- 1. 【📹 47秒】歯が白く濁るのは虫歯のサイン?初期虫歯の特徴と対処法
- 2. 1. 虫歯の初期とは?
- 2.1. 虫歯の進行段階
- 2.2. 初期虫歯COとは
- 2.3. 初期虫歯と進行した虫歯の違い
- 2.4. 初期虫歯の特徴(見た目・自覚症状の有無)
- 2.5. 初期虫歯COの見分け方
- 2.6. 【画像】色による初期虫歯COの見分け方
- 2.7. 虫歯の進行に伴う色の変化
- 2.8. 歯に黒い点
- 2.9. 歯に黒い穴
- 2.10. 初期虫歯は自然治癒するのか?
- 2.10.1. 再石灰化を促す方法
- 3. 2. 初期虫歯の症状チェックリスト
- 3.1. ✅ 歯の白濁(ホワイトスポット)
- 3.2. ✅ ザラつきや変色
- 3.3. ✅ 軽いしみる感覚(冷たいものがしみる)
- 3.4. ✅ 口臭の変化と関係
- 3.5. ✅ 目視やセルフチェックの方法
- 4. 3. 初期虫歯の原因とリスク要因
- 4.1. 🦠 1. 虫歯菌の影響(ミュータンス菌の働き)
- 4.2. 🍬 2. 飲食習慣(砂糖・酸性飲料の摂取)
- 4.3. 💧 3. 唾液の役割と分泌量
- 4.4. 🪥 4. 歯磨き習慣の影響
- 4.5. 🦷 5. 矯正治療中のリスク
- 5. 4. 初期虫歯の治療法
- 5.1. 🦷 1. 削らずに治す方法(再石灰化促進)
- 5.2. 🦷 2. フッ素塗布の効果
- 5.3. 🦷 3. シーラント処置とは?
- 5.4. 🦷 4. 進行した場合の治療(レジン充填・詰め物)
- 5.5. 🦷 5. 歯科医院での検査方法(レーザー診断・レントゲン診断)
- 6. 5. 初期虫歯を防ぐための予防策
- 6.1. 🦷 1. フッ素配合歯磨き粉の活用
- 6.2. 🪥 2. 正しい歯磨き方法と推奨アイテム
- 6.3. 🍽 3. 食生活の改善(糖質・酸性食品の摂取制限)
- 6.4. 🍬 4. キシリトールの活用
- 6.5. 💧 5. 唾液を増やす方法(ガム・水分補給・食事)
- 7. 6. 初期虫歯を放置するとどうなる?
- 7.1. 🦷 1. 進行すると削る必要がある
- 7.2. ⚡ 2. 痛みが出る可能性
- 7.3. 🦷 3. 神経の治療が必要になることも
- 7.4. 💰 4. 詰め物・被せ物のコストと影響
- 8. 7. 虫歯初期のよくある疑問Q&A
- 8.1. 🦷 Q1. 初期虫歯は必ず治療しないといけない?
- 8.2. ⏳ Q2. どのくらいの期間で進行する?
- 8.3. 🪥 Q3. フッ素を塗れば絶対に進行しない?
- 8.4. 🛒 Q4. 市販のケア用品で十分?
- 8.5. 🏥 Q5. どのタイミングで歯医者に行くべき?
- 9. 🦷【江戸川区篠崎で初期虫歯の早期治療なら当院へ】🦷
- 10. 【動画】ステイン着色汚れをクリーニングするエアフロー
- 11. 筆者・院長

「虫歯」と聞くと、ズキズキとした痛みをイメージする方が多いですが、初期虫歯(C0)の段階では痛みを感じることはほとんどありません。しかし、この段階で適切なケアをしないと、やがて進行し、削る治療が必要になってしまいます。
初期虫歯は歯の表面が白く濁る「ホワイトスポット」が現れるのが特徴で、適切なフッ素ケアや生活習慣の見直しで進行を防げることもあります。「冷たいものが少ししみる」「歯の色が変わった気がする」と感じたら、早めに歯科医院でチェックすることが大切です。
この記事では、初期虫歯の特徴や予防法、適切な治療法について詳しく解説します!
【📹 47秒】歯が白く濁るのは虫歯のサイン?初期虫歯の特徴と対処法
1. 虫歯の初期とは?
虫歯の進行段階
虫歯は進行度によって大きく 5つの段階 に分けられます。
- C0(初期虫歯):歯の表面(エナメル質)が白く濁る「ホワイトスポット」が見られるが、穴は開いていない。
- C1(エナメル質の虫歯):歯の表面がわずかに黒ずみ、痛みを感じることはない。
- C2(象牙質の虫歯):冷たいものや甘いものがしみる。エナメル質の下の象牙質まで進行。
- C3(神経まで達した虫歯):強い痛みが発生し、神経の治療(根管治療)が必要になる。
- C4(歯根だけが残る状態):歯の大部分が失われ、抜歯が必要になることも。
初期虫歯(C0)は 穴が開いておらず、適切なケアをすれば治る可能性がある のが特徴です。
初期虫歯COとは


