- 1. 【🎞️ 28秒】虫歯や歯ぎしりが原因?歯が欠ける仕組みと予防策を解説
- 2. 🧨 歯が欠ける原因とは?
- 2.1. 🔬 虫歯による内部の脆弱化
- 2.2. ⌛ 加齢によるエナメル質・象牙質の劣化
- 2.3. 💥 外傷や事故による物理的破折
- 2.4. 🍬 硬い物の咀嚼による破損
- 2.5. 😬 歯ぎしり・食いしばり・TCHの影響
- 3. 🚑 歯が欠けた時の応急処置と症状別の対応
- 3.1. ⚠️ 小さく欠けた場合(痛みなし)
- 3.2. 🌡 中程度の欠け(象牙質まで)
- 3.3. 💢 大きな欠け+痛みあり(神経露出)
- 4. 🛠 歯科医院での治療法一覧【欠け方別】
- 4.1. 🧴 軽度の欠け|コンポジットレジン充填
- 4.2. 🔩 中等度の欠け|インレー(メタル・CAD/CAM・セラミック)
- 4.3. 👑 重度の欠け・神経露出|根管治療+クラウン
- 5. 💰 費用の目安と保険の範囲
- 5.1. 💳 保険診療の費用目安(点数・負担額)
- 5.1.1. 🧴 コンポジットレジン(小さな欠け)
- 5.1.2. 🔩 インレー(中等度の欠け)
- 5.1.3. 👑 クラウン(重度の欠け)
- 5.2. 💎 自費診療の費用と選び方
- 5.2.1. 👑 クラウンの自費素材と費用相場(目安)
- 5.2.2. 🧱 ファイバーコアとの組み合わせ
- 6. 🔍 見分け方|虫歯か?歯ぎしりか?欠けた原因の判断
- 6.1. 🎯 黒ずみ・柔らかさがある=虫歯の可能性
- 6.1.1. ✅ 見分けポイント
- 6.2. 🪓 くさび状欠損+平坦な咬合面=歯ぎしりの可能性
- 6.2.1. ✅ 見分けポイント
- 6.3. 🗣 どちらかわからないときは…
- 7. 🧯 歯が欠けるのを防ぐ!日常でできる予防法
- 7.1. 🪥 正しいブラッシングとフッ素活用
- 7.2. 🏥 定期検診とクリーニング
- 7.3. 🥦 栄養管理と咬み癖の見直し
- 7.4. 😴 ナイトガードの活用と歯ぎしり対策
- 7.5. 💡 ストレス管理とTCHの意識化
- 8. ❓ よくある質問(FAQ)
- 8.1. Q1:米粒ほど欠けただけなら放置してもいい?
- 8.2. Q2:奥歯の根元が黒く見えるが虫歯?それとも歯ぎしり?
- 8.3. Q3:仕事が忙しくすぐ受診できないときは?
- 9. 📝 まとめ|歯が欠けたら早めに受診を!
- 10. 📍 江戸川区篠崎で「歯が欠けた」お悩みの方へ
- 11. 【動画】初期虫歯COを削らずに自分で治す方法
- 12. 筆者・院長

✅ はじめに
「歯が欠けた!」――そんな突然のトラブルに戸惑った経験はありませんか?実は、歯が欠けるのは決して珍しいことではありません。虫歯や加齢、外傷、さらには硬い物を噛んだだけでも、歯は簡単に欠けてしまうことがあります。
「痛くないから大丈夫」と思って放置してしまう方も多いですが、実際には歯の内部で虫歯が進行しているケースも少なくありません。小さな欠けがやがて大きな破折につながり、最終的には抜歯が必要になることもあります。
本記事では、歯が欠ける主な原因、応急処置の方法、欠け方に応じた治療法、予防のポイントまでをわかりやすく解説します。自分やご家族の歯を守るためにも、ぜひ最後までご覧ください。
【🎞️ 28秒】虫歯や歯ぎしりが原因?歯が欠ける仕組みと予防策を解説
🧨 歯が欠ける原因とは?
