- 1. 【🎞️ 47秒】ホワイトニングってどうして白くなるの?その仕組みと最適な方法を紹介!
- 2. 🦷 1. ホワイトニングとは?基礎知識をおさらい
- 2.1. 📖 ホワイトニングの定義
- 2.2. 🦷エナメル質とホワイトニングの関係
- 2.3. 🍵 歯の黄ばみの原因とは?
- 2.3.1. 🟠 外因性の黄ばみ(表面の着色)
- 2.3.2. 🟡 内因性の黄ばみ(内部の変色)
- 2.3.2.1. 加齢による象牙質の変色
- 2.3.2.2. テトラサイクリン歯
- 2.3.2.2.1. 🦷 写真の特徴
- 2.3.2.2.2. 💊 推定されるテトラサイクリン服用時期
- 3. 🔬 2. ホワイトニングの仕組み:歯が白くなるメカニズム
- 3.1. 🧪 化学反応による色素の分解(オフィスホワイトニングの原理)
- 3.1.1. ✅ オフィスホワイトニングの流れ
- 3.1.2. オフィスホワイトニングの効果
- 3.1.2.1. 1枚目:ホワイトニング前の歯の状態
- 3.1.2.2. 2枚目:ホワイトニング後(A1シェードとの比較)
- 3.2. 🧪 過酸化水素・過酸化尿素の作用と分解プロセス
- 3.2.1. 🦷 過酸化水素(オフィスホワイトニング)の分解プロセス
- 3.2.2. 🦷 過酸化尿素(ホームホワイトニング)の分解プロセス
- 3.3. 🦷 エナメル質と象牙質の関係
- 3.3.1. ✅ エナメル質(表面の層)
- 3.3.2. ✅ 象牙質(内側の層)
- 3.4. 🦷 マスキング効果
- 3.4.1. 歯の漂白とエナメル質の変化
- 3.5. ⚖ 漂白とコーティングの違い
- 3.5.1. ✅ 漂白(ブリーチング)
- 3.5.2. ✅ コーティング
- 3.6. 🌟 光を使うホワイトニング vs. 光を使わないホワイトニング
- 3.6.1. 💡 光を使うホワイトニング
- 3.6.2. 🌙 光を使わないホワイトニング
- 4. 🏥 3. ホワイトニングの種類とその違い
- 4.1. 🦷 ① オフィスホワイトニング
- 4.1.1. 🛠 特徴
- 4.1.2. 🎯 メリット
- 4.1.3. ⚠ デメリット
- 4.2. 🏠 ② ホームホワイトニング
- 4.2.1. 🛠 特徴
- 4.2.2. 🎯 メリット
- 4.2.3. ⚠ デメリット
- 4.3. 🦷 ③ デュアルホワイトニング
- 4.3.1. 🛠 特徴
- 4.3.2. 🎯 メリット
- 4.3.3. ⚠ デメリット
- 4.4. 🪥 ④ セルフホワイトニング(効果とリスク)
- 4.4.1. 🛠 特徴
- 4.4.2. 🎯 メリット
- 4.4.3. ⚠ デメリット
- 4.5. 🦷 ⑤ 薬剤不使用のホワイトニングって?
- 4.5.1. 🌱 代表的な方法
- 5. 📊 4. ホワイトニングの効果を考える
- 5.1. 🦷 1. 歯質(厚み・透明度)の影響
- 5.1.1. 🛠 エナメル質と象牙質の関係
- 5.1.2. 🧐 歯質によるホワイトニングの効果の違い
- 5.2. 🔥 2. 施術時の温度・時間・濃度が効果に与える影響
- 5.2.1. 🌡 温度の影響
- 5.2.2. ⏳ 時間の影響
- 5.2.3. ⚗️ 濃度の影響
- 5.3. 🍛 3. 食生活と着色しやすい習慣(コーヒー、喫煙、カレーなど)
- 5.3.1. ☕ 着色しやすい飲食物リスト
- 5.3.2. 💡 着色を防ぐコツ
- 5.4. ⏳ 4. ホワイトニング効果が続く期間
- 5.4.1. 🕰 効果の持続期間
- 5.5. ⚠️ 5. ホワイトニングが効かない歯とは?(失活歯、テトラサイクリン歯など)
- 5.5.1. 🦷 ホワイトニングが効きにくい歯の特徴
- 5.5.2. 🛠 代替方法
- 6. 💡 5. ホワイトニング後の白さを長持ちさせるコツ
- 6.1. 🚨 1. 施術直後の注意点(飲食・喫煙)
- 6.1.1. ❌ 避けるべき飲食物
- 6.2. 🪥 2. 再着色を防ぐためのセルフケア
- 6.2.1. 🦷 ① 正しい歯磨き習慣
- 6.2.2. 🦷 ② うがい・水分補給を意識する
- 6.2.3. 🦷 ③ 着色しにくい生活習慣を意識する
- 6.3. ⏳ 3. 効果を維持するための再ホワイトニングの頻度
- 6.4. 🦷 4. ホワイトニング用歯磨き粉の選び方
- 6.4.1. 🔍 選ぶべき成分
- 6.4.2. ⚠ 避けるべき成分
- 7. ⚠️ 6. ホワイトニングのリスクと注意点
- 7.1. 🦷 1. 知覚過敏のリスク
- 7.1.1. 🛠 なぜホワイトニングで知覚過敏が起こるのか?
- 7.1.2. 🦷 知覚過敏の症状
- 7.1.3. 💡 知覚過敏を防ぐ方法
- 7.2. 🦷 2. エナメル質への影響
- 7.2.1. 📌 エナメル質は削れるのか?
- 7.2.2. ❌ エナメル質への悪影響
- 7.2.3. 💡 エナメル質を守るための対策
- 7.3. ⛔ 3. ホワイトニングができないケース
- 7.3.1. 🚼 妊娠中・授乳中
- 7.3.2. 🦷 虫歯・歯周病がある場合
- 7.3.3. 🦷 失活歯(神経を抜いた歯)
- 7.3.4. 🦷 人工歯(詰め物・被せ物)
- 7.4. ⚠️ 4. セルフホワイトニングの危険性
- 7.4.1. ❌ セルフホワイトニングのリスク
- 7.4.2. 💡 安全なセルフホワイトニングの選び方
- 8. 💬 7. ホワイトニングのよくある質問(Q&A)
- 8.1. ❓ 1. どのぐらいの白さになるの?
- 8.1.1. ✅ ホワイトニングで白くなる範囲
- 8.2. ❓ 2. ホワイトニングは1回で終わりますか?
- 8.2.1. ホワイトニングの回数と効果
- 8.3. ❓ 3. ホワイトニングは痛みがありますか?
- 8.3.1. ✅ 知覚過敏が起こる可能性
- 8.3.2. 🦷 痛みを感じやすいケース
- 8.3.3. 💡 痛みを抑える方法
- 8.4. ❓ 4. どれくらいの頻度でホワイトニングを続ければいいですか?
- 8.4.1. 🦷 ホワイトニングの頻度目安
- 8.4.2. 💡 白さを長持ちさせるポイント
- 8.5. ❓ 5. 市販のホワイトニング商品との違いは?
- 8.5.1. 🦷 ホワイトニングの違い
- 8.6. ❓ 6. 歯医者とエステのホワイトニングは違うの?
- 8.6.1. 🦷 歯科医院 vs. ホワイトニングサロン
- 9. 📝 8. まとめ:「ホワイトニングの仕組み」を理解して、理想の白い歯へ!
- 9.1. ✅ 1. 正しいホワイトニング選びのポイント
- 9.1.1. 🦷 ホワイトニングの種類別の選び方
- 9.2. 🦷 2. 長期的に白さを維持するために
- 9.2.1. 🛠 ① 再着色を防ぐ生活習慣
- 9.2.2. 🪥 ② ホワイトニング後の歯磨きケア
- 9.2.3. ⏳ ③ 定期的なメンテナンス(リタッチホワイトニング)
- 10. ✨江戸川区篠崎でホワイトニング!歯が白くなる仕組みを徹底解説✨
- 11. 【動画】ホームホワイトニングの効果的なやり方
- 12. 筆者・院長

