- 1. 【🎞️35秒】お菓子じゃないガム?リカルデントで歯を守る新習慣
- 2. 🔍リカルデントガムの基本情報
- 2.1. 🧪CPP-ACPとは?|むし歯予防のメカニズム
- 3. 🛡️リカルデントガムが初期むし歯に効く理由まとめ
- 3.1. ①CPP-ACPの再石灰化作用で歯を修復
- 3.2. ②初期むし歯(CO)は削らずに自然修復が可能
- 3.3. ③酸性環境(pH5.5以下)で脱灰が進む
- 3.4. ④乳歯や6歳臼歯は特にケアが重要
- 3.5. ⑤歯頚部の白濁にも注意を
- 4. 🧪キシリトールとフッ素の併用でむし歯予防効果を最大化!
- 4.1. 🍬キシリトールで唾液分泌&再石灰化をサポート
- 4.2. 💡キシリトールは100%タイプの併用もおすすめ
- 4.3. 🦷フッ素でも再石灰化が促進される
- 4.4. 🧴フッ素の使い方は3通り
- 4.5. 🔄成分と作用の違い
- 5. ✨ホワイトスポット(白い斑点)は再石灰化で改善できる?
- 5.1. 🦷リカルデントガムで初期のホワイトスポットをケア
- 5.2. 🧴MIペーストで集中的な再石灰化ケア
- 5.3. 🛠️白濁が強い場合は「アイコン」による審美修復
- 6. 📌こんな方におすすめ!リカルデントガムの活用シーン
- 6.1. 🎓矯正中の方や歯列矯正後のケアに
- 6.2. 🍭間食が多い方や虫歯リスクが高い方
- 6.3. 👵高齢者の口腔ケアサポートとして
- 7. 🧂原材料・栄養成分を徹底解説
- 7.1. 🔬CPP-ACPの含有量はどれくらい?
- 7.2. 📊カロリーや糖質は?ダイエット中でも安心?
- 7.3. ⚠️アレルギーや乳製品との関係に注意
- 8. ❓よくある質問(FAQ)
- 8.1. ❔ リカルデントガムはいつ噛むのが効果的?
- 8.2. ❔ どれくらいの頻度で噛むのがベスト?
- 8.3. ❔ 妊娠中や授乳中でも使える?
- 9. 📝まとめ|リカルデントガムは日常の口腔ケアの一助に!
- 10. 🦷江戸川区篠崎でむし歯予防をもっと手軽に!リカルデントガムで毎日のケアを強化しませんか?
- 11. 【動画】初期虫歯COを削らずに自分で治す方法
- 12. 筆者・院長

「リカルデントガムって普通のガムと何が違うの?」そんな疑問を持ったことはありませんか?
実はこのガム、歯を“強くする”ために作られた、ちょっと特別なガムなんです。
むし歯を防いだり、歯の表面を修復したりと、日々の口腔ケアに役立つリカルデントのひみつを、わかりやすくご紹介します。
【🎞️35秒】お菓子じゃないガム?リカルデントで歯を守る新習慣
🔍リカルデントガムの基本情報
リカルデントガムは、むし歯の始まりを防ぐ成分「CPP-ACP」を配合した機能性ガムで、歯の再石灰化を促す効果が注目されています。一般の市販ガムと異なり、歯科医師も推奨する“口腔ケアに特化したガム”として、子どもから大人まで幅広く支持されています。
🧪CPP-ACPとは?|むし歯予防のメカニズム
CPP-ACP(カゼインホスホペプチド・非結晶リン酸カルシウム)は、牛乳由来のタンパク質から作られた成分で、歯のエナメル質を修復する働きを持ちます。口の中に残った酸によって歯から溶け出したカルシウムやリンを補給し、再石灰化をサポート。これにより、初期むし歯の進行を防ぐ効果が期待されます。
🛡️リカルデントガムが初期むし歯に効く理由まとめ
リカルデントガムは「噛むだけ」で手軽に歯の健康をサポートできる優れたアイテムです。特にむし歯の予防や初期段階での進行抑制において、多くの歯科専門家からも高評価を得ています。以下、その主な効果とメリットをご紹介します。
①CPP-ACPの再石灰化作用で歯を修復

