- 1. 【🎞️ 2分31秒】歯石取りと歯のクリーニングで取り戻す歯茎の健康
- 2. 📌 そもそも「歯石」とは?放置するとどうなる?
- 2.1. 🦠 歯石の正体とできる仕組み
- 2.2. 🪨 歯石形成の進行を示す症例
- 2.2.1. 🔴 歯肉炎(しにくえん)
- 2.3. 🌋 歯石がもたらすリスク(口臭・歯周病・虫歯)
- 2.4. 🧬 歯原性菌血症と全身疾患への影響
- 3. 🧹 歯石取りの基本|スケーリングの仕組みと効果
- 3.1. 🛠 スケーリングとは?使用器具と流れ
- 3.1.1. 🔍 スケーリングの流れ
- 3.2. 🔬 超音波スケーラー vs 手用スケーラーの違い
- 3.2.1. ⚡ 超音波スケーラー(パワースケーラー)
- 3.2.2. ✋ 手用スケーラー
- 3.3. 🌿 歯石取りとクリーニングだけで歯茎が改善した症例紹介
- 3.3.1. 💡 ポイント
- 4. 🤔 痛み・出血はある?歯石取りのリスクと対策
- 4.1. 🧯 なぜ痛い?痛みが出る主な理由とは
- 4.1.1. 1. 歯茎の炎症(歯周病)
- 4.1.2. 2. 歯石の付着場所と量
- 4.1.3. 3. 知覚過敏の影響
- 4.1.4. 4. 器具の当たり方や治療環境
- 4.2. 💉 痛みが不安な人におすすめの無痛治療法
- 4.2.1. 🌿 表面麻酔の使用
- 4.2.2. 💨 針なし麻酔(無針注射器)
- 4.2.3. 🛏️ 個室での対応
- 4.3. 🧊 歯石除去後に起こりやすい症状とケア方法
- 4.3.1. 📉 一時的な知覚過敏
- 4.3.2. 🩸 軽い出血や腫れ
- 4.3.3. 💡 どうしても不安な場合は…
- 5. 💡 保険でできる?歯石取りの費用と回数の目安
- 5.1. 🏥 保険診療と自由診療の違いとは
- 5.1.1. ■ 保険診療(健康保険が適用される治療)
- 5.1.2. ■ 自由診療(自費診療)
- 5.2. 💰 1回の費用と総額の目安(3割負担の場合)
- 5.2.1. ▶ 一般的な目安(初診〜スケーリング)
- 5.2.2. ▶ 自由診療(参考)
- 5.3. 📅 歯石が多い人は何回かかる?スケジュール例
- 5.3.1. ▶ よくある通院パターン(保険診療)
- 5.4. ✅ ポイントまとめ
- 6. ⏰ 歯石取りの頻度はどれくらいがベスト?
- 6.1. 🧭 3ヶ月?6ヶ月?状態別の推奨頻度
- 6.1.1. ▶ 一般的な目安
- 6.2. 📊 セルフケアができていても定期受診が必要な理由
- 6.2.1. ❗ 歯石ができやすい原因
- 6.3. 📆 症状がなくても行くべきタイミングとは
- 6.3.1. ✅ 行くべきタイミング
- 6.4. 🔍 まとめ:定期的な歯石取りは健康と美しさの両立に必要不可欠
- 7. 🏠 自宅で歯石予防!今日からできる5つの習慣
- 7.1. 🪥 正しいブラッシングとフロスの使い方
- 7.1.1. ▶ 歯と歯茎の境目を45度で磨く
- 7.1.2. ▶ デンタルフロス・歯間ブラシの併用が必須!
- 7.2. 🍎 食習慣・禁煙・唾液の力を味方にする方法
- 7.2.1. ▶ よく噛む&繊維質の多い食事を意識
- 7.2.2. ▶ 水分補給で口の中を潤す
- 7.2.3. ▶ 禁煙は最大の歯石予防
- 7.3. 🧴 市販の歯石除去グッズは使ってOK?危険性と注意点
- 7.3.1. ❌ 自分で歯石を取るのは基本的にNG
- 7.3.2. ▶ グッズは“補助的”に使おう
- 7.4. ✅ まとめ:自宅ケアは「歯石をつきにくくする」最強の予防策!
- 8. 🔁 歯石を繰り返さない!歯科メンテナンスの重要性
- 8.1. 💨 エアフローでのメンテナンスが有効な理由
- 8.1.1. ▶ エアフローとは?
