- 1. 【📹 40秒】あなたの歯の変色、もしかしてテトラサイクリン歯?原因と最適な治療法とは
- 2. 📌 テトラサイクリン歯の基礎知識
- 2.1. ✅ テトラサイクリン歯とは?
- 2.2. ⏳ いつ服用すると起こるのか?(0〜8歳の形成期に注意)
- 2.3. 🧬 他の歯の変色との違い(フッ素症・エナメル形成不全など)
- 3. 🧪 原因|なぜ歯が変色するのか?
- 3.1. 💊 原因①:抗生物質(テトラサイクリン系)の服用
- 3.2. 🤰 原因②:妊娠中の母親が服用したケース
- 3.3. 🧒 原因③:幼児期の服用・塗布
- 3.4. 🌍 原因④:フッ素の過剰摂取や遺伝・環境要因
- 4. 👀 症状の現れ方と見え方の特徴
- 4.1. 📷テトラサイクリン歯の症例
- 4.2. 🟡 軽度:黄ばみや薄い縞模様
- 4.3. 🟠 中度:茶色・灰色の濃い縞模様
- 4.4. 🔴 重度:黒っぽく、全体が変色
- 4.5. 📸 変色の部位・タイミング
- 5. 🛠 治療法の全体像と選び方ガイド
- 5.1. ⚖️ どの治療法を選べばいい?変色レベル別チャート
- 5.2. ❓ ホワイトニングとセラミック、どちらを選ぶべき?
- 5.2.1. 🌟 ホワイトニング
- 5.2.2. 💎 セラミック治療(ベニア・クラウン)
- 6. 💡 ホワイトニングで改善できるのか?
- 6.1. 🏠 ホームホワイトニング
- 6.1.1. 📸ホームホワイトニングのテトラサイクリン歯軽度症例
- 6.1.1.1. 📸 1枚目:軽度のテトラサイクリン歯(Before)
- 6.1.1.1.1. 特徴
- 6.1.1.2. 📸 2枚目:ホワイトニング後(After・A1相当)
- 6.1.1.2.1. 改善ポイント
- 6.2. 🏥 オフィスホワイトニング
- 6.3. 🔁 デュアルホワイトニング
- 6.4. 💉 テトラサイクリン歯専用ホワイトニングとは?
- 7. 💎 セラミック治療|中度〜重度に有効な選択肢
- 7.1. 🪞 ラミネートベニア
- 7.1.1. 📸ラミネートベニア治療例
- 7.2. 🦷 オールセラミッククラウン
- 7.2.1. 📸重度テトラサイクリン歯に対するオールセラミッククラウン治療|術前・術後比較
- 7.3. 🧮 費用・耐久年数・見た目の違い比較表
- 8. 💡 その他の選択肢|削らずに治す方法
- 8.1. 🧴 ダイレクトボンディング
- 8.2. 🔧 コンポジットレジン
- 8.3. 🧼 ホワイトニング歯磨き粉では改善しない理由
- 9. 💰 費用と治療期間の目安
- 9.1. 💸 各治療法の費用相場と通院回数
- 9.2. ⏱ メンテナンスの頻度と長期費用
- 9.3. 🏥 保険適用の可能性はあるのか?
- 10. 🧠 よくある質問(Q&A)
- 10.1. ❓ 自然に治ることはある?
- 10.2. ❓ 子どもに発症させないためには?
- 10.3. ❓ セラミックとホワイトニング、どちらが自分向き?
- 10.4. ❓ 裁判で薬害として認められるのか?
- 11. 📝 まとめ|早期発見・早期治療が明るい笑顔への第一歩!
- 12. 🦷 江戸川区篠崎でテトラサイクリン歯の治療をお考えの方へ!
- 13. 【動画】ホームホワイトニングの効果的なやり方
- 14. 筆者・院長