🦷**「ホワイトニングって結局どんなもの?」**
歯を白くする方法にはさまざまな種類がありますが、その仕組みや効果の違いを正しく理解している方は意外と少ないかもしれません。
この記事では、ホワイトニングの基本的な仕組みや種類、歯が白くなるメカニズムをわかりやすく解説します。
「表面の汚れを落とすだけじゃない」ホワイトニングの本質を、正しい知識でおさらいしてみましょう✨
【🎞️ 47秒】ホワイトニングってどうして白くなるの?その仕組みと最適な方法を紹介!
🦷 1. ホワイトニングとは?基礎知識をおさらい
ホワイトニングは、歯の表面や内部に付着した色素を分解し、歯を本来の白さへと導く審美的な歯科治療です。ここでは、ホワイトニングの基本的な仕組みや必要性について詳しく解説します。

📖 ホワイトニングの定義
ホワイトニングとは、過酸化水素や過酸化尿素などの漂白成分を用いて、歯を白くする施術です。歯の表面だけでなく、内部に染み込んだ色素も分解することで、自然な白さを取り戻します。
🔹 一般的な歯の美白方法とホワイトニングの違い
- ホワイトニング:化学的な反応で歯の色素を分解し、内部から白くする
- クリーニング(PMTC):歯の表面の汚れを落とすが、内部の黄ばみには影響しない
- ホワイトニング歯磨き粉:表面の着色を除去するが、歯の漂白はできない
🦷エナメル質とホワイトニングの関係
歯の構造とホワイトニング
歯の構造はその最表層に人体の中で最も硬い組織「エナメル質」で覆われ、それより深い部分に黄褐色の象牙質(神経が入り込んでいる硬い組織)があり、さらに歯の中心部分に歯髄(神経)があります。
エナメル質はほとんどが無機質で構成されていますが、わずかに有機質の部分があります。その有機質が着色し、歯の変色となって現れてきます。
エナメル質の有機物を漂白
ホワイトニングでは象牙質までは漂白されないと考えられています。(象牙質も漂白されるという研究も一部ではあります。)
また、一生懸命に歯磨きをして、歯の表面の汚れを落としても、歯が白くならないと思っている患者さんは、遺伝的に歯が黄ばんでいるということです。(歯の本来の色には個人差があり、生まれ持って白い歯の人がいます。)
以上のような患者さんが最もホワイトニングの適用症です。 外傷などにより神経が死ぬと歯は黒ずんできます。 この場合にも対象になります。
🍵 歯の黄ばみの原因とは?
歯が黄ばんでしまう理由には、大きく 外因性 と 内因性 の2種類があります。

🟠 外因性の黄ばみ(表面の着色)
歯の表面(エナメル質)に付着する汚れによる変色で、比較的除去しやすいものが多いです。
✅ 主な原因
- 飲食物の色素沈着(コーヒー、紅茶、赤ワイン、カレーなど)
- タバコのヤニ(タール)
- 歯磨き不足によるプラーク・ステインの蓄積
🟡 内因性の黄ばみ(内部の変色)
歯の内部(象牙質)が変色することで、歯全体が黄ばんで見えます。通常のクリーニングでは落とせません。
✅ 主な原因
- 加齢による象牙質の変色(年齢とともに歯が黄ばむ)
- 遺伝による歯の色の個人差(生まれつき黄ばみが強い)
- テトラサイクリン歯(幼少期の抗生物質の影響)
- 神経が死んだ歯(失活歯)(歯の内部が黒ずむ)
- フッ素症(過剰なフッ素摂取による白斑や黄ばみ)
加齢による象牙質の変色

エナメル質は、年齢を重ねるにつれて徐々にすり減り、薄くなっていきます。一方、象牙質は、歯髄を保護するための反応として、むしろ厚みを増していきます。
新しく形成された象牙質は第2象牙質と呼ばれ、歯髄の大きさは次第に小さくなっていきます。その結果、象牙質の色がより目立つようになります。
これが、年齢による歯の黄ばみ現象です。
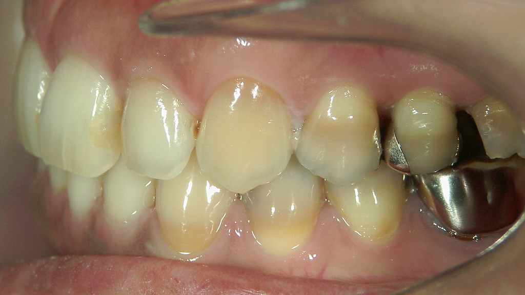
テトラサイクリン歯
この写真はテトラサイクリン歯(テトラサイクリンによる歯の変色)の一例です。以下に詳しく解説します。