- 8.1.2. 🌟 エアフローのメリット
- 8.2. 🔄 2ヶ月ごとのクリーニングで腫れが消えた症例
- 8.2.1. 【初診時】
- 8.2.2. 【処置内容】
- 8.2.3. 【経過】
- 8.3. 🧘 歯周病予防からアンチエイジングまでの効果
- 8.3.1. ✨ 歯周病予防の効果
- 8.3.2. 💨 口臭・ステインの抑制
- 8.3.3. 🧬 アンチエイジング効果
- 8.4. ✅ まとめ:歯石を防ぐ最も確実な方法は「定期メンテナンス」
- 9. 🙋♀️ よくある質問(Q&A)
- 9.1. Q:歯石取りは毎回痛いの?
- 9.2. Q:本当に必要?やらないとどうなる?
- 9.3. Q:自分で取っても大丈夫?
- 9.4. Q:どれくらい通えばいいの?
- 9.5. Q:エアフローや無痛処置は保険でできる?
- 9.6. ✅ まとめ
- 10. 📍 江戸川区篠崎で歯石除去をご希望の方へ
- 11. 筆者・院長

「歯石取りって痛そうで不安…」「何度も通う必要があるの?」
そんな理由で、歯科医院から足が遠のいていませんか?
実は、歯石を放置すると歯周病や口臭、さらには歯の喪失リスクまで高まります。
でも安心してください。近年では、無痛処置による快適な歯石除去が可能になり、通いやすさも大きく改善されています。
この記事では、歯石ができる原因から、正しい除去法、保険の適用範囲、自宅での予防方法までをやさしく解説します。
江戸川区篠崎エリアで歯石取りをご検討中の方も、ぜひ最後までご覧ください。
【🎞️ 2分31秒】歯石取りと歯のクリーニングで取り戻す歯茎の健康
📌 そもそも「歯石」とは?放置するとどうなる?
歯石とは、歯の表面や歯と歯茎の間に付着した歯垢(プラーク)が、唾液中のミネラルと結びついて石のように硬くなったものです。歯石は一度できると、歯ブラシやフロスでは除去できず、歯科医院での専門的な処置が必要になります。
特に歯と歯茎の境目や、奥歯の裏側などに付きやすく、自覚症状がなくても進行していくため注意が必要です。放置すると口臭の原因になったり、歯周病を悪化させたり、最終的には歯の喪失につながることもあります。
「まだ痛くないから大丈夫」と思っていても、知らないうちに静かに進行するのが歯石の怖いところです。
🦠 歯石の正体とできる仕組み
歯石は、まず「歯垢(プラーク)」という細菌のかたまりから始まります。歯垢は、食べカスや唾液中のタンパク質、細菌が混ざり合ってできる白っぽいネバネバした膜状のものです。これが除去されないまま時間が経つと、唾液に含まれるカルシウムやリン酸と結合し、石灰化して硬くなり、歯石へと変化します。
この歯石は24〜72時間程度で形成され始め、硬くなるとブラッシングでは取り除けません。さらに、歯石の表面はザラザラしているため、そこに新たな歯垢が付着しやすくなり、悪循環に陥ります。
歯石は見た目には白〜黄色が多いですが、時間が経過すると唾液や血液中の色素が沈着し、黒くなることもあります。
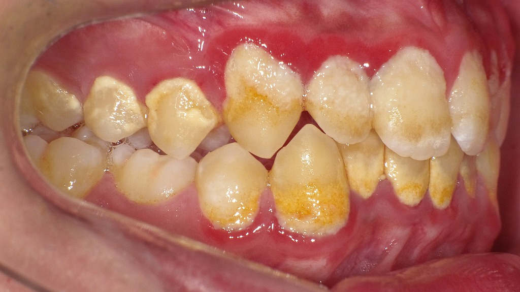
🪨 歯石形成の進行を示す症例

歯石は黄色→茶色→黒褐色へと硬化・沈着が進みます。
この画像では、表面が比較的まだ粗く、形成初期~中等度の段階です。
今後さらに放置すると、歯ぐきの下にも歯石が沈着し、歯周ポケットの拡大・歯周炎進行につながります。
🔴 歯肉炎(しにくえん)
歯ぐきが赤く腫れ、光沢を帯びている部分が見られます。
また、歯と歯の間の歯肉が丸みを帯び、引き締まりがなくなっていることから、歯肉炎の状態が疑われます。
歯石やプラークの刺激によって炎症が起き、ブラッシング時に出血しやすくなる段階です。
🌋 歯石がもたらすリスク(口臭・歯周病・虫歯)
歯石はただの「汚れ」ではなく、さまざまなリスクを引き起こします。まず代表的なのが口臭の悪化です。歯石の表面には大量の細菌が棲みつき、食べカスやタンパク質を分解することで「腐った卵」や「キャベツが腐ったような臭い」を発生させる揮発性硫黄化合物(VSC)を生成します。
