- 1. 【📹 31秒】根分岐部病変とは?重度歯周病による歯槽骨吸収とその治療法
- 2. 📌 根分岐部病変とは?その概要と発生メカニズム
- 2.1. 🧠 根分岐部の解剖学的特徴
- 2.2. 🔥 なぜ歯槽骨が破壊されるのか
- 3. 🧪 根分岐部病変の分類|LindheとGlickmanによる指標
- 3.1. 🧾 Lindhe(リンデ)の分類|1度〜3度の解説
- 3.2. 🧾 Glickman(グリックマン)の分類|4つの進行度
- 4. 🚨 根分岐部病変の主な原因と悪化要因
- 4.1. 🦠 歯周病との関係
- 4.2. 🚬 喫煙・ストレス・咬合圧などの生活習慣要因
- 4.2.1. 🚬 喫煙の影響
- 4.2.2. 😣 ストレスの影響
- 4.2.3. 😬 咬合力(かみ合わせ)の過剰
- 4.3. 🧬 遺伝や全身疾患の関与
- 4.3.1. 💉 糖尿病
- 4.3.2. 🦴 骨粗しょう症
- 4.3.3. 🛡 免疫不全
- 4.3.4. 🧬 遺伝的特性
- 5. 👀 根分岐部病変の症状と進行過程
- 5.1. 🔍 初期症状
- 5.2. ⚠️ 進行した場合の症状
- 6. 🧪 診断方法と使用機器
- 6.1. 🧫 視診とプロービング
- 6.2. 🖼 レントゲン・歯科用CTによる可視化
- 6.3. 📋 全身状態と生活習慣の問診
- 7. 🛠 根分岐部病変の治療法
- 7.1. 🧹 初期治療(スケーリング・ルートプレーニング)
- 7.2. 🔬 外科的治療(フラップ手術・再生療法)
- 7.2.1. 🔎 フラップ手術
- 7.2.2. 💉 GTR法・リグロス・エムドゲイン
- 7.2.3. 🛠 トンネリング手術
- 7.3. 🔬 歯周外科(フラップ手術)による治療例 (リンデの分類1度〜2度)
- 7.3.1. フラップ手術の術式
- 7.4. 🛠 トンネリング手術の症例 (リンデの分類3度)
- 7.5. ✂️ ルートセパレーション(歯根分割)
- 7.5.1. ✅ 適応条件
- 7.5.2. 🛠 補綴方法とその利点
- 7.6. ❌ 最終手段|抜歯とその後の選択肢
- 7.6.1. インプラント治療により機能回復
- 7.6.2. 6番欠損に対する5・6・7番ブリッジ|7番の重度歯周病による歯槽骨吸収で抜歯に至った症例
- 8. 🪥 根分岐部病変の予防と再発防止策
- 8.1. 🧼 セルフケアの徹底ポイント
- 8.1.1. 🪥 歯間ブラシやウォーターピックの活用
- 8.1.2. 🪥 正しいブラッシングとデンタルリンスの活用法
- 8.2. 📆 歯科医院での定期検診とメインテナンス
- 8.2.1. 🧑⚕️ プロによるスケーリングとモチベーション管理
- 9. 💬 よくある質問(FAQ)
- 9.1. ❓ 根分岐部病変は自然に治る?
- 9.2. ❓ どの治療が保険適用になる?
- 9.3. ❓ 抜歯を避けたい場合、どうすれば?
- 9.4. ❓ 治療後の再発予防には何が有効?
- 10. 💸 治療費用と保険適用の目安
- 10.1. 🪙 初期治療は保険内で対応可能
- 10.2. 💰 外科的再生治療の費用(GTR/エムドゲイン)
- 10.2.1. 🔹 GTR法(組織再生誘導法)
- 10.2.2. 🔹 エムドゲイン
- 10.2.3. 🔹 リグロス(保険適用)
- 10.3. 🏥 インプラント・ブリッジの費用相場と選び方
- 10.3.1. 🔹 インプラント
- 10.3.2. 🔹 ブリッジ
- 10.3.3. 🔹 義歯(入れ歯)
- 11. 📝 まとめ|根分岐部病変と向き合うために
- 12. 📍 江戸川区篠崎で根分岐部病変の治療をご希望の方へ
- 13. 筆者・院長