「昔の薬のせいで歯が変色している気がする…」
「ホワイトニングをしても全然白くならない…」
そんなお悩みを抱えている方は、もしかすると**“テトラサイクリン歯”かもしれません。
これは、幼少期に服用したテトラサイクリン系抗生物質の影響で、歯が灰色や茶色、黄色の縞模様**に変色してしまう状態です。
見た目の問題だけでなく、自己肯定感や笑顔にも影響しやすいため、適切な診断と治療がとても大切です。
本記事では、
🔹 テトラサイクリン歯の原因・症状の特徴
🔹 ホワイトニングやセラミックなどの治療法
🔹 費用・期間・保険適用の可否
など、歯科医院でのカウンセリング前に知っておきたいポイントをわかりやすく解説します。
あなたの歯の悩みを解決する第一歩として、ぜひ最後までご覧ください🦷✨
【📹 40秒】あなたの歯の変色、もしかしてテトラサイクリン歯?原因と最適な治療法とは
📌 テトラサイクリン歯の基礎知識
✅ テトラサイクリン歯とは?
「テトラサイクリン歯」とは、乳幼児期にテトラサイクリン系抗生物質を摂取したことが原因で起こる歯の変色のことです。特に、永久歯がつくられる0〜8歳頃に服用すると、歯の内側にある象牙質に薬の色素が沈着し、灰色・茶色・黄色などの縞模様のような変色が現れます。

テトラサイクリン系抗生物質は、かつて子どもの感染症治療によく使われていましたが、歯の変色という副作用が問題視され、現在では小児や妊婦への使用は基本的に避けられています。
⏳ いつ服用すると起こるのか?(0〜8歳の形成期に注意)
テトラサイクリン歯は、**永久歯の歯胚が形成される時期(おおよそ0~8歳)**にテトラサイクリン系の薬を使用すると起こります。この時期に薬が体内に入ると、血液を通して歯の成分であるカルシウムと結合し、歯の内部(象牙質)に色素が取り込まれてしまうのです。

また、歯が生えた後に紫外線(太陽光)に当たることで酸化が進み、変色がより濃くなるという特徴もあります。したがって、幼少期に一度でも服用していると、成長とともに変色が明らかになる場合があります。
🧬 他の歯の変色との違い(フッ素症・エナメル形成不全など)
テトラサイクリン歯は、歯の内部(象牙質)からの変色であり、表面的な着色とは異なります。以下のような他の歯の変色と混同しないように注意が必要です。
| 種類 | 色の特徴 | 発生時期 | 主な原因 | 治療のしやすさ |
|---|---|---|---|---|
| テトラサイクリン歯 | 灰色・茶色・黄色の縞模様 | 0〜8歳(永久歯の形成期) | テトラサイクリン系抗生物質の服用 | ホワイトニング効果が限定的 |
| フッ素症(斑状歯) | 白斑や茶色の斑点 | 幼少期 | フッ素の過剰摂取 | 軽度なら改善可能 |
| エナメル形成不全 | 白濁・透明感がなく、脆い質感 | 出生時から | 歯の発育異常・栄養不良・高熱など | セラミック等が必要なことも |
特にテトラサイクリン歯は歯の内部からの変色のため、歯磨きや市販のホワイトニングでは改善が難しいという点が大きな違いです。
🧪 原因|なぜ歯が変色するのか?
テトラサイクリン歯の主な原因は、歯の形成期にテトラサイクリン系抗生物質を体内に取り込むことです。ただし、それ以外にもいくつかの間接的な要因が知られています。以下で詳しく解説します。