次に、歯周病の進行です。歯石が付着していると、その周辺の歯茎に炎症が起きやすくなり、腫れ・出血を伴います。放置すれば歯を支える骨(歯槽骨)まで破壊され、歯がグラグラして最終的には抜けてしまうことも。
また、虫歯のリスクも見逃せません。歯石の周囲では酸を出す細菌が活発に働き、歯のエナメル質を溶かしてしまいます。特に歯と歯の隙間や歯茎の境目は虫歯になりやすいため注意が必要です。
🧬 歯原性菌血症と全身疾患への影響
最近注目されているのが、「歯原性菌血症(しげんせいきんけっしょう)」という現象です。これは、歯周ポケット内の細菌や毒素(LPS:リポ多糖)などが、毛細血管から血液中に侵入することで起こる状態です。
この菌血症が慢性的に続くと、動脈硬化の進行や心筋梗塞・脳梗塞のリスク、さらには糖尿病の悪化にまで影響すると報告されています。とくに高齢者や基礎疾患を持つ方は、歯石による全身への波及リスクが高く、早めのケアが重要です。
歯石を放置することは、もはや「口の中だけの問題」ではありません。健康寿命を延ばすためにも、定期的な歯石取りと予防ケアが欠かせないのです。
🧹 歯石取りの基本|スケーリングの仕組みと効果
歯石取りは「スケーリング」とも呼ばれ、歯の表面や歯と歯茎の間に付着した歯石を専用の器具で除去する処置です。スケーリングは単なる“掃除”ではなく、歯周病や口臭、虫歯のリスクを根本から取り除く最も基本かつ重要な治療といえます。
歯石を除去すると、歯茎の炎症が治まり、出血や腫れが改善されることも多く、健康な口腔環境を取り戻す第一歩になります。
🛠 スケーリングとは?使用器具と流れ
スケーリングには、主に以下の2つの方法があります:
- 超音波スケーリング(パワースケーラー)
- 手用スケーリング(ハンドスケーラー)
治療は以下のような流れで行われます。
🔍 スケーリングの流れ
- 診査・診断
歯周ポケットの深さ、歯石の付着量、歯茎の腫れや出血の有無を確認します。 - スケーリング実施
歯石の状態に応じて、超音波や手用スケーラーを使い分けて除去します。 - 歯面の仕上げ(ポリッシング)
専用のブラシやペーストで表面を磨き、汚れの再付着を予防します。 - セルフケアの指導
歯磨き方法やフロスの使い方、生活習慣へのアドバイスも行われます。
スケーリングは1回で終わることもあれば、歯石の量が多い場合は複数回に分けて行うこともあります。
🔬 超音波スケーラー vs 手用スケーラーの違い
歯科医院では、症状や部位に応じて「超音波スケーラー」と「手用スケーラー」を使い分けます。
⚡ 超音波スケーラー(パワースケーラー)
- 特徴:高速振動+水流で歯石を粉砕・洗浄
- メリット:短時間で広範囲を効率よく処置可能。患者の負担も少なめ。
- 適応:広範囲に付着した歯石や、深いポケット内の歯石除去
✋ 手用スケーラー
- 特徴:刃付きの器具で歯石を物理的に削り取る
- メリット:細かい調整ができ、繊細な処置に向いている
- 適応:歯と歯の隙間、歯周ポケットの奥深く、仕上げ段階
多くの医院では、この2つを併用して効率と精密さを両立させています。痛みが心配な方には、表面麻酔や無針麻酔などの無痛対策もあるため、相談してみると安心です。
🌿 歯石取りとクリーニングだけで歯茎が改善した症例紹介
術前
黒い歯石が付着しているのが分かります。歯茎は丸く腫れて盛り上がっています。歯茎を爪で剝がすようにするとペロンとめくれる状態です。また、歯茎の一部に出血も認められます。歯磨きがしっかり出来ていないので歯の間に磨き残しが沢山あることが分かります。
一見すると重度歯周病の様に見えますが、レントゲン写真を撮ってみると歯槽骨の破壊はほとんどありませんでした。