🦷 写真の特徴
- 前歯(上顎中切歯・側切歯)は白く、変色がほとんど見られません。
- 一方で、犬歯から奥歯にかけて黄褐色〜灰褐色の帯状変色が見られます。
- 金属冠(銀歯)が装着されている歯もあり、治療痕が確認できます。
💊 推定されるテトラサイクリン服用時期
テトラサイクリン系抗生物質は歯の形成期に服用すると、歯質内に沈着して変色を起こします。
どの歯が影響を受けているかで、母親が薬を服用した時期をある程度推測できます。
| 歯の部位 | 形成時期(おおよそ) | 今回の変色状況 | 推定される服薬時期 |
|---|---|---|---|
| 前歯(中切歯・側切歯) | 妊娠4〜6か月頃に歯胚形成開始 | 影響なし(白い) | 妊娠4〜6か月以前または後期 |
| 犬歯・小臼歯 | 妊娠後期〜生後数か月 | 変色あり | 妊娠後期(7〜9か月頃)に服薬した可能性 |
| 大臼歯(第一大臼歯) | 妊娠末期〜生後1年 | 変色あり | 同じく妊娠後期〜授乳期に服薬した可能性 |
➡ 推定:母親が妊娠後期(7〜9か月頃)にテトラサイクリンを服用したと考えられます。
前歯の形成が完了した後、犬歯や臼歯の石灰化が進行中に薬が取り込まれたと推測されます。
🔬 2. ホワイトニングの仕組み:歯が白くなるメカニズム
ホワイトニングは単なる表面のクリーニングではなく、歯の内部に働きかける化学反応を利用した施術です。ここでは、ホワイトニングのメカニズムを深掘りし、なぜ歯が白くなるのかを詳しく解説します。

🧪 化学反応による色素の分解(オフィスホワイトニングの原理)
ホワイトニングの基本原理は、「酸化反応」による色素の分解です。
歯の黄ばみは、食べ物や加齢などの影響で、象牙質やエナメル質に沈着した色素によって引き起こされます。
➡ ホワイトニング剤(過酸化水素)を使うことで、沈着した色素を酸化・分解し、歯本来の白さを取り戻します。
✅ オフィスホワイトニングの流れ
- ホワイトニング剤(過酸化水素)を塗布
- 化学反応が起こり、色素を分解
- エナメル質の透明度が増し、象牙質の色が薄く見える
- 歯が白くなる!
📌 ポイント:オフィスホワイトニングは、高濃度のホワイトニング剤を使用し、即効性があるのが特徴です。
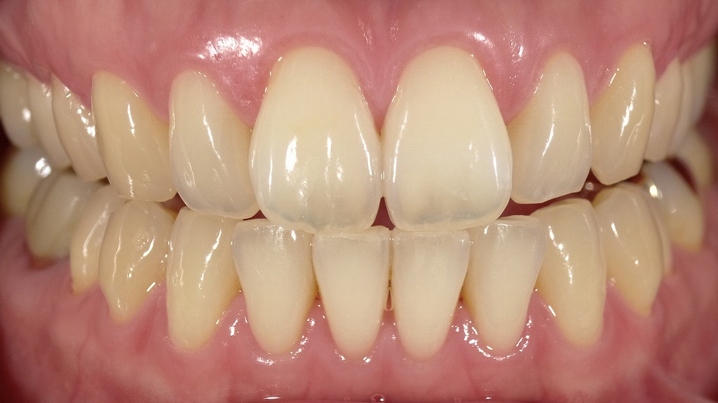
オフィスホワイトニングの効果


1枚目:ホワイトニング前の歯の状態
最初の写真では、歯全体がやや黄ばみを帯びています。
特に前歯の色味が自然な範囲にあるものの、ややA2〜A3相当の黄みが確認できます。
これは日本人に多い「生活習慣による着色(ステイン)」や「加齢による象牙質の色」が透けて見えている状態です。
- 歯の表面に大きな汚れはなく、清潔に管理されている
- ただし自然歯特有の黄ばみが均一に見られる
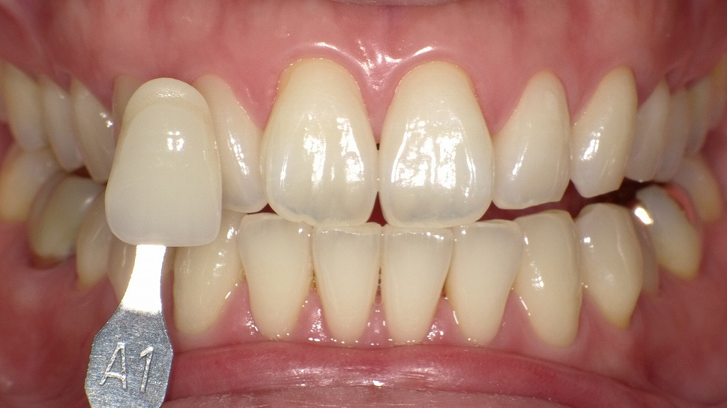
2枚目:ホワイトニング後(A1シェードとの比較)
2枚目では、シェードガイド「A1」が比較のために前歯の横に当てられており、
ホワイトニング後の歯がA1に非常に近い白さまでトーンアップしていることがわかります。
ポイント:
- 1枚目より明らかに白く、透明感も増している
- 自然な白さの中でも「明るさのレベル」が1段階以上アップ
- A1は「自然歯で達成できる最も明るい色のひとつ」
🧪 過酸化水素・過酸化尿素の作用と分解プロセス
ホワイトニングの主要成分である 過酸化水素(H₂O₂) や 過酸化尿素(CH₆N₂O₃) は、どのようにして歯を白くするのでしょうか?

🦷 過酸化水素(オフィスホワイトニング)の分解プロセス
✅ H₂O₂ → H₂O(酸素)+ O₂(フリーラジカル)
ホワイトニング剤が分解されると、**活性酸素(フリーラジカル)**が発生し、色素と結びついて分解します。
➡ 色素が小さな無色分子に分解されることで、歯が白く見える
🦷 過酸化尿素(ホームホワイトニング)の分解プロセス
✅ CH₆N₂O₃ → 過酸化水素 + 尿素
過酸化尿素は、分解されると 過酸化水素に変化 し、同じく歯を白くする効果を発揮します。
📌 違いは?
- 過酸化水素:即効性があるが刺激が強い(オフィスホワイトニング向け)
- 過酸化尿素:ゆっくり分解されるため低刺激(ホームホワイトニング向け)
🦷 エナメル質と象牙質の関係
歯が白く見えるかどうかは、エナメル質の透明度と象牙質の色に左右されます。
✅ エナメル質(表面の層)
- 半透明な層
- 加齢や着色により透明度が低下すると、黄ばみが目立つ
- ホワイトニングにより、エナメル質の透明度が向上する
✅ 象牙質(内側の層)
- もともと黄色みを帯びた層
- 年齢とともに色が濃くなる
- ホワイトニングでは直接的には変化しないが、エナメル質を白くすることで象牙質の色を目立たなくできる
📌 ポイント:
ホワイトニングはエナメル質の透明度を向上させ、象牙質の黄色みを抑えることで、歯を白く見せる効果がある!
🦷 マスキング効果