💊 原因①:抗生物質(テトラサイクリン系)の服用
テトラサイクリン歯の最も代表的な原因が、テトラサイクリン・ミノサイクリン・ドキシサイクリンなどの抗生物質の服用です。
これらの薬剤は、歯の成分であるカルシウムと結びつきやすく、歯の内部(象牙質)に色素として沈着します。そして、歯が生えてくると徐々に変色が目立つようになります。
📌 特にリスクが高いのは、以下のような使用例:
- 幼児期に風邪や扁桃炎で長期服用
- ニキビ治療などでの継続的な服用
🤰 原因②:妊娠中の母親が服用したケース
妊婦が妊娠中(特に後期)にテトラサイクリン系抗生物質を服用すると、胎盤を通じて胎児に薬剤が移行し、乳歯に変色が起こることがあります。
☑️ ポイント:
- 永久歯への影響はないが、乳歯の変色リスクがある
- 現在は、妊娠中のテトラサイクリン投与は基本的に禁忌
🧒 原因③:幼児期の服用・塗布
0~8歳頃の子どもがテトラサイクリン軟膏や内服薬を使用した場合も、永久歯の変色リスクがあります。
👄 よくあるケース:
- 口唇ヘルペスやとびひに使われる「アクロマイシン軟膏」など
- 軟膏は経口摂取しなければ問題ないが、誤って飲み込むとリスクがある
🌍 原因④:フッ素の過剰摂取や遺伝・環境要因
テトラサイクリン歯の変色には、薬剤以外の環境的・遺伝的要因も影響することがあります。
🌿 関連要因:
- 高濃度のフッ素を含む水を長期間摂取した場合、変色が悪化する可能性あり(フッ素症との合併)
- 遺伝的に象牙質が着色しやすい体質があるとも言われている
徴」に関する本文です。視覚的な特徴と症例の読み取り方を詳しく解説し、読者の理解を深める構成になっています。
👀 症状の現れ方と見え方の特徴
テトラサイクリン歯の変色は、服用時期・服用量・期間によって大きく異なります。ここでは変色の程度ごとに、見た目や症状の違いを紹介します。
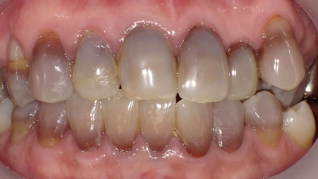
📷テトラサイクリン歯の症例