しかし、歯茎が腫れているため歯周ポケットは6mmほどある場所もありました。この様な歯周ポケットを仮性ポケットと呼びます。
歯周病の基本治療として歯磨きの指導と歯石取りを行い、メインテナンスとして歯のクリーニングだけで歯茎が改善してゆく過程をご覧ください。歯石が大量に付着していたため歯石取りの回数は4回に分けて行っています。
治療はすべて保険治療で行っています。
歯石除去後4ヶ月経過
前回のメインテナンス時より2ヶ月経過した時点の口腔内写真です。さらに歯茎の腫れは治まってきています。前回と同様にエアフローによる歯のクリーニングを行っています。
その後、2ヶ月ごとに来院していただき、クリーニングを行っています。
歯石除去後1年経過
歯石除去後1年経過した時点の口腔内写真です。下顎の歯茎はほぼ正常といってよいほど改善していますが、上顎は所々に僅かですが歯茎の腫れが認められます。
仮に歯槽骨の破壊があれば歯茎は下がっていたと思われますが、同症例の歯槽骨は健全であったため、歯茎下がりといった症状は起こっていません。
今後、同様のメインテナンスを続け、完全に歯周病が完治し、健康な歯茎になるようサポートしていきます。
また、歯石が再付着することもあるので、適宜行っていきます。
💡 ポイント
- 歯石除去だけで改善するケースも多い
- 歯槽骨の破壊がなければ、歯茎の治癒力は高い
- 継続的なメンテナンスが鍵
このように、歯石取りは見た目の変化だけでなく、歯茎の健康回復にも大きく貢献する治療です。自覚症状がない人こそ、定期的なチェックとケアが重要といえます。
🤔 痛み・出血はある?歯石取りのリスクと対策

「歯石取りって痛いんじゃないか…」「血が出るって聞いたけど大丈夫?」
そんな不安を抱える患者さんは少なくありません。
結論から言うと、**歯石取りは痛みが出ることもありますが、対策次第でかなり軽減できます。**また、出血も一時的な反応であり、正しいケアによって回復が見込めます。
以下で、歯石取りの痛みの原因と、最新の無痛対策、アフターケアまでをわかりやすく解説します。
🧯 なぜ痛い?痛みが出る主な理由とは
歯石取りで痛みを感じるのには、いくつかの明確な原因があります。
1. 歯茎の炎症(歯周病)
炎症がある歯茎は触れただけで痛みや出血が起きやすくなっています。歯石が溜まっているほど痛みが出やすい傾向があります。
2. 歯石の付着場所と量
歯周ポケットの奥深くや、根の表面に硬く付着した歯石は除去に力が必要な場合があり、痛みを伴いやすくなります。
3. 知覚過敏の影響
歯茎が下がって象牙質が露出していると、器具の振動や水流がしみることがあります。これを知覚過敏と呼びます。
4. 器具の当たり方や治療環境
過度な力や、角度が合っていない操作で痛みが出ることもあります。ここは術者の技術力に左右される部分です。
💉 痛みが不安な人におすすめの無痛治療法
(表面麻酔・針なし麻酔・個室対応)
「痛みが苦手」「治療が怖い」そんな方には無痛対策が充実した歯科医院の選択が重要です。
🌿 表面麻酔の使用
針を使わずに、歯茎の表面にジェル状の麻酔剤を塗布するだけで、処置中の感覚を鈍らせます。スケーリング時のチクチクした痛みを緩和できます。
💨 針なし麻酔(無針注射器)
針を使わずに麻酔液を霧状に噴射する機器。注射が苦手な方でもストレスなく処置を受けられます。
🛏️ 個室での対応
他の患者さんの声や音が気にならない個室診療を選べば、リラックスして治療に集中できます。リラックスは痛みの軽減にもつながります。
当院ではこうした無痛対策を導入し、「痛みが怖くて行けなかった」という方でも通える環境を整えています。
🧊 歯石除去後に起こりやすい症状とケア方法
治療後に感じる違和感も、事前に知っておけば安心です。
📉 一時的な知覚過敏
歯石で覆われていた部分が露出し、冷たいものや風にしみることがあります。多くの場合、数日〜数週間で自然に治まります。
・【対策】知覚過敏用の歯磨き粉を使用
