担当するため、適切な処置が可能
- 歯の健康状態を事前にチェックし、安全な範囲で施術
- **歯ぐき保護剤(歯肉プロテクター)**を塗布し、薬剤による刺激を最小限に
💡 👉 自分でやるホームホワイトニングよりも、安心感が高い!
3️⃣ 均一な仕上がり 🎨✨
- ホワイトニング剤をムラなく均一に塗布
- 専用機器を使って光照射するため、色むらが出にくい
- 前歯の美しさを最大限に引き出せる
💡 👉 「ナチュラルで綺麗な白さ」に仕上がるのが特徴!
⚠️ デメリット(注意すべきポイント)
1️⃣ オフィスホワイトニング後に見られる「すりガラス状」の変化


💡 👉 一時的に歯の表面が脱水し、白さが強調されることで、エナメル質が**すりガラス状(チョーキー)**に見えることがあります。
この変化は多くの場合、時間の経過とともに唾液が行き渡ることで自然に改善していきます。
2️⃣ 一時的な知覚過敏のリスク ⚡🦷
- 高濃度の過酸化水素を使用するため、施術後に歯がしみることがある
- 知覚過敏がある人は、痛みを感じやすい
- 冷たい飲み物や熱い飲み物がしみることも…
💡 👉 知覚過敏用の歯磨き粉(シュミテクトなど)で事前ケアが有効!
3️⃣ 定期的なメンテナンスが必要 🔄
- オフィスホワイトニングの効果は3〜6ヶ月程度
- 食生活(コーヒー・ワイン・カレー)によって着色が進行しやすい
- 1年に2〜3回の施術を推奨(メンテナンスコストがかかる)
💡 👉 「白さを長持ちさせたい」なら、ホームホワイトニングとの併用がベスト!
🔹 6. 副作用とリスク
オフィスホワイトニングは、短期間で歯を白くできるメリットがある一方で、知覚過敏や歯への影響など、いくつかのリスクも考慮する必要があります。ここでは、副作用と注意点について詳しく解説します。
⚠️ 知覚過敏の可能性
🦷 知覚過敏が起こる理由
- ホワイトニング剤に含まれる過酸化水素がエナメル質を通過し、象牙質に刺激を与えるため
- 光照射の熱によって一時的に神経が敏感になることがある
- 特にエナメル質が薄い人は、しみる症状が出やすい
✅ 知覚過敏を軽減する方法
✔ 施術前後に知覚過敏用の歯磨き粉を使う(シュミテクト、アパガードなど)
✔ 施術後24時間は、冷たい・熱い飲み物を避ける
✔ ホワイトニング剤の濃度を調整してもらう(知覚過敏がひどい場合)
✔ フッ素コーティングを施術後に行い、歯の再石灰化を促進
💡 👉 知覚過敏は一時的なもので、通常1〜2日で治まることがほとんど!
🦷 歯へのダメージはある?
「ホワイトニングをすると歯が傷む?」と心配する方も多いですが、正しく施術すれば基本的に歯がボロボロになることはありません。 しかし、いくつかの注意点があります。
✅ 歯のダメージを最小限にするポイント
✔ 強すぎる研磨剤入りの歯磨き粉を使わない(エナメル質を傷める原因に)
✔ ホワイトニング直後は酸性の強い飲食物を避ける(歯の表面がデリケートな状態)
✔ 頻繁にホワイトニングを繰り返さない(歯の脱水・ダメージを防ぐ)
✔ ホワイトニング後にフッ素コーティングを行い、歯の表面を保護
💡 👉 適切な間隔(3〜6ヶ月に1回)でホワイトニングを行えば、歯へのダメージを防げる!
🛡 安全性と注意すべきポイント
1️⃣ 妊娠中・授乳中のホワイトニングは避ける
- ホワイトニング剤の安全性は確立されていないため、妊娠中・授乳中は控えるのがベスト
2️⃣ 差し歯や被せ物には効果がない
- ホワイトニングは天然歯のみが白くなるため、詰め物・差し歯・セラミックなどには効果なし
- 色のバランスが崩れることがあるため、事前に歯科医と相談を!
3️⃣ 虫歯や歯周病がある場合は事前に治療
