- 1. 【📹 1分】ブリッジとインプラントの違いとは?後悔しない治療法の選び方
- 2. ✅ ブリッジとインプラントとは?違いをやさしく解説
- 2.1. 🧩 それぞれの治療法の基本
- 2.2. ⚙️ 施術方法の流れ
- 2.2.1. 🪛 ブリッジ治療のステップ
- 2.2.2. 🦷 インプラント治療のステップ
- 2.2.3. インプラント治療の症例
- 2.2.3.1. 🦷 状態の概要
- 2.2.3.2. 💬 臨床的な考察
- 2.2.3.3. 📌 まとめ
- 2.2.3.4. 🦷 手術の状況
- 2.2.3.5. 🔍 解剖学的・技術的ポイント
- 2.2.3.6. 💬 今後の治療計画
- 3. 🆚 12項目で比較!ブリッジ vs インプラント
- 3.1. 💸 費用比較(保険適用 vs 自費)
- 3.2. ⏳ 治療期間の違い
- 3.3. 🦷 健康な歯への影響
- 3.4. 🧬 顎骨や歯周組織への負担
- 3.4.1. 🦷 ブリッジの構造と清掃性
- 3.4.2. ⚠️ 7番近心の歯槽骨吸収(赤矢印部分)
- 3.4.3. 🩺 想定される原因
- 3.4.4. 💡 対応・治療の方向性
- 3.5. 👄 見た目・審美性
- 3.5.1. 保険の奥歯ブリッジ:見た目・審美性のポイント
- 3.5.2. 保険の硬質レジン前装冠ブリッジの見た目と審美性の限界(欠損部×印)
- 3.6. 🍽 噛む力・快適性
- 3.7. 🔁 耐久性・寿命
- 3.8. 🧼 日常のメンテナンス
- 3.9. ⚠️ トラブルの可能性
- 3.10. 👨⚕️ 手術の必要性と身体負担
- 3.11. 📈 将来の再治療リスク
- 3.12. 🧑🎓 患者満足度・後悔しやすい点
- 4. 🧠 どっちが向いてる?ケース別のおすすめ
- 4.1. 👦 年齢別で見る選択基準
- 4.1.1. 🔹 若年層(〜40代)
- 4.1.2. 🔸 中高年〜高齢層(50代〜)
- 4.2. 🏃♀️ ライフスタイルと職業別
- 4.2.1. ⏱ 多忙な方・すぐに治療を終えたい方
- 4.2.2. 🎤 見た目を重視する職業・人前に立つ仕事
- 4.3. 🩺 全身疾患・骨の状態による判断
- 4.3.1. ⚠️ インプラントが慎重になるケース
- 5. ブリッジからインプラントへ変更した症例
- 5.1. 7番支台歯の歯根破折を認めたブリッジ不調の症例
- 5.1.1. 🔍 画像の解説
- 5.1.1.1. ◆ 支台歯7番の歯根破折(赤矢印)
- 5.1.1.2. ◆ ブリッジ構造による負担
- 5.2. 7番抜歯後にGBRを併用して行ったインプラント埋入
- 5.2.1. 🔍 画像の解説
- 5.2.1.1. ◆ GBR(骨造成)の所見
- 5.2.1.2. ◆ インプラント2本の埋入(赤矢印)
- 5.3. 7番・6番インプラント埋入後の上部構造装着時のX線所見
- 5.3.1. 🔍 画像の解説
- 6. 🔄 ブリッジからインプラントへ変更できる?
- 6.1. 🔧 変更できるケース
- 6.1.1. 🦷 ブリッジが劣化した場合
- 6.1.2. ❌ 支台歯が損傷してしまった場合
- 6.1.3. 👄 審美的な不満がある場合
- 6.2. 🚫 変更が難しい理由と対策
- 6.2.1. 🦴 骨吸収や歯周病が進行している
- 6.2.2. 💉 全身疾患や生活習慣
- 7. 💰 費用相場と保険適用の違い
- 7.1. 📊 ブリッジの費用と保険の条件
- 7.1.1. 🏥 保険診療でのブリッジ費用
- 7.1.2. 🏆 自費診療のブリッジ費用
- 7.2. 📉 インプラントの費用構成
- 7.2.1. 💡 基本の費用
- 7.2.2. ➕ 追加費用が発生するケース
- 7.3. 🤝 費用を抑える選択肢と併用例
- 7.3.1. 🦷 併用の具体例
- 8. 📣 よくある質問(FAQ)
- 8.1. 😖 治療中・後の痛みは?
- 8.2. ⏰ 治療期間はどれくらい?
- 8.3. 🧓 長持ちするのはどっち?
- 8.4. 🧽 手入れのしやすさは?
- 8.5. 💭 後悔しない選び方とは?
- 9. 📝 まとめ|後悔しない治療選択のために
- 9.1. ✅ それぞれの治療法の特徴を理解しよう
- 9.2. 💬 専門医と相談し、自分に合った選択を
- 9.3. 🧭 健康・費用・審美・将来性を総合的に判断しよう
- 10. 🦷江戸川区篠崎で「ブリッジとインプラント、どちらが自分に合っているのか分からない」とお悩みの方へ
- 11. 【動画】奥歯を抜歯したまま放置すると?
- 12. 筆者・院長

