- 1. 【🎞️】削らないで治せるかも?C1虫歯の特徴と正しい対応方法
- 2. 📝C1虫歯とは?【基本知識】
- 2.1. 🔹 C1虫歯の定義と位置づけ(COとの違い)
- 2.2. 🔹 C1の見た目の特徴(色・溝・歯間)
- 2.3. 🔹 C1虫歯ができやすい場所と年齢傾向
- 3. 🦷【C1虫歯の見た目と見分け方】
- 3.1. 🔎 C1虫歯の見分け方
- 3.1.1. 📍 好発部位
- 3.1.2. 🎨 色による見分け方
- 3.2. 📚 C1虫歯の具体例
- 4. 🦷【虫歯の進行度分類】
- 4.1. 【CO】エナメル質表層の虫歯
- 4.2. 【C1】エナメル質内に限局した虫歯
- 4.3. 【C2】象牙質まで到達した虫歯
- 4.4. 【C3】歯髄(神経)まで達した虫歯
- 4.5. 【C4】歯冠崩壊・歯根だけ残った虫歯
- 5. 🔍C1虫歯の原因は?
- 5.1. 🍬 プラークと虫歯菌(ミュータンス菌)の関係
- 5.2. 🍭 食生活と虫歯リスク(砂糖摂取量・頻度)
- 5.3. 😴 生活習慣(夜間の歯磨き不足など)
- 6. 👀C1虫歯の症状|痛みがないって本当?
- 6.1. ❓ なぜC1では痛みが出ないのか(エナメル質と神経の関係)
- 6.2. ⚠️ 痛みがないために見逃しやすいリスク
- 7. 🦷【C1虫歯は削る?再石灰化で自然治癒?】
- 7.1. 🔹 C1虫歯がエナメル質の厚み1/3以内の場合
- 7.1.1. 🪥 自力で再石灰化を目指す
- 7.1.2. 🏥 定期的な歯科チェックが必須
- 7.2. 🔹 C1虫歯がエナメル質の厚み1/3を超える場合
- 7.2.1. 🛠️ 削って詰める治療が必要
- 8. 🦷【C1虫歯を再石灰化して自力で治す方法】
- 9. 🦷【MIペーストによるC1虫歯の再石灰化方法】
- 9.1. 🔹 MIペーストとは?
- 9.1.1. 🔹 MIペースト使用の手順
- 9.1.1.1. 🛡️ マウスピースの作製
- 9.1.1.2. 🪥 MIペーストをマウスピースに注入
- 9.1.1.3. ⏳ 口腔内で30分間保持
- 9.1.1.4. 🔹 繰り返しによる効果
- 10. 🦷【歯科でC1虫歯を治す方法】
- 10.1. 🔹 コンポジットレジン充填とは?
- 10.1.1. 🔹 治療回数と期間について
- 10.1.1.1. ⏳ 1本または少数の虫歯なら
- 10.1.1.2. ⏳ 複数本の虫歯がある場合
- 10.2. 🔹 C1虫歯を削るときの痛みは?
- 10.2.1. 😌 基本的に痛みなし・麻酔不要
- 11. 💰コンポジットレジン充填の費用
- 11.1. 保険治療の場合
- . 🔄C1虫歯を放置するとどうなる?
- 11.2. 🚨 C2、C3への進行リスク
- 11.3. 🦷 神経治療や抜歯が必要になる前に対処を!
- 12. 🚿C1虫歯の予防方法
- 12.1. 🪥 正しいブラッシング習慣
- 12.2. 🧴 フッ素使用と定期的な歯科検診
- 12.3. 🦷 シーラントによる予防措置(特に子供)
- 13. ❓よくある質問(Q&A)
- 13.1. ❓ C1虫歯は自然に治る?
- 13.2. ❓ C1虫歯を自分で発見できる?
- 13.3. ❓ 再石灰化できるかの見極めポイントは?
- 13.4. ❓ どのタイミングで歯科医院に行くべき?
- 14. 📝まとめ|C1虫歯は早期発見・早期対応がカギ!
- 14.1. 早めに気づいて、適切なケアを
- 14.2. 削らずに済む未来を守ろう!
- 15. 江戸川区篠崎でC1虫歯の治療・予防をご検討中の方へ
- 16. 【動画】ステイン着色汚れをクリーニングするエアフロー
- 17. 筆者・院長