- リカルデントガムに含まれるCPP-ACPは、唾液中のカルシウムとリンを歯に効率よく届け、再石灰化を促進します。
- 再石灰化とは、むし歯菌の酸によって溶け出したミネラルを補う自然修復作用です。
- 再石灰化が進むことで、エナメル質の結晶構造が強化され、酸に溶けにくい歯質へと変化します。
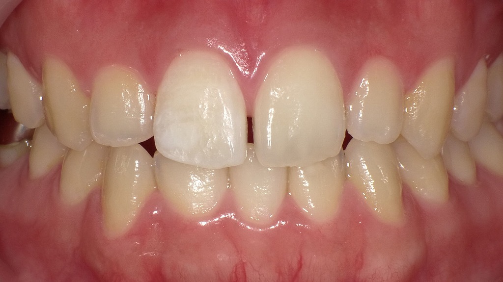
②初期むし歯(CO)は削らずに自然修復が可能
- 初期虫歯(CO)は、歯の表面が白く濁る段階であり、エナメル質の結晶構造はまだ完全には壊れていないため、CPP-ACPによる自然な再石灰化で修復が可能です。
- さらに進んだC1の段階でも、再石灰化により進行を止められるケースがあります。
- このように、削らずに治すむし歯ケアとして注目されています。
③酸性環境(pH5.5以下)で脱灰が進む
- ミュータンス菌やラクトバチラス菌が糖分を代謝して作る酸によって、歯のハイドロキシアパタイトが溶け出す「脱灰」が起こります。
- 食後や間食後は口腔内がpH5.5以下の酸性状態に傾きやすく、この時に脱灰が進行します。
- リカルデントガムを噛むことで、唾液の分泌が促され、pHが中和されると同時に再石灰化が起こるため、酸性ダメージをリセットできます。
④乳歯や6歳臼歯は特にケアが重要
- 生えたばかりの乳歯や6歳臼歯はエナメル質の結晶構造が未熟で、酸に弱く虫歯になりやすい傾向があります。
- そのため、再石灰化効果のあるリカルデントは生えたての歯を守る補助アイテムとして有効です。
⑤歯頚部の白濁にも注意を

- 初期虫歯(CO)は、歯ぐきの近く(歯頚部)に白斑として現れることが多いです。
- これはプラークが溜まりやすい部位で、ブラッシングが不十分だと常に酸が産生されている証拠です。
- 適切なブラッシング+リカルデント活用で、この部分の再石灰化を促しましょう。
🧪キシリトールとフッ素の併用でむし歯予防効果を最大化!

🍬キシリトールで唾液分泌&再石灰化をサポート
- キシリトールを摂取すると、唾液の分泌が促進され、その中のカルシウムやリンによって自然な再石灰化が進みます。
- ガムとして噛むことが最も効果的で、咀嚼による刺激で唾液量が増加するため、口腔内のpHが中和されやすくなります。
💡キシリトールは100%タイプの併用もおすすめ
- リカルデントガムにもキシリトールは含まれていますが、むし歯菌(ミュータンス菌)の活動が強い方には、100%キシリトールガムを追加で使用するのが効果的です。
- 特にむし歯リスクが高い場合や、初期むし歯が多発している方には、リカルデント+キシリトール100%ガムの併用が推奨されます。
🦷フッ素でも再石灰化が促進される
- フッ素は、歯の表面にあるエナメル質の再石灰化を助け、**酸に強い結晶構造(フルオロアパタイト)**を形成します。
- これにより、脱灰された歯がよりむし歯に強い状態へと再構築されます。
🧴フッ素の使い方は3通り
フッ素は以下のような方法で日常的に使用できます:
- 🪥 フッ素入り歯磨き粉
⇒ 毎日の歯磨きで手軽に取り入れられる - 🌀 フッ素洗口剤(うがい液)
⇒ 学校や家庭でのうがい習慣として普及 - 💦 フッ素スプレー/液体歯みがき
⇒ 歯ブラシにスプレーして塗布、外出先でも使用可
📌 いずれも**「吐き出し後は30分飲食を控える」**ことで効果を最大化できます。
🔄成分と作用の違い
| 比較項目 | リカルデントガム | キシリトールガム |
|---|---|---|
| 主成分 | CPP-ACP(カゼインホスホペプチド-非結晶リン酸カルシウム) | キシリトール(天然の糖アルコール) |
| 主な作用 | 初期むし歯の再石灰化促進 | むし歯菌の酸産生抑制 |
| 歯への効果 | 歯を修復・強化 | むし歯菌の働きを弱める |
| 特徴 | トクホ認定、歯科専用品あり | 幅広い市販品、糖類ゼロ |
🧪リカルデントは“歯を再生に近づける”機能性があり、
🦠キシリトールは“むし歯菌の活動を抑える”という防御的な役割が強いです。
キシリトールとフッ素、そしてCPP-ACP(リカルデント)をうまく組み合わせることで、**初期むし歯の進行を止め、歯を強くする“トリプル予防”**が実現します。
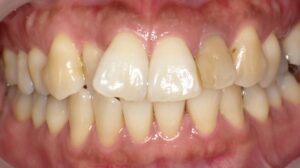
✨ホワイトスポット(白い斑点)は再石灰化で改善できる?
🦷リカルデントガムで初期のホワイトスポットをケア
- エナメル質表面に限定された軽度のホワイトスポット(白濁)は、リカルデントガムの使用によって再石灰化が進み、自然な修復が期待できます。
- 特に狭い範囲で浅い白斑であれば、毎日のリカルデント習慣が改善の第一歩となります。
🧴MIペーストで集中的な再石灰化ケア