歯の漂白とエナメル質の変化
- 歯を漂白することで、以下の変化が起こります。
- エナメル質の表面の着色が白くなる
- エナメル質内の有機物が漂白される
- しかし、象牙質までは漂白されない
- エナメル質の特徴
- 半透明の構造をしているため、象牙質の色が透けて見えやすい
- エナメル質内の着色有機物がすべて漂白されても、象牙質の色が影響し、完全には白くならない
- 小柱構造(小さな小柱が束になった構造)により、光が通過しやすく、象牙質の色が目立ちやすい
- 漂白剤の作用
- 歯の着色有機物を白くする
- エナメル質表面の構造を角状から球状へと変化させる
- この変化により、光の乱反射が起こり、象牙質の色が透けにくくなる(マスキング効果)
このように、ホワイトニングによって歯は白く見えるものの、象牙質自体を白くするわけではない ため、エナメル質の変化が重要なポイントとなります。
⚖ 漂白とコーティングの違い
ホワイトニングには、「漂白(ブリーチング)」と「コーティング」 という2つの異なるアプローチがあります。
✅ 漂白(ブリーチング)
- ホワイトニング剤を使って、歯の内部の色素を分解
- エナメル質の透明度を上げ、象牙質の色を抑える
- 本来の歯の白さを取り戻す方法
- オフィスホワイトニング・ホームホワイトニングが該当
✅ コーティング
- 歯の表面に白い物質を塗布して、一時的に白く見せる
- 歯を削ることなく、手軽に白さを実現
- 効果は一時的で、持続しにくい
- セルフホワイトニングやホワイトニング歯磨き粉が該当
📌 ポイント:
「ホワイトニング」とは本来「漂白(ブリーチング)」を指す。一時的な効果の「コーティング」とは違うので注意!
🌟 光を使うホワイトニング vs. 光を使わないホワイトニング
💡 光を使うホワイトニング
- 光(LED・レーザー)を照射して、ホワイトニング剤の反応を促進
- 短時間で効果を実感しやすい
- オフィスホワイトニングでよく採用される
- 主に「光触媒反応」を利用(光が過酸化水素の分解を加速)
- 施術時間は短いが、知覚過敏のリスクもある
🌙 光を使わないホワイトニング
- ホワイトニング剤の自然な分解を利用
- 過酸化尿素を使ったホームホワイトニングが該当
- 時間をかけてじっくり白くする
- 光を使わないため、低刺激で知覚過敏になりにくい
📌 ポイント:
- 即効性を求めるなら「光を使うホワイトニング」
- 低刺激で自然な白さを求めるなら「光を使わないホワイトニング」
🏥 3. ホワイトニングの種類とその違い
ホワイトニングには 「オフィスホワイトニング」「ホームホワイトニング」「デュアルホワイトニング」 など、さまざまな種類があります。また、近年では セルフホワイトニング や 薬剤不使用のホワイトニング も登場しています。ここでは、それぞれの特徴やメリット・デメリットを詳しく解説します。
🦷 ① オフィスホワイトニング
(歯科医院で施術する即効性の高いホワイトニング)

🛠 特徴
✅ 歯科医院で歯科医師・歯科衛生士が施術
✅ 高濃度の過酸化水素を使用(35%前後)
✅ LEDライトやレーザーを併用することが多い
✅ 1回の施術で効果が実感できる(約60~90分)
オフィスホワイトニングでは、35%の過酸化水素を使用します。 過酸化水素は分解が早く、漂白効果がすぐに発揮されるため、短時間で効果を得られるオフィスホワイトニングに適しています。
過酸化水素の分解は、酸化作用によって進行します。 この過程で、ヒドロキシラジカル(OH⁻)やスーパーオキサイドアニオン(O₂⁻)などの活性酸素が生成され、歯の内部にある有機物の色素を酸化し、漂白を促進します。
🎯 メリット
✔ 即効性があり、短期間で歯が白くなる
✔ 医師の管理下で施術するため、安全性が高い
✔ 知覚過敏のリスクを軽減する処置ができる
⚠ デメリット
❌ 費用が高い(1回2~5万円程度)
❌ 知覚過敏が起こることがある
❌ 効果が徐々に後戻りするため、定期的なメンテナンスが必要
📌 おすすめの人:「できるだけ早く白くしたい」「結婚式や就職活動など、大切なイベントが近い」
🏠 ② ホームホワイトニング
(自宅でマウスピースを装着してじっくり白くする)