虫歯といえば「削る・詰める」が当たり前と思っていませんか?C1虫歯の段階であれば、正しいケアによって再石灰化が期待でき、歯を削らずに済む可能性もあります。
本記事では、C1虫歯の症状や原因、再石灰化のポイント、早期発見の重要性について、詳しく解説していきます。
健康な歯を守るために、ぜひ参考にしてください。
【🎞️】削らないで治せるかも?C1虫歯の特徴と正しい対応方法
📝C1虫歯とは?【基本知識】
🔹 C1虫歯の定義と位置づけ(COとの違い)
C1虫歯とは、歯の表面を覆うエナメル質の内部に限局した初期の虫歯を指します。
まだ象牙質には到達しておらず、虫歯の進行度分類で「初期う蝕(C1)」と呼ばれる段階です。
🦷 CO(要観察歯)との違い
- CO:エナメル質表面が脱灰し始めた状態で、穴は開いていない
- C1:脱灰が進行し、エナメル質内部に虫歯ができている状態
つまり、COは観察で済む可能性が高いですが、C1は進行リスクを伴うため注意が必要です。


🔹 C1の見た目の特徴(色・溝・歯間)
C1虫歯は、肉眼でも次のような特徴が見られることがあります。
🎨 色の変化
- 白濁、黄色、茶色、黒色と変化することがある
- 特に初期段階では「黄色~茶色」の着色が目立つ
🌀 できやすい部位
- 奥歯のかみ合わせの溝
- 歯と歯の間
- 歯の付け根(歯頚部)
溝や歯間などブラシが届きにくい場所にできるため、見つけにくいことも多いです。
🔹 C1虫歯ができやすい場所と年齢傾向
C1虫歯は、年齢やライフスタイルによって発生しやすい場所やパターンに違いがあります。
🧒 子ども・若年層
- 生えたばかりの永久歯(特に6歳臼歯)の溝にできやすい
- 歯磨き習慣が不十分な場合、短期間で進行しやすい
🧑 成人以降
- 歯間部(歯と歯の間)にできるC1が増加
- 食習慣や唾液量の低下、歯周病との関連も
特に歯の溝や歯間部のケア不足が、C1虫歯のリスクを高めるポイントになります。
🦷【C1虫歯の見た目と見分け方】
🔎 C1虫歯の見分け方
📍 好発部位
- 🦷 奥歯のかみ合わせの溝が茶色~黒色に変色
- 🦷 歯と歯の間が黄色~茶色に変色
- 🦷 歯の付け根(歯頚部)が黄色~茶色に変色
🎨 色による見分け方
少し穴が開いている場合は、C2に近い進行したC1かもしれない茶色の変色が認められます。少し穴が開き出せば、C2の虫歯に近いC1かもしれません。
C1虫歯は黄色~茶色の変色が目印

🖼️ C1虫歯の模式図
奥歯の溝から虫歯が始まり
エナメル質の内部にとどまっている状態

👀 C1虫歯の見た目の特徴
🦷 歯の間・歯の付け根の変色
- 茶色に変色しているのがC1虫歯
- 黄色〜白っぽく変色している部分はCO(初期の脱灰)
🌟 CO(シーオー)とは?
穴が開いておらず、適切なケアで再石灰化が期待できる
エナメル質表面だけが脱灰している状態
📚 C1虫歯の具体例