・【NG】刺激の強い食べ物や飲み物は数日控える
🩸 軽い出血や腫れ
歯茎の炎症があった部分は、処置後に**軽い出血や腫れが出ることがあります。**これも正常な反応のひとつです。
・【対策】強くうがいをしすぎない
・【NG】喫煙や飲酒は炎症を悪化させる可能性があるため注意
💡 どうしても不安な場合は…
・違和感が長く続く
・出血が止まらない
・ズキズキするような強い痛みがある
このような場合は早めに歯科医院へ相談しましょう。
歯石取りは、「痛みを我慢する治療」ではなく、安心して受けられる医療へと進化しています。
信頼できる歯科医院で、無痛で快適なケアを受けることが、健康な口元への第一歩です。
💡 保険でできる?歯石取りの費用と回数の目安

「歯石取りって保険が使えるの?」「何回通えばいい?」
そういった疑問は、多くの患者さんが持つ素朴な不安です。
結論から言えば、歯石取りは基本的に保険診療の対象です。正しく制度を理解すれば、必要な処置を無理なく、経済的に受けられます。
🏥 保険診療と自由診療の違いとは
■ 保険診療(健康保険が適用される治療)
- 歯周病の検査・歯石取り・歯磨き指導など、治療目的に該当する処置が対象。
- 保険点数に基づいて全国一律の料金設定。
- 負担割合は原則3割(子どもや高齢者は1〜2割の場合もあり)。
- 使用機材・時間・回数に一定の制限がある。
📝 例えば「歯茎の出血がある」「歯周ポケットが深い」といった歯周病の症状がある場合に保険適用されます。
■ 自由診療(自費診療)
- 審美性や快適性を追求した高度なクリーニング(例:エアフロー、PMTCなど)。
- 医院ごとに費用設定が異なり、保険の制限なく時間や機材の自由度が高い。
- 「美容目的」や「短期間で一気に取りたい」などの希望にも対応可能。
🎯 自由診療は保険ではカバーしきれない**“質の高いメンテナンス”や“快適さ”を求める方**におすすめです。
💰 1回の費用と総額の目安(3割負担の場合)
保険診療での歯石取りは、非常にリーズナブルです。
▶ 一般的な目安(初診〜スケーリング)
| 処置内容 | 費用(3割負担時) |
|---|---|
| 初診+歯周基本検査 | 約1,000~1,500円 |
| スケーリング1回目 | 約1,500~2,000円 |
| 2回目以降の処置 | 約1,000~1,800円 |
🧾 トータルで3,000〜5,000円程度が一般的です(2回〜3回の通院想定)。
※ 歯周ポケットの深さや歯石の量、処置範囲によって若干変動あり。
▶ 自由診療(参考)
- 自費のPMTC:約5,000~20,000円/回
- エアフローを使った着色除去:約8,000〜15,000円/回
💡「保険で基本治療+自由診療で仕上げ」という組み合わせも可能です。
📅 歯石が多い人は何回かかる?スケジュール例
歯石が多い場合や、出血・腫れなどがあるケースでは1回のスケーリングでは取りきれないこともあります。
▶ よくある通院パターン(保険診療)
- 初診+歯周病検査
現状の歯茎の状態をチェックし、ポケットの深さ・出血の有無を記録します。 - 歯石除去(上下2~4ブロックに分割)
1回に上下左右いずれかの範囲のみ行い、複数回に分けてスケーリングを行います。 - 再評価と仕上げのポリッシング
治癒の確認と、仕上げ磨き・清掃を実施。
▶ 平均2〜4回の通院で完了します。
※歯石が非常に多い方や歯周病が進行している場合は、それ以上の治療や再評価が必要になることも。
✅ ポイントまとめ
- 歯石取りは基本的に保険で対応可能
- 回数は平均2〜4回、費用も数千円程度と現実的
- 症状の有無に関係なく、「歯周病の予防・早期発見」の観点からも定期的な受診が大切
費用や回数が気になる方は、初回のカウンセリング時に「自分はどれくらいかかるのか?」を遠慮なく質問してみましょう。
⏰ 歯石取りの頻度はどれくらいがベスト?