「歯ぐきが腫れる」「歯がグラつく」「噛むと違和感がある」──そんな症状がある方は、根分岐部病変が進行している可能性があります。
根分岐部病変とは、奥歯に多く見られる歯の根の分かれ目(根分岐部)にまで歯周病が進行し、歯を支える骨が破壊される状態のこと。進行すればするほど、治療が難しくなり、最悪の場合は抜歯を余儀なくされることもあります。
本記事では、根分岐部病変の原因・分類・症状・診断・治療法・予防法までを網羅的に解説します。歯を守るために知っておきたい情報を、わかりやすく丁寧にご紹介しますので、ぜひ最後までご覧ください。
【📹 31秒】根分岐部病変とは?重度歯周病による歯槽骨吸収とその治療法
📌 根分岐部病変とは?その概要と発生メカニズム
🧠 根分岐部の解剖学的特徴

「根分岐部病変」とは、歯の根っこが複数に分かれている部分(根分岐部)に炎症が及び、歯槽骨が破壊される病態を指します。とくに大臼歯に多く見られ、治療やセルフケアが難しくなるため、歯周病の中でも重度のステージとされます。
上顎の大臼歯は通常「3つの歯根(3根)」、下顎の大臼歯は「2つ(まれに3つ)の歯根」を持ち、それぞれの根の分岐部が根分岐部にあたります。この部分は構造が複雑で凹凸が多いため、歯ブラシの毛先が届きにくく、プラークや歯石が溜まりやすいという特徴があります。
そのため、通常の歯みがきやフロスでは汚れが取りきれず、炎症が起こりやすくなります。一度炎症が広がると骨吸収が進行しやすく、歯がグラグラする、噛むと痛いといった症状が出やすいのが特徴です。
🔥 なぜ歯槽骨が破壊されるのか
根分岐部病変の最大の要因は、歯周病の進行による歯槽骨の破壊です。口腔内のプラーク(細菌のかたまり)が歯ぐきの境目にたまることで、まず歯肉に炎症が起きます。この状態が放置されると、プラークが石灰化して歯石になり、さらに炎症が深部へ進行します。
やがて炎症は、歯を支えている骨(歯槽骨)にまで及び、骨が吸収されることで、歯が揺れる、歯ぐきが腫れる、膿が出るといった症状が出てきます。
とくに根分岐部は一度病変が進行すると、器具も届きにくく、治療が難航するエリアです。歯周病の「見逃されやすく、かつ重症化しやすいポイント」と言えるでしょう。
🧪 根分岐部病変の分類|LindheとGlickmanによる指標
根分岐部病変の進行度を正確に評価することは、治療方針の決定や予後の判断に非常に重要です。代表的な評価法として、Lindhe(リンデ)の分類とGlickman(グリックマン)の分類の2つがよく用いられます。
🧾 Lindhe(リンデ)の分類|1度〜3度の解説
Lindheの分類では、水平的に歯周プローブを挿入したときの深さによって、病変を3段階に分けて評価します。視診ではわかりにくい分岐部の病変を、客観的に診断する際に有効です。
1度
1度(Grade I)
根分岐部にごくわずかに病変が及んでいる状態。
プローブが歯の幅径の1/3以内までしか挿入できません。
➡ 非外科的治療(スケーリング・ルートプレーニング)での改善が期待できる段階。

2度
2度(Grade II)
病変がより進行し、歯の幅径の1/3以上までプローブが挿入されるが、完全には貫通しない状態。
➡ 外科的治療(フラップ手術やGTR法など)が検討される段階。