歯頸部が変色したテトラサイクリン歯
軽度の変色ですが歯頸部にあるためホワイトニングがやや難しいケースです。

歯の中央部に褐色ラインがあるテトラサイクリン歯
ホームホワイトニングでかなり綺麗になる可能性のある症例です。

重度のテトラサイクリン歯
全歯牙に渡って黒褐色の変色が起こっています。 ホワイトニングだけでは難しくラミネートベニヤの適応症例です。

前歯にテトラサイクリン歯は認められず
前歯の変色が見られないところを見ると8歳から9歳頃テトラサイクリンの服用をしたものと思われます。
🟡 軽度:黄ばみや薄い縞模様
- 歯がやや黄ばみがかった色に見える
- 光の加減でうっすら縞模様が確認できる程度
- 前歯や犬歯の一部に限定的な変色
🪥 ホワイトニングで比較的改善が見込める症例が多く、審美的にも目立ちにくい状態です。
🟠 中度:茶色・灰色の濃い縞模様
- 明確にわかる茶色や灰色の帯状変色
- 歯の中央や歯頸部(歯と歯茎の境目)に左右対称のライン模様が現れることも
- 縞模様が歯の横方向(水平)に出るのが特徴
🦷 ホワイトニングだけでは改善が難しく、ラミネートベニアとの併用が検討されるレベルです。
🔴 重度:黒っぽく、全体が変色
- 歯全体が黒ずんで見える
- 灰色・褐色・紫がかった色にまで変化することも
- 複数の歯に及ぶケースが多く、特に奥歯や側切歯に強く出やすい
🛑 ホワイトニングの効果はほとんど期待できず、オールセラミッククラウンによる補綴治療が必要になることが一般的です。
📸 変色の部位・タイミング
服用時期によって、変色の現れ方は以下のように異なります。
| 服用年齢 | 変色が見られる歯 | 変色の部位例 |
|---|---|---|
| 2〜4歳 | 前歯(中切歯) | 歯の中央部に茶色の縞模様 |
| 5〜6歳 | 側切歯・犬歯 | 歯頸部や全体にわたる茶〜灰色の変色 |
| 7〜8歳 | 小臼歯〜大臼歯 | 歯全体に黒ずみが出ることがある |
🔎 症例写真を診断材料にすることで、服用時期や薬剤の量もある程度推測可能です。診断を受ける際は、幼少期の服薬歴を思い出しておくとスムーズです。
🛠 治療法の全体像と選び方ガイド
テトラサイクリン歯の治療法には複数の選択肢がありますが、どの治療が適しているかは“変色の程度”によって大きく異なります。まずは、自分の歯の状態を見極め、無理のない方法を選ぶことが大切です。
⚖️ どの治療法を選べばいい?変色レベル別チャート
| 変色レベル | 症状の特徴 | 推奨治療法 | ポイント |
|---|---|---|---|
| 🟡 軽度 | 薄い黄ばみ・目立たない縞模様 | ホワイトニング(ホーム/オフィス) | 歯を削らずに改善が期待できる |
| 🟠 中度 | はっきりした茶色・灰色の縞模様 | デュアルホワイトニング+ラミネートベニア | ホワイトニング+セラミックで審美性アップ |
| 🔴 重度 | 歯全体が黒ずむ・色が濃く目立つ | オールセラミッククラウン | 完全に変色を隠せるが、歯を大きく削る必要がある |
💡 まずはホワイトニングで試し、効果が不十分ならセラミック治療を検討するという段階的なアプローチが一般的です。
❓ ホワイトニングとセラミック、どちらを選ぶべき?
どちらの治療法を選ぶべきかは、審美性の重視度・歯を削ることへの抵抗・予算などによって変わります。

🌟 ホワイトニング
- メリット:歯を削らない/費用が抑えられる/治療が手軽
- デメリット:重度の変色には効果が薄い/後戻りの可能性あり
💎 セラミック治療(ベニア・クラウン)
- メリット:確実に白く美しい歯を手に入れられる/変色の再発がない
- デメリット:歯を削る/高額/複数回の通院が必要
📌 選び方のポイント
- 🔍 軽度の方:「まずはホワイトニング」で様子を見る
- ⚖️ 中度以上の方:「ホワイトニング+セラミック」を組み合わせて自然な仕上がりへ
- 🎯 確実に白くしたい方:「オールセラミック」が最も効果的
💡 ホワイトニングで改善できるのか?
テトラサイクリン歯は、歯の内部(象牙質)に色素が沈着しているため、通常のホワイトニングでは十分な効果が出ないこともあります。特に中度〜重度の場合は限界がありますが、軽度であれば一定の改善が期待できるため、まずはホワイトニングを検討する価値があります。
🏠 ホームホワイトニング
特徴:
- 自宅でマウスピースに薬剤を入れて使用
- 毎日数時間の装着を数週間〜数ヶ月継続
- 徐々に歯が白くなる
期間:2〜6ヶ月以上かけてじっくり
費用相場:2〜5万円(薬剤+マウスピース代)
向いている人:
- 軽度の黄ばみや薄い縞模様の人
- 通院時間が取りにくい人
- 少しずつでも白くしたい人
💬 テトラサイクリン歯の中でも歯頸部に強い変色がない軽度症例には有効です。
📸ホームホワイトニングのテトラサイクリン歯軽度症例