「C0」の"C”はcaries(虫歯)の頭文字です。「C0」の"0”はobservation(オブザベーション)の頭文字です。
エナメル質の表層のみに脱灰(虫歯)が存在するのを「C0」(シー・オー)あるいは(シー・オブザベーション)といいます。「C0」の"O"は「ゼロ」ではなく、観察を意味するオブザベーションの頭文字から取ったものです。
従って「C0」は虫歯になってはいるが、今のところ治療の必要がない要観察歯のことです。
初期虫歯と進行した虫歯の違い
| 初期虫歯(C0) | 進行した虫歯(C1以上) | |
|---|---|---|
| 見た目 | 白く濁る(ホワイトスポット) | 黒ずみや穴が開く |
| 痛み | なし | しみる・痛みが出る |
| 治療 | 再石灰化を促す(フッ素・唾液) | 削る・詰める |
| 進行リスク | 適切なケアで改善可能 | 放置すると悪化 |
初期虫歯の特徴(見た目・自覚症状の有無)
初期虫歯は 自覚症状がほぼない ため、気づかないことが多いです。
✅ 見た目の特徴
- 白く濁った部分ができる(ホワイトスポット)
- ツヤがなくなる
- ザラつきがあることも
✅ 自覚症状
- ほぼなし(痛み・しみる感覚はない)
- 唾液の量や食生活によって進行スピードが変わる
🔍 見つけるポイント
- 鏡で歯の表面をよく観察する
- 予防歯科で定期検診を受ける
初期虫歯COの見分け方

初期虫歯「CO」の模式図
エナメル質の表層のみに脱灰(虫歯)が認められ、黒や茶色に変色した部分が見られます。
或は、初期虫歯部分が黒い点として現れることもあります。

6歳臼歯が茶色に変色した初期虫歯CO
子供の第1大臼歯の溝の部分に出来た初期虫歯「CO」。エナメル質の表面が僅かに茶色に変色しています。
これを放置すると黒色に変色します。6歳臼歯は十分に石灰化されずに萌出することがあるので、溝に黒い点が現れたら出来るだけ早くシーラントやフッ素塗布などの予防処置が必要です。当然、歯を削らずに治療します。
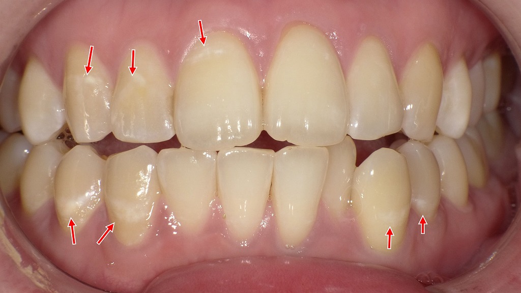
【画像】色による初期虫歯COの見分け方

白濁した初期虫歯CO
子供の前歯の表面に帯状に白濁した所が見られます。これは初期虫歯「CO」です。
歯と歯の間には茶色に変色したC1~C2の虫歯が認められます。このくらいの小さな虫歯だと痛みは起こっていません。
C1~C2の虫歯は削ってコンポジットレジンで詰めなければいけません。

黄色に変色した初期虫歯CO
歯の白濁は次第に黄色に変色します。小臼歯の黄色の部分は初期虫歯CO(要観察歯)と診断され、削って詰める必要はなく、再石灰化をさせる処置を行い自然治癒を待ちます。
手前の犬歯の茶色に変色したところはC1と診断されます。削って詰めるか自然治癒に期待するのかの境界といったところです。

歯の表面に白濁した初期虫歯CO
2本の側切歯の歯の間に黄色く変色したところがあります。これは C1と判定します。
また歯の表面に白濁した箇所がありますが、ホワイトスポットのCOです。