3度
3度(Grade III)
プローブが根分岐部を完全に貫通する状態。視診では分岐部が開放されていることも多い。
➡ 再生療法やトンネリング、場合によっては抜歯やルートセパレーションが必要となる。

🧾 Glickman(グリックマン)の分類|4つの進行度
Glickmanの分類は、より臨床的な視点に立った4段階の進行度評価で、治療戦略の立案に役立つ国際的な基準です。
- タイプⅠ(Grade I)
骨吸収はごくわずかで、プローブの挿入はできないか、非常に浅い。
➡ 早期発見で非外科的対応が可能。 - タイプⅡ(Grade II)
分岐部に明らかな骨吸収が認められ、プローブは挿入可能だが反対側には抜けない(貫通しない)。
➡ GTR法やフラップ手術が選択肢に入る段階。 - タイプⅢ(Grade III)
根分岐部が完全に貫通しており、反対側からプローブが出る。
➡ トンネリング・ルートセパレーションなどの複雑な外科的治療が必要。 - タイプⅣ(Grade IV)
完全貫通かつ肉眼でも分岐部が確認できるほど重度。歯肉退縮を伴う場合が多い。
➡ 抜歯も視野に入る難治性ステージ。
どちらの分類も、歯周ポケットの深さだけでなく、分岐部の構造や清掃性、治療後の予後などを考慮した判断が求められます。歯科医師はこれらの評価をもとに、適切な治療法を選び、患者と共有することが重要です。
🚨 根分岐部病変の主な原因と悪化要因
根分岐部病変は、複数の要因が絡み合って発症・進行する疾患です。原因を正しく理解し、生活習慣や全身の健康を見直すことが、発症予防と再発防止につながります。
🦠 歯周病との関係

もっとも大きな要因は歯周病の進行です。
歯と歯ぐきの境目にたまったプラーク(細菌のかたまり)が、やがて石灰化して歯石となり、歯ぐきに炎症を引き起こします。これが歯周病の始まりです。
歯周病が進行すると、歯と歯ぐきの間に「歯周ポケット」が形成され、さらに深部に細菌が侵入。やがて歯槽骨(歯を支える骨)まで炎症が及び、骨が溶けて根分岐部にまで到達すると、治療が困難な「根分岐部病変」となります。
とくに大臼歯の分岐部は歯ブラシが届きにくく、汚れがたまりやすい場所。毎日のケア不足が病変進行を加速させるリスクとなります。
🚬 喫煙・ストレス・咬合圧などの生活習慣要因
🚬 喫煙の影響
タバコに含まれるニコチンなどの有害物質は、歯ぐきへの血流を低下させ、免疫機能を弱める作用があります。
その結果、炎症が治りにくくなり、歯周病が進行・悪化しやすくなるのです。喫煙者は非喫煙者に比べて、根分岐部病変の発症率や再発率が高いことが知られています。
😣 ストレスの影響
ストレスが長期間続くと、唾液の分泌量が減少し、口腔内の自浄作用が弱まります。さらに、無意識の歯ぎしりや食いしばりなどが増えることで、歯や歯周組織に過剰な力がかかり、根分岐部への負担が増す原因になります。
😬 咬合力(かみ合わせ)の過剰
かみ合わせが強すぎたり、歯ぎしりが習慣化していると、奥歯に過大な力が集中しやすく、歯槽骨や分岐部にダメージが蓄積されます。結果として、骨の吸収や病変の進行が加速してしまいます。
🧬 遺伝や全身疾患の関与
💉 糖尿病
糖尿病の人は免疫機能が低下し、細菌に対する抵抗力が弱くなるため、歯周病や根分岐部病変のリスクが高くなります。さらに、歯周病が血糖コントロールを悪化させるという相互関係もあるため、早期対応が必要です。
🦴 骨粗しょう症
骨密度の低下により、歯槽骨ももろくなりやすく、炎症に対する抵抗力が下がります。これにより、わずかな歯周病でも分岐部にまで病変が及びやすくなる傾向があります。
🛡 免疫不全
HIVや自己免疫疾患などの疾患では、歯周病菌に対する体の防御機構が働きにくくなり、急速に病変が進行するケースがあります。
🧬 遺伝的特性
炎症に対する過剰反応や、骨代謝に関与する遺伝子に異常があると、通常よりも歯周組織が破壊されやすい体質になります。家族に歯周病が多い方は、根分岐部病変の発症リスクにも注意が必要です。
👀 根分岐部病変の症状と進行過程
根分岐部病変は、初期には自覚症状が少なく、気づかないうちに進行することが多い疾患です。しかし、進行すると日常生活に大きな支障をきたす症状が現れます。段階ごとの特徴を知ることで、早期発見・早期治療につなげましょう。
🔍 初期症状
根分岐部病変の初期段階では、以下のような軽度な歯周病症状が見られます。
- 歯ぐきがわずかに腫れる
- 歯みがき時に出血する
- 歯が浮いたような違和感がある
- 口臭が気になる
これらの症状は、一時的なものとして見過ごされがちですが、実際には根分岐部への炎症が始まっているサインである可能性があります。「痛みがないから大丈夫」と放置せず、気になる変化があれば早めに歯科を受診しましょう。
⚠️ 進行した場合の症状
根分岐部にまで炎症が広がると、次第に重度の歯周病に近い症状が現れます。
- 歯がぐらぐら動く
- 噛んだときに痛みや不快感がある
- 歯ぐきに膿がたまる(排膿)
- 歯ぐきが腫れて赤くなる
- 歯が抜け落ちることもある
とくに膿が出る、強い痛みがある、歯が揺れるといった症状は、根分岐部病変がかなり進行しているサインです。この段階では、通常のクリーニングでは改善せず、外科的治療や再生療法が必要になる可能性が高くなります。
根分岐部病変は「気づきにくい・治りにくい・再発しやすい」三拍子揃った難治性疾患です。だからこそ、日常のちょっとした変化に敏感になることが最大の予防策となります。
🧪 診断方法と使用機器
根分岐部病変は、外から見ただけでは分かりにくい歯周病のひとつです。的確な診断には、専門的な器具や画像診断を組み合わせる必要があります。ここでは、歯科医院で行われる主な診断方法をご紹介します。