🛠 特徴
✅ 歯科医院で専用のマウスピースを作製し、自宅でホワイトニングを行う
✅ 低濃度の過酸化尿素(10~15%)を使用
✅ 2週間~1ヶ月ほどかけてゆっくり白くする
ホームホワイトニングで使用する過酸化尿素は、口腔内で尿素と過酸化水素に分解されます。 過酸化水素はさらに化学分解され、酸素基(強いフリーラジカル)を放出します。
このフリーラジカルがエナメル質に浸透し、着色部分(有機質)のみ に作用するため、象牙質の構造を変えることなく、歯の色調を明るくすることができる と考えられています。
過酸化尿素は、約8時間かけて過酸化水素と尿素に分解されます。 そのため、薬剤の効果を最大限に引き出すには、就寝中に8時間使用するのが理想的 です。
とはいえ、最近では漂白剤の性能が向上し、2時間ほどの短時間でも十分な効果が期待できるようになっています。
🎯 メリット
✔ 自然な白さを長期間維持しやすい
✔ 自宅で好きな時間に施術できる
✔ 知覚過敏が起こりにくい
⚠ デメリット
❌ 効果を実感するまでに時間がかかる
❌ マウスピースを毎日2時間以上装着する必要がある
❌ 自己管理が必要
📌 おすすめの人:「時間をかけてもいいから、後戻りしにくいホワイトニングをしたい」「忙しくて歯科医院に通えない」
🦷 ③ デュアルホワイトニング
(オフィスホワイトニング + ホームホワイトニングの組み合わせ)
🛠 特徴
✅ 最初にオフィスホワイトニングで即効性を得る
✅ その後、ホームホワイトニングで白さをキープ
🎯 メリット
✔ 即効性がありながら、白さを長持ちさせられる
✔ 自然な仕上がりになりやすい
⚠ デメリット
❌ 費用が高い(5~10万円以上)
❌ ホームホワイトニングを継続する手間がある
📌 おすすめの人:「短期間で白くしたいけど、効果を長持ちさせたい」「費用がかかってもベストな結果を求めたい」
🪥 ④ セルフホワイトニング(効果とリスク)
(歯科医院以外のサロンや自宅で行うホワイトニング)
🛠 特徴
✅ 低濃度のホワイトニング剤(または薬剤不使用)を使用
✅ エステサロンやセルフホワイトニング専門店で行う
✅ 短時間・低価格(1回3000円~5000円程度)
🎯 メリット
✔ 手軽に試せる
✔ 費用が安い
✔ 知覚過敏になりにくい
⚠ デメリット
❌ 漂白効果はほぼなく、クリーニングに近い
❌ 歯科医師の管理がないため、安全性に不安がある
❌ ホワイトニングというより「着色を落とす」レベル
📌 おすすめの人:「本格的なホワイトニングをする前に試したい」「軽い着色汚れを落としたい」
🦷 ⑤ 薬剤不使用のホワイトニングって?
最近では、ホワイトニング剤を使わずに歯を白くする方法も登場しています。
🌱 代表的な方法
🔹 ナノハイドロキシアパタイトコーティング
- 歯の表面にナノ粒子をコーティングし、光の反射で白く見せる
🔹 光触媒ホワイトニング
- 酸化チタンを使用し、LEDライトを当てて着色を分解
🔹 超音波・ウォータースケーラーによるホワイトニング
- 超音波振動で歯の表面をクリーニング
📌 ポイント:
- 漂白ではなく、「一時的に白く見せる」方法が多い
- 効果は弱めだが、知覚過敏が気になる人にはおすすめ
📊 4. ホワイトニングの効果を考える
ホワイトニングは誰にでも同じ効果が出るわけではありません。歯質の違いや施術条件、生活習慣によって効果が大きく変わる ため、それぞれの要因を理解することが重要です。ここでは、ホワイトニングの効果を左右する主な要素について詳しく解説します。
🦷 1. 歯質(厚み・透明度)の影響
ホワイトニングの効果は 歯の構造 に大きく左右されます。特に エナメル質の厚さや透明度 が重要なポイントです。
🛠 エナメル質と象牙質の関係
- エナメル質(歯の表面):白く見える層。透明度が高いと象牙質の色が透ける。
- 象牙質(エナメル質の内側):黄色みを帯びている。加齢とともに濃くなる。
🧐 歯質によるホワイトニングの効果の違い
| 歯の特徴 | ホワイトニングの効果 |
|---|---|
| エナメル質が厚く、透明度が低い | 効果が出やすい(白くなりやすい) |
| エナメル質が薄く、透明度が高い | 効果が出にくい(象牙質の色が透ける) |
| 象牙質がもともと黄色い | 効果が出にくい(限界がある) |
📌 ポイント:エナメル質が厚く、透明度が低いほどホワイトニングの効果が出やすい。
🔥 2. 施術時の温度・時間・濃度が効果に与える影響
🌡 温度の影響
- 温度が高いとホワイトニング剤の分解が早まり、効果が高まる
- 逆に、温度が低いと薬剤の反応が遅くなり、効果が落ちる
- 冬場はホワイトニング効果が下がることがある
➡ オフィスホワイトニングでは、LEDやレーザーの熱で効果を高める施術が多い!
⏳ 時間の影響
- 長時間放置すると効果が高まるが、知覚過敏のリスクも上がる
- 短すぎると十分な効果が得られない
- ホームホワイトニングでは「2時間×2週間」などの時間管理が重要
➡ 「短時間×高濃度」か「長時間×低濃度」かで効果が変わる!
⚗️ 濃度の影響
| ホワイトニング剤の濃度 | 特徴 |
|---|---|
| 低濃度(10~15%) | ゆっくり白くなるが、知覚過敏が起こりにくい(ホームホワイトニング向け) |
| 中濃度(20~30%) | バランスの取れた効果(歯科医院での処方あり) |
| 高濃度(35~40%) | 即効性があるが、刺激が強く、知覚過敏のリスクが高い(オフィスホワイトニング向け) |
📌 ポイント:
- 即効性を求めるなら高濃度・短時間のオフィスホワイトニング
- 持続的に白くしたいなら低濃度・長時間のホームホワイトニング
🍛 3. 食生活と着色しやすい習慣(コーヒー、喫煙、カレーなど)
ホワイトニングの効果を長持ちさせるには、着色しやすい食品・習慣を避けることが重要 です。
☕ 着色しやすい飲食物リスト
| 飲食物 | 着色のリスク |
|---|---|
| コーヒー・紅茶 | カフェインによるステイン付着 |
| 赤ワイン | タンニンが強く着色しやすい |
| カレー・ソース類 | 色素が強く、歯に定着しやすい |
| チョコレート | ポリフェノールによる着色 |
| 炭酸飲料 | 酸性が強く、エナメル質を溶かす |
| タバコ(ヤニ) | タールによる強い黄ばみ |
➡ ホワイトニング直後は特に着色しやすいため、24時間は避けるべき!
💡 着色を防ぐコツ
✅ ストローを使って飲む(直接歯に触れないようにする)
✅ 食後すぐに水を飲んで口をすすぐ
✅ 着色しやすい食べ物はできるだけ控える
✅ ホワイトニング用の歯磨き粉を使う
📌 ポイント:ホワイトニング後は、できるだけ「色の薄い食べ物」を選ぶと効果が長持ちする!
⏳ 4. ホワイトニング効果が続く期間
🕰 効果の持続期間
| ホワイトニングの種類 | 持続期間 |
|---|---|
| オフィスホワイトニング | 約3~6ヶ月 |
| ホームホワイトニング | 約6ヶ月~1年 |
| デュアルホワイトニング | 1年以上 |
| セルフホワイトニング | 数週間~1ヶ月程度 |
📌 ポイント:
- 定期的にメンテナンスをすることで、効果を長く維持できる
- 半年~1年ごとに再ホワイトニングを行うのが理想的
⚠️ 5. ホワイトニングが効かない歯とは?(失活歯、テトラサイクリン歯など)
🦷 ホワイトニングが効きにくい歯の特徴