多数歯の根元が黄色に変色ー歯石
歯の間部分に多数歯にわたって黄色く変色している部分があります。これは歯石で虫歯ではありません。
歯石を残したままにすると歯周病が悪化します。定期的に歯石取りが必要です。
虫歯の進行に伴う色の変化
STEP
白濁(CO)
歯の表面のエナメル質がすりガラス状に白濁し不透明になります。
画像の様に虫歯ではない歯の白濁があります。エナメル質形成不全が原因で先天的にエナメル質が白濁している場合です。これをホワイトスポット、あるいはホワイトバンドと呼びます。
エナメル質形成不全によるホワイトスポットは削らずに治すことが出来ます。

STEP
黄色( CO~C1)
白濁し部位が色素を取り込み黄色に変色します。画像は COの状態です。

STEP
茶色( C1~C2)
黄色から次第に色が濃くなり茶色に変色します。画像の様に茶色になると C2まで進行したものもあります。

STEP
黒色( C2)
茶色からさらに色が濃くなり黒くなります。画像は確実にC2になっています。

歯に黒い点
歯の表面に黒い点が出来ると虫歯なのか心配になりますよね。多くの場合、治療の必要性がないことが殆どです。

歯の溝に黒い点
小臼歯の溝に黒い点があります。これは単なる着色で初期虫歯(CO)ではありません。
自分で行うには、黒い点の部分をよくブラッシングするだけで取れるかもしれません。
歯科医院では、PMTC やエアフローで除去します。当然削る治療は必要ありません。

歯の溝と歯の間に黒い点
歯の間と咬合面の溝に黒く変色した場所があります。これはともに C1です。
C2に近い C1なので削って詰めた方が良いケースです。
歯に黒い穴

歯の間に黒い穴
このように穴が開き始めると象牙質の中で虫歯は大きく広がっています。虫歯の進行度はC2です。
当然削って詰める必要があります。

黒色に変色した虫歯
黒色に変色した虫歯の進行度はC2です。このケースでは、虫歯を削ってコンポジットレジン充填が必要です。
初期虫歯は自然治癒するのか?
初期虫歯(C0)は、適切なケアを行えば再石灰化によって修復可能です! ただし、放置すると進行して C1以上の虫歯になり、削る治療が必要になる ため注意が必要です。
再石灰化を促す方法
- フッ素配合歯磨き粉を使用(1,450ppm以上推奨)
- 糖分の摂取を控える
- キシリトールガムを噛む(唾液分泌を促進)
- 歯科医院でフッ素塗布を受ける
- 定期的な歯科検診を受ける
2. 初期虫歯の症状チェックリスト
初期虫歯(C0)の段階では、自覚症状がほとんどないため、早期発見が鍵 になります。以下のポイントをチェックし、虫歯の進行を防ぎましょう。
✅ 歯の白濁(ホワイトスポット)
🔍 特徴
- 歯の表面に 白く濁った部分 が現れる
- ツヤがなくなる(健康な歯はツルツルしている)
- 表面のエナメル質が脱灰し、ミネラルが失われた状態
🛑 注意点
- 進行すると黒ずんだり、穴が開いたりする
- フッ素を使えば再石灰化で改善できる可能性あり
🩺 対策
- フッ素入りの歯磨き粉を使用
- 定期的に歯科検診でチェック
✅ ザラつきや変色
🔍 特徴
- 舌で触ると ザラつき を感じる
- 表面の透明感が失われ、 少し黄色っぽく見える ことも
- 進行すると 黒い斑点や茶色の変色 が出てくる
🛑 注意点
- ザラつきがある部分は、エナメル質の初期ダメージ
- 色の変化が進むと 削る治療が必要になる可能性 あり
🩺 対策
- 毎日のブラッシングを丁寧に
- 歯科でフッ素塗布を受ける
- シーラント(予防のコーティング)を検討
✅ 軽いしみる感覚(冷たいものがしみる)
🔍 特徴
- アイスや冷たい飲み物で「キーン」と感じることがある
- 進行すると甘いものもしみるようになる
🛑 注意点
- 初期段階では 象牙質まで達していない ため、痛みはほぼなし
- しみる症状が続く場合は進行のサインかも
🩺 対策
- 知覚過敏用の歯磨き粉を使う
- 歯ぎしりや強いブラッシングを避ける
- 歯科でコーティング処置を検討
✅ 口臭の変化と関係
🔍 特徴
- 初期虫歯があると口臭が強くなる ことがある
- 虫歯菌の活動により 酸の発生が増加
- 進行すると 虫歯の穴に汚れがたまり、さらに悪化
🛑 注意点
- 口臭が気になる場合、歯科で診断を受けるのがベスト
- 虫歯の初期段階では フロスで清潔に保つことで改善できる
🩺 対策
- デンタルフロスや歯間ブラシを使用
- キシリトールガムで口内環境を整える
- 唾液の分泌を促す(よく噛む、こまめに水を飲む)
✅ 目視やセルフチェックの方法
🔍 チェックポイント
- 鏡で歯の表面をよく観察
- 歯の表面が白っぽく濁っていないか
- ツヤがなく、ザラザラしていないか
- 冷たいものがしみることがないか
- 口臭の変化がないか
🩺 チェック方法
| チェック方法 | 手順 |
|---|---|
| 鏡で見る | 白濁や変色がないか確認 |
| 舌で触る | ザラつきがないか感じる |
| 飲食時に確認 | 冷たいものがしみるかチェック |
| 口臭チェック | 朝起きたときの口臭を確認 |
3. 初期虫歯の原因とリスク要因
初期虫歯は 「虫歯菌」「飲食習慣」「唾液の量」「歯磨きの仕方」「矯正治療中のケア不足」 などが原因で発生します。ここでは、それぞれのリスクについて詳しく解説します。
🦠 1. 虫歯菌の影響(ミュータンス菌の働き)