🧫 視診とプロービング
まずは歯ぐきの状態や歯の動揺(グラつき)を目視で確認します。その上で、**歯周ポケットの深さを測る「プロービング検査」**を行います。
プロービングとは、専用の細い器具(プローブ)を使って歯周ポケットに挿入し、どこまで器具が入るかを測定する検査です。根分岐部に対しては、湾曲した特殊なプローブを使用し、水平方向からの挿入具合によって進行度(Lindhe分類など)を判定します。
この検査により、見た目ではわからない隠れた病変も早期に発見することができます。
🖼 レントゲン・歯科用CTによる可視化
視診やプロービングで異常が疑われた場合は、レントゲン(X線)撮影や歯科用CTスキャンによる詳細な画像診断を行います。
- **レントゲン写真(デンタルX線)**では、歯槽骨の吸収状態や歯根の形態を確認できます。
- **歯科用CT(3D画像診断)**では、根分岐部の構造や骨の立体的な状態を正確に把握することができます。
とくにCTは、分岐部の深さや貫通の有無、骨再生治療の可能性を評価するうえで非常に有効です。
📋 全身状態と生活習慣の問診
診断の際には、患者さんの全身の健康状態や生活習慣も重要な評価項目になります。
- 糖尿病や骨粗しょう症、自己免疫疾患などがある場合は、病変の進行が早かったり、治療効果が出にくかったりすることがあります。
- また、喫煙歴・ストレス状況・ブラッシング習慣など、生活スタイルも病気のリスクに大きく影響します。
これらを踏まえて、「今どの段階か」だけでなく「どの治療が適切か」「予後がどうなるか」までを総合的に判断するのが、根分岐部病変の診断の特徴です。
🛠 根分岐部病変の治療法
根分岐部病変の治療は、進行度や歯の状態、患者の希望に応じてさまざまな方法が選択されます。軽度であれば非外科的処置で改善可能な場合もありますが、進行度によっては外科的処置や歯根の分割、抜歯も選択肢となります。
🧹 初期治療(スケーリング・ルートプレーニング)
病変がLindhe分類の1度程度であれば、非外科的治療が第一選択となります。
- スケーリング:歯の表面や歯ぐきの中に付着した歯石・プラークを除去
- ルートプレーニング:歯根面を滑らかに整えて、再付着を防ぐ処置
これらの処置は保険適用で行える場合が多く、費用は1回あたり数千円程度と比較的低コストです。
しっかりとしたセルフケアと併用することで、症状の進行を抑えることが可能です。
🔬 外科的治療(フラップ手術・再生療法)
病変が2度以上に進行している場合、外科的治療が必要になることがあります。
🔎 フラップ手術
歯ぐきを切開して目視下で深部の歯石や炎症組織を除去する方法です。治療後に歯肉の位置を再調整することで、セルフケアがしやすくなる利点があります。
💉 GTR法・リグロス・エムドゲイン
歯槽骨の再生が必要な場合には、歯周組織再生療法が選択されることもあります。
- GTR法(組織再生誘導法):再生膜で歯周組織の再生を促す方法(自費診療)
- リグロス:保険適用される再生薬剤
- エムドゲイン:歯根膜の再生を促すたんぱく質由来の薬剤(自費診療)
🛠 トンネリング手術
根分岐部が貫通しているLindhe分類3度の重度症例では、分岐部を意図的に露出させて清掃性を高める「トンネリング手術」が行われることがあります。
術後は歯間ブラシやウォーターピックを使った丁寧なセルフケアが必要です。
🔬 歯周外科(フラップ手術)による治療例 (リンデの分類1度〜2度)
下顎6番のデンタルレントゲン
下顎6番のデンタルレントゲン画像です。歯槽骨の水平的吸収が進んでいますが、根分岐部には骨があるように写っています。
ただし、湾曲したプローブを挿入してみると頬側からはかなり入ります。舌側からはほぼ入らない状態でした。
フラップ手術の術式
step
頬側の歯茎切開
頬側の歯肉縁に沿って歯茎切開し、粘膜骨膜弁を剥離します。頬側(頬っぺた側)から水平的にプローブを挿入すると、根分岐部病変が歯の幅径の 2/3 入りました。
目視下で不良肉芽組織や歯石を徹底的に除去します。今回は使用しませんでしたが、リグロスという歯周組織再生剤(保険適用)を根分岐部病変に填入する治療も考えられます。