歯が欠ける原因はさまざまですが、大きく分けると「内部からの脆弱化」と「外部からの物理的な力」に分類されます。ここでは、主な5つの原因について詳しく解説します。
🔬 虫歯による内部の脆弱化
歯が欠ける最も多い原因の一つが虫歯です。虫歯菌がエナメル質や象牙質を溶かすことで、歯の中が空洞化し、見た目以上に脆くなっていきます。



- C1(エナメル質の虫歯):表面が溶け始めた段階。まだ痛みは出ませんが、噛む力で欠けることも。
- C2(象牙質まで進行):内部が柔らかくなり、歯の構造が崩れやすくなります。
- C3(神経まで到達):歯髄が炎症を起こし、強い痛みと共に大きく欠けやすくなります。
🦷遊離エナメル質とは?
象牙質の支えを失ったエナメル質が浮いた状態を指します。内部が空洞化しているため、軽い力でも「パキッ」と割れてしまいます。

⌛ 加齢によるエナメル質・象牙質の劣化
年齢とともに、歯も徐々に変化していきます。見た目に変わりはなくても、内部では次のようなことが起こっています。
- エナメル質の摩耗:硬い組織ですが、使い続けるうちに薄くなり、割れやすくなります。
- 象牙質の硬化・弾力低下:衝撃吸収の機能が衰え、ひび割れや欠けにつながります。
- 咬合面の変形:咬み合わせに偏りが出て、特定の歯に負荷が集中するようになります。
💥 外傷や事故による物理的破折
転倒やスポーツ中の衝突、交通事故などによる衝撃で歯が欠ける・折れるケースも多くあります。
- 歯冠破折:歯の上部が割れる状態で、被せ物で修復可能なことが多いです。
- 歯根破折:歯の根っこまで割れた状態で、多くは抜歯の対象になりますが、位置によっては保存可能なことも。
⚽マウスガードの活用を
ラグビーや格闘技、バスケットボールなどの接触スポーツでは、歯を守るためのマウスガードの装着が非常に重要です。
🍬 硬い物の咀嚼による破損
氷・アーモンド・ハードキャンディなどの硬い食べ物は、歯にとって強い負担になります。
- 瞬間的な圧力でエナメル質にひびが入り、繰り返すことで欠ける原因に。
- 奥歯の咬合面に力が集中しやすく、特に虫歯がある場合は要注意。
😬 歯ぎしり・食いしばり・TCHの影響
無意識のうちに歯に大きな力がかかる習慣は、日常的に歯をすり減らしたり欠けさせたりします。

- **歯ぎしり(ブラキシズム)・食いしばり(クレンチング)**では、通常の咬む力の3〜10倍の圧力がかかることも。
- **楔状欠損(けつじょうけっそん)**は、歯の根元にくさび状の欠けが生じる現象で、力の集中が原因です。
- **TCH(Tooth Contact Habit)**は弱い力が長時間かかる癖で、知らないうちに歯にストレスを与えます。
😷 ナイトガードで予防を
睡眠中の歯ぎしりを緩和するために、歯科医院で作るマウスピース(ナイトガード)を活用するのが効果的です。
🚑 歯が欠けた時の応急処置と症状別の対応
歯が欠けたとき、状態によって対処法は異なります。ここでは、欠け方の程度ごとに「今すぐできる応急処置」と「歯科医院での対応の目安」を解説します。
⚠️ 小さく欠けた場合(痛みなし)


症状の特徴
・歯の表面が少し欠けただけ
・痛みやしみる感覚はなし
・舌で触るとザラつく程度
応急処置のポイント
- 欠けた部分が鋭利な場合、舌や口内を傷つけないよう歯科用ワックスで覆うのがおすすめです。
- 柔らかい食事(スープ・うどん・おかゆなど)を選び、歯に刺激を与えないようにしましょう。
- 自然に治ることはないため、なるべく早く歯科医院での診察を受けてください。
📝ワンポイント
黒ずみやヒビが見える場合、内部で虫歯が進行している可能性があります。
🌡 中程度の欠け(象牙質まで)

症状の特徴
・歯の内部(象牙質)が露出している
・冷たい飲み物で“しみる”
・見た目に黒くなっていることも
応急処置のポイント
- フッ素入り歯磨き粉でブラッシングし、再石灰化を促進しましょう。
- キシリトールガムを噛むことで唾液を増やし、虫歯の進行を抑える効果も期待できます。
- 食事は常温のものを中心に。熱い・冷たい・甘い刺激物は避けてください。
🆘注意点
1ヶ月以上放置すると痛みや神経の炎症につながる可能性があるため、早めの受診をおすすめします。
💢 大きな欠け+痛みあり(神経露出)
症状の特徴
・ズキズキと強い痛みがある
・熱い・冷たい物が凍みる
・歯の中が黒く見える
応急処置のポイント
- **市販の鎮痛薬(イブプロフェン・アセトアミノフェン)**を服用し、痛みを一時的に抑えます。服用前には用法・用量を必ず確認してください。
- 虫歯でできた穴に正露丸(歯痛用)を仮詰めすることで、しみる痛みの緩和に効果があることもあります。
- 冷湿布を頬の外から当てると、痛みや腫れの軽減が期待できます。
🚨絶対にしてはいけないこと
- 欠けた部分を削ったり、自分で詰め物をしようとするのはNGです。
- 市販の接着剤で貼り付ける行為は危険です。
🦷重要!