歯を失ってしまったとき、「ブリッジとインプラント、どっちが自分に合っているの?」と悩まれる方は少なくありません。
費用、治療期間、見た目、将来の健康への影響──それぞれの治療法にはメリットとデメリットがあり、選び方を間違えると「後悔した」という声もよく聞かれます。
本記事では、そんなお悩みを持つ方に向けて、「ブリッジ」と「インプラント」を12の観点で徹底比較。
さらに、年齢やライフスタイル、健康状態などに応じた最適な選択のポイントも分かりやすく解説します。
後悔しないために、まずは自分にとってベストな治療法を見つけるための第一歩として、ぜひ最後までご覧ください。
【📹 1分】ブリッジとインプラントの違いとは?後悔しない治療法の選び方
✅ ブリッジとインプラントとは?違いをやさしく解説
🧩 それぞれの治療法の基本
ブリッジとは、失った歯の両隣にある健康な歯を土台(支台歯)として削り、その上に橋のように人工歯をかける治療方法です。見た目や噛む力はある程度回復できますが、健康な歯を大きく削る必要があり、将来的にその歯の寿命が短くなるリスクもあります。
一方、インプラントは、歯を失った箇所の顎の骨にチタン製の人工歯根を埋め込み、その上に人工歯(上部構造)を装着する方法です。天然歯に近い見た目と咀嚼力を得られ、周囲の歯にダメージを与えないのが大きな特徴です。

⚙️ 施術方法の流れ
🪛 ブリッジ治療のステップ
step
土台となる歯を削る
隣接する健康な歯を削って支台歯をつくります。神経を取る処置が必要になることもあります。

step
型取り(印象採得)と咬合採得
お口の型を取り、上下の噛み合わせを確認します。これを技工所に送り、ブリッジを製作します。

step
ブリッジ装着
完成したブリッジを口腔内に装着し、かみ合わせや見た目を調整して接着します。
※保険適用での素材は銀歯やレジン、自費治療ではセラミック・ジルコニアなどが選べます。

🦷 インプラント治療のステップ
- 精密検査と治療計画
パノラマレントゲン撮影やCT撮影や模型検査により、骨の状態や神経の位置を確認。治療計画を立てます。 - インプラント埋入手術
顎の骨に人工歯根(インプラント体)を埋め込みます。手術は局所麻酔で行われ、多くの場合、日帰りが可能です。 - 骨との結合期間(治癒期間)
インプラントと骨が結合するまでに2〜6ヶ月程度の期間を設けます。 - 上部構造(人工歯)の装着
結合が確認できたら、人工歯(セラミッククラウンなど)を装着し、治療完了となります。

インプラント治療の症例
この画像は、右下の奥歯(第1大臼歯:6番)が欠損している口腔内写真です。矢印で示された部分が歯の「欠損部」であり、周囲の歯列や粘膜の状態が確認できます。