| 歯の種類 | ホワイトニングの効果 |
|---|---|
| 失活歯(神経が死んでいる歯) | 効果なし(内部から変色) |
| テトラサイクリン歯(抗生物質の影響) | 効果が出にくい(縞模様が残る) |
| フッ素症の歯 | まだらな白斑が目立つ |
| 人工歯(詰め物・被せ物) | 白くならない |
🛠 代替方法
- 失活歯 → ウォーキングブリーチ(歯の内部から漂白)
- テトラサイクリン歯 → ホワイトニングを繰り返す or ラミネートベニア
- 人工歯 → 詰め替え or セラミック治療
📌 ポイント:ホワイトニングでは白くならない歯もあるため、事前に歯科医と相談することが重要!
💡 5. ホワイトニング後の白さを長持ちさせるコツ
ホワイトニングで手に入れた白い歯も、適切なケアをしなければ着色が進み、効果が薄れてしまいます。白さをキープするための具体的な方法を紹介します。
🚨 1. 施術直後の注意点(飲食・喫煙)
ホワイトニング直後の歯は、エナメル質の表面が一時的に弱くなり、着色しやすい状態 になっています。そのため、施術後 24~48時間は特に注意が必要 です。
❌ 避けるべき飲食物

| カテゴリー | 具体的な食べ物・飲み物 | 理由 |
|---|---|---|
| 色の濃い飲み物 | コーヒー、紅茶、赤ワイン、緑茶、コーラ | 強い色素(タンニン、カフェイン)が歯に沈着 |
| 色の濃い食べ物 | カレー、ケチャップ、醤油、ソース、ブルーベリー | 歯の表面に色素が付きやすい |
| 酸性の強い食品 | 柑橘類、炭酸飲料、酢 | エナメル質を溶かし、着色を加速 |
| タバコ・喫煙 | すべてのタバコ製品 | ヤニ(タール)が歯に付着しやすい |
✅ おすすめの食べ物・飲み物
- 水、お茶(カフェインレス)、牛乳
- 白米、パン(バターなし)、ヨーグルト
- 鶏肉、白身魚、卵白、じゃがいも
📌 ポイント:ホワイトニング後は「白い食べ物」を意識することで、再着色を防げる!
🪥 2. 再着色を防ぐためのセルフケア
🦷 ① 正しい歯磨き習慣
ホワイトニング後の着色を防ぐためには、正しいブラッシング が欠かせません。
✅ 歯磨きのポイント
- 食後30分以内に歯を磨く(放置すると着色しやすい)
- やわらかめの歯ブラシを使用(強く磨くとエナメル質を傷つける)
- ホワイトニング用歯磨き粉を活用(研磨剤の少ないもの)
- デンタルフロスや歯間ブラシを使い、歯の隙間の汚れも除去
🦷 ② うがい・水分補給を意識する
着色の原因になる食べ物を摂った後は、すぐに口をすすぐことで汚れの沈着を防ぐ ことができます。
✅ おすすめの対策
- 食後に水でうがいをする(特にコーヒー・紅茶を飲んだ後)
- ガムを噛んで唾液分泌を促す(唾液は歯の自浄作用を高める)
🦷 ③ 着色しにくい生活習慣を意識する
- ストローを使って飲む(特にコーヒー・紅茶)
- タバコを控える(ヤニの付着を防ぐ)
- 寝る前はしっかり歯磨きを行う(寝ている間は細菌が増えやすい)
📌 ポイント:毎日のケアで「色素沈着を防ぐ習慣」を身につけることが重要!
⏳ 3. 効果を維持するための再ホワイトニングの頻度
ホワイトニングの効果は 時間とともに少しずつ後戻り します。そのため、定期的にメンテナンスを行うことで 長期間白さをキープ できます。
📌 おすすめのメンテナンス方法
✅ ホワイトニング用歯磨き粉で日々のケア
✅ 3~6ヶ月ごとに歯科でホワイトニングチェック
✅ 年に1回、追加ホワイトニングを行う(オフィス or ホーム)
📌 ポイント: 「少し白さが落ちてきたな…」と感じたら、早めにリタッチするのがベスト!
🦷 4. ホワイトニング用歯磨き粉の選び方
ホワイトニング後は、研磨剤が強すぎる歯磨き粉を使うとエナメル質を傷つけるリスク があります。そのため、ホワイトニングに適した歯磨き粉を選びましょう。

🔍 選ぶべき成分
✅ ポリリン酸ナトリウム(着色防止・ホワイトニング効果)
✅ ハイドロキシアパタイト(エナメル質の修復・コーティング)
✅ フッ素(フッ化ナトリウム)(虫歯予防)
⚠ 避けるべき成分
❌ 研磨剤が強すぎるもの(シリカや炭酸カルシウムが多い)
❌ 漂白成分の過酸化水素(濃度が高いものは歯科専用)
📌 おすすめのホワイトニング歯磨き粉
- アパガードプレミオ(ナノハイドロキシアパタイト配合)
- シュミテクト ホワイトニング(知覚過敏対策 & ホワイトニング)
- ブリリアントモア(ポリリン酸ナトリウム配合)
⚠️ 6. ホワイトニングのリスクと注意点
ホワイトニングは安全性の高い施術ですが、知覚過敏やエナメル質への影響など、いくつかのリスクがある ことを理解しておくことが重要です。また、ホワイトニングが適さない人やセルフホワイトニングのリスクについても詳しく解説します。
🦷 1. 知覚過敏のリスク
🛠 なぜホワイトニングで知覚過敏が起こるのか?