このレベルになると、神経が感染し始めるタイミングです。根管治療(神経の処置)や被せ物が必要になる前に、できる限り早く歯科医院を受診してください。
🛠 歯科医院での治療法一覧【欠け方別】
歯が欠けた場合の治療法は、「欠けた範囲」や「神経への影響」によって大きく異なります。ここでは軽度・中等度・重度のケースに分けて、主な治療法をご紹介します。
🧴 軽度の欠け|コンポジットレジン充填

治療内容
エナメル質の一部が欠けただけの軽度なケースでは、保険診療で行える「コンポジットレジン充填」が第一選択です。歯に直接プラスチック製の樹脂を詰めて、元の形に修復します。
メリット
- 通院1回で完了
- 歯を削る量が少ない
- 色が自然で目立ちにくい(前歯向き)
費用目安(保険適用・3割負担)
- 単純な欠け:約720円前後
- 隣接面を含む複雑な欠け:約930円前後
📝 注意点
強い咬合力がかかる部位や、食いしばりのある方は再度欠けやすいため、経過観察が必要です。
🔩 中等度の欠け|インレー(メタル・CAD/CAM・セラミック)
治療内容
象牙質まで達する欠けや、噛み合わせに関わる奥歯の欠けには「インレー(詰め物)」を使って修復します。
保険診療の選択肢
- メタルインレー(金属):耐久性あり。ただし見た目は銀色。
- CAD/CAMインレー:白い保険素材。小臼歯・大臼歯に条件付きで適用可能。
自費診療の選択肢
- セラミックインレー:見た目が自然で変色しにくい。耐久性も優秀。
選び方のポイント
| 項目 | メタル | CAD/CAM | セラミック |
|---|---|---|---|
| 耐久性 | ◎ | ◯ | ◎ |
| 審美性 | × | ◯ | ◎ |
| 費用 | 保険 | 保険(条件あり) | 自費(5~7万円前後) |
🦷 備考
銀歯の詰め物の周囲が虫歯で欠ける場合、再製作が必要になります。
👑 重度の欠け・神経露出|根管治療+クラウン
治療内容
歯の神経(歯髄)まで損傷している場合、根管治療で神経を除去し、歯の内部を消毒した後、**土台(コア)+クラウン(被せ物)**で修復します。
クラウンの種類と特徴
| 種類 | 特徴 | 保険 or 自費 | 費用目安 |
|---|---|---|---|
| 金属冠(銀歯) | 耐久性は高いが見た目は× | 保険 | 約6,000円〜 |
| レジン前装冠 | 前歯用・見た目はやや自然 | 保険 | 約9,000円〜 |
| ジルコニアクラウン | 強度・審美性◎ | 自費 | 約10〜12万円 |
| メタルボンド | 金属+セラミックで強度◎ | 自費 | 約11〜13万円 |
| フルジルコニア | 全面ジルコニアで自然な白さ | 自費 | 約9万円〜 |
👶 小児の場合
乳歯が大きく欠けた際には、コンポジットレジンや**乳歯冠(銀の被せ物)**で対応します。虫歯の進行が早いため、早期治療が重要です。
💰 費用の目安と保険の範囲
歯が欠けた際の治療費は、「保険診療か自費診療か」によって大きく異なります。ここでは、欠け方別の費用目安や素材の違いによる費用の幅を整理してご紹介します。
💳 保険診療の費用目安(点数・負担額)
保険診療では、**治療内容と欠けた場所(前歯・奥歯)**によって点数が設定されています。3割負担の場合の大まかな自己負担額は以下の通りです。