step
舌側の歯茎切開
舌側の歯肉縁に沿って歯茎切開し、粘膜骨膜弁を剥離します。舌側から水平的にプローブを挿入しても骨があるため入りません。
リンデ(Lindhe)の分類では2度に相当します。

step
縫合
歯茎を縫合してフラップ手術は終了です。ここまで保険適用の治療です。

🛠 トンネリング手術の症例 (リンデの分類3度)
下顎6番・7番デンタルレントゲン
リンデの分類3度の症例にフラップ手術を行うと歯茎は下がります。分岐部病変部まで下がらなければ、歯肉切開をして強制的に歯肉を下げ分岐部病変を露出させます。
この治療をトンネリング(トンネル形成術)と言います。
歯間ブラシでメインテナンス
トンネルないの清掃は歯間ブラシを使います。奥歯なので歯間ブラシの扱いに慣れるまで時間がかかる患者さんもいます。
どうしてもうまくいかない場合はウォーターピックを使用すると良いでしょう。
✂️ ルートセパレーション(歯根分割)
歯根分岐部の清掃が困難な場合には、**歯を2本に分割する治療法「ルートセパレーション」**が選ばれることがあります。
✅ 適応条件
- 神経のない歯(根管治療済み)
- 歯根の形が開いていて分割が可能な場合
🛠 補綴方法とその利点
分割した歯根にそれぞれコア(土台)を立て、金属冠を装着。これにより、歯間にすき間ができて歯間ブラシが通るようになり、清掃性が大幅に向上します。
この治療法は、抜歯を回避しながら機能を長く保てる点で、非常に有効です。
❌ 最終手段|抜歯とその後の選択肢
病変が重度で、骨の再生も難しく、歯の保存が不可能と判断される場合は、最終的に抜歯が選択されることもあります。
抜歯後の対応としては、以下のような補綴治療が行われます。
- インプラント治療:人工歯根を埋め込み、機能と見た目を回復(費用は30万~50万円程度)
- ブリッジ:両隣の歯を土台にして歯を補う方法(保険/自費どちらもあり)
- 義歯(入れ歯):比較的低コストで治療可能だが、使用感に個人差あり
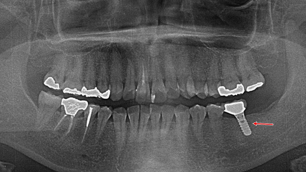
インプラント治療により機能回復

歯を抜歯したまま放置すると、噛み合わせの乱れや周囲の歯の移動、顎の骨の吸収が進むことがあります。
レントゲン画像の矢印部は、抜歯後にインプラント治療を行い、失った歯の機能と噛み合わせを回復した例です。
インプラントは、周囲の歯を削らずに単独で補える治療法で、見た目だけでなく「しっかり噛める」状態を長期的に維持できる選択肢の一つです。
6番欠損に対する5・6・7番ブリッジ|7番の重度歯周病による歯槽骨吸収で抜歯に至った症例

上顎6番欠損に対して、5・6・7番を支台としたブリッジ治療が行われていた症例です。
レントゲン像では、7番周囲の歯槽骨が著しく吸収しており(矢印部)、重度歯周病による支持骨の喪失が認められます。ブリッジの支台歯として長期間負担が集中したことも一因となり、保存は困難と判断し7番は抜歯に至りました。
欠損補綴では、支台歯の歯周状態を含めた長期的な予後評価が重要であることを示す症例です。
根分岐部病変の治療は、「いかに歯を残せるか」だけでなく、「その後も清掃しやすく、長く維持できるか」を重視した判断が求められます。治療法の選択は、歯科医師としっかり相談した上で、自分に合った方法を選ぶことが大切です。
🪥 根分岐部病変の予防と再発防止策
根分岐部病変は、進行すると治療が難しく、再発しやすい歯周病の一形態です。だからこそ、「予防」と「治療後のメンテナンス」がとても重要です。以下では、今日からできる予防法と再発防止のポイントをご紹介します。