🦷 状態の概要
- 欠損歯:右下6番(第一大臼歯)が抜歯されており、歯が存在していません。
- 隣在歯:右下5番(第二小臼歯)および7番(第二大臼歯)は健全で、虫歯や歯肉炎の兆候は見られません。
- 歯列の特徴:咬合関係はおおむね良好で、5番と7番の歯軸も安定しています。欠損部の歯槽堤(歯ぐき)は比較的平坦で、インプラントやブリッジ治療を検討するうえで良好な条件といえます。
💬 臨床的な考察
- 欠損の影響:6番は咬合力の主力を担う歯であり、長期間の欠損を放置すると7番の前方傾斜や対合歯(上顎6番)の挺出などが起こり、噛み合わせが乱れる可能性があります。
- 治療の選択肢:
- インプラント治療:骨量が十分であれば、単独で6番部に人工歯根を埋入可能。隣在歯を削る必要がありません。
- ブリッジ:5番と7番を支台歯として連結する方法。比較的短期間での修復が可能。
- 部分義歯:取り外し式で、他の歯への負担を抑える設計が可能。
📌 まとめ
この症例は「右下6番欠損、隣在歯健全、骨および歯肉の状態良好」という、補綴治療(特にインプラント)に適した状態です。
この画像は、右下第1大臼歯(6番)相当部にインプラントが埋入された直後の術中写真です。

🦷 手術の状況
- 右下6番部の歯槽骨に、チタン製のインプラント体が適正な位置・深さで埋入されています。
- インプラントの上部には**カバースクリュー(封鎖スクリュー)**が装着され、骨内での安定(オッセオインテグレーション)を待つ段階です。
- 周囲の粘膜は切開・剥離されており、埋入部位の骨縁が確認できます。出血や感染の兆候はなく、清潔で良好な手術野が保たれています。
🔍 解剖学的・技術的ポイント
- 埋入位置は5番と7番の間の中央にあり、歯列・咬合に対して適切に配列されています。
- 近遠心的なスペースも十分に確保されており、隣接歯根への干渉が見られません。
- 骨の幅と高さも十分で、骨量が良好なケースであることがうかがえます。
- 埋入角度も直立しており、将来的な上部構造(クラウン)の軸合わせに適した方向です。
💬 今後の治療計画
- 約2〜3か月の治癒期間を設け、**インプラント体と骨の結合(オッセオインテグレーション)**を確認。
- 結合が安定した段階で**2次手術(ヒーリングアバットメント装着)**を行い、歯肉の整形を進めます。
- その後、上部構造(人工歯)を装着し、噛み合わせの最終調整を行います。
🆚 12項目で比較!ブリッジ vs インプラント
💸 費用比較(保険適用 vs 自費)
ブリッジは保険適用の治療法が多く、金属製やレジン製であれば1本あたり数千円〜数万円で治療可能です。審美性を重視してセラミックやジルコニアを選ぶと自費治療となり、費用は1本5〜15万円程度が目安です。
インプラントは原則自費診療で、1本あたり30〜50万円が一般的。CT撮影や骨造成が必要になると追加費用がかかります。
⏳ 治療期間の違い
ブリッジは短期間で完了するのが魅力で、平均2〜3回の通院で装着まで完了します。
インプラントは時間がかかる治療法で、骨との結合期間を含めると3〜6ヶ月、骨移植が必要な場合はさらに延長します。
🦷 健康な歯への影響
ブリッジは支台歯を大きく削る必要があり、場合によっては神経を取る処置も必要です。これにより支台歯の寿命が短くなるリスクがあります。
インプラントは周囲の歯に手を加えないため、健康な歯を守りながら欠損部分だけを治療できます。
🧬 顎骨や歯周組織への負担
ブリッジでは骨に直接力が伝わらず、骨が次第に痩せることがあります。歯ぐきが下がることで見た目にも影響が出ることがあります。
インプラントは骨に直接力が加わるため、咬む刺激によって骨の吸収を抑え、骨や歯ぐきの健康維持に寄与します。
このレントゲン写真は、上顎の5番・6番・7番にかけて装着されたブリッジの状態を示しています。