- 虫歯や歯周病があると、ホワイトニング剤が神経に刺激を与え、痛みが悪化する可能性あり
- 治療後にホワイトニングを行うのが安全!
4️⃣ 安価すぎるホワイトニングには注意
- 市販の激安ホワイトニング(自己処理)は、効果が弱い or 歯を傷める可能性がある
- 歯科医院での施術 or 信頼できるホームホワイトニング製品を選ぶことが重要!
💡 👉「安さ」よりも「安全性」を優先し、信頼できるクリニックを選ぼう!
🔹 7. まとめ
オフィスホワイトニングは、短期間で歯を白くする効果的な方法ですが、施術方法や注意点を理解し、自分に合った方法を選ぶことが大切です。ここでは、オフィスホワイトニングのポイント総まとめ、最適なホワイトニング方法の選び方、クリニック選びのコツを解説します。
✅ ホワイトニングオフィスのポイント総まとめ
✅ 短時間で白くなる(1回で2〜5トーンUPも可能)
✅ 専門家による施術で安心・安全
✅ ホワイトニング直後は色の濃い飲食物を避ける必要あり
✅ 効果を長持ちさせるには定期的なメンテナンスが重要
✅ 知覚過敏が出ることもあるが、通常は1〜2日で治まる
💡 👉 正しいケアをすれば、オフィスホワイトニングの白さを長期間維持できる!
💡 あなたに合ったホワイトニング方法の選び方
🔹 オフィスホワイトニングが向いている人
✔ 短期間で歯を白くしたい(結婚式・面接・イベント前など)
✔ プロの施術で確実に白くしたい
✔ ホームホワイトニングの手間をかけたくない
🔹 ホームホワイトニングが向いている人
✔ 自然な白さを長持ちさせたい
✔ コストを抑えて自宅でホワイトニングをしたい
✔ 知覚過敏が心配で、低濃度の薬剤を使いたい
🔹 デュアルホワイトニング(オフィス+ホーム)が向いている人
✔ オフィスホワイトニングで短期間で白くし、その白さを長期間キープしたい
✔ メンテナンスの手間を減らしながら、できるだけ白さを維持したい
💡 👉 目的に応じて「オフィス」「ホーム」「デュアル」を選択しよう!
🏥 おすすめのクリニック情報(選び方のポイント)
🔹 クリニック選びのチェックポイント
✅ 料金体系が明確か(追加料金がかからないか)
✅ 使用するホワイトニング剤や施術方法(LED・レーザーなど)を確認
✅ 口コミ・評判が良いか(実際の体験談をチェック)
✅ 知覚過敏対策があるか(低刺激のホワイトニングが可能か)
✅ アフターケア・メンテナンスが充実しているか
💡 👉 価格・施術方法・評判を比較しながら、自分に合ったクリニックを選ぼう!
江戸川区篠崎でオフィスホワイトニングをお探しの方へ

白く輝く歯で、第一印象をワンランクアップしませんか?では
、短時間で効果を実感できるオフィスホワイトニングを提供しています。
✅ 1回の施術で歯が2〜5トーンホワイト!
✅ 専門的なケアで安全&知覚過敏対策も万全!
✅ 忙しい方でも60分で完了!
江戸川区篠崎エリアで、確実に歯を白くしたい方はぜひご相談ください。
📍篠崎駅から徒歩1分!
💬まずはお気軽にお問い合わせを!
【動画】ホームホワイトニングの効果的なやり方
筆者・院長

深沢 一
Hajime FUKASAWA
- 登山
- ヨガ
メッセージ
日々進化する歯科医療に対応するため、毎月必ず各種セミナーへの受講を心がけております。
私達は、日々刻々と進歩する医学を、より良い形で患者様に御提供したいと考え、「各種 歯科学会」に所属すると共に、定期的に「院内勉強会」を行う等、常に現状に甘んずる事のないよう精進致しております。 又、医療で一番大切な事は、”心のある診療”と考え、スタッフと共に「患者様の立場に立った診療」を、心がけております。