🧼 セルフケアの徹底ポイント
🪥 歯間ブラシやウォーターピックの活用
根分岐部は構造が複雑なため、通常の歯ブラシだけでは清掃が不十分になりがちです。特に歯ぐきが下がって分岐部が露出している場合には、歯間ブラシや**ウォーターピック(口腔洗浄器)**の併用が効果的です。
- 歯間ブラシは、分岐部に直接差し込んで汚れをかき出すのに有効です。
- ウォーターピックは、水流で細かい隙間や分岐部の奥まで洗浄できます。
▶ 適切なサイズや使い方は、歯科衛生士の指導を受けると安心です。
🪥 正しいブラッシングとデンタルリンスの活用法
毎日の歯みがきは、力任せに磨くのではなく、歯ぐきのキワに毛先を当てて優しく磨くことが基本です。磨き残しを防ぐには、電動歯ブラシの活用もおすすめです。
また、**抗菌作用のあるデンタルリンス(洗口液)**を使用することで、口腔内の細菌数を減らし、炎症の再発を防ぐ助けになります。
📆 歯科医院での定期検診とメインテナンス
🧑⚕️ プロによるスケーリングとモチベーション管理
セルフケアだけではどうしても取りきれない歯石や汚れは、**歯科医院でのプロフェッショナルケア(PMTC)**で取り除くことが大切です。
- 3〜6ヶ月に1回のペースで**定期検診とスケーリング(歯石取り)**を受けましょう。
- 歯科衛生士が根分岐部に適した清掃法を個別指導してくれるため、自宅でのケアがぐっと効果的になります。
また、治療後も**「モチベーション管理」=意識づけの継続**が重要です。
再発の多くは、「治ったからもう大丈夫」と思ってしまい、ケアを怠ることが原因です。
根分岐部病変は「治すこと」よりも「予防し続けること」が鍵となります。歯科医院と協力して、自分の歯を一生守るケアを続けましょう。
💬 よくある質問(FAQ)
患者さまからよくいただく「根分岐部病変」に関するご質問にお答えします。ご自身の状態や治療方針を理解する参考にしてください。
❓ 根分岐部病変は自然に治る?
自然治癒は期待できません。
根分岐部は汚れが溜まりやすく、歯周病菌の温床になりやすい構造です。一度歯槽骨が破壊されると、自然に元の状態に戻ることはありません。放置すると病変がさらに進行し、歯のぐらつきや脱落のリスクが高まります。
早期のスケーリングやルートプレーニングで進行を抑えられる場合もあるため、違和感がある時点での受診が大切です。
❓ どの治療が保険適用になる?
以下の治療は保険適用されることがあります(症状・診療報酬制度により変動あり):
- スケーリング・ルートプレーニング(軽度〜中等度)
- フラップ手術(条件付き)
- リグロスを使用した歯周組織再生療法(一定条件を満たす場合)
一方、以下は**原則自由診療(保険適用外)**です:
- GTR法・エムドゲインなどの再生療法
- インプラント治療
- 精密な歯周外科やルートセパレーションにおける補綴処置の一部
治療前に費用の見積もりや保険の適用範囲を歯科医院で確認することをおすすめします。
❓ 抜歯を避けたい場合、どうすれば?
早期発見・早期治療が最大のカギです。
以下の治療で歯を残せる可能性があります:
- 初期〜中等度の場合:スケーリングやフラップ手術
- 進行例でも条件が合えば:GTR法、トンネリング、ルートセパレーション
また、治療後のセルフケアと定期的なプロケアを継続することで、再発を防ぎながら長期的に歯を維持することが可能です。
❓ 治療後の再発予防には何が有効?
以下の4つが再発予防の基本です:
- 正しいブラッシングと歯間ブラシ・ウォーターピックの併用
- デンタルリンスの活用で菌の繁殖を抑制