🦷 ブリッジの構造と清掃性
- 5番と7番が支台歯(橋脚)となり、6番の欠損部を補う3本連結のブリッジが装着されています。
- ブリッジの構造上、人工歯(6番部)の下に、歯ブラシや歯間ブラシが通りにくいため、清掃が不十分になりがちです。
- 特にブリッジ下部や支台歯の境目にプラーク(歯垢)が溜まりやすく、歯周病リスクが高まります。
⚠️ 7番近心の歯槽骨吸収(赤矢印部分)
- 矢印で示された7番近心(前側)の部分では、歯を支える歯槽骨が吸収しています。
- レントゲン上で、歯根の周囲に黒く抜けたように見える部分が骨の減少を示しています。
- この骨吸収は歯周病(歯槽膿漏)による炎症の進行や、ブリッジ下の清掃不良によって引き起こされます。
🩺 想定される原因
- ブリッジ下の清掃不足
- 過去の歯周炎の進行
- 咬合圧の集中による負担増大
💡 対応・治療の方向性
- 歯間ブラシ・スーパーフロスなどを使ったブリッジ下の清掃指導
- 必要に応じて歯周病治療(スケーリング・SRP・歯周外科)
- 骨吸収が進行している場合は、再評価とブリッジ再製作を検討
- 定期的なレントゲンによる経過観察が重要です。
👄 見た目・審美性
ブリッジも自費素材を選べば自然な見た目が得られますが、歯ぐきの退縮により不自然に見えることも。
インプラントは天然歯に近い自然な見た目と歯ぐきのラインを再現しやすく、審美的に優れています。
保険の奥歯ブリッジ:見た目・審美性のポイント

保険適用の金属ブリッジは強度に優れますが、銀色の見た目が目立ちやすく、口を開けたときの審美性に影響することがあります。特に奥歯でも、笑った際や横からの視線で金属色が確認されやすいため、見た目を気にされる方は注意が必要です。審美性を重視する場合は、白い素材(メタルボンド・ジルコニアなど)を選択することで自然な仕上がりにできます。
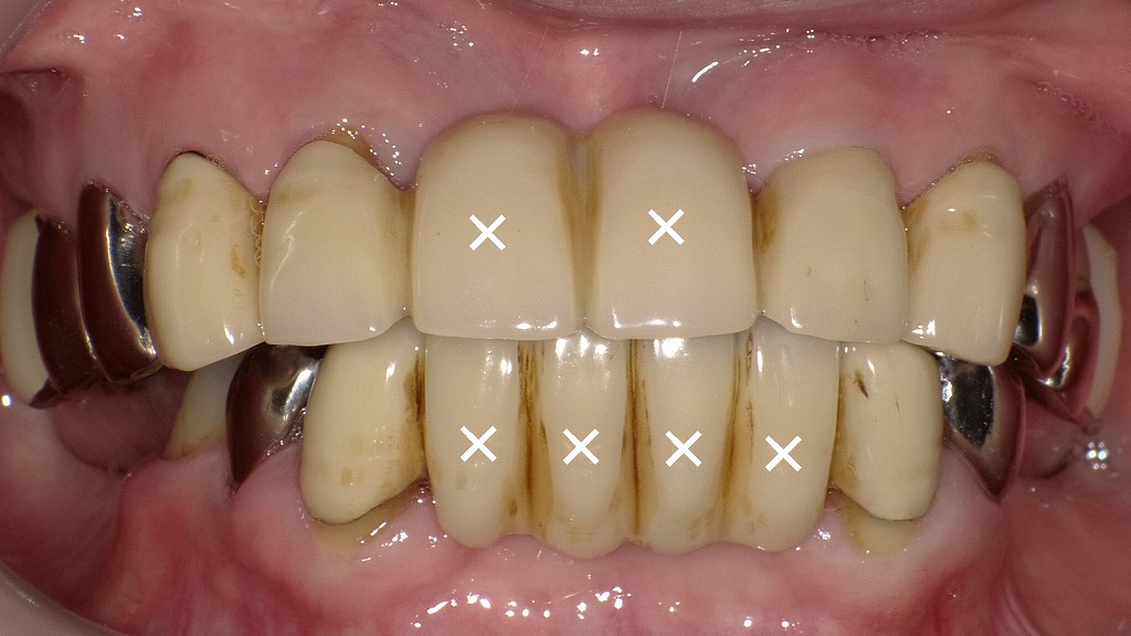
保険の硬質レジン前装冠ブリッジの見た目と審美性の限界(欠損部×印)