🔍 虫歯菌のメカニズム
- 虫歯の原因菌である ミュータンス菌 は 食べ物の糖分をエサに酸を作る
- この酸が 歯のエナメル質を溶かす(脱灰) → 初期虫歯が発生
- 口内にプラーク(歯垢)が多いと、ミュータンス菌が活発になりやすい
🛑 注意点
- ミュータンス菌は 母子感染(親から子への口移しなど)で伝わる
- プラークが多いと 虫歯リスクが大幅に上昇
🩺 対策
- 歯磨きでプラークを減らす
- フッ素を使って 歯を強くする
- キシリトールを摂取して 虫歯菌の働きを弱める
🍬 2. 飲食習慣(砂糖・酸性飲料の摂取)

🔍 砂糖と虫歯の関係
- 砂糖を多く含む食べ物(お菓子・ジュース・菓子パンなど)は 虫歯菌のエサになる
- 特に ダラダラ食べる習慣 は 歯が常に酸にさらされる ためリスクが高い
🔍 酸性飲料の影響
- スポーツドリンク・炭酸飲料・フルーツジュースは pHが低く、エナメル質を溶かす
- 酸性の飲み物を ストローで飲むと歯への接触が減る
🛑 注意点
- 砂糖を摂取すると 約20分間、口内のpHが低下
- 甘いものを頻繁に食べると 再石灰化が追いつかず虫歯が進行しやすい
🩺 対策
- 間食の回数を減らす
- 食後は水を飲んで 口の中を中和
- キシリトールガムで 酸の影響を軽減
💧 3. 唾液の役割と分泌量

🔍 唾液の大切な働き
- 酸を中和 して虫歯の進行を防ぐ
- 歯の再石灰化 を促進し、初期虫歯を修復
- 食べカスを洗い流す ことで虫歯菌の増殖を防ぐ
🛑 注意点
- ストレス・口呼吸・加齢 などで 唾液の分泌量が減少 する
- 唾液の量が少ないと 虫歯のリスクが上がる
🩺 対策
- よく噛んで食べる(唾液の分泌を促す)
- キシリトールガムを活用
- 水分をこまめに摂取(脱水を防ぐ)
- 口呼吸を防ぎ、鼻呼吸を意識する
🪥 4. 歯磨き習慣の影響
🔍 正しい歯磨きができていないと…
- 磨き残しが多いと プラーク(歯垢)がたまり、虫歯菌が増える
- 磨く時間が短いと 細菌が除去しきれない
- 力を入れすぎると 歯の表面が傷つき、逆に虫歯リスクが上がる
🛑 注意点
- 「朝・昼・夜」の3回磨いていても 正しく磨けていなければ意味がない
- 磨き残しが多い 歯と歯の間・奥歯の溝・歯茎との境目 に注意
🩺 対策
- フッ素配合歯磨き粉 を使う
- 歯間ブラシ・フロス を併用
- 電動歯ブラシの活用も効果的