- 3〜6ヶ月ごとの歯科メンテナンス
- 喫煙・ストレスの管理や全身疾患のコントロール
再発を防ぐには、「治して終わり」ではなく、継続的に守っていく意識が必要です。
不安や疑問があれば、遠慮なく歯科医師や歯科衛生士に相談しましょう。
💸 治療費用と保険適用の目安
根分岐部病変の治療は、症状の進行度や治療方法によって費用が大きく異なります。ここでは、代表的な治療法ごとの費用と保険適用の可否についてご案内します。
🪙 初期治療は保険内で対応可能
軽度の根分岐部病変に対して行われる**スケーリング(歯石除去)やルートプレーニング(歯根の滑沢化処置)**は、保険診療内で対応可能です。
- 3割負担の患者さまの場合、1回あたり1,000〜3,000円程度
- 複数回に分けて処置する場合が一般的
定期的なスケーリングを続けることで、病変の進行を抑えることができます。
💰 外科的再生治療の費用(GTR/エムドゲイン)
中等度〜重度の症例で行われる外科的治療や再生療法の費用は、保険と自費で大きく異なります。
🔹 GTR法(組織再生誘導法)
- 自費診療のみ
- 1歯あたり5万〜15万円前後
- 吸収性メンブレンや人工骨などの材料費が加算されます。
🔹 エムドゲイン
- 自費診療
- 1回あたり6〜12万円前後
- 歯根膜の再生を促す薬剤で、成功率が高いですが高額です。
🔹 リグロス(保険適用)
- 条件を満たせば保険適用が可能
- 3割負担で1歯あたり1万〜2万円程度
※適用条件は歯周組織の欠損形態や歯の保存状態によって変わるため、事前の診断と見積もり確認が必須です。
🏥 インプラント・ブリッジの費用相場と選び方
歯の保存が難しく抜歯となった場合は、補綴治療(人工歯での補い)が必要です。選択肢によって費用や見た目、機能性が異なります。
🔹 インプラント
- 自費診療
- 1本あたり30〜50万円前後
- 見た目・機能性に優れ、長期的に安定しやすい
🔹 ブリッジ
- 保険 or 自費の選択が可能
- 保険適用:数千〜数万円
- 自費治療(セラミックなど):10〜20万円前後
- 両隣の歯を削る必要があるため、健康な歯への影響がある
🔹 義歯(入れ歯)
- 保険内で対応可能
- 初回:5,000〜15,000円程度
- 自費義歯(軽量・審美性重視):10万円以上
治療法の選択によって、今後のメンテナンス費用や再治療のリスクも変わってきます。費用だけで判断せず、長期的な健康と予後を見据えて選択することが大切です。
📝 まとめ|根分岐部病変と向き合うために
根分岐部病変は、早期発見と早期治療が何よりも大切です。進行すればするほど治療が難しくなり、最悪の場合は抜歯という選択を迫られることもあります。
しかし、初期の段階であれば、保険内の処置で進行を止めたり、歯を残すための外科的治療が可能です。
重要なのは、「自覚症状が出てから」ではなく、「気づかないうちに始まっている可能性がある」と考えることです。
また、根分岐部病変は治療して終わりではなく、治療後のセルフケアと歯科医院での定期管理を一体として継続することが、歯を長く守るためのカギとなります。
- 🪥 毎日の正しいブラッシングと歯間ケア
- 📆 歯科での定期的なチェックとプロケア
- 🚫 喫煙・ストレス・食生活の見直し
これらを組み合わせて、再発を防ぎ、自分の歯を一生使えるようにしていきましょう。
気になる症状がある方、以前に歯周病の指摘を受けたことがある方は、どうぞお早めに歯科医院へご相談ください。
私たち歯科医は、あなたの大切な歯を守るために全力でサポートします。
📍 江戸川区篠崎で根分岐部病変の治療をご希望の方へ