🧴 コンポジットレジン(小さな欠け)
| 内容 | 点数 | 自己負担(3割) |
|---|---|---|
| 単純な窩洞(前歯・奥歯) | 241点 | 約720円 |
| 複雑な窩洞(隣接面を含む) | 311点 | 約930円 |
🔩 インレー(中等度の欠け)
| 種類 | 点数 | 自己負担(3割) |
|---|---|---|
| メタルインレー | 573~872点 | 約1,700〜2,600円 |
| CAD/CAMインレー(保険適用部位に限る) | 同上 | 同上 |
👑 クラウン(重度の欠け)
| 種類 | 点数 | 自己負担(3割) |
|---|---|---|
| 金属冠(奥歯) | 1,692~2,028点 | 約5,100〜6,100円 |
| レジン前装冠(前歯) | 2,774~2,961点 | 約8,300〜8,900円 |
📝 補足
- 上記は治療部分のみの費用です。別途、初診料、再診料、レントゲン、麻酔、根管治療などが加算される場合があります。
💎 自費診療の費用と選び方
審美性・耐久性を重視したい方や、金属アレルギーの不安がある方は、自費診療によるセラミック治療が選ばれることもあります。
👑 クラウンの自費素材と費用相場(目安)
| 素材 | 特徴 | 費用(税込) |
|---|---|---|
| フルジルコニア | 強度◎/白色だがややテカリあり | 約92,400円 |
| オールセラミック | 自然な色調/やや割れやすい | 約132,000円 |
| ジルコニアセラミック | 見た目と強度のバランス◎ | 約110,000円 |
| メタルボンド | 金属フレーム+セラミック | 約115,500円 |
🧱 ファイバーコアとの組み合わせ
神経を除去した歯には、**土台(コア)**が必要です。見た目や柔軟性を重視するなら「ファイバーコア」がおすすめ。

| 土台の種類 | 特徴 | 費用 |
|---|---|---|
| ファイバーコア | 金属よりしなやかで審美性◎ | 約20,900円 |
📝 選び方のポイント
- 奥歯など強度が必要な部位には「フルジルコニア」や「ジルコニアセラミック」
- 前歯など審美重視なら「オールセラミック」や「メタルボンド」
- 金属を避けたい人には「ファイバーコア+ジルコニア系」がおすすめ
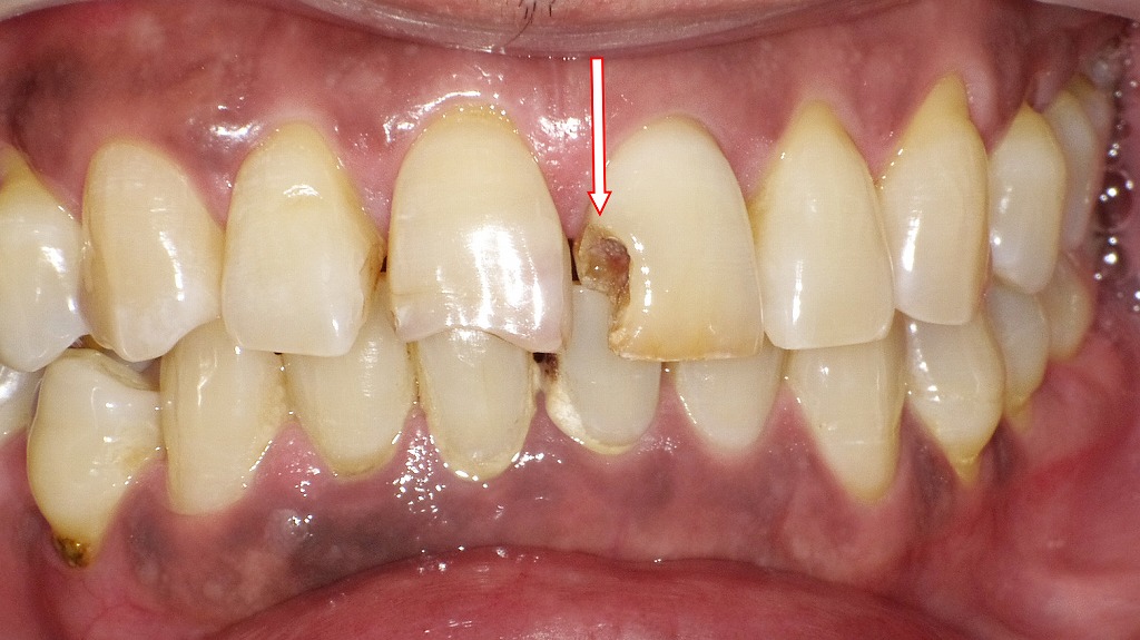
🔍 見分け方|虫歯か?歯ぎしりか?欠けた原因の判断
歯が欠けたとき、原因によって治療方針は大きく異なります。見た目だけでは判断が難しいケースもありますが、いくつかのチェックポイントを押さえておくと、歯科医院での相談がスムーズになります。
🎯 黒ずみ・柔らかさがある=虫歯の可能性
虫歯が原因で欠けた場合、欠けた部分の色や触感に特徴があります。
✅ 見分けポイント
- 欠けた部位が黒っぽい・茶色っぽい
- 舌や爪で触るとザラザラ、もろい、柔らかい
- 欠けた周辺の歯に冷たいものがしみる
🔍 特に要注意なのは「見えない奥歯の欠け」
奥歯の溝や詰め物の周囲は、虫歯が広がりやすく、欠けて初めて異変に気づくケースが多いです。
🪓 くさび状欠損+平坦な咬合面=歯ぎしりの可能性
一方、力のかかり過ぎによって歯が欠けるのが歯ぎしりや食いしばり、TCHによる破折です。