「▶ Amazonで見る」
「▶ 楽天で見る」
🦷 5. 矯正治療中のリスク
🔍 矯正治療中の虫歯リスク
- ワイヤーやブラケットがあると歯磨きがしにくい
- 食べカスが残りやすく、プラークが溜まりやすい
- 初期虫歯ができても 矯正装置で気づきにくい
🛑 注意点
- 矯正中にできる初期虫歯は 進行しやすい
- フッ素を使った予防が必須
🩺 対策
- 矯正用の専用歯ブラシ を使用
- フッ素洗口液を併用
- 歯科で定期的なクリーニングを受ける
4. 初期虫歯の治療法
初期虫歯(C0)の段階では、適切なケアを行えば削らずに治せる可能性 があります。ここでは、再石灰化を促進する方法から、進行した場合の治療法まで詳しく解説します。
🦷 1. 削らずに治す方法(再石灰化促進)

リカルデントガム
リカルデント(CPP-ACP)成分を配合し再石灰化を促進します。
使用法としてはリカルデントガムを噛んだり、 MIペーストを歯に塗ります。

フッ素を使う
フッ素入り歯磨き粉やフッ素洗口剤ミラノール顆粒などを使う。
フッ化物は虫歯菌の活動を抑制したり、再石灰化を促進する作用があります。

キシリトールを使う
キシリトールガムを長期間(最低でも3ヶ月)摂取するとプラーク中のミュータンス菌が減少していきます。また、歯の再石灰化が図れます。
🔍 再石灰化とは?
- 歯の表面のエナメル質が 脱灰(酸による溶解) しても、カルシウムやリンを補給することで修復される 仕組み。
- 唾液の働きで ミネラルが再吸収されると、初期虫歯は進行せず治ることがある。
🩺 再石灰化を促す方法
✅ フッ素の活用(歯磨き粉・歯科での塗布)
✅ キシリトールガムの摂取(虫歯菌の活動を抑制)
✅ リカルデントを活用(miペースト・リカルデントガムで再石灰化を促進)
✅ カルシウムやリンを含む食品(チーズ・ナッツ・小魚)
✅ 適切な口腔ケア(歯磨き・フロス)
✅ ダラダラ食べを避ける(食後に唾液で中和する時間を確保)
🛑 注意点
- 再石灰化は C0の初期段階のみ有効。C1以上に進行すると削る治療が必要。
🦷 2. フッ素塗布の効果
🔍 フッ素の働き
✅ エナメル質を強化 → 酸に溶けにくくする
✅ 再石灰化を促進 → 歯の修復を助ける
✅ 虫歯菌の働きを抑制 → 酸の産生を抑える
🩺 フッ素の活用方法
- フッ素配合歯磨き粉(1450ppm以上推奨) を使う
- 歯科医院でのフッ素塗布(定期的に受けると効果アップ)
- フッ素洗口液 を使用する
🛑 注意点
- フッ素を摂取しすぎると フッ素症(白い斑点ができる) のリスクあり。
- 適量を守りながら継続することが重要。
🦷 3. シーラント処置とは?

🔍 シーラントとは?
- 奥歯の溝に特殊な樹脂を流し込み、虫歯を予防する処置。
- 特に 生えたばかりの永久歯(6歳臼歯) に効果的。
🩺 シーラントのメリット
✅ 奥歯の溝を埋めて虫歯を防ぐ
✅ 削らずに予防ができる
✅ フッ素配合のものもあり、再石灰化を促進
🛑 注意点
- シーラントが剥がれることがあるので 定期的なチェックが必要。
- すでに進行している虫歯には 適用できない。
🦷 4. 進行した場合の治療(レジン充填・詰め物)
初期虫歯(C0)が C1に進行すると削る治療が必要 になります。
🩺 進行度別の治療法
| 虫歯の進行度 | 治療法 | 特徴 |
|---|---|---|
| C0(初期虫歯) | 再石灰化 | フッ素で修復可能 |
| C1(エナメル質の虫歯) | レジン充填 | 最小限の削除で詰める |
| C2(象牙質の虫歯) | 詰め物(インレー) | しみる症状が出る |
| C3(神経まで進行) | 根管治療(神経の治療) | 強い痛みあり |
| C4(歯根だけ残る) | 抜歯・ブリッジ・インプラント | 進行しすぎた状態 |
🛑 注意点
- C1の段階で 早めに治療すれば負担が少ない。
- C2以上に進行すると 詰め物・被せ物が必要になり、治療期間も長くなる。
🦷 5. 歯科医院での検査方法(レーザー診断・レントゲン診断)
初期虫歯は 目視だけでは発見が難しい ため、歯科医院では 専門的な検査 を行います。