「どれくらいの頻度で歯石を取ればいいですか?」
これは多くの患者さんから寄せられる質問です。
歯石取りの理想的なタイミングは一律ではなく、その人の口腔内の状態やセルフケアの質、歯周病リスクによって変わります。
ここでは、実際に推奨されている間隔の目安と、注意すべきサインについて詳しく解説します。
🧭 3ヶ月?6ヶ月?状態別の推奨頻度
▶ 一般的な目安
| 状態 | 推奨頻度 |
|---|---|
| 歯周病の治療中・再発傾向あり | 1〜2ヶ月ごと |
| 歯石がつきやすい体質・喫煙者 | 3ヶ月ごと |
| 健康な歯茎・良好なセルフケア | 6ヶ月ごとでもOK |
💡 歯石は早い人で2〜3ヶ月で再付着するため、最低でも半年に1回は専門のクリーニングを受けるのが望ましいとされています。
📊 セルフケアができていても定期受診が必要な理由
「毎日きちんと歯磨きしてるから歯石はつかない」
そう思っている方も多いですが、実は完璧に磨けている人はほとんどいません。
❗ 歯石ができやすい原因
- 歯並びが悪くブラシが届きにくい
- 利き手の関係で一部の箇所だけ磨き残しがある
- フロスや歯間ブラシを使っていない
- 唾液の成分により歯石ができやすい体質 など
また、歯石は歯と歯茎の“すき間”にたまることが多く、見た目には分かりにくいのが特徴です。
▶ 歯科医院でのチェックでは、プローブという器具で歯周ポケットの深さや歯石の付着を細かく診断できます。
自覚症状がなくても、「歯周病の始まり」は沈黙して進行するため、プロによる定期チェックは欠かせません。
📆 症状がなくても行くべきタイミングとは
次のようなタイミングでは、たとえ痛みや腫れがなくても、歯科医院でのチェック・クリーニングが推奨されます。
✅ 行くべきタイミング
- 前回の歯石取りから3ヶ月以上経っている
- 歯磨き中に少しでも血が出ることがある
- 口臭が気になる・家族に指摘された
- 最近食生活が乱れている
- 妊娠・出産、体調の大きな変化があった
- 受験・結婚式・転職など大事なイベントが近い
口の中の状態は、体調や生活習慣の影響を大きく受けるため、**「何もなくても3〜6ヶ月ごとにリセットする」**意識が重要です。
🔍 まとめ:定期的な歯石取りは健康と美しさの両立に必要不可欠
- 歯石は再びつくもの。予防の意識を持つことが大切
- 症状が出る前の**「メンテナンス型通院」**が理想
- 定期受診は歯の寿命だけでなく、健康寿命の延伸にも直結します
「行く理由がない」ではなく、「行く理由を作ることが予防の第一歩」です。
🏠 自宅で歯石予防!今日からできる5つの習慣

「歯石がつく前に何かできることはないの?」
答えはYES。歯石は“予防”が最も効果的です。
歯石は、毎日の小さな習慣の積み重ねによって、その付着スピードを遅らせることができます。以下では、今日から実践できる「歯石を寄せつけない生活習慣」を5つにまとめてご紹介します。
🪥 正しいブラッシングとフロスの使い方
▶ 歯と歯茎の境目を45度で磨く
歯石は「歯と歯茎の隙間(歯周ポケット)」にたまりやすいため、ブラシの毛先を歯と歯茎の境目にしっかり当てて磨くことが重要です。
力を入れすぎず、小刻みにやさしく動かすのがポイント。
▶ デンタルフロス・歯間ブラシの併用が必須!
- フロス:歯と歯の隙間のプラークを落とすのに最適
- 歯間ブラシ:隙間が広い部分やブリッジ周辺におすすめ
🦷 ブラッシング+フロス/歯間ブラシのセット使いが、「歯石を作らない」口腔環境の基礎です。
🍎 食習慣・禁煙・唾液の力を味方にする方法
▶ よく噛む&繊維質の多い食事を意識
食事のたびによく噛むことで唾液の分泌が促され、自然な「自浄作用」が働きます。
繊維の多い野菜や果物は、食べながらプラークをこすり落とす効果もあります。
▶ 水分補給で口の中を潤す
唾液が少ないと歯垢がたまりやすくなり、歯石の原因に。こまめな水分補給や唾液腺マッサージも効果的です。
▶ 禁煙は最大の歯石予防
タバコは唾液の分泌を抑え、歯垢が硬化して**黒い歯石(不潔性歯石)**を作りやすくします。禁煙することで、歯石の付着速度が格段に下がります。
🧴 市販の歯石除去グッズは使ってOK?危険性と注意点
最近では「歯石取りスケーラー」「歯垢除去ジェル」などのセルフグッズが多く販売されていますが、注意が必要です。
❌ 自分で歯石を取るのは基本的にNG
- 歯や歯茎を傷つけるリスクが非常に高い
- 歯石の一部が残り、かえって細菌が繁殖しやすくなる
- 適切に消毒されていない器具による感染症のリスクも
⚠️ 歯科医師や歯科衛生士の訓練を受けていない一般の人が、器具を使って歯石を取るのは危険行為です。
▶ グッズは“補助的”に使おう
- フッ素入り歯磨き粉:歯垢の再付着を抑える
- 舌ブラシ:口臭の予防に有効
- キシリトールガム:唾液の分泌促進と虫歯予防に効果
これらは、歯石を直接取るものではありませんが、歯石ができにくい環境づくりの補助ツールとして役立ちます。
✅ まとめ:自宅ケアは「歯石をつきにくくする」最強の予防策!