🔹 第一小臼歯の溝にできたC1虫歯
咬合面(かみ合わせ面)が茶色に変色
エナメル質内部まで変色が透けて見える

🔹 第1大臼歯の表側にできたC1虫歯
上顎第1大臼歯の頬側が白色~黄色に変色
下顎第1大臼歯の変色はCOレベル(初期脱灰)
🦷【虫歯の進行度分類】
【CO】エナメル質表層の虫歯
- エナメル質の表面にとどまった初期虫歯
- 要観察歯とも呼ばれ、削らず再石灰化を目指す
- 適切なセルフケアとフッ素利用が有効
【C1】エナメル質内に限局した虫歯
- エナメル質の浅い部分にとどまっている虫歯
- 状況により削らず再石灰化を試みることも可能
- 変色や小さな穴に注意
【C2】象牙質まで到達した虫歯
- エナメル質を超え、象牙質に達した虫歯
- **削って詰める治療(充填治療)**が必要
- 冷たいものや甘いものでしみる症状が出やすい
【C3】歯髄(神経)まで達した虫歯
- 虫歯がさらに進行し、歯の神経(歯髄)に到達
- 強い痛みが出ることが多く、**根管治療(神経の除去)**が必要
- 放置すると感染が拡大するリスクあり
【C4】歯冠崩壊・歯根だけ残った虫歯
- 歯の上部(歯冠)がほぼ崩壊し、歯根のみが残る状態
- 通常、抜歯の対象
- 放置すると周囲の歯や骨に悪影響を及ぼすことも
🔍C1虫歯の原因は?
🍬 プラークと虫歯菌(ミュータンス菌)の関係
虫歯の最大の原因は、**歯に付着したプラーク(歯垢)**です。
プラークの中には、ミュータンス菌をはじめとする虫歯菌が多く存在します。

🦠 ミュータンス菌の働き
- 砂糖などの糖分をエサにして酸を作り出す
- 作られた酸によって歯の表面(エナメル質)が溶け出す(脱灰)
- 放置すると、C1虫歯へと進行していく
つまり、プラーク除去を怠ると虫歯リスクが急上昇するのです。
🍭 食生活と虫歯リスク(砂糖摂取量・頻度)
食生活もC1虫歯の大きなリスク要因です。

🍬 虫歯を招く食習慣の例
- 間食が多い(特に甘いものを頻繁に摂る)
- ジュースやスポーツドリンクをよく飲む
- 食後にすぐ歯磨きをしない
🍴 ポイント
- **「砂糖の量」だけでなく「摂取回数」**が重要
- 口内が酸性状態になる時間が長いと脱灰が進みやすい
💡甘いものを摂ったら、なるべく早く歯を磨くか、うがいだけでもするとリスク軽減になります!
😴 生活習慣(夜間の歯磨き不足など)
普段の生活習慣も、C1虫歯発生に直結します。
🌙 夜間のケア不足が危険!
- 就寝中は唾液分泌が減るため、口内の自浄作用が低下
- プラークや虫歯菌が活動しやすくなり、虫歯が進行しやすい
🪥 特に注意したい習慣
- 夜寝る前に歯磨きをサボる
- 歯磨き後に間食する
- 朝起きた直後の歯磨きを省略する
つまり、夜の歯磨きが虫歯予防の最重要ポイントなのです!
👀C1虫歯の症状|痛みがないって本当?
❓ なぜC1では痛みが出ないのか(エナメル質と神経の関係)
C1虫歯は、歯の一番外側にあるエナメル質の内部にとどまっている段階です。
このエナメル質には神経が存在していないため、虫歯ができても痛みやしみる感覚が起こりません。
🦷 エナメル質の特徴
- 身体の中で最も硬い組織
- 外部刺激に対して非常に鈍感
- 神経はエナメル質の下にある象牙質や**歯髄(神経)**にしか存在しない
💡そのため、C1の段階では自覚症状がほぼゼロなのが一般的です。