- リカルデント成分(CPP-ACP)を含むMIペーストは、歯磨き粉のように塗って使える歯科用の再石灰化ペーストです。
- 就寝前や歯磨き後に塗布することで、リカルデントガムよりも高濃度の成分で集中ケアが可能です。
- 特に矯正後の白斑や、歯の成長過程でできた白濁に有効とされています。
🛠️白濁が強い場合は「アイコン」による審美修復
- 明らかに色の差が強い・範囲が広いホワイトスポットには、ドイツ製の**「アイコン(Icon)」というレジン浸潤材**による修復が効果的です。
- アイコンは歯を削らずにレジンをエナメル質の微細な隙間に浸透させ、白濁を目立たなくする最新の審美治療法です。
- 歯科医院で行う専門的処置となりますが、一回の処置で見た目が大きく改善するケースもあります。


このように、ホワイトスポットの状態に応じて
✔ リカルデントガム(セルフケア)
✔ MIペースト(集中ケア)
✔ アイコン(審美治療)
という選択肢があり、それぞれの特性を理解して活用することが重要です。

リカルデントグレープミント味ボトル
リカルデント(CPP-ACP)成分を2倍配合した歯科医院専用のリカルデントガム。歯科医院専用となっていてもネット通販で買えます。

大人のリカルデント 清涼ミントボトル
噛み始めのスーッとした清涼感。そして独自開発のロングラスティング製法によりミント味が長続きします。

リカルデント さっぱりミント 14粒
ペパーミントの味わいと程よい清涼感がお口いっぱいに広がります。
📌こんな方におすすめ!リカルデントガムの活用シーン
リカルデントガムは、単なるお菓子ではなく、“歯の健康を守る補助食品”としてさまざまなライフスタイルの中で活用されています。以下のような方には特におすすめです。
🎓矯正中の方や歯列矯正後のケアに
🦷装置の隙間に磨き残しがあっても、再石灰化を促す働きでむし歯予防に貢献。
🪥矯正終了後の歯の弱化部位を強化する目的でも活用されています。
📌歯科医院では、矯正治療中の患者さんに「歯磨き後にリカルデントを噛むこと」を勧めている例もあります。
🍭間食が多い方や虫歯リスクが高い方
✅「仕事中にチョコをつまんでしまう」
✅「甘いコーヒーを毎日飲む」
✅「外出先で歯磨きできない」
そんな方には、リカルデントガムを“予防のお守り”として携帯する習慣がおすすめです。
👵高齢者の口腔ケアサポートとして
🧓リカルデントガムは、
- 唾液の分泌を促し、ドライマウス対策に
- 初期むし歯の進行抑制
- 入れ歯やブリッジのない歯のケアにも有効
📌噛む力が弱い方には、歯科専売のソフトタイプガムの使用も推奨されることがあります。
このように、リカルデントガムは年齢やライフスタイルに関係なく、さまざまなシーンで歯の健康を守るパートナーとして活用できます。
🧂原材料・栄養成分を徹底解説
リカルデントガムは“むし歯予防ガム”として注目されていますが、日常的に口にするものだからこそ、成分やカロリー、安全性は気になるポイントです。ここでは、主要な成分とその働き、安全性について詳しく見ていきましょう。
🔬CPP-ACPの含有量はどれくらい?
CPP-ACP(カゼインホスホペプチド-アモルファスカルシウムリン酸)は、リカルデントガムの中でも最も重要な機能性成分です。一般的な市販タイプには1粒あたり約20mg前後のCPP-ACPが配合されています。
🦷歯科医院で扱われるプロ仕様の「GCリカルデントガム」は、CPP-ACPを約2倍に強化したタイプで、特にむし歯リスクが高い人や矯正中の方に適しています。
CPP-ACPは、再石灰化作用に加え、酸への耐性向上(酸耐性の改善)にも効果があるとされ、むし歯の予防において非常に優れた成分です。
📊カロリーや糖質は?ダイエット中でも安心?
リカルデントガムは、1粒あたり約2.5〜3.0kcal程度と非常に低カロリー。糖質も控えめで、キシリトールやソルビトールなど、虫歯になりにくい糖アルコールが使われています。
✅ 甘味料には砂糖不使用(シュガーレス)
✅ キシリトールやマルチトールを使用
✅ ダイエット中でも罪悪感なく噛める
そのため、カロリー制限中の方でも安心して日常的に取り入れることができます。また、噛むことで満腹感が得られる効果もあり、間食予防にもつながります。