- 毎日の丁寧な歯磨きとフロスは歯石予防の基本
- 食生活や禁煙習慣も予防に大きく関与
- 市販の器具は使い方に注意し、歯科医院でのチェックと併用が安心
セルフケアの質を高めることが、歯石取りの回数を減らし、歯科医院での治療の負担を軽くするカギになります。
🔁 歯石を繰り返さない!歯科メンテナンスの重要性
歯石は、一度取って終わりではなく時間とともに再びついてしまうものです。
だからこそ、**「再発させないためのメンテナンス」**が非常に重要になります。
とくに歯周病の既往歴がある方や、歯石が付きやすい体質の方は、**予防型の定期クリーニング(SPT:Supportive Periodontal Therapy)**を習慣にすることが、歯を長持ちさせる最大の秘訣です。
💨 エアフローでのメンテナンスが有効な理由
従来のポリッシング(回転ブラシ+ペースト)に代わり、近年注目されているのが「エアフロー」です。
▶ エアフローとは?
- 微細なパウダーと水、空気を高速で噴射し、歯の表面や歯周ポケット内のバイオフィルムや着色をやさしく除去できる機器です。
🌟 エアフローのメリット
- 歯の表面を傷つけにくく、快適かつ短時間で処置が可能
- 通常のスケーリングでは届きにくい、歯茎の奥の細菌バイオフィルムにもアプローチ可能
- 着色(ステイン)除去にも優れており、見た目の美しさも保てる
🦷 歯石を防ぐだけでなく、歯茎の引き締まりや口臭改善にも効果的で、メンテナンス目的の患者さんに非常に人気があります。
🔄 2ヶ月ごとのクリーニングで腫れが消えた症例
【初診時】
患者さんの歯には黒く硬い歯石が大量に付着し、歯茎は赤く腫れて明らかな炎症状態。出血も多く、歯周ポケットは6mmに達する部分もありました。
▶ 一見「中等度~重度の歯周病」と思われましたが、レントゲンでは骨の吸収はなく、「仮性ポケット」と判断。
【処置内容】
- 4回に分けて保険診療内でスケーリングを実施
- 同時に歯磨き指導を徹底
- 以降は2ヶ月ごとのエアフローによるメンテナンスを継続
【経過】
- 2ヶ月後には腫れが大幅に改善し、歯茎が引き締まってきた
- 4ヶ月後には出血がほぼ消失
- 1年後には、歯周ポケットも3mm前後に縮小し、健康的なピンク色の歯茎へ回復
✅ 特筆すべきは、すべて保険診療内で対応したこと。定期的なクリーニングがいかに予防と回復に効果的かを示す好例です。
🧘 歯周病予防からアンチエイジングまでの効果
定期メンテナンスには、単に歯石を取る以上のメリットがあります。
✨ 歯周病予防の効果
- メンテナンスを続けている人は、歯周病の進行リスクが大幅に低下
- 歯周ポケットが深くなるのを抑えることができ、歯の寿命が延びる
💨 口臭・ステインの抑制
- バイオフィルムや歯垢を定期的に除去することで、口臭の原因を根本から断つ
- エアフローで着色除去もできるため、自然な白さを保ちやすい
🧬 アンチエイジング効果
- 歯周病が全身の炎症と関係することが分かっており、心疾患・糖尿病・脳梗塞などの予防にも寄与
- 美しい歯と歯茎は、見た目の若々しさにもつながります
✅ まとめ:歯石を防ぐ最も確実な方法は「定期メンテナンス」
- エアフローなどの最新技術で、快適で質の高いケアが可能
- 歯茎の腫れや出血は、2ヶ月おきのケアでも改善可能
- 健康だけでなく、美しさ・清潔感・若々しさも維持できる
「治療」から「予防」へ。
歯科医院は“困ってから行く場所”ではなく、**“ずっと健康を守る場所”**へと変わっています。
🙋♀️ よくある質問(Q&A)
Q:歯石取りは毎回痛いの?