江戸川区篠崎にある当院では、歯をできるだけ残すことを重視した歯周病治療に力を入れており、根分岐部病変に対する専門的な診断・治療にも対応しています。
「歯がグラグラする」「噛むと違和感がある」といった症状は、奥歯の根分岐部にまで炎症が進行しているサインかもしれません。進行した歯周病は、放置すると抜歯のリスクが高まりますが、早期に適切な処置を行えば歯を残せる可能性も十分にあります。
当院では、保険診療による基本治療から、リグロスやフラップ手術、必要に応じたルートセパレーションなど高度な処置まで、患者様一人ひとりに最適な治療プランをご提案しています。
江戸川区篠崎周辺で「なるべく歯を抜かずに治療したい」とお考えの方は、ぜひ一度当院へご相談ください。分かりやすい説明と丁寧な診療で、あなたの大切な歯を守るお手伝いをいたします。
筆者・院長

深沢 一
Hajime FUKASAWA
- 登山
- ヨガ
メッセージ
日々進化する歯科医療に対応するため、毎月必ず各種セミナーへの受講を心がけております。
私達は、日々刻々と進歩する医学を、より良い形で患者様に御提供したいと考え、「各種 歯科学会」に所属すると共に、定期的に「院内勉強会」を行う等、常に現状に甘んずる事のないよう精進致しております。 又、医療で一番大切な事は、”心のある診療”と考え、スタッフと共に「患者様の立場に立った診療」を、心がけております。