✅ 見分けポイント
- 欠けた場所が**歯の根元(歯頚部)**で、V字またはU字型のくぼみになっている
- 他の歯の噛み合わせの面が平坦になっている
- 朝起きたときに顎が疲れている・痛みがある
🛡 くさび状欠損は、歯にかかる「横方向の力」が慢性的に続くことで生じる現象です。歯ぎしりや食いしばりが続くと、エナメル質が薄くなり、次第に欠けていきます。
🗣 どちらかわからないときは…
どちらの特徴も当てはまらない場合、両方が原因となっているケースや、TCHなど自覚しにくい習慣が関係している可能性もあります。欠けた部分が小さくても、自己判断はせず、歯科医による正確な診断を受けましょう。
🧯 歯が欠けるのを防ぐ!日常でできる予防法
歯が欠けるトラブルは、虫歯や外傷だけでなく、毎日の習慣の積み重ねで起こることも少なくありません。ここでは、欠けにくい健康な歯を保つための具体的な予防法を紹介します。
🪥 正しいブラッシングとフッ素活用
- 歯ブラシは歯と歯茎の境目に45度で当て、優しく細かく動かします。力を入れすぎると歯の表面が削れて欠けやすくなります。
- フッ素入り歯磨き粉は、エナメル質の再石灰化を促進し、虫歯による欠損を予防します。
- 歯間ブラシやデンタルフロスも併用し、歯と歯の間の汚れもしっかり除去しましょう。
🏥 定期検診とクリーニング
- 小さな虫歯やヒビ割れは自覚症状がないまま進行することが多いため、半年に一度の定期検診がおすすめです。
- 歯科医院では、歯石の除去やバイオフィルム(細菌膜)の清掃を行い、虫歯・歯周病を予防できます。
- 咬み合わせや歯ぎしりの兆候も、定期的なチェックで早期発見できます。
🥦 栄養管理と咬み癖の見直し
- カルシウム・ビタミンD・タンパク質など、歯や骨の形成に必要な栄養素を積極的に取り入れましょう。
- 硬い物を一方向だけで噛む、頬杖をつく、下顎を前に出す癖など、咬合バランスを乱す習慣は歯にダメージを蓄積させます。
- 食後すぐの歯磨きではなく、30分ほど時間を置くことで唾液の働きを活かせます。
😴 ナイトガードの活用と歯ぎしり対策
- 就寝中の歯ぎしり・食いしばりは自覚しにくく、慢性的に歯をすり減らす・欠けさせる原因になります。
- 歯科医院で作成できる**ナイトガード(マウスピース)**は、就寝中の咬合圧から歯を守る効果があります。
- 朝の顎のだるさや、歯の先端のすり減りが気になる方は、歯科医に相談を。
💡 ストレス管理とTCHの意識化
- 日中、ふとした瞬間に**上下の歯が接触している状態(TCH:Tooth Contact Habit)**になっていませんか?
- TCHは一見無害に思えますが、弱い力が長時間持続的に加わることで歯にダメージを与える習慣です。
- スマホ・PC作業中、ふと「力が入っている」と気づいたら、歯を離す・深呼吸する習慣を取り入れましょう。
- また、ストレスの蓄積が歯ぎしりや食いしばりの誘因になることも。リラックスできる時間を意識的に設けることが、歯の健康にもつながります。
❓ よくある質問(FAQ)
歯が欠けたとき、「これってすぐ歯医者に行くべき?」「様子を見ても大丈夫?」と迷う方も多いのではないでしょうか。よく寄せられる質問をピックアップし、歯科医の視点からお答えします。
Q1:米粒ほど欠けただけなら放置してもいい?