📸 1枚目:軽度のテトラサイクリン歯(Before)
1枚目の写真では、歯の表面に帯状(バンディング)の色むらが見られます。これは、以前にテトラサイクリン系抗生物質を服用した影響で、歯質の内部に色素が取り込まれてしまうことにより起こる典型的な所見です。
特徴
- エナメル質の内部に沈着したグレー〜ブラウン系の色調
- 特に前歯の中央部に色の濃淡(帯状)が見られる
- 変色は表面ではなく、歯の内部にあるため通常のクリーニングでは改善しにくい
軽度のケースのため、重度に見られるような濃いグレーや褐色はありませんが、全体的にくすみがあり透明感も低く見えます。
📸 2枚目:ホワイトニング後(After・A1相当)
2枚目はホワイトニング後で、歯の白さ・透明感・明度が大きく改善しています。
改善ポイント
- A1相当の自然で明るい白さ
- 前歯の中央部にあった帯状の変色が目立たなくなっている
- 全体的に色ムラが均一化し、透明感が向上
- 清潔感が増し、口元全体が明るい印象に
軽度のテトラサイクリン歯はホワイトニングで改善しやすい傾向がありますが、このケースは非常にきれいに色調が揃っており、患者さん満足度の高い仕上がりといえます。
🏥 オフィスホワイトニング
特徴:
- 歯科医院で高濃度の薬剤を使用して施術
- 1回の施術で効果が出ることもある
- 短期間で結果が欲しい人向け
即効性の有無:
- 通常の歯の着色には即効性あり
- テトラサイクリン歯では効果が限定的
- 中度〜重度の縞模様には対応が難しいことが多い
費用相場:1回 2〜5万円
⚠️ 効果の維持には複数回通院+ホームとの併用が推奨されます
🔁 デュアルホワイトニング
特徴:
- オフィス+ホームを併用する方法
- 短期間である程度の白さを出しつつ、長期間の定着を狙う
メリット:
- 両方の長所を活かせるため、テトラサイクリン歯には最も現実的な選択肢
- 中度症例でもある程度の改善が期待できる
費用相場:5〜10万円
治療期間:1〜3ヶ月が一般的
💉 テトラサイクリン歯専用ホワイトニングとは?
通常のホワイトニングでは効果が薄いため、テトラサイクリン歯専用の高濃度ジェルを使った長期プログラムが用意されている歯科医院もあります。
特徴:
- 高濃度の過酸化尿素(10〜22%)を使用
- 効果が出るまで3〜6ヶ月以上かかる
- 歯の内部に作用するため、時間をかけてゆっくり漂白
📝 この方法は、特に中度でセラミックに抵抗がある人向けです。
📝 まとめ
| ホワイトニング法 | 特徴 | 費用 | 向いている症例 |
|---|---|---|---|
| ホームホワイトニング | 徐々に白くなる | 2〜5万円 | 軽度向け |
| オフィスホワイトニング | 即効性重視 | 2〜5万円 | 軽度〜中度(一部) |
| デュアルホワイトニング | 両方の良いとこ取り | 5〜10万円 | 中度も対応可 |
| 専用ホワイトニング | 長期間+高濃度 | 5〜15万円 | 中度〜重度(削りたくない人) |
ホワイトニングは万能ではありませんが、最初のステップとしては十分有効な選択肢です。効果が不十分な場合は、次にセラミック治療を検討しましょう。
💎 セラミック治療|中度〜重度に有効な選択肢
テトラサイクリン歯の変色が中度以上になると、ホワイトニングでは満足のいく改善が難しいケースが多くなります。そこで、より確実な審美回復を図る方法として選ばれるのが「セラミック治療」です。
🪞 ラミネートベニア
歯の表面を薄く削り、セラミックシェルを貼り付ける治療法です。
歯への侵襲を抑えつつ、自然な白さと形を再現できます。
🔹 特徴:
- 歯の正面のみを0.3〜0.7mm程度削る
- 中度の変色に適応
- 見た目が自然で、透明感のある仕上がり
✅ メリット:
- 歯を大きく削らずに済む
- ホワイトニングより確実に白くなる
- 歯並びや形も一緒に整えられる
❌ デメリット:
- 強い衝撃で割れることがある
- 保険適用外(自費診療)
📸ラミネートベニア治療例