A:必ずしも痛みがあるわけではありません。
歯石取りで痛みを感じるかどうかは、歯茎の状態や歯石の付き方によって異なります。歯周病が進行していたり、歯茎に炎症がある場合は、処置中にチクチクした痛みや出血を感じることがあります。
ただし、**表面麻酔や無痛処置(無針麻酔など)**を行えば、ほとんど痛みを感じずに治療することも可能です。心配な方は事前に歯科医師に相談してみてください。
Q:本当に必要?やらないとどうなる?
A:歯石を放置すると、歯周病や口臭、最悪の場合は歯の喪失につながります。
歯石は「ただの汚れ」ではなく、細菌の塊が硬化したもの。その表面はザラザラしており、さらに歯垢が付きやすくなります。
放置すれば…
- 歯茎が腫れて出血する
- 歯を支える骨が溶ける(歯槽骨吸収)
- 口臭が強くなる
- 歯がグラついて抜ける
などのリスクが高まります。自覚症状がないうちに予防するのが、歯と健康を守る一番の方法です。
Q:自分で取っても大丈夫?
A:原則としてNGです。自分で歯石を取るのは危険です。
市販のスケーラー(歯石除去器具)などを使って自己処理を行うと、以下のようなリスクがあります:
- 歯や歯茎を傷つける
- バイ菌が入り、感染の原因になる
- 歯石を完全に取りきれず逆に悪化させる
プロの歯科衛生士は、専門的な知識とトレーニングを積んだうえで処置を行っています。安全・確実に歯石を除去するには、歯科医院でのケアが必要不可欠です。
Q:どれくらい通えばいいの?
A:歯石の量や歯周病の状態によって異なります。
一般的には…
- 健康な状態:6ヶ月に1回
- 歯石が付きやすい人:3ヶ月に1回
- 治療中の方:1〜2ヶ月ごとにメンテナンス
また、歯石の量が多い場合は1回で取りきれず、上下で2〜4回に分けて処置することもあります。初診時に必要な回数を説明されるので、不安があれば確認しましょう。
Q:エアフローや無痛処置は保険でできる?
A:基本的に自由診療(自費)ですが、状況により保険適用されるケースもあります。
- エアフロー:原則として自費診療(5,000~15,000円程度)
- 表面麻酔・無針麻酔:一部は保険適用、もしくは追加費用が必要なケースも
ただし、**保険内でも丁寧にスケーリングを行う医院は多数あります。**ご希望がある場合は、事前に「無痛処置ができるか?」「エアフローの有無」などを問い合わせてみると安心です。
✅ まとめ
- 歯石取りは必要不可欠な予防医療
- 痛みが不安な方は無痛オプションあり
- 自己処理よりも、プロによる定期ケアが安全で効果的
気になる点や不安がある場合は、遠慮せず歯科医院に相談しましょう。あなたに合った方法を一緒に探してくれるはずです。
📍 江戸川区篠崎で歯石除去をご希望の方へ

「歯石を取りたいけど、痛みが心配…」「何回通えばいいのかわからない…」そんなお悩みはありませんか?
江戸川区篠崎にある当院では、保険適用の歯石除去(スケーリング)から、エアフローを使った無痛クリーニング、継続的な歯周病予防のメンテナンスまで幅広く対応しています。
✔ 表面麻酔や無針麻酔による痛みを抑えた処置
✔ 経験豊富な歯科衛生士による丁寧でやさしい対応
✔ 初めての方でもわかりやすい検査・説明・通院計画のご提案
「しっかり診てくれる歯科医院を探している」「歯石取りを機に口の中を見直したい」
そんな方は、ぜひ一度お気軽にご相談ください。お口の状態やライフスタイルに合わせた最適なプランをご提案します。
筆者・院長

深沢 一
Hajime FUKASAWA
- 登山
- ヨガ
メッセージ
日々進化する歯科医療に対応するため、毎月必ず各種セミナーへの受講を心がけております。
私達は、日々刻々と進歩する医学を、より良い形で患者様に御提供したいと考え、「各種 歯科学会」に所属すると共に、定期的に「院内勉強会」を行う等、常に現状に甘んずる事のないよう精進致しております。 又、医療で一番大切な事は、”心のある診療”と考え、スタッフと共に「患者様の立場に立った診療」を、心がけております。