🔍 検査方法
| 検査方法 | 特徴 |
|---|---|
| 視診(目視) | 鏡とライトを使って確認 |
| レーザー診断(ダイアグノデント) | レーザーを照射し、虫歯の進行度を測定(痛みなし) |
| レントゲン検査 | 歯の内部の虫歯を発見(特に歯と歯の間) |
🛑 注意点
- レントゲンは被曝リスクがあるため、必要な場合のみ実施。
- レーザー診断は痛みがなく、初期虫歯の発見に有効。
5. 初期虫歯を防ぐための予防策
初期虫歯(C0)は 適切なケアを行えば進行を防ぎ、再石灰化で修復できる可能性があります。ここでは、効果的な予防策を詳しく解説します。
🦷 1. フッ素配合歯磨き粉の活用
🔍 フッ素の働き
✅ エナメル質を強化し、酸に溶けにくくする
✅ 再石灰化を促進し、初期虫歯を修復
✅ 虫歯菌の働きを抑え、酸の産生を減らす
🩺 フッ素配合歯磨き粉の選び方
| 年齢 | フッ素濃度の推奨値 |
|---|---|
| 0~5歳 | 500ppm以下(少量を使用) |
| 6~14歳 | 1000ppm以上 |
| 15歳以上 | 1450ppm以上(大人向け) |
🛑 注意点
- すすぎすぎない(少量の水で1回のみ)
- 就寝前の使用が効果的(寝ている間に再石灰化を促進)
🪥 2. 正しい歯磨き方法と推奨アイテム
🔍 正しい歯磨きのポイント
✅ 1日2回以上、2~3分かけて丁寧に磨く
✅ 歯ブラシを歯に45度の角度であて、細かく動かす
✅ 歯と歯の間、奥歯、歯茎の境目を重点的に
🩺 推奨アイテム
| アイテム | 役割 |
|---|---|
| フッ素配合歯磨き粉 | エナメル質の強化 |
| 歯間ブラシ・デンタルフロス | 歯と歯の間の汚れを除去 |
| 電動歯ブラシ | 効率よく磨ける |
| フッ素洗口液 | 追加のフッ素補給 |
🛑 注意点
- 力を入れすぎない(歯や歯茎を傷める)
- フロスを併用しないと歯間の虫歯リスクが高まる
🍽 3. 食生活の改善(糖質・酸性食品の摂取制限)
🔍 砂糖と酸の影響
- 砂糖は虫歯菌のエサになり、酸を作り出す
- 酸性食品(炭酸飲料・フルーツジュース)は歯の表面を溶かす
- 食後は口内が酸性になり、30分ほどで中性に戻る
🩺 食生活の改善ポイント
✅ 糖質の摂取量を減らす(特に間食)
✅ 酸性食品を控える(炭酸飲料・柑橘系ジュース)
✅ ダラダラ食べを避ける(食後の口内を中性に戻す時間を確保)
✅ 食後に水やお茶を飲む(酸を洗い流す)
🛑 注意点
- 「砂糖ゼロ」でも酸が強い飲み物(スポーツドリンク)は要注意
- 糖質を含むお菓子を食べたら、水で口をゆすぐとよい
🍬 4. キシリトールの活用
🔍 キシリトールの効果
✅ 虫歯菌のエサにならず、酸を作らせない
✅ 唾液の分泌を促進し、再石灰化を助ける
✅ 歯垢(プラーク)の形成を抑える
🩺 キシリトールの摂取方法
- キシリトールガム・タブレットを1日5回以上噛む
- キシリトール含有量100%の製品を選ぶ
- 食後や間食後に摂取すると効果的(1日5粒を目安)
🛑 注意点
- ガムは砂糖不使用のものを選ぶ
- キシリトールの含有量が少ないものは効果が低い
💧 5. 唾液を増やす方法(ガム・水分補給・食事)
🔍 唾液の働き
✅ 酸を中和し、歯を守る
✅ 再石灰化を助ける
✅ 口の中の汚れを洗い流す
🩺 唾液を増やす方法
✅ よく噛む(食事の際に意識的に咀嚼回数を増やす)
✅ ガムを噛む(無糖・キシリトール入りがベスト)
✅ 水をこまめに飲む(口の中の乾燥を防ぐ)
✅ 口呼吸を改善し、鼻呼吸を意識する
🛑 注意点
- ストレスや疲れで唾液が減ることがある
- アルコールやカフェインは唾液の分泌を抑えるため、摂取量に注意
6. 初期虫歯を放置するとどうなる?
初期虫歯(C0)は 適切なケアをすれば進行を止めることが可能 ですが、放置すると 確実に悪化 し、治療が必要になります。ここでは、放置するとどうなるのか、そのリスクについて詳しく解説します。
🦷 1. 進行すると削る必要がある
🔍 虫歯の進行と治療法
| 虫歯の進行度 | 特徴 | 治療方法 |
|---|---|---|
| C0(初期虫歯) | 白濁・自覚症状なし | 再石灰化で修復可能 |
| C1(エナメル質の虫歯) | 黒ずみ・痛みなし | 最小限の削除+レジン充填 |
| C2(象牙質の虫歯) | 冷たいものがしみる | 詰め物(インレー)治療 |
| C3(神経に達する虫歯) | 強い痛み・歯髄炎のリスク | 根管治療(神経の治療) |
| C4(歯根だけ残る) | 神経が死ぬ・歯の崩壊 | 抜歯+ブリッジ・インプラント |
🛑 放置のリスク
- C0の 初期段階なら再石灰化で修復可能 だが、進行すると 削るしかない
- 進行するほど 治療が大がかりになり、費用も増加
- 歯の削る量が増えると 歯の寿命が短くなる
⚡ 2. 痛みが出る可能性
🔍 初期虫歯の段階では痛みはないが…
- C1(エナメル質の虫歯)までなら 痛みはほぼなし
- C2(象牙質の虫歯)に進行すると 冷たいものや甘いものがしみる
- C3(神経に達する虫歯)になると ズキズキと激しい痛みが出る