🦷 オールセラミッククラウン
歯全体を削り、セラミック製の被せ物で完全に覆う方法です。
重度のテトラサイクリン歯に対して、確実に色を隠したい方に最適です。
🔹 特徴:
- 歯の全周を削ってクラウンをかぶせる
- 強い黒ずみ・濃い縞模様を完全にカバーできる
- 咬み合わせや強度の調整も可能
✅ メリット:
- どんなに濃い変色でも隠せる
- 色戻りの心配がなく、長期間美しさを保てる
- 耐久性が高い(10年以上)
❌ デメリット:
- 健康な歯を大きく削る必要がある
- 高額かつ通院回数が多め
📸重度テトラサイクリン歯に対するオールセラミッククラウン治療|術前・術後比較


幼少期のテトラサイクリン系抗菌薬の影響により、前歯部に強い変色を認めた重度テトラサイクリン歯の症例です。
ホワイトニングでは改善が困難なため、オールセラミッククラウンを用いて治療を行いました。
治療後は、色調・透明感・歯肉との調和が大きく改善し、自然で審美性の高い前歯部を回復しています。
🧮 費用・耐久年数・見た目の違い比較表
| 項目 | ラミネートベニア | オールセラミッククラウン |
|---|---|---|
| 適応レベル | 中度の変色まで | 中度〜重度(全体的な黒ずみ) |
| 歯の削除量 | 表面を薄く削る | 全体を大きく削る |
| 自然な見た目(透明感) | ◎ 非常に自然 | ◯ ややマットな仕上がりになることも |
| 耐久年数 | 約7〜10年 | 約10〜15年 |
| 費用の目安(1本) | 8〜15万円 | 12〜20万円 |
| 保険適用 | ❌ 自費診療 | ❌ 自費診療 |
💡 その他の選択肢|削らずに治す方法
「歯を削るのは怖い…」「できるだけ自然な歯を残したい」という方には、削らずに変色をカバーする低侵襲な治療法もあります。ただし、効果や耐久性には限界もあるため、適応症例は限定的です。
🧴 ダイレクトボンディング
レジン(歯科用プラスチック)を直接盛り付けて変色を隠す方法です。
🔹 特徴:
- 歯の表面をほとんど削らず、直接材料を盛り足す
- 色や形も調整可能
- 治療は基本的に1回で完了
✅ メリット:
- 歯を削らずに済む
- 比較的安価(1本 2〜5万円)
- 審美性もある程度は確保できる
❌ デメリット:
- 経年劣化で変色・摩耗しやすい
- 強度が弱く、欠けやすい
- 中度〜重度の変色には不向き
🔧 コンポジットレジン
白い詰め物(樹脂)を用いて変色部分を覆う方法で、ダイレクトボンディングの一種です。
🔹 特徴:
- 小さな変色部分や歯の裏側など、局所的な対応に適している
- 色調を周囲の歯と合わせることで、目立たなく仕上げる
✅ メリット:
- 費用が安い(1〜3万円程度)
- 短時間・即日で処置可能
❌ デメリット:
- 光沢がなく、時間とともに色がくすむ
- 大きな変色には対応できない
- 長期的な美しさは維持しづらい
🧼 ホワイトニング歯磨き粉では改善しない理由
テトラサイクリン歯の変色は歯の内部(象牙質)に沈着しているため、表面を磨くだけでは白くなりません。