保険適用の硬質レジン前装冠ブリッジは、費用を抑えながら白い歯を再現できる治療法ですが、経年的な変色や摩耗が起こりやすく、自然な透明感や色調の再現には制約があります。
画像の×印は欠損部を示しており、広範囲の欠損をブリッジで補う場合、見た目の不調和だけでなく支台歯への負担増加も問題となりやすい点です。
審美性や耐久性を重視する場合は、ジルコニアなど保険外の素材を選択することで、より自然で長持ちする結果が期待できます。
🍽 噛む力・快適性
ブリッジは支台歯に負担がかかるため、咀嚼力がやや劣ります。また、違和感を覚える方もいます。
インプラントは自分の歯のようにしっかり噛めるのが大きな利点。装着感も自然で違和感が少ないです。
🔁 耐久性・寿命
ブリッジの寿命は約10〜15年。支台歯が虫歯や歯周病になると再治療が必要です。
インプラントは20年以上使用可能で、長期的に安定した結果が期待できます。ただし定期メンテナンスは必須です。
🧼 日常のメンテナンス
ブリッジは清掃が難しい箇所があり、支台歯の周囲を丁寧にケアする必要があります。
インプラントも丁寧なセルフケアと定期通院が必須ですが、歯間ブラシなどで比較的清掃しやすい構造になっています。
⚠️ トラブルの可能性
ブリッジは支台歯の虫歯・歯周病がトラブルの原因になります。また、隙間に食べ物が詰まりやすいです。
インプラントは「インプラント周囲炎」に注意。ケアが不十分だと歯周病と同様に骨が失われることがあります。
👨⚕️ 手術の必要性と身体負担
ブリッジは外科処置不要で、身体への負担が比較的少ないのが特徴です。
インプラントは外科手術が必要なため、心疾患や糖尿病などの既往歴がある方は注意が必要です。
📈 将来の再治療リスク
ブリッジは支台歯の劣化によって再治療が必要になるケースが多く見られます。
インプラントは骨と結合するため長期安定性が高く、再治療リスクが低いといえます。ただし、セルフケアと定期管理が前提です。
🧑🎓 患者満足度・後悔しやすい点
ブリッジは費用や期間で満足する人が多い反面、将来支台歯がダメになり後悔するケースもあります。
インプラントは治療後の満足度が高いですが、「高額だったのにメンテナンスを怠ってダメになった」などの声もあります。
🧠 どっちが向いてる?ケース別のおすすめ
インプラントとブリッジ、どちらの治療法が適しているかは、患者さんの年齢・生活環境・健康状態によって異なります。ここでは具体的なケース別におすすめの選択肢を紹介します。
👦 年齢別で見る選択基準
🔹 若年層(〜40代)
将来的な長期安定性を重視するならインプラントがおすすめです。周囲の歯を削る必要がなく、10年、20年先を見据えた治療が可能です。また、骨吸収も防げるため、審美的にも有利です。
🔸 中高年〜高齢層(50代〜)
全身の健康状態や経済的な事情、治療への負担を考慮し、ブリッジを選ぶ方も多くなります。短期間で治療を終えられる点、保険が使える点がメリットです。
🏃♀️ ライフスタイルと職業別
⏱ 多忙な方・すぐに治療を終えたい方
「仕事が忙しくて長期間通院できない」「イベントまでに治療を終えたい」などの希望がある場合は、治療期間が短いブリッジが適しています。2〜3回の通院で完了することも可能です。
🎤 見た目を重視する職業・人前に立つ仕事
接客業や営業職、芸能関係など審美性を重視する方にはインプラントがおすすめです。自然な見た目や歯ぐきのラインまで再現できるため、ブリッジよりも違和感のない仕上がりが期待できます。
🩺 全身疾患・骨の状態による判断
⚠️ インプラントが慎重になるケース
以下のような疾患や習慣がある方は、インプラント治療が制限されることがあります。
- 糖尿病(特にコントロール不良)
- 骨粗しょう症(ビスフォスフォネート製剤を服用中)
- 心臓疾患や免疫疾患
- 喫煙習慣
これらのリスクがある方には、外科処置を伴わないブリッジ治療が安全で適していることもあります。ただし、インプラントが絶対にできないわけではなく、医科連携や事前検査を行ったうえで可能な場合もあります。
ブリッジからインプラントへ変更した症例
7番支台歯の歯根破折を認めたブリッジ不調の症例