🛑 痛みが出る前に治療すべき理由
✅ しみる症状が出た時点で 削る治療が必要
✅ 痛みが強くなると 麻酔が効きにくくなる ことも
✅ 痛みが消えた=神経が死んだ可能性(C3以上のリスク)
🦷 3. 神経の治療が必要になることも
🔍 C3以上に進行すると神経(歯髄)に炎症が起こる
- 歯髄炎(歯の神経の炎症) → 強い痛み・ズキズキする
- 歯髄壊死(神経が死ぬ) → 痛みが消えるが歯の寿命が短くなる
- 根尖性歯周炎(歯の根の先に膿がたまる) → 歯茎が腫れる、最悪の場合抜歯が必要
🛑 根管治療が必要になると…
- 神経を取るため 歯の寿命が短くなる
- 治療回数が 数回(3~5回) 必要
- 1回の治療で終わらないため 通院が増える
🩺 早期発見・早期治療で神経を守ることが重要!
💰 4. 詰め物・被せ物のコストと影響
🔍 虫歯の進行度と治療費の目安
| 虫歯の進行度 | 治療法 | 費用(保険適用時) | 費用(自費診療) |
|---|---|---|---|
| C0(初期虫歯) | フッ素塗布 | 数百円 | ー |
| C1(エナメル質の虫歯) | レジン充填 | 約1,000~3,000円 | ー |
| C2(象牙質の虫歯) | 詰め物(インレー) | 約5,000円~ | セラミック:約30,000円~ |
| C3(神経の治療) | 根管治療+被せ物 | 約10,000円~ | セラミッククラウン:約80,000円~ |
| C4(歯根だけ残る) | 抜歯+ブリッジ・インプラント | 約15,000円~ | インプラント:約300,000円~ |
🛑 放置すると…
✅ 治療費が増える(虫歯が進行するほどコストが高くなる)
✅ 歯の負担が大きくなる(削る量が増え、歯の寿命が短くなる)
✅ 詰め物・被せ物は一生ものではない(10~20年で交換が必要)
7. 虫歯初期のよくある疑問Q&A
初期虫歯(C0)は、適切なケアをすれば削らずに治せることがありますが、放置すると進行してしまうリスクもあります。ここでは、よくある疑問に答えながら、正しい対応を解説します。
🦷 Q1. 初期虫歯は必ず治療しないといけない?
✅ C0(初期虫歯)の場合は、削らずに再石灰化で修復できる可能性がある
✅ C1(エナメル質の虫歯)に進行すると、削る治療が必要になる
🩺 放置せずにすべきこと
- フッ素を活用して再石灰化を促進
- 歯科医院で定期的にチェック
- 食生活や歯磨きを見直す
🛑 注意点
- 「痛みがないから大丈夫」と放置すると 気づかないうちに進行してしまう
- 進行する前に対策することが重要!
⏳ Q2. どのくらいの期間で進行する?
✅ 虫歯の進行スピードは個人差があるが、数ヶ月~数年で悪化することが多い
✅ C0の状態が続く人もいれば、短期間でC1→C2に進むケースもある
🩺 進行に影響を与える要因
- 口内環境(唾液の量・質)
- 食生活(糖質の摂取頻度・酸性食品)
- 歯磨き習慣(正しいケアができているか)
- フッ素の使用の有無
🛑 注意点
- 子どもの歯(乳歯や生えたばかりの永久歯)は特に進行が早い
- 歯と歯の間の虫歯は気づきにくく、進行しやすい
🪥 Q3. フッ素を塗れば絶対に進行しない?
✅ フッ素は歯を強くし、初期虫歯の進行を抑える効果がある
✅ 適切に使えば、C0の虫歯を再石灰化させることが可能
🩺 フッ素の正しい使い方
- 1450ppm以上のフッ素配合歯磨き粉を使用(大人)
- フッ素洗口液を併用する
- 歯科医院で定期的にフッ素塗布を受ける
🛑 注意点
- フッ素を塗っても「絶対に」進行しないわけではない
- 食生活や歯磨きを怠ると虫歯は進行する
- すでに穴が開いてしまった虫歯(C1以上)はフッ素では治らない
🛒 Q4. 市販のケア用品で十分?
✅ 適切なケア用品を使えば、初期虫歯の予防・進行抑制は可能
✅ フッ素・キシリトール・リカルデントを活用すると効果的
🩺 市販で選ぶべきアイテム
| 種類 | 選び方 |
|---|---|
| 歯磨き粉 | フッ素1450ppm以上配合のもの |
| フロス・歯間ブラシ | 歯と歯の間のケアに必須 |
| マウスウォッシュ | フッ素配合のものを選ぶ |
| キシリトールガム | 100%キシリトール配合がおすすめ |
| MIペースト(リカルデント配合) | 歯に塗布する |
🛑 注意点
- 「フッ素なし」の歯磨き粉は虫歯予防効果が弱い
- フロス・歯間ブラシを使わないと歯と歯の間の虫歯リスクが高まる
- 市販品だけで完璧なケアは難しいため、定期的に歯科検診を受けることが大切
🏥 Q5. どのタイミングで歯医者に行くべき?
✅ 初期虫歯を見つけたらすぐに歯科検診を受けるのがベスト
✅ 定期検診(3~6ヶ月ごと)を受けることで早期発見が可能
🩺 歯医者に行くべきサイン
- 歯の表面が白く濁っている(ホワイトスポット)
- 冷たいものがしみる
- 黒い点や溝が見える
- 口臭が気になる
- 歯茎が腫れている、出血がある
🛑 注意点
- 痛みが出てからでは遅い!(すでに進行している可能性大)
- 早期発見すれば削らずに済むことが多い
🦷【江戸川区篠崎で初期虫歯の早期治療なら当院へ】🦷