⚠️ 痛みがないために見逃しやすいリスク
痛みがないからといって安心はできません。
C1虫歯は、知らない間に少しずつ進行していく危険性があります。
🚨 見逃しやすい理由
- 見た目が軽い着色(黄色・茶色)程度で目立ちにくい
- 自覚症状がないため放置されやすい
- 特に歯の溝や歯間など見えにくい場所にできやすい
📈 進行すると…
- エナメル質を越えて象牙質(C2)に達すると痛みやしみる症状が出現
- 早期発見できず、治療が大がかりになるリスクが高まる
💬 ポイント
- 痛みがないC1虫歯こそ、定期検診での早期発見がとても大切です!
🦷【C1虫歯は削る?再石灰化で自然治癒?】
🔹 C1虫歯がエナメル質の厚み1/3以内の場合
🪥 自力で再石灰化を目指す
- エナメル質の厚みの1/3以内なら、必ずしも削る必要はない
- 適切なセルフケアやフッ素塗布で再石灰化を促進
- 自然治癒が可能なケースも多い
🏥 定期的な歯科チェックが必須
- 自己判断だけでは進行を見逃すリスクあり
- 歯科医院で定期観察しながら進行状況を管理する
🔹 C1虫歯がエナメル質の厚み1/3を超える場合
🛠️ 削って詰める治療が必要
- 象牙質に近づくと自然治癒は難しくなる
- 虫歯を削ったうえで、**コンポジットレジン(白い詰め物)**で充填
🦷【C1虫歯を再石灰化して自力で治す方法】

🍬 リカルデントガムを使う
飲み込まず、長時間噛むことで効果が高まる
**リカルデント(CPP-ACP)**成分が、歯の再石灰化を促進
【使い方】リカルデントガムをゆっくり噛む

🪥 フッ素を使う
フッ素入り歯磨き粉・フッ素洗口剤を活用
- フッ素には虫歯菌の活動抑制と再石灰化促進の作用あり
- 【使い方】
- フッ素入り歯磨き粉を使用
- フッ素洗口剤(例:ミラノール顆粒)でうがい
フッ素を直接塗るのもOK
少量のフッ素歯磨き粉を指に取り、C1部分に直接塗布する方法も効果的

🍭 キシリトールを摂る
歯の再石灰化もサポート!
キシリトールガムを**長期間(最低3ヶ月以上)**続けて摂取
ミュータンス菌(虫歯菌)を減少させ、プラーク中の環境改善を図る
🦷【MIペーストによるC1虫歯の再石灰化方法】
🔹 MIペーストとは?
- 再石灰化を促進する**CPP-ACP(リカルデント成分)**を含むペースト
- 初期虫歯(C1)の自然治癒をサポートする専用ケア用品

🔹 MIペースト使用の手順
🛡️ マウスピースの作製
- 自分の歯列にぴったり合うマウスピースを作成
- 歯科医院でオーダーメイド製作するのが一般的
🪥 MIペーストをマウスピースに注入
- マウスピース内部にMIペーストを適量入れる
⏳ 口腔内で30分間保持
- マウスピースを装着し、30分間口腔内に保持
- ペースト成分が歯面にじっくり浸透
🔹 繰り返しによる効果
- この処置を数ヶ月間繰り返すことで
- C1虫歯が再石灰化し、削らずに治せる可能性がある
🦷【歯科でC1虫歯を治す方法】
🔹 コンポジットレジン充填とは?
- 小臼歯や大臼歯の隣接面にできたC1虫歯を削除
- 削った部分に**コンポジットレジン(白い詰め物)**を充填して修復する方法
- 見た目も自然で違和感が少ない

🔹 治療回数と期間について
⏳ 1本または少数の虫歯なら
- 1日の治療でその日のうちに終了
⏳ 複数本の虫歯がある場合
- 2日以上に分けて治療を行うこともある
🔹 C1虫歯を削るときの痛みは?
😌 基本的に痛みなし・麻酔不要
- エナメル質には知覚神経がないため
- C1虫歯を削る際には痛みが起こらず麻酔も不要