🔍 画像の解説
このレントゲンは5番・6番・7番で構成されたブリッジを示しています。
そのうち、支台歯として使われている7番(右側の赤矢印)で歯根破折が生じている状態です。
◆ 支台歯7番の歯根破折(赤矢印)
- 7番の根の1本に沿って、**細長い透過像(黒いスジ状の影)**が認められます。
- これは典型的な歯根破折の所見で、根が縦方向に割れている可能性が非常に高い状態です。
- 歯根破折の周囲には骨の吸収が進みやすく、レントゲンでも根の周囲が黒く抜けて見える傾向が見られます。
◆ ブリッジ構造による負担
- 5番・6番・7番をつなげたブリッジでは、支台歯に大きな咬合力が集中しやすく、特に遠心側(7番)に負担がかかりやすい構造になっています。
- その結果、長期間の使用で根に力が集中して破折が起きることは臨床的に少なくありません。
7番抜歯後にGBRを併用して行ったインプラント埋入

🔍 画像の解説
このレントゲン画像は、7番(右側の大臼歯)を抜歯した後にGBR(骨造成)を行い、インプラントを2本埋入した状態を示しています。
◆ GBR(骨造成)の所見
画像中央の白い半円状の構造は、**骨造成を行った部位を覆うメンブレン(保護膜)**を示しています。
GBRは、骨が不足している部位に人工骨などを補い、骨量を増やす処置で、インプラントが安定する土台作りとして必要になることがあります。
◆ インプラント2本の埋入(赤矢印)
2本のインプラントは、
- 適切な角度で
- 十分な長さ
- 骨造成部に接しながら安定した位置
に埋入されていることが確認できます。
インプラント周囲には骨がまだ成熟途中のため、やや透過性(黒い部分)がみられますが、GBR部位として一般的な所見です。
7番・6番インプラント埋入後の上部構造装着時のX線所見

🔍 画像の解説
このレントゲン写真は、奥歯の7番と6番にインプラントを入れ、その上から被せ物(かぶせ物)を装着した後の状態を示しています。
赤い矢印の部分がインプラントです。
インプラントの周りの骨がしっかりと白く写っており、骨とインプラントがきちんと結びついている(=安定している)ことを表しています。
上から装着したかぶせ物(人工の歯)も正しくセットされており、
- 噛む力をしっかり支えられる
- 周囲の歯や骨にも負担が少ない
- 長期的に安定が期待できる
とても良い状態です。
🔄 ブリッジからインプラントへ変更できる?
「最初はブリッジにしたけれど、やっぱりインプラントにしたい」──そんな声は少なくありません。実際にブリッジからインプラントへ変更できるケースは多くありますが、注意すべき点も存在します。
🔧 変更できるケース
以下のような状況では、ブリッジからインプラントへの変更が可能です。
🦷 ブリッジが劣化した場合
長年使っていたブリッジが破損・脱離・ぐらつきなどで再治療が必要になった場合、その機会にインプラントを検討する患者さんが増えています。
❌ 支台歯が損傷してしまった場合
ブリッジを支える健康な歯が虫歯や歯根破折などで使えなくなった場合、再度ブリッジで補うことが難しくなるため、インプラントに切り替える選択肢が有効です。
👄 審美的な不満がある場合
「銀歯が目立つ」「歯ぐきとの境目が黒ずんできた」など、見た目の不満からより自然な仕上がりを求めてインプラントに変更する方もいらっしゃいます。
🚫 変更が難しい理由と対策
ただし、以下のような条件がある場合、すぐにインプラントができないこともあります。
🦴 骨吸収や歯周病が進行している
ブリッジを長年使用すると、**使われていない部分の骨が痩せてしまう(骨吸収)**ことがあります。さらに、歯周病が進んでいるとインプラントの成功率が低下します。
🔧 対策:骨造成(GBR)やサイナスリフト
骨が不足している場合には、**人工骨や自己骨を用いた「骨造成(GBR)」や「サイナスリフト」**といった処置を行い、インプラントが埋入できる環境を整える必要があります。
💉 全身疾患や生活習慣
糖尿病・高血圧・骨粗しょう症・喫煙習慣などがある場合、外科手術が難しいこともあります。ただし、主治医と連携しながら病状がコントロールできていれば治療可能な場合もあります。