「初期虫歯はまだ痛みがないから大丈夫…」と思っていませんか?江戸川区篠崎の当歯科では、削らずに治せる可能性がある初期虫歯の早期発見・予防に力を入れています!
✅ フッ素塗布で再石灰化を促進
✅ 歯科専用のレーザー診断で目に見えない虫歯も発見
✅ 痛みが出る前に適切なケアで進行を防ぐ
初期虫歯は適切なケアで進行を防げます!「歯の表面が白く濁っている」「冷たいものが少ししみる」などの症状があれば、早めの検診が大切です。江戸川区篠崎で信頼できる歯科医院をお探しの方は、お気軽にご相談ください!💡
📞 ご予約・お問い合わせはコチラ →
【動画】ステイン着色汚れをクリーニングするエアフロー
筆者・院長

深沢 一
Hajime FUKASAWA
- 登山
- ヨガ
メッセージ
日々進化する歯科医療に対応するため、毎月必ず各種セミナーへの受講を心がけております。
私達は、日々刻々と進歩する医学を、より良い形で患者様に御提供したいと考え、「各種 歯科学会」に所属すると共に、定期的に「院内勉強会」を行う等、常に現状に甘んずる事のないよう精進致しております。 又、医療で一番大切な事は、”心のある診療”と考え、スタッフと共に「患者様の立場に立った診療」を、心がけております。