ホワイトニングに使用される 過酸化水素や過酸化尿素 は、歯の内部に浸透し、象牙質に刺激を与えることがあります。
➡ 象牙質には「象牙細管」と呼ばれる小さな穴があり、薬剤がここを通ることで神経に刺激を与え、知覚過敏が発生する。
🦷 知覚過敏の症状
✅ 冷たいものがしみる
✅ 歯磨き時にピリッとした痛みを感じる
✅ 風を吸い込むと歯が痛む
💡 知覚過敏を防ぐ方法
✅ 施術前にフッ素コーティングを行う(エナメル質を強化)
✅ ホワイトニング後は知覚過敏用の歯磨き粉を使用する(シュミテクトなど)
✅ ホワイトニングの濃度を調整する(低濃度のホームホワイトニングを選ぶ)
✅ 1日おきにホワイトニングを行う(連続で行うと症状が悪化する)
📌 ポイント:知覚過敏の症状は 通常1~2日で落ち着く ことが多いが、痛みが続く場合は施術を一時中断し、歯科医に相談!
🦷 2. エナメル質への影響
📌 エナメル質は削れるのか?
ホワイトニングは「漂白(ブリーチング)」のため、歯を削ることはありません。しかし、強すぎる薬剤や過度なホワイトニングはエナメル質に影響を与える可能性があります。
❌ エナメル質への悪影響
- エナメル質が薄くなると、象牙質が透けて黄ばみが目立つことがある
- 過度なホワイトニングでエナメル質が荒れ、着色がつきやすくなる
- 酸性の食べ物(炭酸飲料・酢など)と組み合わせると、歯が溶けやすくなる
💡 エナメル質を守るための対策
✅ ホワイトニングは適切な間隔で行う(3~6ヶ月に1回)
✅ 施術後はフッ素配合の歯磨き粉でケアする
✅ 酸性の飲食物は避け、エナメル質を守る
📌 ポイント:エナメル質がダメージを受けると知覚過敏が悪化するため、ホワイトニングの頻度を守ることが大切!
⛔ 3. ホワイトニングができないケース
ホワイトニングは すべての人に適応できるわけではありません。以下のケースでは、施術を控える必要があります。
🚼 妊娠中・授乳中
- ホワイトニング剤の影響が胎児や母乳に与える影響は不明
- 安全性が確立されていないため、妊娠・授乳中は施術を控えるのが一般的
🦷 虫歯・歯周病がある場合
- ホワイトニング剤が虫歯の穴に浸透し、痛みが悪化する
- 歯周病で歯ぐきが炎症を起こしている場合、刺激で症状が悪化する
- まずは虫歯や歯周病を治療してからホワイトニングを行うのがベスト
🦷 失活歯(神経を抜いた歯)
- 神経を失った歯(失活歯)は、ホワイトニングでは白くならない
- 「ウォーキングブリーチ」という特殊な方法が必要になる
🦷 人工歯(詰め物・被せ物)
- セラミックやレジンの人工歯はホワイトニングの効果がない
- 白くしたい場合は詰め物を交換する必要がある
📌 ポイント:ホワイトニングをする前に、虫歯や歯周病の治療を済ませることが重要!
⚠️ 4. セルフホワイトニングの危険性
最近では、セルフホワイトニング(ホワイトニング専門サロン・市販のホワイトニングキットなど)も人気ですが、歯科医院で行うホワイトニングとは大きな違いがあります。
❌ セルフホワイトニングのリスク
- 使用される薬剤の効果が不明確
- 一部のセルフホワイトニングは、過酸化水素を含まない ため、漂白効果がほとんどない。
- 「歯の表面をコーティングするだけ」で、ホワイトニングとは別物。
- 誤った使い方で歯を傷つける
- 強い研磨剤を含む歯磨き粉を使うと、エナメル質が削れる ことがある。
- 長時間薬剤を放置すると、知覚過敏や炎症の原因になる。
- 適切な診断がされていない
- 虫歯や歯周病がある状態でホワイトニングをすると、痛みや悪化のリスクが高まる。
💡 安全なセルフホワイトニングの選び方
✅ 歯科医院が推奨するホームホワイトニングを選ぶ
✅ フッ素やポリリン酸を含むホワイトニング歯磨き粉を使用
✅ 安すぎるセルフホワイトニング(サロン)は慎重に検討
📌 ポイント:「セルフホワイトニング」は、「ホワイトニング」というより「クリーニング」に近い ことを理解しよう!
💬 7. ホワイトニングのよくある質問(Q&A)
ホワイトニングを検討している方の多くが抱える疑問について、歯科医の視点から詳しく解説 します。
❓ 1. どのぐらいの白さになるの?
✅ ホワイトニングで白くなる範囲
ホワイトニングの効果は 個人の歯質やホワイトニングの種類 によって異なりますが、一般的には 2~4段階程度の明るさ になります。
🔹 オフィスホワイトニング → 1回で2~4段階白くなる
🔹 ホームホワイトニング → 2週間で3~5段階白くなる
🔹 デュアルホワイトニング → 最大で5段階以上の効果が期待できる
📌 ポイント:
- 芸能人のような真っ白な歯にはなりにくい(もともとの歯の色が影響)
- 歯の構造(エナメル質の厚さ・象牙質の色)によって限界がある
- テトラサイクリン歯(抗生物質の影響)などは効果が出にくい場合がある
❓ 2. ホワイトニングは1回で終わりますか?
ホワイトニングは 1回で白くなる場合もありますが、長期的に白さを維持するには継続が必要 です。
ホワイトニングの回数と効果
| ホワイトニングの種類 | 推奨回数 | 白くなるスピード |
|---|---|---|
| オフィスホワイトニング | 1~3回 | 即効性あり(1回でも実感しやすい) |
| ホームホワイトニング | 2週間~1ヶ月 | 徐々に白くなる(毎日装着) |
| デュアルホワイトニング | 1回 + 2週間 | 短期間で高い効果 |
📌 ポイント:
- オフィスホワイトニングは1回で白くなるが、後戻りしやすい
- ホームホワイトニングは時間がかかるが、後戻りしにくい
- 理想は「デュアルホワイトニング」で即効性と持続性を両立すること
❓ 3. ホワイトニングは痛みがありますか?
✅ 知覚過敏が起こる可能性
ホワイトニングでは 歯の象牙質に刺激が伝わることで、知覚過敏が発生する場合がある ため、人によって ピリッとした痛み を感じることがあります。
🦷 痛みを感じやすいケース
✅ もともと知覚過敏がある人
✅ エナメル質が薄い人(加齢や食生活の影響)
✅ 高濃度のホワイトニング剤を使用した場合
💡 痛みを抑える方法
✅ ホワイトニング前後にフッ素コーティングを行う
✅ 知覚過敏用の歯磨き粉を使用する(シュミテクトなど)
✅ 施術の間隔を空けて、低濃度の薬剤で徐々に白くする
📌 ポイント:痛みが出た場合は、施術を一時中断すれば自然に回復することがほとんど!
❓ 4. どれくらいの頻度でホワイトニングを続ければいいですか?
ホワイトニングの効果は 時間とともに少しずつ後戻り します。そのため、定期的なメンテナンスが必要です。
🦷 ホワイトニングの頻度目安
| ホワイトニングの種類 | 推奨頻度 |
|---|---|
| オフィスホワイトニング | 3~6ヶ月ごとに1回 |
| ホームホワイトニング | 6ヶ月ごとに追加ホワイトニング |
| デュアルホワイトニング | 1年に1回メンテナンス |
💡 白さを長持ちさせるポイント
✅ ホワイトニング用歯磨き粉で日々のケアをする
✅ 色の濃い飲食物(コーヒー・カレー・赤ワイン)を控える
✅ 半年~1年ごとに追加ホワイトニングを行う
📌 ポイント:「1回やったら終わり」ではなく、継続的なケアが必要!
❓ 5. 市販のホワイトニング商品との違いは?
ホワイトニングは 歯科医院で行うものと、市販のホワイトニンググッズ に分けられます。
🦷 ホワイトニングの違い
| タイプ | 効果の強さ | 特徴 |
|---|---|---|
| 歯科医院のホワイトニング | ★★★★☆(強い) | 過酸化水素・過酸化尿素を使用し、内部から白くする |
| 市販のホワイトニング歯磨き粉 | ★☆☆☆☆(弱い) | 研磨剤やポリリン酸で表面の汚れを落とす |
| 市販のホワイトニングシート・ジェル | ★★☆☆☆(中程度) | 低濃度のホワイトニング剤を使用 |
📌 ポイント:
- 歯科のホワイトニングは「漂白(ブリーチ)」、市販品は「着色除去」
- 市販品は「黄ばみ予防」にはなるが、「漂白効果」はほぼない
❓ 6. 歯医者とエステのホワイトニングは違うの?
最近では「ホワイトニングサロン」や「エステでのホワイトニング」も増えていますが、歯科医院のホワイトニングとは根本的に異なります。
🦷 歯科医院 vs. ホワイトニングサロン
| 項目 | 歯科医院のホワイトニング | ホワイトニングサロン |
|---|---|---|
| 使用薬剤 | 過酸化水素・過酸化尿素(高濃度) | 無資格のため低濃度 or 不使用 |
| 効果 | 内部から白くする(ブリーチ) | 表面の汚れを落とす |
| 施術者 | 歯科医師・歯科衛生士 | 一般スタッフ |
| 即効性 | 1回で白くなる | ほぼなし(クリーニング程度) |
📌 ポイント:
- ホワイトニングサロンは「歯のクリーニング」に近い
- 本格的に白くしたいなら、歯科医院でのホワイトニングが必要
📝 8. まとめ:「ホワイトニングの仕組み」を理解して、理想の白い歯へ!
ホワイトニングを成功させるためには、自分に合った方法を選び、正しいケアを継続することが重要 です。ここでは、ホワイトニングを効果的に活用するためのポイントと、白さを長期的に維持する方法を解説します。
✅ 1. 正しいホワイトニング選びのポイント
🦷 ホワイトニングの種類別の選び方
ホワイトニングにはさまざまな種類がありますが、目的やライフスタイルに応じて最適な方法を選ぶことが大切です。
| ホワイトニングの種類 | 特徴 | おすすめの人 |
|---|---|---|
| オフィスホワイトニング | 即効性が高く、1回で白くなる | 短期間で白くしたい人(結婚式・面接など) |
| ホームホワイトニング | ゆっくり白くなり、持続性が高い | 自然な白さを長持ちさせたい人 |
| デュアルホワイトニング | 即効性 + 持続性の両方が得られる | 確実な効果を求める人 |
| セルフホワイトニング | 表面の着色を落とすのみ | 軽い着色が気になる人 |
📌 ホワイトニング選びのポイント ✔ 短期間で効果を求めるなら「オフィスホワイトニング」
✔ 時間をかけて長持ちさせたいなら「ホームホワイトニング」
✔ どちらも取り入れて、最も効果的に白くしたいなら「デュアルホワイトニング」
✔ 市販のホワイトニング商品やサロンのセルフホワイトニングは「着色除去」レベルであることを理解する
🦷 2. 長期的に白さを維持するために
ホワイトニング後の白さをキープするためには、日々のセルフケアと定期的なメンテナンス が欠かせません。
🛠 ① 再着色を防ぐ生活習慣
ホワイトニング後は 歯が着色しやすい状態 なので、以下の習慣を意識すると効果が長持ちします。
✅ ホワイトニング直後の24時間は、色の濃い飲食物を避ける
✅ コーヒー・紅茶・赤ワインなど、色素の強い飲み物はストローを使う
✅ 食後はすぐに水でうがいをする(特に着色しやすい食品を摂った後)
✅ タバコを控える(ヤニが歯の表面に沈着するのを防ぐ)
🪥 ② ホワイトニング後の歯磨きケア
ホワイトニング効果を持続させるために、適切な歯磨き習慣を身につける ことが大切です。
✅ ホワイトニング専用の歯磨き粉を使う(研磨剤が少ないものを選ぶ)
✅ デンタルフロスや歯間ブラシを使って歯の隙間の汚れを除去する
✅ 就寝前の歯磨きをしっかり行い、口内環境を整える
📌 おすすめのホワイトニング歯磨き粉
- アパガードプレミオ(ナノハイドロキシアパタイト配合)
- シュミテクト ホワイトニング(知覚過敏対策 & ホワイトニング)
- ブリリアントモア(ポリリン酸ナトリウム配合)
⏳ ③ 定期的なメンテナンス(リタッチホワイトニング)
ホワイトニングは 放置すると後戻り するため、定期的なメンテナンスが必要です。
| ホワイトニングの種類 | 推奨メンテナンス頻度 |
|---|---|
| オフィスホワイトニング | 3~6ヶ月ごとに1回 |
| ホームホワイトニング | 6ヶ月ごとに追加ホワイトニング |
| デュアルホワイトニング | 1年に1回メンテナンス |
📌 白さを維持するコツ ✔ 「少し黄ばんできたかな?」と感じたら、早めにリタッチ
✔ 定期的に歯科医院でチェックし、必要に応じて追加ホワイトニング
✔ ホワイトニング後に「ホワイトコート(歯の表面の保護剤)」を塗布すると持続力UP!
✨江戸川区篠崎でホワイトニング!歯が白くなる仕組みを徹底解説✨