🦷 歯磨き粉の限界:
- 市販のホワイトニング歯磨き粉は表面の汚れ(ステイン)除去が目的
- 象牙質に沈着した色素には一切作用しない
- 効果を感じられず、かえって誤解を生むことも
📌 ワンポイント:
「ホワイトニング歯磨き粉で白くならないのは異常じゃない」
→ テトラサイクリン歯の構造的な特性によるものです。
📝 まとめ
| 治療法 | 削る? | 効果 | 耐久性 | 費用目安 | 適応レベル |
|---|---|---|---|---|---|
| ダイレクトボンディング | ❌ | ◯ | △ | 2〜5万円/本 | 軽度〜中度 |
| コンポジットレジン | ❌ | △ | △ | 1〜3万円/本 | 軽度(局所) |
| 歯磨き粉 | ❌ | ❌ | ― | 数百〜数千円 | ×(効果なし) |
💰 費用と治療期間の目安
テトラサイクリン歯の治療は、症状の程度や選択する治療法によって大きく費用・通院回数が異なります。自費治療が中心となるため、事前にしっかりと比較・検討することが大切です。
💸 各治療法の費用相場と通院回数
| 治療法 | 費用目安(1本あたり) | 通院回数 | 特徴 |
|---|---|---|---|
| ホームホワイトニング | 2〜5万円 | 1回+経過観察 | 自宅でじっくり漂白/軽度向け |
| オフィスホワイトニング | 2〜5万円(1回) | 1〜数回 | 即効性あり/中度には効果が限定的 |
| デュアルホワイトニング | 5〜10万円 | 2〜4回 | 効果重視/中度向け |
| ラミネートベニア | 8〜15万円 | 2〜3回 | 審美性が高く、中度変色に最適 |
| オールセラミッククラウン | 12〜20万円 | 3〜5回 | 重度変色を完全にカバーできる最終手段 |
| ダイレクトボンディング | 2〜5万円 | 1回 | 歯を削らず対応/軽〜中度向け |
| コンポジットレジン | 1〜3万円 | 1回 | 局所的変色向け/審美性や耐久性はやや劣る |
🧾 ※複数本処置する場合は、合計金額が大きくなるため事前見積もりが重要です。
⏱ メンテナンスの頻度と長期費用
治療後も、美しさを維持するためには定期的なケアとメンテナンスが必要です。
| 治療法 | メンテナンス頻度 | 長期費用の目安(年間) | 注意点 |
|---|---|---|---|
| ホワイトニング系 | 3〜6ヶ月ごと | 5,000〜2万円 | 着色戻りを防ぐための再施術が必要 |
| セラミック治療 | 6ヶ月〜1年ごと | 5,000〜1万円 | 表面の研磨や破損確認が必要 |
| ダイレクト/レジン系 | 半年ごと | 数千円〜1万円 | 変色・欠けの修復が必要になることも |
📌 ホワイトニングは「継続性」、セラミックは「耐久性」が強みですが、いずれも放置せずに定期通院することが長持ちの秘訣です。
🏥 保険適用の可能性はあるのか?
テトラサイクリン歯の治療は、基本的には**「審美目的」と判断されるため保険適用外(自費診療)**となります。
🧾 ただし、以下の場合は例外的に保険適用される可能性もあります:
- 変色が著しく、心理的・社会的に大きな支障があると歯科医が判断した場合(特に小児)
- 補綴(クラウン等)が機能回復を目的として必要と認められた場合
- 使用素材が保険対応のレジンや金属冠である場合
⚠️ ただし、これらのケースでも審美性の高いセラミックなどは対象外で、保険適用を希望する場合は、適応条件を歯科医と確認する必要があります。
🧠 よくある質問(Q&A)
❓ 自然に治ることはある?
いいえ。テトラサイクリン歯は自然に治ることはありません。
変色の原因は、歯の内部にある象牙質へ色素が沈着しているため、時間が経っても薄くなったり消えたりすることはありません。
また、歯の表面をいくら磨いても改善しないため、市販の歯磨き粉やクリーニングでは対応できません。
📝 改善を望む場合は、ホワイトニングやセラミック治療といった専門的な処置が必要です。
❓ 子どもに発症させないためには?
原因となる抗生物質を避けることが最大の予防法です。
✅ 0〜8歳の子どもにテトラサイクリン系抗生物質を処方しないよう医師に確認する
✅ 妊娠中の母親もテトラサイクリン系の薬を服用しない(胎児の乳歯に影響)
✅ 代替薬(ペニシリン系やセフェム系など)を相談する
🧪 さらに、高濃度フッ素の過剰摂取にも注意が必要です。水道水や歯磨き粉に含まれるフッ素の濃度にも気を配りましょう。
❓ セラミックとホワイトニング、どちらが自分向き?
それぞれの変色の程度と希望の仕上がりによって選び方が変わります。
| 変色レベル | 適した治療法 | おすすめの人 |
|---|---|---|
| 軽度 | ホワイトニング | 削らずに自然に白くしたい人 |
| 中度 | ホワイトニング+ベニア | 少し削っても見た目を改善したい人 |
| 重度 | オールセラミッククラウン | 確実に変色を隠したい・白さ重視の人 |
💬 「なるべく削りたくない」「コストを抑えたい」などの希望に応じて選択肢は異なります。迷ったらまずは歯科医院でカウンセリングを受けてみましょう。
❓ 裁判で薬害として認められるのか?
現実的には、裁判で薬害と認定されるのは非常に困難です。