⚠️アレルギーや乳製品との関係に注意
リカルデントガムに含まれるCPP-ACPは、**牛乳由来のたんぱく質(カゼイン)**から作られています。そのため、乳アレルギーのある方は摂取を避けるべきです。
🔍 注意すべきポイント:
- アレルゲン表示に「乳成分」と記載あり
- カゼインアレルギーのある方は特に注意
- 誤って摂取するとアレルギー反応を引き起こす可能性あり
📌 特にお子さまに与える場合や、アレルギーの可能性がある方は、事前に医師または歯科医師に相談することをおすすめします。
❓よくある質問(FAQ)
リカルデントガムに関してよく寄せられる疑問にお答えします。正しい知識をもって活用することで、より効果的に歯の健康を守ることができます。
❔ リカルデントガムはいつ噛むのが効果的?
✅ 歯磨き後でも噛んでOK。むしろ、歯磨き後に唾液分泌を促進させるために噛むのも効果的です。
✅ フッ素入り歯磨き後に噛む場合は、30分以上あけるとより効果的です(フッ素との相乗効果を妨げないため)。
❔ どれくらいの頻度で噛むのがベスト?
🟢 推奨されるタイミング:
- 朝食・昼食・夕食後(それぞれ約10分間)
- 甘いものや飲み物を摂った直後
- 就寝前(歯磨き後に噛んでもOK)
📌 長時間噛みすぎると顎に負担がかかるため、1回の咀嚼は10〜15分を目安にしましょう。
❔ 妊娠中や授乳中でも使える?
✅ 基本的には使用可能です。
リカルデントガムは医薬品ではなく、食品扱いのトクホ製品のため、妊娠中や授乳中の方でも安心して使用できます。
ただし、以下の点にご注意ください:
⚠️ 乳アレルギーがある場合は使用を避けること(CPP-ACPは乳由来成分)
⚠️ 特殊な持病や服薬中の方は、かかりつけ医に確認するのが安心
👶胎児や乳児への影響が報告された例はありませんが、不安がある場合は医師に相談を。
このように、リカルデントガムは正しい使い方を知ることで、誰でも安心して日常に取り入れられる予防アイテムです。
📝まとめ|リカルデントガムは日常の口腔ケアの一助に!
リカルデントガムは、CPP-ACPという独自の再石灰化成分を配合した“歯を守る機能性ガム”です。むし歯の始まりを抑えるだけでなく、矯正中や高齢者の根面むし歯予防、さらには唾液分泌の促進など、多くの場面で活用されています。
🦷 歯磨きだけでは防ぎきれないリスクに、“噛むだけ”でプラスのケアを
🪥 歯磨き+リカルデントガム=ワンランク上のむし歯予防習慣
🛍️ 市販タイプと歯科専用品の違いを理解し、自分に合ったものを選ぶことも大切です。
食後や間食後にリカルデントガムを取り入れることで、日常生活の中で自然と「予防習慣」が身につきます。未来の健康な歯のために、今からできる小さな一歩として、ぜひ活用してみてください。
🦷江戸川区篠崎でむし歯予防をもっと手軽に!リカルデントガムで毎日のケアを強化しませんか?

当院では、江戸川区篠崎エリアにお住まいの皆さまに、**初期むし歯の予防や再石灰化をサポートする「リカルデントガム」**の活用をおすすめしています。
リカルデントガムは、歯科医師も推奨するCPP-ACP配合の機能性ガムで、歯を削らずに守るケアとして注目されています。
矯正中の方や、むし歯リスクが高い方、小さなお子さまや高齢者の方にも安心してお使いいただけます。
当院では正しい使い方のアドバイスや、歯科専売タイプのご案内も可能ですので、お気軽にご相談ください。
江戸川区篠崎で「むし歯にならない予防歯科」を一緒に始めましょう!
【動画】初期虫歯COを削らずに自分で治す方法
筆者・院長

深沢 一
Hajime FUKASAWA
- 登山
- ヨガ
メッセージ
日々進化する歯科医療に対応するため、毎月必ず各種セミナーへの受講を心がけております。
私達は、日々刻々と進歩する医学を、より良い形で患者様に御提供したいと考え、「各種 歯科学会」に所属すると共に、定期的に「院内勉強会」を行う等、常に現状に甘んずる事のないよう精進致しております。 又、医療で一番大切な事は、”心のある診療”と考え、スタッフと共に「患者様の立場に立った診療」を、心がけております。