「ホワイトニングって本当に白くなるの?」「どうして歯が白くなるの?」そんな疑問をお持ちの方へ!
江戸川区篠崎の当院では、最新のホワイトニング技術を導入し、歯の内部の色素を分解して本来の白さを引き出します。ホワイトニング剤に含まれる 過酸化水素 が歯の黄ばみを分解し、透明感のある美しい白い歯へと導きます。
こんな方におすすめ!
✅ コーヒーや紅茶の着色が気になる
✅ 笑顔に自信を持ちたい
✅ 短期間で白さを実感したい
当院では 「オフィスホワイトニング」「ホームホワイトニング」 の両方を提供し、あなたに最適な方法をご提案します。
江戸川区篠崎でホワイトニングなら、ぜひ当院へ! お気軽にご相談ください✨
【動画】ホームホワイトニングの効果的なやり方
筆者・院長

深沢 一
Hajime FUKASAWA
- 登山
- ヨガ
メッセージ
日々進化する歯科医療に対応するため、毎月必ず各種セミナーへの受講を心がけております。
私達は、日々刻々と進歩する医学を、より良い形で患者様に御提供したいと考え、「各種 歯科学会」に所属すると共に、定期的に「院内勉強会」を行う等、常に現状に甘んずる事のないよう精進致しております。 又、医療で一番大切な事は、”心のある診療”と考え、スタッフと共に「患者様の立場に立った診療」を、心がけております。