たとえテトラサイクリン歯が薬の副作用による変色であっても、以下のような理由から裁判での勝訴は難しいとされています。
⚖️ 条件として求められるのは:
- 当時の服用が医学的に不要だったと他の医師が証明すること
- 適切な代替薬が存在したにもかかわらず使われなかったことの証拠
- 医師の過失や説明義務違反が客観的に立証されること
💡 つまり「過去の正当な治療判断」に対する責任追及は非常にハードルが高く、実際に薬害訴訟が成功した例はほとんどありません。
📝 まとめ|早期発見・早期治療が明るい笑顔への第一歩!
テトラサイクリン歯は、自然に治ることはなく、見た目の悩みや自信の低下につながりやすい症状です。しかし、現代の審美歯科では、患者さんの状態に合わせたさまざまな治療法が選べる時代になっています。
🔹 軽度の変色なら、まずはホームホワイトニングやデュアルホワイトニングなど、歯を削らずに対応できる方法からスタートできます。
🔹 中度〜重度の変色には、ラミネートベニアやオールセラミッククラウンといった審美補綴が有効で、確実に白く、美しい仕上がりが期待できます。
🔹 予防のカギは、0〜8歳の成長期にテトラサイクリン系抗生物質の服用を避けること。フッ素の摂りすぎや、妊娠中の服用にも注意が必要です。
🔹 治療方法の選択には、専門的な診断とカウンセリングが欠かせません。
🦷 江戸川区篠崎でテトラサイクリン歯の治療をお考えの方へ!

「昔の薬のせいで歯が黒ずんできた…」そんなお悩み、あきらめないでください。
江戸川区篠崎でテトラサイクリン歯にお悩みの方は、当院へご相談ください。
当院では、見た目のお悩みを解消する審美治療(ホワイトニング・セラミック)に力を入れています。
🔹 歯を削らずに白さを目指せる「ホームホワイトニング」
🔹 中度〜重度の変色にも対応可能な「セラミック治療」
🔹 丁寧なカウンセリングと明確な費用提示で安心
「本当に白くなるの?」「削らずに治せる?」
そんな疑問にも、経験豊富な歯科医師がしっかりと向き合い、ご提案いたします。
江戸川区篠崎エリアで、テトラサイクリン歯を専門的に診てもらいたい方は、まずはお気軽に相談へ。
あなたの笑顔を取り戻すお手伝いを、私たちが全力でサポートします🦷✨
【動画】ホームホワイトニングの効果的なやり方
筆者・院長

深沢 一
Hajime FUKASAWA
- 登山
- ヨガ
メッセージ
日々進化する歯科医療に対応するため、毎月必ず各種セミナーへの受講を心がけております。
私達は、日々刻々と進歩する医学を、より良い形で患者様に御提供したいと考え、「各種 歯科学会」に所属すると共に、定期的に「院内勉強会」を行う等、常に現状に甘んずる事のないよう精進致しております。 又、医療で一番大切な事は、”心のある診療”と考え、スタッフと共に「患者様の立場に立った診療」を、心がけております。