🦷 答え:一時的な様子見は可能ですが、早めの受診をおすすめします。
米粒大の小さな欠けでも、虫歯が内部で進行していたり、歯ぎしりによるダメージが蓄積していたりすることがあります。
痛みやしみがなければ数日〜1週間程度の様子見は可能ですが、
- 欠けた部分が黒ずんでいる
- 舌に当たって違和感がある
- 欠けた原因が思い当たらない(外傷や硬い物を噛んでいない)
といった場合は、見た目以上に進行している可能性があるため早めの診察が安心です。
Q2:奥歯の根元が黒く見えるが虫歯?それとも歯ぎしり?
🔍 答え:両方の可能性があり、「楔状欠損+虫歯」の組み合わせがよく見られます。
歯の根元が黒くなっている場合、次のような違いがあります:
- 虫歯の特徴:触るとザラつく/黒~茶色に変色/柔らかい感触
- 歯ぎしりの特徴:根元がくさび状にえぐれている/他の歯にも摩耗が見られる
ただし、歯ぎしりなどでできたくさび状欠損から、二次的に虫歯が発生するケースが非常に多いです。正確な診断にはレントゲンやプローブによる検査が必要なので、歯科医院でのチェックをおすすめします。
Q3:仕事が忙しくすぐ受診できないときは?
⌛ 答え:一時的な応急処置で乗り切りつつ、できるだけ早く受診を。
仕事の都合で歯科医院に行けない場合は、以下のような対処を取りましょう。
- 欠けた歯が鋭利な場合:市販の歯科用ワックスを使って舌や頬を守る
- しみる・痛む場合:冷たい飲食物を避け、市販の鎮痛薬(例:イブプロフェン)を使用
- 虫歯が原因かもと思ったら:フッ素入り歯磨き粉やキシリトールガムを活用し、進行を抑える
ただし、これらはあくまで一時的な対応です。欠けた歯は自然には治らないため、スケジュールの合間を見つけてできるだけ早く受診することが重要です。
📝 まとめ|歯が欠けたら早めに受診を!
「歯が少し欠けただけだから…」と油断してしまう方は少なくありません。ですが、その小さな欠けこそが大きなトラブルの始まりかもしれません。
- 欠けの原因が虫歯や歯ぎしりであれば、放置することで悪化し、神経の処置や抜歯が必要になるケースもあります。
- たとえ痛みがなくても、内部では進行していることがあります。痛みが出てからでは治療期間や費用も増える傾向があります。
🦷 **歯の寿命を延ばすカギは「早期対応」**です。
違和感を感じたら、迷わず歯科医院で診察を受けましょう。早期発見・早期治療が、あなたの歯を守る一番の近道です。
📍 江戸川区篠崎で「歯が欠けた」お悩みの方へ

「歯が欠けたけど痛くないし…」と放置していませんか?
江戸川区篠崎の当院では、小さな欠けも見逃さない精密な診断と、できるだけ削らない丁寧な治療を行っています。
虫歯・歯ぎしり・外傷など、歯が欠ける原因はさまざま。
原因を見極めたうえで、保険適用のレジン治療から、審美性に優れたセラミック治療まで幅広く対応可能です。
痛みが出てからでは治療が長引くこともあります。
違和感を感じたら、早めの受診が歯の寿命を延ばす第一歩です。
お仕事帰りや土曜日の受診もご相談ください。
皆さまの大切な歯を守るために、江戸川区篠崎でお待ちしております。
【動画】初期虫歯COを削らずに自分で治す方法
筆者・院長

深沢 一
Hajime FUKASAWA
- 登山
- ヨガ
メッセージ
日々進化する歯科医療に対応するため、毎月必ず各種セミナーへの受講を心がけております。
私達は、日々刻々と進歩する医学を、より良い形で患者様に御提供したいと考え、「各種 歯科学会」に所属すると共に、定期的に「院内勉強会」を行う等、常に現状に甘んずる事のないよう精進致しております。 又、医療で一番大切な事は、”心のある診療”と考え、スタッフと共に「患者様の立場に立った診療」を、心がけております。