💰 費用相場と保険適用の違い
インプラントとブリッジ、どちらを選ぶかで治療費は大きく異なります。ここでは、保険適用の有無や素材の違いによる価格の目安を詳しく解説し、費用を抑える選択肢も紹介します。
📊 ブリッジの費用と保険の条件
🏥 保険診療でのブリッジ費用
保険が適用されるブリッジ治療では、使用できる素材がレジン(樹脂)や金属に限られます。
- 費用の目安:3本分のブリッジで約20,000~30,000円程度(3割負担時)
- 前歯には表面に白いレジンを使うこともありますが、見た目はやや劣ります。
🏆 自費診療のブリッジ費用
見た目や強度に優れた素材を使いたい場合は自費治療になります。
- ジルコニアブリッジ:1本あたり 約9〜12万円
- メタルボンド(内側が金属+表面がセラミック):1本あたり 約10〜13万円
- ハイブリッドセラミック:価格を抑えつつ、審美性も追求できます。
✨ 審美性・耐久性を求めるなら自費ブリッジも選択肢の一つです。
📉 インプラントの費用構成
💡 基本の費用
- インプラント1本あたりの費用:約30〜50万円
(内訳:インプラント体+アバットメント+上部構造)
➕ 追加費用が発生するケース
- CT検査・術前検査:1〜2万円前後
- 骨造成(GBR)やサイナスリフト:10〜30万円の追加
- 仮歯や静脈内鎮静法などもオプションとして費用がかかる場合あり
💬 インプラントは保険適用外が基本ですが、「病気や事故による顎骨欠損」など特定の条件下では一部適用されることもあります(※指定医療機関に限る)。
🤝 費用を抑える選択肢と併用例
治療費を抑えたいけれど、機能性や審美性も妥協したくない…
そんな方におすすめなのが、ブリッジとインプラントの併用です。
🦷 併用の具体例
- 前歯はインプラント(見た目重視)+奥歯は保険ブリッジ(費用重視)
- インプラント2本で3本分のブリッジを支える(インプラントブリッジ)
このように、部位ごとに治療法を使い分けることで、全体の費用を抑えつつ満足度の高い結果が得られます。
📣 よくある質問(FAQ)
😖 治療中・後の痛みは?
ブリッジの場合、治療中は局所麻酔を使うため痛みはほとんどありません。ただし、支台歯を大きく削るため、治療後に一時的な知覚過敏や違和感が出ることがあります。
インプラントでは、人工歯根を骨に埋め込む外科手術が必要ですが、術中は麻酔が効いているため痛みはほぼ感じません。術後1〜2日程度、腫れや軽い痛みが出ることがありますが、鎮痛薬でコントロール可能です。
⏰ 治療期間はどれくらい?
ブリッジ治療は早く、約2〜3週間で完了します。支台歯の準備から装着まで、通院回数も少なく済むのが特徴です。
インプラント治療は3〜6ヶ月程度かかります。手術後にインプラントと骨がしっかり結合するまでの治癒期間が必要なため、ブリッジに比べて長期間の計画になります。
🧓 長持ちするのはどっち?
ブリッジの平均寿命は約10〜15年とされ、支台歯の状態に大きく左右されます。支台歯が虫歯や歯周病になると、早期に再治療が必要になることも。
インプラントは適切なメンテナンスで20年以上持つことが多く、長期的な安定性に優れています。骨としっかり結合しているため、噛む力にも耐えられます。
🧽 手入れのしやすさは?
ブリッジは見た目は一体化していても、支台歯の周囲や歯ぐきとの間に汚れがたまりやすいため、歯間ブラシやフロスを使った丁寧なケアが必要です。
インプラントは天然歯と似た形状のため清掃しやすく、日常の歯磨きで対応可能ですが、インプラント周囲炎を防ぐためにも定期的なプロケア(歯科医院でのメンテナンス)が重要です。
💭 後悔しない選び方とは?
治療法の選択で後悔しないためには、次のポイントを大切にしましょう:
- 費用・見た目・耐久性など、自分が重視したい点を明確にする
- ブリッジ・インプラント両方に詳しい歯科医に相談する
- CT検査などで骨の状態や適応条件をしっかり確認する
- 将来のメンテナンス・再治療の可能性も含めて検討する
🔑 「自分にとって何が最適か」を軸に判断することで、納得のいく治療が選べます。
📝 まとめ|後悔しない治療選択のために
歯を失ったとき、「ブリッジ」か「インプラント」かで迷うのは自然なことです。それぞれにメリット・デメリットがあり、どちらが「正解」というわけではありません。重要なのは、自分にとって最適な治療を見つけることです。
✅ それぞれの治療法の特徴を理解しよう
ブリッジは保険適用で費用を抑えられ、治療期間も短い一方、健康な歯を削る必要がある点や耐久性の限界がデメリットです。
インプラントは、天然歯に近い見た目と機能性が魅力で、長期的な安定性にも優れますが、手術や高額な費用が課題です。
両者の特徴をしっかり比較することで、自分に合った方向性が見えてきます。
💬 専門医と相談し、自分に合った選択を
インターネットや口コミだけで判断するのではなく、実際に歯科医院でCT検査や口腔内診査を受けた上で相談することが大切です。
信頼できる歯科医師であれば、あなたのライフスタイル・健康状態・ご予算をふまえて、無理のない最適な治療プランを提案してくれるはずです。
🧭 健康・費用・審美・将来性を総合的に判断しよう
治療を選ぶうえで重視するポイントは人それぞれです。
- 見た目を自然に仕上げたいならインプラント
- 費用を抑えたいなら保険のブリッジ
- 他の歯に影響を与えたくないならインプラント
- 短期間で治療を終えたいならブリッジ
このように、健康・費用・審美性・将来性を総合的に比較することが、後悔のない治療選択につながります。
🦷江戸川区篠崎で「ブリッジとインプラント、どちらが自分に合っているのか分からない」とお悩みの方へ