💰コンポジットレジン充填の費用
保険治療の場合
C1の治療
C1の治療は一般的にコンポジットレジン(光重合型レジン)で行われます。下記費用は3割負担の場合です。下記の金額以外にも初診料、再診料、レントゲン撮影料、各種指導料などが適宜加算されます。
| 項目 | 価格(税抜き) |
|---|---|
| コンポジットレジン充填 | 複雑 : 930円、 単純:720円 |
🔄C1虫歯を放置するとどうなる?
🚨 C2、C3への進行リスク
C1虫歯は、エナメル質の内部にとどまるごく初期の虫歯ですが、
放置すると確実に進行していきます。
📈 進行の流れ
- C1(エナメル質内)
▼ - C2(象牙質まで到達)
▼ - C3(歯髄=神経まで到達)
🦷 C2に進行すると
- 象牙質には神経に通じる細い管(象牙細管)が無数にあるため、
- 冷たいもの・甘いものが**しみる症状(知覚過敏)**が出る
🦷 C3に進行すると
- 神経に達し、ズキズキする強い痛みが発生
- **根管治療(神経を取る治療)**が必要になる
💬 C1段階で発見できれば、削らず自然治癒できる可能性もありますが、
放置すればどんどん治療が大がかりになることを忘れないでください!
🦷 神経治療や抜歯が必要になる前に対処を!
C3以上に進行すると、虫歯は歯の内部構造を破壊し、
最悪の場合、抜歯が避けられないケースも出てきます。
🚨 放置による深刻なリスク
- 歯を削る量が増える(歯の寿命が短くなる)
- 神経治療後も再感染のリスクが残る
- 歯を抜くと、ブリッジやインプラントなど高額な治療が必要になることも

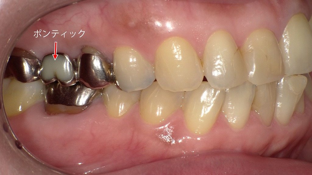
下顎6番欠損部を、前後の歯を支台歯として補った保険適用のブリッジ症例です。
欠損部である6番には、歯ぐきの上に人工歯(ポンティック)を配置し、咬合機能の回復を図っています。
保険診療では金属を用いたブリッジが基本となり、機能回復を優先した治療設計となります。
✨ だからこそ大切なポイント
- 痛みがないC1のうちに発見し、適切なケアや再石灰化を行う
- 定期検診を欠かさず受けることで、**「削らない未来」**を守る!
🚿C1虫歯の予防方法
🪥 正しいブラッシング習慣
C1虫歯を予防するうえで、もっとも基本となるのが毎日の歯磨きです。
しかし、ただ磨けばよいわけではありません。正しい磨き方が重要です。
🦷 ポイント
- 歯と歯ぐきの境目、奥歯の溝、歯と歯の間を意識して磨く
- 力を入れすぎず、やさしく小刻みにブラッシング
- 1日最低2回、特に寝る前のブラッシングを徹底
💬 特に、歯の溝や歯間はC1虫歯ができやすい部位なので、デンタルフロスや歯間ブラシも併用すると効果的です!
🧴 フッ素使用と定期的な歯科検診
フッ素は、虫歯予防において強い味方です。
エナメル質を強化し、再石灰化を促進する効果があります。
🧴 フッ素の活用方法
- フッ素配合歯磨き粉を使う
- フッ素洗口剤(うがい薬)を使用する
- 歯科医院での高濃度フッ素塗布を受ける
また、定期的な歯科検診(3〜6ヶ月に一度)がC1虫歯の早期発見・予防につながります。
🏥 定期検診でできること
- 虫歯の超初期段階(CO)の発見
- 専門的なクリーニング(PMTC)
- ブラッシング指導でセルフケアのレベルアップ
🦷 シーラントによる予防措置(特に子供)
特に小児では、シーラントという処置が非常に有効です。