歯を失った際の治療方法として「ブリッジ」や「インプラント」が挙げられますが、それぞれにメリットとデメリットがあり、どちらを選ぶべきか迷われる方も少なくありません。
当院では、患者さま一人ひとりのライフスタイルやご要望を丁寧にお伺いし、最適な治療法をご提案しています。
- ブリッジは、周囲の歯を支えにするため、短期間で治療を終えられることが特長です。費用を抑えたい方にもおすすめです。
- インプラントは、顎の骨に人工歯根を埋め込む治療で、天然歯に近い感覚でしっかり噛むことができます。長期的な安定性を求める方に適しています。
当院では、治療後の生活を見据えた丁寧なカウンセリングを通じて、治療後の生活を見据えたベストな選択をサポートします。お悩みや不安がある方は、ぜひ一度ご相談ください。
【動画】奥歯を抜歯したまま放置すると?
筆者・院長

深沢 一
Hajime FUKASAWA
- 登山
- ヨガ
メッセージ
日々進化する歯科医療に対応するため、毎月必ず各種セミナーへの受講を心がけております。
私達は、日々刻々と進歩する医学を、より良い形で患者様に御提供したいと考え、「各種 歯科学会」に所属すると共に、定期的に「院内勉強会」を行う等、常に現状に甘んずる事のないよう精進致しております。 又、医療で一番大切な事は、”心のある診療”と考え、スタッフと共に「患者様の立場に立った診療」を、心がけております。