🛡️ シーラントとは?
- 奥歯の深い溝を樹脂で埋めることで、汚れのたまり場をなくし、虫歯を予防する方法
👦 シーラントが有効なタイミング
- 6歳頃に生えてくる第一大臼歯(6歳臼歯)
- 乳歯の奥歯にも適用可能な場合あり
💡生えたばかりの歯は未成熟で虫歯になりやすいため、早めのシーラント処置が虫歯予防に大きく役立ちます!
❓よくある質問(Q&A)
❓ C1虫歯は自然に治る?
C1虫歯は、**初期の段階であれば自然治癒(再石灰化)**が可能なケースもあります。
特に、エナメル質の表層に限局している場合は、
🦷 フッ素ケア
🦷 リカルデント(CPP-ACP)
🦷 MIペースト
などを活用することで、歯の再石灰化を促し、削らずに治せることも。
💬 ただし、すべてのC1虫歯が自然治癒できるわけではないので、
歯科医院での適切な診断が重要です!
❓ C1虫歯を自分で発見できる?
C1虫歯は、次のような見た目の変化で自分でも気付けることがあります。
👀 セルフチェックポイント
- 奥歯の溝が黄色〜茶色に変色している
- 歯と歯の間に色の変化が見られる
- 歯の付け根(歯頚部)が茶色っぽい
ただし、小さな虫歯や歯間部の虫歯は肉眼では見つけにくいため、
違和感がなくても定期的な歯科検診を受けることをおすすめします!
❓ 再石灰化できるかの見極めポイントは?
C1虫歯が再石灰化できるかどうかは、虫歯の進行度によります。
🦷 再石灰化しやすいC1虫歯
- 表層のエナメル質にとどまっている
- 穴が開いていない(色だけの変化)
🦷 再石灰化が難しいC1虫歯
- エナメル質の内部に深く進行している
- 表面に小さな穴や凹みができている
💬 自己判断は難しいので、歯科医院で診察+レントゲン撮影を受け、
進行度に応じた最適な対応をしてもらいましょう!
❓ どのタイミングで歯科医院に行くべき?
次のような場合は、できるだけ早めに歯科医院を受診しましょう!
📍 受診の目安
- 歯の表面に茶色や黒っぽい変色を見つけたとき
- 歯磨き中に違和感を感じたとき
- 1年以上歯科検診を受けていないとき
🦷 C1虫歯は痛みがないうちに対処するのが最大のポイントです!
「様子を見よう」と放置せず、早めの相談が未来の歯を守ります✨
📝まとめ|C1虫歯は早期発見・早期対応がカギ!
早めに気づいて、適切なケアを
C1虫歯は、エナメル質内にとどまるごく初期段階の虫歯です。
この段階で気づくことができれば、
🪥 フッ素ケア
🧴 リカルデントやMIペーストの活用
🏥 定期的なプロフェッショナルチェック
などによって、削らずに再石灰化させる可能性も十分あります。
💬 「痛みがないから大丈夫」と油断せず、
小さな変化にも注意を払い、違和感があればすぐに歯科医院を受診しましょう!
削らずに済む未来を守ろう!
虫歯は、進行すればするほど治療が大がかりになります。
C1の段階なら、
- 削らずに経過観察できる
- 小さな治療で済む
- 歯の寿命を延ばせる
という大きなメリットがあります。
🦷 未来の自分の歯を守るためにできること
- 正しいブラッシング習慣
- フッ素やキシリトールの活用
- 生活習慣の見直し
- 歯科医院での定期検診
✨ 今日からできる小さな積み重ねが、
「削らずに済む未来」をつくります!
江戸川区篠崎でC1虫歯の治療・予防をご検討中の方へ

江戸川区篠崎にある当院では、C1虫歯の早期発見と再石灰化による予防に力を入れています。C1段階なら、削らずに治せる可能性も十分あります。
定期的なチェックと正しいセルフケアで、健康な歯を未来へつなげましょう。
虫歯ゼロを目指す皆さまを、スタッフ一同全力でサポートいたします!
【動画】ステイン着色汚れをクリーニングするエアフロー
筆者・院長

深沢 一
Hajime FUKASAWA
- 登山
- ヨガ
メッセージ
日々進化する歯科医療に対応するため、毎月必ず各種セミナーへの受講を心がけております。
私達は、日々刻々と進歩する医学を、より良い形で患者様に御提供したいと考え、「各種 歯科学会」に所属すると共に、定期的に「院内勉強会」を行う等、常に現状に甘んずる事のないよう精進致しております。 又、医療で一番大切な事は、”心のある診療”と考え、スタッフと共に「患者様の立場に立った診療」を、心がけております。


